JavaScript is disabled in your browser. Please enable JavaScript to view this website.
AB249480

Anti-WDR4 antibody [EPR11052] - BSA and Azide free

  • BOND RX™ Validated
  • RabMAb
  • Recombinant
  • KO Validated
  • What is this?

Be the first to review this product! Submit a review

|

(1 Publication)

Rabbit Recombinant Monoclonal WDR4 antibody. Carrier free. Suitable for WB, IHC-P, ICC/IF, Flow Cyt (Intra) and reacts with Human samples. Cited in 1 publication.

View Alternative Names

tRNA (guanine-N(7)-)-methyltransferase non-catalytic subunit WDR4, Protein Wuho homolog, WD repeat-containing protein 4, hWH, WDR4

6 Images
Immunohistochemistry (Formalin/PFA-fixed paraffin-embedded sections) - Anti-WDR4 antibody [EPR11052] - BSA and Azide free (AB249480)
  • IHC-P

Supplier Data

Immunohistochemistry (Formalin/PFA-fixed paraffin-embedded sections) - Anti-WDR4 antibody [EPR11052] - BSA and Azide free (AB249480)

This data was developed using ab169526, the same antibody clone in a different buffer formulation.
Immunohistochemistry (Formalin/PFA-fixed paraffin-embedded sections) analysis of human prostatic hyperplasia tissue sections labeling WDR4 with purified ab169526 at 1 : 1000 (1.026 μg/ml). Heat mediated antigen retrieval was performed using Bond™ Epitope Retrieval Solution 1 (pH 6.0). Tissue was counterstained with Hematoxylin. Rabbit specific IHC polymer detection kit HRP/DAB (ab209101) was used. PBS instead of the primary antibody was used as the negative control. The immunostaining was performed on a Leica Biosystems BOND® RX instrument.

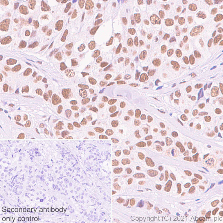
Immunohistochemistry (Formalin/PFA-fixed paraffin-embedded sections) - Anti-WDR4 antibody [EPR11052] - BSA and Azide free (AB249480)
  • IHC-P

Supplier Data

Immunohistochemistry (Formalin/PFA-fixed paraffin-embedded sections) - Anti-WDR4 antibody [EPR11052] - BSA and Azide free (AB249480)

This data was developed using ab169526, the same antibody clone in a different buffer formulation.
Immunohistochemistry (Formalin/PFA-fixed paraffin-embedded sections) analysis of human breast carcinoma tissue sections labeling WDR4 with purified ab169526 at 1 : 1000 (1.026 μg/ml). Heat mediated antigen retrieval was performed using Bond™ Epitope Retrieval Solution 1 (pH 6.0). Tissue was counterstained with Hematoxylin. Rabbit specific IHC polymer detection kit HRP/DAB (ab209101) was used. PBS instead of the primary antibody was used as the negative control. The immunostaining was performed on a Leica Biosystems BOND® RX instrument.

Flow Cytometry (Intracellular) - Anti-WDR4 antibody [EPR11052] - BSA and Azide free (AB249480)
  • Flow Cyt (Intra)

Supplier Data

Flow Cytometry (Intracellular) - Anti-WDR4 antibody [EPR11052] - BSA and Azide free (AB249480)

This data was developed using ab169526, the same antibody clone in a different buffer formulation.
Flow Cytometry analysis of HeLa (Human cervix adenocarcinoma epithelial cell) cells labelling WDR4 with purified ab169526 at 1/100 dilution (10 µg/ml) (red). Cells were fixed with 4% Paraformaldehyde and permeabilised with 90% Methanol. A Goat anti-rabbit IgG (Alexa Fluor® 488) (ab150081) secondary antibody was used at 1/2000. Isotype control - Rabbit monoclonal IgG (black). Unlabelled control - Cell without incubation with primary antibody and secondary antibody (blue).

