JavaScript is disabled in your browser. Please enable JavaScript to view this website.
AB202025

Anti-WASP/Wiskott-Aldrich syndrome protein antibody [7B10E4]

Be the first to review this product! Submit a review

|

(1 Publication)

Mouse Monoclonal WASP/Wiskott-Aldrich syndrome protein antibody. Suitable for Flow Cyt, WB, IHC-P and reacts with Human samples. Cited in 1 publication. Immunogen corresponding to Recombinant Fragment Protein within Human WAS aa 50-200.

View Alternative Names

IMD2, WAS, Actin nucleation-promoting factor WAS, Wiskott-Aldrich syndrome protein, WASp

5 Images
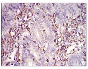
Immunohistochemistry (Formalin/PFA-fixed paraffin-embedded sections) - Anti-WASP/Wiskott-Aldrich syndrome protein antibody [7B10E4] (AB202025)
  • IHC-P

Supplier Data

Immunohistochemistry (Formalin/PFA-fixed paraffin-embedded sections) - Anti-WASP/Wiskott-Aldrich syndrome protein antibody [7B10E4] (AB202025)

Immunohistochemical analysis of paraffin embedded Human ovarian cancer tissues labeling WASP/Wiskott-Aldrich syndrome protein using ab202025 at 1/200 dilution, followed by DAB staining.

Flow Cytometry - Anti-WASP/Wiskott-Aldrich syndrome protein antibody [7B10E4] (AB202025)
  • Flow Cyt

Supplier Data

Flow Cytometry - Anti-WASP/Wiskott-Aldrich syndrome protein antibody [7B10E4] (AB202025)

Flow cytometric analysis of HeLa cells labeling WASP/Wiskott-Aldrich syndrome protein using ab202025 at 1/200 dilution (green) and negative control (red).

Immunohistochemistry (Formalin/PFA-fixed paraffin-embedded sections) - Anti-WASP/Wiskott-Aldrich syndrome protein antibody [7B10E4] (AB202025)
  • IHC-P

Supplier Data

Immunohistochemistry (Formalin/PFA-fixed paraffin-embedded sections) - Anti-WASP/Wiskott-Aldrich syndrome protein antibody [7B10E4] (AB202025)

Immunohistochemical analysis of paraffin embedded Human colon cancer tissues labeling WASP/Wiskott-Aldrich syndrome protein using ab202025 at 1/200 dilution, followed by DAB staining.

Western blot - Anti-WASP/Wiskott-Aldrich syndrome protein antibody [7B10E4] (AB202025)
  • WB

Supplier Data

Western blot - Anti-WASP/Wiskott-Aldrich syndrome protein antibody [7B10E4] (AB202025)

All lanes:

Western blot - Anti-WASP/Wiskott-Aldrich syndrome protein antibody [7B10E4] (ab202025) at 1/500 dilution

Lane 1:

Non transfected HEK293 cell lysate at 1 µg

Lane 2:

Human WASP/Wiskott-Aldrich syndrome protein (aa: 57-170)-hIgGFc transfected HEK293 cell lysate at 1 µg

Predicted band size: 53 kDa

false

Western blot - Anti-WASP/Wiskott-Aldrich syndrome protein antibody [7B10E4] (AB202025)
  • WB

Supplier Data

Western blot - Anti-WASP/Wiskott-Aldrich syndrome protein antibody [7B10E4] (AB202025)

Expected MW is 39 kDa

All lanes:

Western blot - Anti-WASP/Wiskott-Aldrich syndrome protein antibody [7B10E4] (ab202025) at 1/500 dilution

All lanes:

Human WASP/Wiskott-Aldrich syndrome protein (aa: 57-170) recombinant protein at 1 µg

Predicted band size: 53 kDa

false

Key facts

Host species

Mouse

Clonality

Monoclonal

Clone number

7B10E4

Isotype

IgG2a

Carrier free

No

Reacts with

Human

Applications

IHC-P, WB, Flow Cyt

applications

Immunogen

Recombinant Fragment Protein within Human WAS aa 50-200. The exact immunogen used to generate this antibody is proprietary information.

