JavaScript is disabled in your browser. Please enable JavaScript to view this website.
AB283709

Anti-WDR19 antibody [EPR24915-11] - BSA and Azide free

Be the first to review this product! Submit a review

|

(0 Publication)

Rabbit Recombinant Monoclonal WDR19 antibody. Carrier free. Suitable for IP, WB and reacts with Mouse, Human, Rat samples.

View Alternative Names

IFT144, KIAA1638, WDR19, WD repeat-containing protein 19, Intraflagellar transport 144 homolog

3 Images
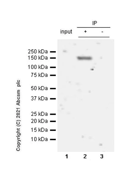
Immunoprecipitation - Anti-WDR19 antibody [EPR24915-11] - BSA and Azide free (AB283709)
  • IP

Supplier Data

Immunoprecipitation - Anti-WDR19 antibody [EPR24915-11] - BSA and Azide free (AB283709)

This data was developed using ab270970, the same antibody clone in a different buffer formulation.

WDR19 was immunoprecipitated from 0.35 mg mIMCD3 (mouse inner medullary collecting duct epithelial cell), whole cell lysate 10 ug with ab270970 at 1/30 dilution (2ug in 0.35mg lysates). Western blot was performed on the immunoprecipitate using ab270970 at 1/1000 dilution. VeriBlot for IP secondary antibody(HRP)(ab131366) was used at 1/5000 dilution.

Lane 1 : mIMCD3 (mouse inner medullary collecting duct epithelial cell), whole cell lysate 10 ug

Lane 2 : ab270970 IP in mIMCD3 whole cell lysate

Lane 3 : Rabbit monoclonal IgG (ab172730) instead of ab270970 in mIMCD3 whole cell lysate

Blocking and dilution buffer and concentration : 5% NFDM/TBST.

Exposure time : 3 minutes

All lanes:

Immunoprecipitation - Anti-WDR19 antibody [EPR24915-11] (<a href='/en-us/products/primary-antibodies/wdr19-antibody-epr24915-11-ab270970'>ab270970</a>)

Predicted band size: 151 kDa

Observed band size: 150 kDa

false

Western blot - Anti-WDR19 antibody [EPR24915-11] - BSA and Azide free (AB283709)
  • WB

Lab

Western blot - Anti-WDR19 antibody [EPR24915-11] - BSA and Azide free (AB283709)

This data was developed using ab270970, the same antibody clone in a different buffer formulation.

Blocking and diluting buffer and concentration : 5% NFDM/TBST.

Samples are non-boiled as boiling may cause protein aggregates.

Exposure time : 26 seconds.

All lanes:

Western blot - Anti-WDR19 antibody [EPR24915-11] (<a href='/en-us/products/primary-antibodies/wdr19-antibody-epr24915-11-ab270970'>ab270970</a>) at 1/1000 dilution

Lane 1:

HEK-293 (human embryonic kidney epithelial cell), whole cell lysate at 20 µg

Lane 2:

HeLa (human cervix adenocarcinoma epithelial cell), whole cell lysate at 20 µg

Lane 3:

mIMCD3 (mouse inner medullary collecting duct epithelial cell), whole cell lysate at 20 µg

Secondary

All lanes:

Goat Anti-Rabbit IgG, (H+L), Peroxidase conjugated (<a href='/en-us/products/secondary-antibodies/goat-rabbit-igg-h-l-hrp-ab97051'>ab97051</a>) at 1/100000 dilution

Predicted band size: 151 kDa

Observed band size: 150 kDa

false

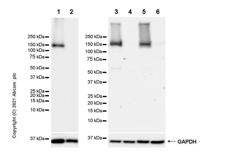
Western blot - Anti-WDR19 antibody [EPR24915-11] - BSA and Azide free (AB283709)
  • WB

Lab

Western blot - Anti-WDR19 antibody [EPR24915-11] - BSA and Azide free (AB283709)

This data was developed using ab270970, the same antibody clone in a different buffer formulation.

Blocking and diluting buffer and concentration : 5% NFDM/TBST.

Samples are non-boiled as boiling may cause protein aggregates.

