JavaScript is disabled in your browser. Please enable JavaScript to view this website.
AB203345

Anti-WDR26 antibody

1

(1 Review)

|

(2 Publications)

Rabbit Polyclonal WDR26 antibody. Suitable for IHC-P and reacts with Rat, Human samples. Cited in 2 publications. Immunogen corresponding to Synthetic Peptide within Human WDR26 aa 250-350 conjugated to Keyhole Limpet Haemocyanin.

View Alternative Names

CDW2, MIP2, PRO0852, WDR26, WD repeat-containing protein 26, CUL4- and DDB1-associated WDR protein 2, Myocardial ischemic preconditioning up-regulated protein 2

2 Images
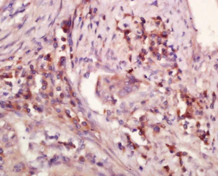
Immunohistochemistry (Formalin/PFA-fixed paraffin-embedded sections) - Anti-WDR26 antibody (AB203345)
  • IHC-P

Supplier Data

Immunohistochemistry (Formalin/PFA-fixed paraffin-embedded sections) - Anti-WDR26 antibody (AB203345)

Immunohistochemical analysis of formalin/PFA-fixed paraffin-embedded human laryngocarcinoma section labeling WDR26 with ab203345 at at 1/200 dilution, followed by conjugation to the secondary antibody and DAB staining.

Immunohistochemistry (Formalin/PFA-fixed paraffin-embedded sections) - Anti-WDR26 antibody (AB203345)
  • IHC-P

Supplier Data

Immunohistochemistry (Formalin/PFA-fixed paraffin-embedded sections) - Anti-WDR26 antibody (AB203345)

Immunohistochemical analysis of formalin/PFA-fixed paraffin-embedded rat heart section labeling WDR26 with ab203345 at at 1/200 dilution, followed by conjugation to the secondary antibody and DAB staining.

Key facts

Host species

Rabbit

Clonality

Polyclonal

Isotype

IgG

Carrier free

No

Reacts with

Rat, Human

Applications

IHC-P

applications

Immunogen

Synthetic Peptide within Human WDR26 aa 250-350 conjugated to Keyhole Limpet Haemocyanin. The exact immunogen used to generate this antibody is proprietary information.

Q9H7D7

Reactivity data

{ "title": "Reactivity Data", "filters": { "stats": ["", "Species", "Dilution Info", "Notes"], "tabs": { "all-applications": {"fullname" : "All Applications", "shortname": "All Applications"}, "IHCP" : {"fullname" : "Immunohistochemistry (Formalin/PFA-fixed paraffin-embedded sections)", "shortname":"IHC-P"} }, "product-promise": { "all": "all", "testedAndGuaranteed": "tested", "guaranteed": "expected", "predicted": "predicted", "notRecommended": "not-recommended" } }, "values": { "Human": { "IHCP-species-checked": "testedAndGuaranteed", "IHCP-species-dilution-info": "1/100 - 1/500", "IHCP-species-notes": "<p>When using a fluorescent probe please use a dilution of 1/50 - 1/200.</p>" }, "Rat": { "IHCP-species-checked": "testedAndGuaranteed", "IHCP-species-dilution-info": "1/100 - 1/500", "IHCP-species-notes": "<p>When using a fluorescent probe please use a dilution of 1/50 - 1/200.</p>" } } }

Properties and storage information

Form
Liquid
Purification technique
Affinity purification Protein A
Storage buffer
pH: 7.4 Preservative: 0.02% Proclin 300 Constituents: 50% Glycerol (glycerin, glycerine), 48.98% TBS, 1X, 1% BSA
Shipped at conditions
Blue Ice
Appropriate short-term storage duration
1-2 weeks
Appropriate short-term storage conditions
+4°C
Appropriate long-term storage conditions
-20°C
Aliquoting information
Upon delivery aliquot
Storage information
Avoid freeze / thaw cycle

Supplementary information

This supplementary information is collated from multiple sources and compiled automatically.

