JavaScript is disabled in your browser. Please enable JavaScript to view this website.
AB173574

Anti-WDR1 antibody [EPR8793]

Be the first to review this product! Submit a review

|

(4 Publications)

Rabbit Recombinant Monoclonal WDR1 antibody. Suitable for IHC-P, WB, ICC/IF and reacts with Human samples. Cited in 4 publications.

View Alternative Names

WD repeat-containing protein 1, Actin-interacting protein 1, NORI-1, AIP1, WDR1

5 Images
Immunohistochemistry (Formalin/PFA-fixed paraffin-embedded sections) - Anti-WDR1 antibody [EPR8793] (AB173574)
  • IHC-P

Supplier Data

Immunohistochemistry (Formalin/PFA-fixed paraffin-embedded sections) - Anti-WDR1 antibody [EPR8793] (AB173574)

Immunohistochemical analysis of paraffin-embedded Human skeletal muscle tissue labeling WDR1 with ab173574 at a 1/50 dilution.

Perform heat mediated antigen retrieval with citrate buffer pH 6 before commencing with IHC staining protocol.

Immunocytochemistry/ Immunofluorescence - Anti-WDR1 antibody [EPR8793] (AB173574)
  • ICC/IF

Supplier Data

Immunocytochemistry/ Immunofluorescence - Anti-WDR1 antibody [EPR8793] (AB173574)

Immunofluorescence analysis of Raji cells labeling WDR1 with ab173574 at a 1/50 dilution (green). DAPI nuclear staining (blue).

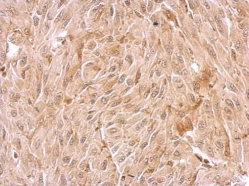
Immunohistochemistry (Formalin/PFA-fixed paraffin-embedded sections) - Anti-WDR1 antibody [EPR8793] (AB173574)
  • IHC-P

Supplier Data

Immunohistochemistry (Formalin/PFA-fixed paraffin-embedded sections) - Anti-WDR1 antibody [EPR8793] (AB173574)

Immunohistochemical analysis of paraffin-embedded Human endometrial carcinoma tissue labeling WDR1 with ab173574 at a 1/50 dilution.

Perform heat mediated antigen retrieval with citrate buffer pH 6 before commencing with IHC staining protocol.

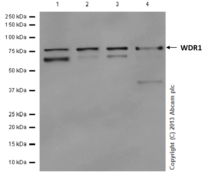
Western blot - Anti-WDR1 antibody [EPR8793] (AB173574)
  • WB

Supplier Data

Western blot - Anti-WDR1 antibody [EPR8793] (AB173574)

Buffer concentration : 5% NFDM /TBST

We are unsure as to the identity of the extra band below 75kDa.

All lanes:

Western blot - Anti-WDR1 antibody [EPR8793] (ab173574) at 1/2000 dilution

Lane 1:

Jurkat (Human T cell leukemia T lymphocyte) whole cell lysate at 10 µg

Lane 2:

Raji (Human Burkitt's lymphoma B lymphocyte) whole cell lysate at 10 µg

Lane 3:

HT-1080 (Human fibrosarcoma epithelial cell) whole cell lysate at 10 µg

Lane 4:

U-87 MG (Human glioblastoma-astrocytoma epithelial cell) whole cell lysate at 10 µg

Secondary

All lanes:

Western blot - Goat Anti-Rabbit IgG H&L (HRP) (<a href='/en-us/products/secondary-antibodies/goat-rabbit-igg-h-l-hrp-ab97051'>ab97051</a>) at 1/20000 dilution

Predicted band size: 66 kDa

Observed band size: 75 kDa

false

Exposure time: 60s

Western blot - Anti-WDR1 antibody [EPR8793] (AB173574)
  • WB

Unknown

Western blot - Anti-WDR1 antibody [EPR8793] (AB173574)

Buffer concentration : 5% NFDM /TBST.

For human samples, please use lower antibody dilution or upload more of the protein.

All lanes:

Western blot - Anti-WDR1 antibody [EPR8793] (ab173574) at 1/200 dilution

All lanes:

Human heart tissue lysate at 20 µg

Secondary

All lanes:

Goat Anti-Rabbit IgG, (HRP), with minimal cross-reactivity with human IgG at 1/2000 dilution

Predicted band size: 66 kDa

Observed band size: 46 kDa

false

Exposure time: 180s

  • Carrier free

    Anti-WDR1 antibody [EPR8793] - BSA and Azide free

Key facts

Host species

Rabbit

Clonality

Monoclonal

Clone number

EPR8793

Isotype

IgG

Carrier free

No

Reacts with

Human

Applications

WB, ICC/IF, IHC-P

applications

Immunogen

The exact immunogen used to generate this antibody is proprietary information.

