JavaScript is disabled in your browser. Please enable JavaScript to view this website.
AB235046

Anti-WDR37 antibody

Be the first to review this product! Submit a review

|

(1 Publication)

Rabbit Polyclonal WDR37 antibody. Suitable for WB, IHC-P and reacts with Human samples. Cited in 1 publication. Immunogen corresponding to Recombinant Full Length Protein corresponding to Mouse Wdr37.

View Alternative Names

Kiaa0982, Wdr37, WD repeat-containing protein 37

3 Images
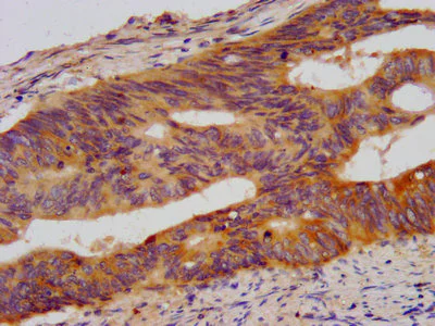
Immunohistochemistry (Formalin/PFA-fixed paraffin-embedded sections) - Anti-WDR37 antibody (AB235046)
  • IHC-P

Supplier Data

Immunohistochemistry (Formalin/PFA-fixed paraffin-embedded sections) - Anti-WDR37 antibody (AB235046)

Paraffin-embedded human colon cancer tissue stained for WDR37 using ab235046 at 1/500 dilution in immunohistochemical analysis.

After dewaxing and hydration, antigen retrieval was mediated by high pressure in a citrate buffer (pH 6.0). Section was blocked with 10% normal goat serum for 30 minutes at room temperature. Primary antibody (1% BSA) was incubated at 4°C overnight. The primary antibody was detected by a biotinylated secondary antibody and visualized using a HRP conjugated SP system.

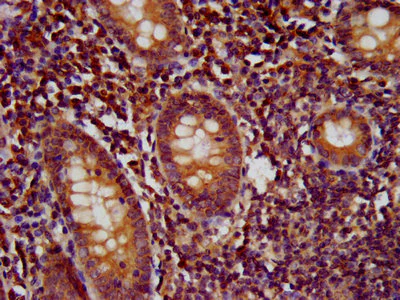
Immunohistochemistry (Formalin/PFA-fixed paraffin-embedded sections) - Anti-WDR37 antibody (AB235046)
  • IHC-P

Supplier Data

Immunohistochemistry (Formalin/PFA-fixed paraffin-embedded sections) - Anti-WDR37 antibody (AB235046)

Paraffin-embedded human appendix tissue stained for WDR37 using ab235046 at 1/500 dilution in immunohistochemical analysis.

After dewaxing and hydration, antigen retrieval was mediated by high pressure in a citrate buffer (pH 6.0). Section was blocked with 10% normal goat serum for 30 minutes at room temperature. Primary antibody (1% BSA) was incubated at 4°C overnight. The primary antibody was detected by a biotinylated secondary antibody and visualized using a HRP conjugated SP system.

Western blot - Anti-WDR37 antibody (AB235046)
  • WB

Supplier Data

Western blot - Anti-WDR37 antibody (AB235046)

All lanes:

Western blot - Anti-WDR37 antibody (ab235046) at 1/500 dilution

All lanes:

HepG2 (human liver hepatocellular carcinoma cell line) cell lysate

Secondary

All lanes:

Goat polyclonal to rabbit IgG at 1/50000 dilution

Predicted band size: 55 kDa

false

Key facts

Host species

Rabbit

Clonality

Polyclonal

Isotype

IgG

Carrier free

No

Reacts with

Human

Applications

WB, IHC-P

applications

Immunogen

Recombinant Full Length Protein corresponding to Mouse Wdr37.