Low expression : Spleen (PMID : 12906858)

Exposure time : Lane 1-2 : 26 seconds; Lane 3-6 : 103 seconds

All lanes:

Western blot - Anti-WDR19 antibody [EPR24915-11] (<a href='/en-us/products/primary-antibodies/wdr19-antibody-epr24915-11-ab270970'>ab270970</a>) at 1/1000 dilution

Lane 1:

Human epididymis tissue lysate at 20 µg

Lane 2:

Human spleen tissue lysate at 20 µg

Lane 3:

Mouse testis tissue lysate at 20 µg

Lane 4:

Mouse spleen tissue lysate at 20 µg

Lane 5:

Rat testis tissue lysate at 20 µg

Lane 6:

Rat spleen tissue lysate at 20 µg

Secondary

All lanes:

Goat Anti-Rabbit IgG, (H+L), Peroxidase conjugated (<a href='/en-us/products/secondary-antibodies/goat-rabbit-igg-h-l-hrp-ab97051'>ab97051</a>) at 1/100000 dilution

Predicted band size: 151 kDa

Observed band size: 150 kDa

false

Key facts

Host species

Rabbit

Clonality

Monoclonal

Clone number

EPR24915-11

Isotype

IgG

Carrier free

Yes

Reacts with

Rat, Mouse, Human

Applications

IP, WB

applications

Immunogen

The exact immunogen used to generate this antibody is proprietary information.

Reactivity data

{ "title": "Reactivity Data", "filters": { "stats": ["", "Species", "Dilution Info", "Notes"], "tabs": { "all-applications": {"fullname" : "All Applications", "shortname": "All Applications"}, "IP" : {"fullname" : "Immunoprecipitation", "shortname":"IP"}, "WB" : {"fullname" : "Western blot", "shortname":"WB"}, "IHCP" : {"fullname" : "Immunohistochemistry (Formalin/PFA-fixed paraffin-embedded sections)", "shortname":"IHC-P"}, "ICCIF" : {"fullname" : "Immunocytochemistry/ Immunofluorescence", "shortname":"ICC/IF"}, "FlowCytIntra" : {"fullname" : "Flow Cytometry (Intracellular)", "shortname":"Flow Cyt (Intra)"} }, "product-promise": { "all": "all", "testedAndGuaranteed": "tested", "guaranteed": "expected", "predicted": "predicted", "notRecommended": "not-recommended" } }, "values": { "Human": { "IP-species-checked": "testedAndGuaranteed", "IP-species-dilution-info": "", "IP-species-notes": "<p></p>", "WB-species-checked": "testedAndGuaranteed", "WB-species-dilution-info": "", "WB-species-notes": "<p></p>", "IHCP-species-checked": "notRecommended", "IHCP-species-dilution-info": "", "IHCP-species-notes": "<p></p>", "ICCIF-species-checked": "notRecommended", "ICCIF-species-dilution-info": "", "ICCIF-species-notes": "<p></p>", "FlowCytIntra-species-checked": "notRecommended", "FlowCytIntra-species-dilution-info": "", "FlowCytIntra-species-notes": "<p></p>" }, "Mouse": { "IP-species-checked": "testedAndGuaranteed", "IP-species-dilution-info": "", "IP-species-notes": "<p></p>", "WB-species-checked": "testedAndGuaranteed", "WB-species-dilution-info": "", "WB-species-notes": "<p></p>", "IHCP-species-checked": "notRecommended", "IHCP-species-dilution-info": "", "IHCP-species-notes": "<p></p>", "ICCIF-species-checked": "notRecommended", "ICCIF-species-dilution-info": "", "ICCIF-species-notes": "<p></p>", "FlowCytIntra-species-checked": "notRecommended", "FlowCytIntra-species-dilution-info": "", "FlowCytIntra-species-notes": "<p></p>" }, "Rat": { "IP-species-checked": "guaranteed", "IP-species-dilution-info": "", "IP-species-notes": "", "WB-species-checked": "testedAndGuaranteed", "WB-species-dilution-info": "", "WB-species-notes": "<p></p>", "IHCP-species-checked": "notRecommended", "IHCP-species-dilution-info": "", "IHCP-species-notes": "<p></p>", "ICCIF-species-checked": "notRecommended", "ICCIF-species-dilution-info": "", "ICCIF-species-notes": "", "FlowCytIntra-species-checked": "notRecommended", "FlowCytIntra-species-dilution-info": "", "FlowCytIntra-species-notes": "<p></p>" } } }

Product details

ab283709 is the carrier-free version of ab270970.