Reactivity data

{ "title": "Reactivity Data", "filters": { "stats": ["", "Species", "Dilution Info", "Notes"], "tabs": { "all-applications": {"fullname" : "All Applications", "shortname": "All Applications"}, "IHCP" : {"fullname" : "Immunohistochemistry (Formalin/PFA-fixed paraffin-embedded sections)", "shortname":"IHC-P"}, "IP" : {"fullname" : "Immunoprecipitation", "shortname":"IP"}, "FlowCyt" : {"fullname" : "Flow Cytometry", "shortname":"Flow Cyt"}, "WB" : {"fullname" : "Western blot", "shortname":"WB"}, "ICCIF" : {"fullname" : "Immunocytochemistry/ Immunofluorescence", "shortname":"ICC/IF"} }, "product-promise": { "all": "all", "testedAndGuaranteed": "tested", "guaranteed": "expected", "predicted": "predicted", "notRecommended": "not-recommended" } }, "values": { "Human": { "IHCP-species-checked": "testedAndGuaranteed", "IHCP-species-dilution-info": "1/50 - 1/100", "IHCP-species-notes": "<p></p>", "IP-species-checked": "notRecommended", "IP-species-dilution-info": "", "IP-species-notes": "<p></p>", "FlowCyt-species-checked": "notRecommended", "FlowCyt-species-dilution-info": "", "FlowCyt-species-notes": "<p></p>", "WB-species-checked": "testedAndGuaranteed", "WB-species-dilution-info": "1/1000 - 1/10000", "WB-species-notes": "<p></p>", "ICCIF-species-checked": "testedAndGuaranteed", "ICCIF-species-dilution-info": "1/50 - 1/100", "ICCIF-species-notes": "<p></p>" }, "Mouse": { "IHCP-species-checked": "predicted", "IHCP-species-dilution-info": "", "IHCP-species-notes": "", "IP-species-checked": "notRecommended", "IP-species-dilution-info": "", "IP-species-notes": "", "FlowCyt-species-checked": "notRecommended", "FlowCyt-species-dilution-info": "", "FlowCyt-species-notes": "", "WB-species-checked": "predicted", "WB-species-dilution-info": "", "WB-species-notes": "", "ICCIF-species-checked": "predicted", "ICCIF-species-dilution-info": "", "ICCIF-species-notes": "" }, "Rat": { "IHCP-species-checked": "predicted", "IHCP-species-dilution-info": "", "IHCP-species-notes": "", "IP-species-checked": "notRecommended", "IP-species-dilution-info": "", "IP-species-notes": "", "FlowCyt-species-checked": "notRecommended", "FlowCyt-species-dilution-info": "", "FlowCyt-species-notes": "", "WB-species-checked": "predicted", "WB-species-dilution-info": "", "WB-species-notes": "", "ICCIF-species-checked": "predicted", "ICCIF-species-dilution-info": "", "ICCIF-species-notes": "" }, "Chicken": { "IHCP-species-checked": "predicted", "IHCP-species-dilution-info": "", "IHCP-species-notes": "", "IP-species-checked": "notRecommended", "IP-species-dilution-info": "", "IP-species-notes": "", "FlowCyt-species-checked": "notRecommended", "FlowCyt-species-dilution-info": "", "FlowCyt-species-notes": "", "WB-species-checked": "predicted", "WB-species-dilution-info": "", "WB-species-notes": "", "ICCIF-species-checked": "predicted", "ICCIF-species-dilution-info": "", "ICCIF-species-notes": "" }, "Cow": { "IHCP-species-checked": "predicted", "IHCP-species-dilution-info": "", "IHCP-species-notes": "", "IP-species-checked": "notRecommended", "IP-species-dilution-info": "", "IP-species-notes": "", "FlowCyt-species-checked": "notRecommended", "FlowCyt-species-dilution-info": "", "FlowCyt-species-notes": "", "WB-species-checked": "predicted", "WB-species-dilution-info": "", "WB-species-notes": "", "ICCIF-species-checked": "predicted", "ICCIF-species-dilution-info": "", "ICCIF-species-notes": "" } } }

Product details

Patented technology
Our RabMAb® technology is a patented hybridoma-based technology for making rabbit monoclonal antibodies. For details on our patents, please refer to RabMAb® patents.