Q8CBE3

Reactivity data

{ "title": "Reactivity Data", "filters": { "stats": ["", "Species", "Dilution Info", "Notes"], "tabs": { "all-applications": {"fullname" : "All Applications", "shortname": "All Applications"}, "WB" : {"fullname" : "Western blot", "shortname":"WB"}, "IHCP" : {"fullname" : "Immunohistochemistry (Formalin/PFA-fixed paraffin-embedded sections)", "shortname":"IHC-P"} }, "product-promise": { "all": "all", "testedAndGuaranteed": "tested", "guaranteed": "expected", "predicted": "predicted", "notRecommended": "not-recommended" } }, "values": { "Human": { "WB-species-checked": "testedAndGuaranteed", "WB-species-dilution-info": "1/500 - 1/5000", "WB-species-notes": "<p></p>", "IHCP-species-checked": "testedAndGuaranteed", "IHCP-species-dilution-info": "1/200 - 1/500", "IHCP-species-notes": "<p></p>" }, "Orangutan": { "WB-species-checked": "predicted", "WB-species-dilution-info": "", "WB-species-notes": "", "IHCP-species-checked": "predicted", "IHCP-species-dilution-info": "", "IHCP-species-notes": "" }, "Xenopus laevis": { "WB-species-checked": "predicted", "WB-species-dilution-info": "", "WB-species-notes": "", "IHCP-species-checked": "predicted", "IHCP-species-dilution-info": "", "IHCP-species-notes": "" }, "Xenopus tropicalis": { "WB-species-checked": "predicted", "WB-species-dilution-info": "", "WB-species-notes": "", "IHCP-species-checked": "predicted", "IHCP-species-dilution-info": "", "IHCP-species-notes": "" } } }

Properties and storage information

Form
Liquid
Purification technique
Affinity purification Protein G
Purification notes
Purity >95%.
Storage buffer
pH: 7.4 Preservative: 0.03% Proclin 300 Constituents: PBS, 50% Glycerol (glycerin, glycerine)
Shipped at conditions
Blue Ice
Appropriate short-term storage duration
1-2 weeks
Appropriate short-term storage conditions
+4°C
Appropriate long-term storage conditions
-20°C
Aliquoting information
Upon delivery aliquot
Storage information
Avoid freeze / thaw cycle

Supplementary information

This supplementary information is collated from multiple sources and compiled automatically.

The protein WDR37 also known as WD Repeat Domain 37 functions as a scaffold protein containing several WD repeat motifs. It has a molecular weight of approximately 106 kDa. WDR37 expresses in multiple tissues including the brain heart and liver. The protein plays a role in protein-protein interactions facilitating various cellular processes by forming stable multiprotein assemblies.
Biological function summary

WDR37 participates in cell cycle regulation and signal transduction. It is a part of multiprotein complexes that influence the progression of the cell cycle and mitotic spindle formation. WDR37 aids in organizing the interactions necessary for these cellular activities which contributes to maintaining proper cellular function. It also shows involvement in neurodegenerative processes and has been implicated in the maintenance of neuronal health.

Pathways

WDR37 interacts with critical protein networks involved in the PI3K/AKT signaling pathway. This pathway is significant for cell growth survival and metabolism. WDR37's associations within this pathway influence important molecular cascades and involve interactions with proteins like AKT and PI3K helping to coordinate cellular responses. WDR37 is also involved in the Wnt signaling pathway vital for gene expression regulation and developmental processes.

WDR37-related dysfunction has been associated with intellectual disability and autism spectrum disorders. These conditions highlight the protein's importance in brain health and development. In such diseases the dysregulated interaction between WDR37 and other proteins like those involved in synaptic functions may contribute to the pathological features observed. Understanding WDR37's role further can offer insights into therapeutic options for these neurological conditions.

Product protocols

For this product, it's our understanding that no specific protocols are required. You can visit:

Target data

Required for normal ER Ca2+ handling in lymphocytes. Together with PACS1, it plays an essential role in stabilizing peripheral lymphocyte populations.
See full target information Wdr37

Publications (1)

Recent publications for all applications. Explore the full list and refine your search

The Journal of cell biology 221: PubMed34747980

2021

Ubiquitin ligase MARCH5 localizes to peroxisomes to regulate pexophagy.

Applications

Unspecified application

Species

Unspecified reactive species

Jun Zheng,Xi Chen,Qiang Liu,Guisheng Zhong,Min Zhuang
View all publications

Product promise

We are committed to supporting your work with high-quality reagents, and we're here for you every step of the way. In the unlikely event that one of our products does not perform as expected, you're protected by our Product Promise.
For full details, please see our Terms & Conditions

Please note: All products are 'FOR RESEARCH USE ONLY. NOT FOR USE IN DIAGNOSTIC OR THERAPEUTIC PROCEDURES'.

For licensing inquiries, please contact partnerships@abcam.com