JavaScript is disabled in your browser. Please enable JavaScript to view this website.
AB233216

Anti-WASP/Wiskott-Aldrich syndrome protein antibody

Be the first to review this product! Submit a review

|

(0 Publication)

Rabbit Polyclonal WASP/Wiskott-Aldrich syndrome protein antibody. Suitable for WB, IHC-P and reacts with Human samples. Immunogen corresponding to Recombinant Fragment Protein within Human WAS aa 1-300.

View Alternative Names

IMD2, WAS, Actin nucleation-promoting factor WAS, Wiskott-Aldrich syndrome protein, WASp

3 Images
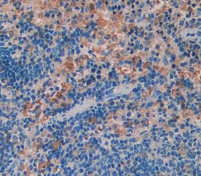
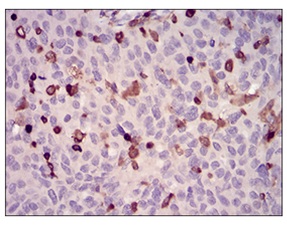
Immunohistochemistry (Formalin/PFA-fixed paraffin-embedded sections) - Anti-WASP/Wiskott-Aldrich syndrome protein antibody (AB233216)
  • IHC-P

Supplier Data

Immunohistochemistry (Formalin/PFA-fixed paraffin-embedded sections) - Anti-WASP/Wiskott-Aldrich syndrome protein antibody (AB233216)

Formalin-fixed, paraffin-embedded human spleen tissue stained for WASP/Wiskott-Aldrich syndrome protein using ab233216 at 20 μg/mL in immunohistochemical analysis. DAB staining.

Western blot - Anti-WASP/Wiskott-Aldrich syndrome protein antibody (AB233216)
  • WB

Supplier Data

Western blot - Anti-WASP/Wiskott-Aldrich syndrome protein antibody (AB233216)

All lanes:

Western blot - Anti-WASP/Wiskott-Aldrich syndrome protein antibody (ab233216) at 1 µg/mL

All lanes:

HL-60 (human promyelocytic leukemia cell line) cell lysate

Secondary

All lanes:

HRP-Linked Goat Anti-Rabbit IgG Polyclonal at 0.2 µg/mL

Predicted band size: 53 kDa

false

Western blot - Anti-WASP/Wiskott-Aldrich syndrome protein antibody (AB233216)
  • WB

Supplier Data

Western blot - Anti-WASP/Wiskott-Aldrich syndrome protein antibody (AB233216)

All lanes:

Western blot - Anti-WASP/Wiskott-Aldrich syndrome protein antibody (ab233216) at 2 µg/mL

All lanes:

Recombinant human WASP/Wiskott-Aldrich syndrome protein

Predicted band size: 53 kDa

false

Key facts

Host species

Rabbit

Clonality

Polyclonal

Isotype

IgG

Carrier free

No

Reacts with

Human

Applications

WB, IHC-P

applications

Immunogen

Recombinant Fragment Protein within Human WAS aa 1-300. The exact immunogen used to generate this antibody is proprietary information.

P42768

Reactivity data

{ "title": "Reactivity Data", "filters": { "stats": ["", "Species", "Dilution Info", "Notes"], "tabs": { "all-applications": {"fullname" : "All Applications", "shortname": "All Applications"}, "WB" : {"fullname" : "Western blot", "shortname":"WB"}, "IHCP" : {"fullname" : "Immunohistochemistry (Formalin/PFA-fixed paraffin-embedded sections)", "shortname":"IHC-P"} }, "product-promise": { "all": "all", "testedAndGuaranteed": "tested", "guaranteed": "expected", "predicted": "predicted", "notRecommended": "not-recommended" } }, "values": { "Human": { "WB-species-checked": "testedAndGuaranteed", "WB-species-dilution-info": "0.2-2 µg/mL", "WB-species-notes": "<p></p>", "IHCP-species-checked": "testedAndGuaranteed", "IHCP-species-dilution-info": "5-20 µg/mL", "IHCP-species-notes": "<p></p>" } } }

Properties and storage information

Form
Liquid
Purification technique
Affinity purification Protein A
Purification notes
Antigen-specific affinity chromatography followed by Protein A affinity chromatograph.
Storage buffer
pH: 7.4 Preservative: 0.011% Proclin 300 Constituents: PBS, 55.77% Glycerol (glycerin, glycerine)
Shipped at conditions
Blue Ice
Appropriate short-term storage duration
1-2 weeks
Appropriate short-term storage conditions
+4°C
Appropriate long-term storage conditions
-20°C
Aliquoting information
Upon delivery aliquot
Storage information
Avoid freeze / thaw cycle

Product protocols

For this product, it's our understanding that no specific protocols are required. You can visit:

Target data

Effector protein for Rho-type GTPases that regulates actin filament reorganization via its interaction with the Arp2/3 complex (PubMed : 12235133, PubMed : 12769847, PubMed : 16275905). Important for efficient actin polymerization (PubMed : 12235133, PubMed : 16275905, PubMed : 8625410). Possible regulator of lymphocyte and platelet function (PubMed : 9405671). Mediates actin filament reorganization and the formation of actin pedestals upon infection by pathogenic bacteria (PubMed : 18650809). In addition to its role in the cytoplasmic cytoskeleton, also promotes actin polymerization in the nucleus, thereby regulating gene transcription and repair of damaged DNA (PubMed : 20574068). Promotes homologous recombination (HR) repair in response to DNA damage by promoting nuclear actin polymerization, leading to drive motility of double-strand breaks (DSBs) (PubMed : 29925947).
See full target information WAS

Product promise

We are committed to supporting your work with high-quality reagents, and we're here for you every step of the way. In the unlikely event that one of our products does not perform as expected, you're protected by our Product Promise.
For full details, please see our Terms & Conditions

Please note: All products are 'FOR RESEARCH USE ONLY. NOT FOR USE IN DIAGNOSTIC OR THERAPEUTIC PROCEDURES'.

For licensing inquiries, please contact partnerships@abcam.com