Immunocytochemistry/ Immunofluorescence - Anti-WDR4 antibody [EPR11052] - BSA and Azide free (AB249480)
  • ICC/IF

Supplier Data

Immunocytochemistry/ Immunofluorescence - Anti-WDR4 antibody [EPR11052] - BSA and Azide free (AB249480)

This data was developed using ab169526, the same antibody clone in a different buffer formulation.
Immunocytochemistry analysis of HeLa (Human cervix adenocarcinoma epithelial cell) cells labeling WDR4 with purified ab169526 at 1 : 100 dilution (10.2 µg/ml). Cells were fixed in 4% Paraformaldehyde and permeabilized with 0.1% tritonX-100. Cells were counterstained with Anti-alpha Tubulin antibody [DM1A] - Microtubule Marker (Alexa Fluor® 594) at 1/200 dilution (2.5 µg/ml) (ab195889) (red). Goat anti-rabbit IgG (Alexa Fluor® 488) (ab150077) was used as the secondary antibody at 1 : 1000 (2 µg/ml) dilution. DAPI (blue) was used as a nuclear counterstain. PBS instead of the primary antibody was used as the secondary antibody only control.

Western blot - Anti-WDR4 antibody [EPR11052] - BSA and Azide free (AB249480)
  • WB

Supplier Data

Western blot - Anti-WDR4 antibody [EPR11052] - BSA and Azide free (AB249480)

This data was developed using ab169526, the same antibody clone in a different buffer formulation.

All lanes:

Western blot - Anti-WDR4 antibody [EPR11052] (<a href='/en-us/products/primary-antibodies/wdr4-antibody-epr11052-ab169526'>ab169526</a>) at 1/1000 dilution

Lane 1:

HepG2 (Human hepatocellular carcinoma epithelial cell) whole cell lysate at 20 µg

Lane 2:

HeLa (Human cervix adenocarcinoma epithelial cell) whole cell lysate at 20 µg

Lane 3:

A549 (Human lung carcinoma epithelial cell) whole cell lysate at 20 µg

Lane 4:

MCF7 (Human breast adenocarcinoma epithelial cell) whole cell lysate at 20 µg

Secondary

All lanes:

Western blot - Goat Anti-Rabbit IgG H&L (HRP) (<a href='/en-us/products/secondary-antibodies/goat-rabbit-igg-h-l-hrp-ab97051'>ab97051</a>) at 1/100000 dilution

Predicted band size: 45 kDa

Observed band size: 45 kDa

false

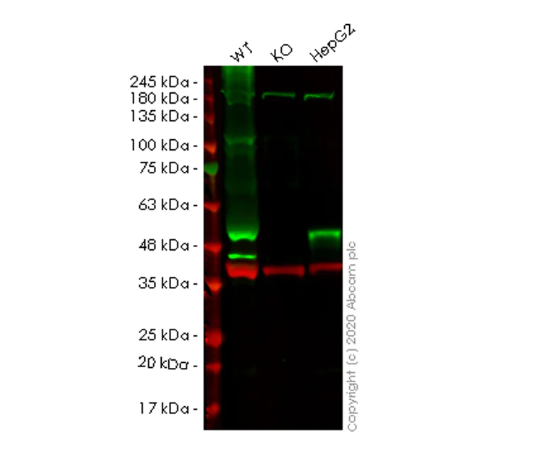
Western blot - Anti-WDR4 antibody [EPR11052] - BSA and Azide free (AB249480)
  • WB

Unknown

Western blot - Anti-WDR4 antibody [EPR11052] - BSA and Azide free (AB249480)

This data was developed using the same antibody clone in a different buffer formulation (ab169526).

Lanes 1-3 : Merged signal (red and green). Green - ab169526 observed at 49 kDa. Red - loading control ab8245 observed at 36 kDa.

ab169526 Anti-WDR4 antibody [EPR11052] was shown to specifically react with WDR4 in wild-type HeLa cells. Loss of signal was observed when knockout cell line ab265109 (knockout cell lysate ab258285) was used. Wild-type and WDR4 knockout samples were subjected to SDS-PAGE. ab169526 and Anti-GAPDH antibody [6C5] - Loading Control (ab8245) were incubated overnight at 4°C at 1 in 1000 dilution and 1 in 20000 dilution respectively. Blots were developed with Goat anti-Rabbit IgG H&L (IRDye® 800CW) preadsorbed (ab216773) and Goat anti-Mouse IgG H&L (IRDye® 680RD) preadsorbed (ab216776) secondary antibodies at 1 in 20000 dilution for 1 hour at room temperature before imaging.