Patented technology
Our RabMAb® technology is a patented hybridoma-based technology for making rabbit monoclonal antibodies. For details on our patents, please refer to RabMAb® patents.

What are the advantages of a recombinant monoclonal antibody?
This product is a recombinant monoclonal antibody, which offers several advantages including:

  • - High batch-to-batch consistency and reproducibility
  • - Improved sensitivity and specificity
  • - Long-term security of supply
  • - Animal-free batch production

For more information, read more on recombinant antibodies.

Conjugation ready
Our carrier-free antibodies are typically supplied in a PBS-only formulation, purified and free of BSA, sodium azide and glycerol. This conjugation-ready format is designed for use with fluorochromes, metal isotopes, oligonucleotides, and enzymes, which makes them ideal for antibody labelling, functional and cell-based assays, flow-based assays (e.g. mass cytometry) and Multiplex Imaging applications.

Use our conjugation kits for antibody conjugates that are ready-to-use in as little as 20 minutes with 1 minute hands-on-time and 100% antibody recovery: available for fluorescent dyes, HRP, biotin and gold.

Compatibility
This product is compatible with the Maxpar® Antibody Labeling Kit from Fluidigm, without the need for antibody preparation. Maxpar® is a trademark of Fluidigm Canada Inc.

Properties and storage information

Form
Liquid
Purification technique
Affinity purification Protein A
Storage buffer
pH: 7.2 - 7.4 Constituents: PBS
Shipped at conditions
Blue Ice
Appropriate short-term storage conditions
+4°C
Appropriate long-term storage conditions
+4°C

Supplementary information

This supplementary information is collated from multiple sources and compiled automatically.

WDR19 also known as WD repeat-containing protein 19 or IFT144 plays an essential mechanical role in the intraflagellar transport system. This protein with a molecular mass of approximately 109 kDa facilitates movement of molecular cargo along axonemes within cilia. WDR19 expresses in ciliated cells across various tissues and contributes to ciliogenesis and maintenance of normal ciliary function. Its primary role involves interactions with other intraflagellar transport proteins aiding transportation processes within cilia.
Biological function summary

This protein contributes to the structure and function of motile and sensory cilian important components in cell signaling and motility. WDR19 operates as part of the IFT-A complex consisting of six proteins. These complexes help regulate the anterograde and retrograde transport essential for maintaining ciliary integrity. The precise interaction among IFT-A proteins allows efficient delivery and recycling of ciliary components thereby supporting cellular processes like developmental signaling and sensory perception.

Pathways

WDR19 participates extensively in the Hedgehog signaling pathway and the Wnt signaling pathway both important for development and differentiation. In Hedgehog signaling effective ciliary transport facilitated by WDR19 regulates the movement of morphogens necessary for patterning tissues during embryogenesis. Additionally its role in Wnt pathways helps modulate processes like cell fate determination. Within these pathways proteins such as IFT27 and IFT88 cooperate with WDR19 ensuring precise transport and signaling activities.

Mutations in WDR19 can lead to ciliopathies including Sensenbrenner syndrome and nephronophthisis. Sensenbrenner syndrome presents with skeletal and craniofacial abnormalities due to disrupted ciliary function while nephronophthisis results in kidney disorders caused by dysfunctional cilia. WDR19 interacts with proteins like WDR35 and NPHP2 in these conditions which further establishes the disruptions in transport activities in ciliopathies. Understanding these interactions helps in identifying potential therapeutic targets to address these conditions.

Product protocols

For this product, it's our understanding that no specific protocols are required. You can visit:

Target data

As component of the IFT complex A (IFT-A), a complex required for retrograde ciliary transport and entry into cilia of G protein-coupled receptors (GPCRs), it is involved in cilia function and/or assembly (PubMed : 20889716). Essential for functional IFT-A assembly and ciliary entry of GPCRs (PubMed : 20889716). Associates with the BBSome complex to mediate ciliary transport (By similarity).
See full target information WDR19

Product promise

We are committed to supporting your work with high-quality reagents, and we're here for you every step of the way. In the unlikely event that one of our products does not perform as expected, you're protected by our Product Promise.
For full details, please see our Terms & Conditions

Please note: All products are 'FOR RESEARCH USE ONLY. NOT FOR USE IN DIAGNOSTIC OR THERAPEUTIC PROCEDURES'.

For licensing inquiries, please contact partnerships@abcam.com