P42768

Reactivity data

{ "title": "Reactivity Data", "filters": { "stats": ["", "Species", "Dilution Info", "Notes"], "tabs": { "all-applications": {"fullname" : "All Applications", "shortname": "All Applications"}, "FlowCyt" : {"fullname" : "Flow Cytometry", "shortname":"Flow Cyt"}, "WB" : {"fullname" : "Western blot", "shortname":"WB"}, "IHCP" : {"fullname" : "Immunohistochemistry (Formalin/PFA-fixed paraffin-embedded sections)", "shortname":"IHC-P"} }, "product-promise": { "all": "all", "testedAndGuaranteed": "tested", "guaranteed": "expected", "predicted": "predicted", "notRecommended": "not-recommended" } }, "values": { "Human": { "FlowCyt-species-checked": "testedAndGuaranteed", "FlowCyt-species-dilution-info": "1/200 - 1/400", "FlowCyt-species-notes": "<p><a href='/en-us/products/primary-antibodies/mouse-igg2c-kappa-monoclonal-18c8bc7ad10-isotype-control-ab170191'>ab170191</a> - Mouse monoclonal IgG2a, is suitable for use as an isotype control with this antibody.</p>", "WB-species-checked": "testedAndGuaranteed", "WB-species-dilution-info": "1/500 - 1/2000", "WB-species-notes": "<p></p>", "IHCP-species-checked": "testedAndGuaranteed", "IHCP-species-dilution-info": "1/200 - 1/1000", "IHCP-species-notes": "<p></p>" }, "Mouse": { "FlowCyt-species-checked": "predicted", "FlowCyt-species-dilution-info": "", "FlowCyt-species-notes": "", "WB-species-checked": "predicted", "WB-species-dilution-info": "", "WB-species-notes": "", "IHCP-species-checked": "predicted", "IHCP-species-dilution-info": "", "IHCP-species-notes": "" } } }

Properties and storage information

Form
Liquid
Purification technique
Affinity purification Protein G
Purification notes
Purified from tissue culture supernatant.
Storage buffer
Preservative: 0.05% Sodium azide Constituents: PBS
Shipped at conditions
Blue Ice
Appropriate short-term storage duration
1-2 weeks
Appropriate short-term storage conditions
+4°C
Appropriate long-term storage conditions
-20°C
Aliquoting information
Upon delivery aliquot
Storage information
Avoid freeze / thaw cycle

Product protocols

For this product, it's our understanding that no specific protocols are required. You can visit:

Target data

Effector protein for Rho-type GTPases that regulates actin filament reorganization via its interaction with the Arp2/3 complex (PubMed : 12235133, PubMed : 12769847, PubMed : 16275905). Important for efficient actin polymerization (PubMed : 12235133, PubMed : 16275905, PubMed : 8625410). Possible regulator of lymphocyte and platelet function (PubMed : 9405671). Mediates actin filament reorganization and the formation of actin pedestals upon infection by pathogenic bacteria (PubMed : 18650809). In addition to its role in the cytoplasmic cytoskeleton, also promotes actin polymerization in the nucleus, thereby regulating gene transcription and repair of damaged DNA (PubMed : 20574068). Promotes homologous recombination (HR) repair in response to DNA damage by promoting nuclear actin polymerization, leading to drive motility of double-strand breaks (DSBs) (PubMed : 29925947).
See full target information WAS

Publications (1)

Recent publications for all applications. Explore the full list and refine your search

Experimental hematology & oncology 13:109 PubMed39497152

2024

Nuclear porcupine mediates XRCC6/Ku70 S-palmitoylation in the DNA damage response.

Applications

Unspecified application

Species

Unspecified reactive species

Yang Chen,Mingming Xiao,Yaqi Mo,Jinlu Ma,Yamei Han,Qing Li,Qinghua Zeng,Rebecca J Boohaker,Joshua Fried,Yonghe Li,Han Wang,Bo Xu
View all publications

Product promise

We are committed to supporting your work with high-quality reagents, and we're here for you every step of the way. In the unlikely event that one of our products does not perform as expected, you're protected by our Product Promise.
For full details, please see our Terms & Conditions

Please note: All products are 'FOR RESEARCH USE ONLY. NOT FOR USE IN DIAGNOSTIC OR THERAPEUTIC PROCEDURES'.

For licensing inquiries, please contact partnerships@abcam.com