What are the advantages of a recombinant monoclonal antibody?
This product is a recombinant monoclonal antibody, which offers several advantages including:

  • - High batch-to-batch consistency and reproducibility
  • - Improved sensitivity and specificity
  • - Long-term security of supply
  • - Animal-free batch production

For more information, read more on recombinant antibodies.

Properties and storage information

Form
Liquid
Purity
Tissue culture supernatant
Storage buffer
pH: 7.2 - 7.4 Preservative: 0.01% Sodium azide Constituents: PBS, 50% Tissue culture supernatant, 40% Glycerol (glycerin, glycerine), 0.05% BSA
Shipped at conditions
Blue Ice
Appropriate short-term storage duration
1-2 weeks
Appropriate short-term storage conditions
+4°C
Appropriate long-term storage conditions
-20°C
Aliquoting information
Upon delivery aliquot
Storage information
Avoid freeze / thaw cycle

Product protocols

For this product, it's our understanding that no specific protocols are required. You can visit:

Target data

Induces disassembly of actin filaments in conjunction with ADF/cofilin family proteins (PubMed : 15629458, PubMed : 27557945, PubMed : 29751004). Enhances cofilin-mediated actin severing (By similarity). Involved in cytokinesis. Involved in chemotactic cell migration by restricting lamellipodial membrane protrusions (PubMed : 18494608). Involved in myocardium sarcomere organization. Required for cardiomyocyte growth and maintenance (By similarity). Involved in megakaryocyte maturation and platelet shedding. Required for the establishment of planar cell polarity (PCP) during follicular epithelium development and for cell shape changes during PCP; the function seems to implicate cooperation with CFL1 and/or DSTN/ADF. Involved in the generation/maintenance of cortical tension (By similarity). Involved in assembly and maintenance of epithelial apical cell junctions and plays a role in the organization of the perijunctional actomyosin belt (PubMed : 25792565).
See full target information WDR1

Publications (4)

Recent publications for all applications. Explore the full list and refine your search

Cancer science 112:893-905 PubMed33164271

2020

TNK2-AS1 upregulated by YY1 boosts the course of osteosarcoma through targeting miR-4319/WDR1.

Applications

Unspecified application

Species

Unspecified reactive species

Weitao Yao,Qiang Yan,Xinhui Du,Jingyu Hou

Scientific reports 8:13049 PubMed30158666

2018

A Serine/Threonine Kinase 16-Based Phospho-Proteomics Screen Identifies WD Repeat Protein-1 As A Regulator Of Constitutive Secretion.

Applications

Unspecified application

Species

Unspecified reactive species

Alfonso López-Coral,Anneliese C Striz,Pamela L Tuma

Journal of neuroscience research 96:1798-1815 PubMed30054946

2018

Selenium positively affects the proteome of 3 × Tg-AD mice cortex by altering the expression of various key proteins: unveiling the mechanistic role of selenium in AD prevention.

Applications

Unspecified application

Species

Unspecified reactive species

Javed Iqbal,Kaoyuan Zhang,Na Jin,Yuxi Zhao,Qiong Liu,Jiazuan Ni,Liming Shen

PloS one 12:e0169260 PubMed28056051

2017

Mapping the Interactome of a Major Mammalian Endoplasmic Reticulum Heat Shock Protein 90.

Applications

Unspecified application

Species

Unspecified reactive species

Feng Hong,Saleh Mohammad Rachidi,Debbie Lundgren,David Han,Xiu Huang,Hongyu Zhao,Yayoi Kimura,Hisashi Hirano,Osamu Ohara,Heichiiro Udono,Songdong Meng,Bei Liu,Zihai Li
View all publications

Product promise

We are committed to supporting your work with high-quality reagents, and we're here for you every step of the way. In the unlikely event that one of our products does not perform as expected, you're protected by our Product Promise.
For full details, please see our Terms & Conditions

Please note: All products are 'FOR RESEARCH USE ONLY. NOT FOR USE IN DIAGNOSTIC OR THERAPEUTIC PROCEDURES'.

For licensing inquiries, please contact partnerships@abcam.com