WDR26 also known as WD repeat domain 26 is part of the WD repeat protein family which is important in protein-protein interactions. It weighs roughly 109 kDa. WDR26 expresses in various tissues with significant levels observed in the brain and testis. The protein itself has a molecular architecture enriched with WD repeats which facilitates its involvement in cellular processes by mediating complex formation and signal transduction.
Biological function summary

In the cellular environment WDR26 engages in regulating intracellular signaling pathways. It is a component of the STRIPAK complex which includes several proteins playing roles in synaptic and cellular signaling. The involvement of WDR26 in the STRIPAK complex as a scaffold aids in the correct assembly and localization of the complex impacting cellular processes such as apoptosis and proliferation.

Pathways

WDR26 integrates into key signaling pathways like the MAPK signaling pathway. It interacts with other proteins such as STRN3 and MOB3 to modulate signals that affect gene expression growth and cell differentiation. The MAPK pathway in particular facilitates responses to growth factors stress signals and mitogens illustrating the protein's versatility in signal transduction.

Defects or dysregulation of WDR26 relate to intellectual disabilities and certain neurodevelopmental disorders. Research indicates that changes in WDR26 expression can disturb normal brain development and function often connecting with other proteins like MEK1 which also participates in neurodevelopment. These connections link WDR26 closely to neurological functions and highlight its potential as a target for therapeutic interventions.

Product protocols

For this product, it's our understanding that no specific protocols are required. You can visit:

Target data

G-beta-like protein involved in cell signal transduction (PubMed : 15378603, PubMed : 19446606, PubMed : 22065575, PubMed : 23625927, PubMed : 26895380, PubMed : 27098453). Acts as a negative regulator in MAPK signaling pathway (PubMed : 15378603). Functions as a scaffolding protein to promote G beta : gamma-mediated PLCB2 plasma membrane translocation and subsequent activation in leukocytes (PubMed : 22065575, PubMed : 23625927). Core component of the CTLH E3 ubiquitin-protein ligase complex that selectively accepts ubiquitin from UBE2H and mediates ubiquitination and subsequent proteasomal degradation of the transcription factor HBP1 (PubMed : 29911972). Acts as a negative regulator of the canonical Wnt signaling pathway through preventing ubiquitination of beta-catenin CTNNB1 by the beta-catenin destruction complex, thus negatively regulating CTNNB1 degradation (PubMed : 27098453). Serves as a scaffold to coordinate PI3K/AKT pathway-driven cell growth and migration (PubMed : 26895380). Protects cells from oxidative stress-induced apoptosis via the down-regulation of AP-1 transcriptional activity as well as by inhibiting cytochrome c release from mitochondria (PubMed : 19446606). Protects also cells by promoting hypoxia-mediated autophagy and mitophagy (By similarity).
See full target information WDR26

Publications (2)

Recent publications for all applications. Explore the full list and refine your search

eLife 10: PubMed34029184

2021

A phosphorylation of RIPK3 kinase initiates an intracellular apoptotic pathway that promotes prostaglandin-induced corpus luteum regression.

Applications

Unspecified application

Species

Unspecified reactive species

Dianrong Li,Jie Chen,Jia Guo,Lin Li,Gaihong Cai,She Chen,Jia Huang,Hui Yang,Yinhua Zhuang,Fengchao Wang,Xiaodong Wang

Nature communications 11:5156 PubMed33056990

2020

Pan-cancer analysis reveals TAp63-regulated oncogenic lncRNAs that promote cancer progression through AKT activation.

Applications

Unspecified application

Species

Unspecified reactive species

Marco Napoli,Xiaobo Li,Hayley D Ackerman,Avani A Deshpande,Ivan Barannikov,Marlese A Pisegna,Isabelle Bedrosian,Jürgen Mitsch,Philip Quinlan,Alastair Thompson,Kimal Rajapakshe,Cristian Coarfa,Preethi H Gunaratne,Douglas C Marchion,Anthony M Magliocco,Kenneth Y Tsai,Elsa R Flores
View all publications

Product promise

We are committed to supporting your work with high-quality reagents, and we're here for you every step of the way. In the unlikely event that one of our products does not perform as expected, you're protected by our Product Promise.
For full details, please see our Terms & Conditions

Please note: All products are 'FOR RESEARCH USE ONLY. NOT FOR USE IN DIAGNOSTIC OR THERAPEUTIC PROCEDURES'.

For licensing inquiries, please contact partnerships@abcam.com