JavaScript is disabled in your browser. Please enable JavaScript to view this website.
AB180816

Anti-WASP/Wiskott-Aldrich syndrome protein antibody

Be the first to review this product! Submit a review

|

(1 Publication)

Rabbit Polyclonal WASP/Wiskott-Aldrich syndrome protein antibody. Suitable for WB, IHC-P and reacts with Human, Rat samples. Cited in 1 publication. Immunogen corresponding to Recombinant Fragment Protein within Human WAS aa 50-250.

View Alternative Names

IMD2, WAS, Actin nucleation-promoting factor WAS, Wiskott-Aldrich syndrome protein, WASp

3 Images
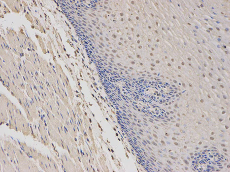
Immunohistochemistry (Formalin/PFA-fixed paraffin-embedded sections) - Anti-WASP/Wiskott-Aldrich syndrome protein antibody (AB180816)
  • IHC-P

Unknown

Immunohistochemistry (Formalin/PFA-fixed paraffin-embedded sections) - Anti-WASP/Wiskott-Aldrich syndrome protein antibody (AB180816)

Immunohistochemistry (Formalin/PFA-fixed paraffin-embedded sections) analysis of human esophagus tissue labelling WASP/Wiskott-Aldrich syndrome protein with ab180816 at 1/100. Magnification : 200x.

Immunohistochemistry (Formalin/PFA-fixed paraffin-embedded sections) - Anti-WASP/Wiskott-Aldrich syndrome protein antibody (AB180816)
  • IHC-P

Unknown

Immunohistochemistry (Formalin/PFA-fixed paraffin-embedded sections) - Anti-WASP/Wiskott-Aldrich syndrome protein antibody (AB180816)

Immunohistochemistry (Formalin/PFA-fixed paraffin-embedded sections) analysis of rat kidney tissue labelling WASP/Wiskott-Aldrich syndrome protein with ab180816 at 1/100. Magnification : 200x.

Western blot - Anti-WASP/Wiskott-Aldrich syndrome protein antibody (AB180816)
  • WB

Supplier Data

Western blot - Anti-WASP/Wiskott-Aldrich syndrome protein antibody (AB180816)

All lanes:

Western blot - Anti-WASP/Wiskott-Aldrich syndrome protein antibody (ab180816) at 1/500 dilution

Lane 1:

HL60 cell lysate

Lane 2:

THP1 cell lysate

Predicted band size: 53 kDa

false

Key facts

Host species

Rabbit

Clonality

Polyclonal

Isotype

IgG

Carrier free

No

Reacts with

Rat, Human

Applications

WB, IHC-P

applications

Immunogen

Recombinant Fragment Protein within Human WAS aa 50-250. The exact immunogen used to generate this antibody is proprietary information.

P42768

Reactivity data

{ "title": "Reactivity Data", "filters": { "stats": ["", "Species", "Dilution Info", "Notes"], "tabs": { "all-applications": {"fullname" : "All Applications", "shortname": "All Applications"}, "WB" : {"fullname" : "Western blot", "shortname":"WB"}, "IHCP" : {"fullname" : "Immunohistochemistry (Formalin/PFA-fixed paraffin-embedded sections)", "shortname":"IHC-P"} }, "product-promise": { "all": "all", "testedAndGuaranteed": "tested", "guaranteed": "expected", "predicted": "predicted", "notRecommended": "not-recommended" } }, "values": { "Human": { "WB-species-checked": "testedAndGuaranteed", "WB-species-dilution-info": "1/500 - 1/2000", "WB-species-notes": "<p></p>", "IHCP-species-checked": "testedAndGuaranteed", "IHCP-species-dilution-info": "1/50 - 1/200", "IHCP-species-notes": "<p><a href='/en-us/products/primary-antibodies/rabbit-igg-polyclonal-isotype-control-chip-grade-ab171870'>ab171870</a> - Rabbit polyclonal IgG, is suitable for use as an isotype control with this antibody.</p>" }, "Rat": { "WB-species-checked": "guaranteed", "WB-species-dilution-info": "", "WB-species-notes": "", "IHCP-species-checked": "testedAndGuaranteed", "IHCP-species-dilution-info": "1/50 - 1/200", "IHCP-species-notes": "<p><a href='/en-us/products/primary-antibodies/rabbit-igg-polyclonal-isotype-control-chip-grade-ab171870'>ab171870</a> - Rabbit polyclonal IgG, is suitable for use as an isotype control with this antibody.</p>" } } }

Properties and storage information

Form
Liquid
Purification technique
Affinity purification Immunogen
Storage buffer
pH: 7.3 Preservative: 0.02% Sodium azide Constituents: 50% Glycerol (glycerin, glycerine), 49% PBS
Shipped at conditions
Blue Ice
Appropriate short-term storage duration
1-2 weeks
Appropriate short-term storage conditions
+4°C
Appropriate long-term storage conditions
-20°C
Aliquoting information
Upon delivery aliquot
Storage information
Avoid freeze / thaw cycle

Product protocols

For this product, it's our understanding that no specific protocols are required. You can visit:

Target data

Effector protein for Rho-type GTPases that regulates actin filament reorganization via its interaction with the Arp2/3 complex (PubMed : 12235133, PubMed : 12769847, PubMed : 16275905). Important for efficient actin polymerization (PubMed : 12235133, PubMed : 16275905, PubMed : 8625410). Possible regulator of lymphocyte and platelet function (PubMed : 9405671). Mediates actin filament reorganization and the formation of actin pedestals upon infection by pathogenic bacteria (PubMed : 18650809). In addition to its role in the cytoplasmic cytoskeleton, also promotes actin polymerization in the nucleus, thereby regulating gene transcription and repair of damaged DNA (PubMed : 20574068). Promotes homologous recombination (HR) repair in response to DNA damage by promoting nuclear actin polymerization, leading to drive motility of double-strand breaks (DSBs) (PubMed : 29925947).
See full target information WAS

Publications (1)

Recent publications for all applications. Explore the full list and refine your search

Brain : a journal of neurology 142:787-807 PubMed30668640

2019

Inhibition of EHMT1/2 rescues synaptic and cognitive functions for Alzheimer's disease.

Applications

Unspecified application

Species

Unspecified reactive species

Yan Zheng,Aiyi Liu,Zi-Jun Wang,Qing Cao,Wei Wang,Lin Lin,Kaijie Ma,Freddy Zhang,Jing Wei,Emmanuel Matas,Jia Cheng,Guo-Jun Chen,Xiaomin Wang,Zhen Yan
View all publications

Product promise

We are committed to supporting your work with high-quality reagents, and we're here for you every step of the way. In the unlikely event that one of our products does not perform as expected, you're protected by our Product Promise.
For full details, please see our Terms & Conditions

Please note: All products are 'FOR RESEARCH USE ONLY. NOT FOR USE IN DIAGNOSTIC OR THERAPEUTIC PROCEDURES'.

For licensing inquiries, please contact partnerships@abcam.com