JavaScript is disabled in your browser. Please enable JavaScript to view this website.
AB130417

Anti-WDR21A antibody

Be the first to review this product! Submit a review

|

(1 Publication)

Rabbit Polyclonal WDR21A antibody. Suitable for IHC-P, WB, ICC/IF and reacts with Human samples. Cited in 1 publication. Immunogen corresponding to Recombinant Fragment Protein within Human DCAF4 aa 50-150.

View Alternative Names

WDR21, WDR21A, DCAF4, DDB1- and CUL4-associated factor 4, WD repeat-containing protein 21A

3 Images
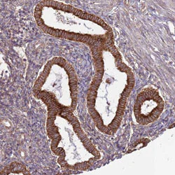
Immunohistochemistry (Formalin/PFA-fixed paraffin-embedded sections) - Anti-WDR21A antibody (AB130417)
  • IHC-P

Unknown

Immunohistochemistry (Formalin/PFA-fixed paraffin-embedded sections) - Anti-WDR21A antibody (AB130417)

Immunohistochemical analysis of Formalin-fixed, paraffin embedded Human uterus, pre-menopause tissue labelled with WDR21A antibody at 1/200 dilution.

Immunocytochemistry/ Immunofluorescence - Anti-WDR21A antibody (AB130417)
  • ICC/IF

Unknown

Immunocytochemistry/ Immunofluorescence - Anti-WDR21A antibody (AB130417)

Immunocytochemistry/immunofluorescence analysis of MCF7 cells labelling WDR21A with ab130417 shows positive staining in the nucleus but excluded from the nucleoli.

Western blot - Anti-WDR21A antibody (AB130417)
  • WB

Unknown

Western blot - Anti-WDR21A antibody (AB130417)

Lane 1 : Marker [kDa] 250; 130; 95; 72; 55; 36; 28; 17; 10
Lane 2 : RT-4
Lane 3 : U-251 MG
Lane 4 : Human Plasma
Lane 5 : Liver
Lane 6 : Tonsil

All lanes:

Western blot - Anti-WDR21A antibody (ab130417)

Predicted band size: 56 kDa

false

Key facts

Host species

Rabbit

Clonality

Polyclonal

Isotype

IgG

Carrier free

No

Reacts with

Human

Applications

WB, IHC-P, ICC/IF

applications

Immunogen

Recombinant Fragment Protein within Human DCAF4 aa 50-150. The exact immunogen used to generate this antibody is proprietary information.

Q8WV16

Reactivity data

{ "title": "Reactivity Data", "filters": { "stats": ["", "Species", "Dilution Info", "Notes"], "tabs": { "all-applications": {"fullname" : "All Applications", "shortname": "All Applications"}, "IHCP" : {"fullname" : "Immunohistochemistry (Formalin/PFA-fixed paraffin-embedded sections)", "shortname":"IHC-P"}, "WB" : {"fullname" : "Western blot", "shortname":"WB"}, "ICCIF" : {"fullname" : "Immunocytochemistry/ Immunofluorescence", "shortname":"ICC/IF"} }, "product-promise": { "all": "all", "testedAndGuaranteed": "tested", "guaranteed": "expected", "predicted": "predicted", "notRecommended": "not-recommended" } }, "values": { "Human": { "IHCP-species-checked": "testedAndGuaranteed", "IHCP-species-dilution-info": "1/200 - 1/500", "IHCP-species-notes": "<p></p> Perform heat-mediated antigen retrieval with citrate buffer pH 6 before commencing with IHC staining protocol.", "WB-species-checked": "testedAndGuaranteed", "WB-species-dilution-info": "0.04-0.4 µg/mL", "WB-species-notes": "<p></p>", "ICCIF-species-checked": "testedAndGuaranteed", "ICCIF-species-dilution-info": "0.25-2 µg/mL", "ICCIF-species-notes": "<p></p>" } } }

Properties and storage information

Form
Liquid
Purification technique
Affinity purification Immunogen
Storage buffer
pH: 7.2 Preservative: 0.02% Sodium azide Constituents: PBS, 40% Glycerol (glycerin, glycerine)
Shipped at conditions
Blue Ice
Appropriate short-term storage conditions
+4°C
Appropriate long-term storage conditions
-20°C
Aliquoting information
Upon delivery aliquot
Storage information
Avoid freeze / thaw cycle

Supplementary information

This supplementary information is collated from multiple sources and compiled automatically.

WDR21A also known as STRAP or Mak10 acts as an important component of cellular processes such as gene expression and signal transduction. Mechanically the WDR21A protein features a series of WD40 repeats which facilitate protein-protein interactions. Its molecular weight stands around 39 kDa. Researchers identify an expression of WDR21A across various tissues with observable levels in the liver lung and kidney highlighting its essential presence in the human body.
Biological function summary

Associated with cellular machinery WDR21A serves as a co-chaperone in complex regulatory mechanisms. It functions within the prefoldin complex contributing to the stabilization of nascent polypeptides and assisting with proper protein folding. This participation plays a direct role in maintaining cellular homeostasis and efficiency by preventing misfolded protein aggregation. Dysregulation within these processes can lead to cellular stress and malfunctioning pathways emphasizing the role of WDR21A in maintaining cellular order.

Pathways

WDR21A plays a role in pathways like the TGF-beta signaling and mTOR pathways which are critical in regulating cell growth proliferation and differentiation. Within these pathways WDR21A interacts with proteins such as Smad4 and Raptor. These interactions showcase the integrated role of WDR21A in facilitating important cellular responses to external and internal cues thereby influencing various cellular outcomes and states.

Alterations in WDR21A expression have been linked to cancer particularly hepatocellular carcinoma and its involvement in neurodegenerative disorders such as Huntington's disease. The connection to cancer involves interactions with proteins like Smad4 impacting cell cycle regulation and apoptosis. In neurodegeneration WDR21A's relationship with Huntington protein highlights its impact on neuroprotective pathways emphasizing the importance of its regulation for preventing disease progression.

Product protocols

For this product, it's our understanding that no specific protocols are required. You can visit:

Target data

May function as a substrate receptor for CUL4-DDB1 E3 ubiquitin-protein ligase complex.
See full target information DCAF4

Publications (1)

Recent publications for all applications. Explore the full list and refine your search

Cancer drug resistance (Alhambra, Calif.) 4:485-502 PubMed35582032

2021

ABCA1 is associated with the development of acquired chemotherapy resistance and predicts poor ovarian cancer outcome.

Applications

Unspecified application

Species

Unspecified reactive species

Wanqi Wang,Noor A Lokman,Tannith M Noye,Anne M Macpherson,Martin K Oehler,Carmela Ricciardelli
View all publications

Product promise

We are committed to supporting your work with high-quality reagents, and we're here for you every step of the way. In the unlikely event that one of our products does not perform as expected, you're protected by our Product Promise.
For full details, please see our Terms & Conditions

Please note: All products are 'FOR RESEARCH USE ONLY. NOT FOR USE IN DIAGNOSTIC OR THERAPEUTIC PROCEDURES'.

For licensing inquiries, please contact partnerships@abcam.com