All lanes:

Western blot - Anti-WDR4 antibody [EPR11052] (<a href='/en-us/products/primary-antibodies/wdr4-antibody-epr11052-ab169526'>ab169526</a>) at 1/1000 dilution

Lane 1:

Wild-type HeLa cell lysate at 20 µg

Lane 2:

WDR4 knockout HeLa cell lysate at 20 µg

Lane 2:

Western blot - Human WDR4 knockout HeLa cell line (<a href='/en-us/products/cell-lines/human-wdr4-knockout-hela-cell-line-ab265109'>ab265109</a>)

Lane 3:

HepG2 cell lysate at 20 µg

Secondary

All lanes:

Western blot - Goat anti-Rabbit IgG H&L (IRDye® 800CW) preadsorbed (<a href='/en-us/products/secondary-antibodies/goat-rabbit-igg-h-l-irdye-800cw-preadsorbed-ab216773'>ab216773</a>) at 1/10000 dilution

Predicted band size: 45 kDa

Observed band size: 49 kDa

false

Key facts

Host species

Rabbit

Clonality

Monoclonal

Clone number

EPR11052

Isotype

IgG

Carrier free

Yes

Reacts with

Human

Applications

IHC-P, ICC/IF, WB, Flow Cyt (Intra)

applications

Immunogen

The exact immunogen used to generate this antibody is proprietary information.

Reactivity data

{ "title": "Reactivity Data", "filters": { "stats": ["", "Species", "Dilution Info", "Notes"], "tabs": { "all-applications": {"fullname" : "All Applications", "shortname": "All Applications"}, "WB" : {"fullname" : "Western blot", "shortname":"WB"}, "IHCP" : {"fullname" : "Immunohistochemistry (Formalin/PFA-fixed paraffin-embedded sections)", "shortname":"IHC-P"}, "ICCIF" : {"fullname" : "Immunocytochemistry/ Immunofluorescence", "shortname":"ICC/IF"}, "FlowCytIntra" : {"fullname" : "Flow Cytometry (Intracellular)", "shortname":"Flow Cyt (Intra)"} }, "product-promise": { "all": "all", "testedAndGuaranteed": "tested", "guaranteed": "expected", "predicted": "predicted", "notRecommended": "not-recommended" } }, "values": { "Human": { "WB-species-checked": "testedAndGuaranteed", "WB-species-dilution-info": "", "WB-species-notes": "<p></p>", "IHCP-species-checked": "testedAndGuaranteed", "IHCP-species-dilution-info": "", "IHCP-species-notes": "<p></p>", "ICCIF-species-checked": "testedAndGuaranteed", "ICCIF-species-dilution-info": "", "ICCIF-species-notes": "<p></p>", "FlowCytIntra-species-checked": "testedAndGuaranteed", "FlowCytIntra-species-dilution-info": "", "FlowCytIntra-species-notes": "<p></p>" } } }

Product details

ab249480 is the carrier-free version of ab169526.

Conjugation ready
Our carrier-free antibodies are typically supplied in a PBS-only formulation, purified and free of BSA, sodium azide and glycerol. This conjugation-ready format is designed for use with fluorochromes, metal isotopes, oligonucleotides, and enzymes, which makes them ideal for antibody labelling, functional and cell-based assays, flow-based assays (e.g. mass cytometry) and Multiplex Imaging applications.

Use our conjugation kits for antibody conjugates that are ready-to-use in as little as 20 minutes with 1 minute hands-on-time and 100% antibody recovery: available for fluorescent dyes, HRP, biotin and gold.

Compatibility
This product is compatible with the Maxpar® Antibody Labeling Kit from Fluidigm, without the need for antibody preparation. Maxpar® is a trademark of Fluidigm Canada Inc.

Properties and storage information

Form
Liquid
Purification technique
Affinity purification Protein A
Storage buffer
pH: 7.2 - 7.4 Constituents: PBS
Shipped at conditions
Blue Ice
Appropriate short-term storage conditions
+4°C
Appropriate long-term storage conditions
+4°C
Storage information
Do Not Freeze

Supplementary information

This supplementary information is collated from multiple sources and compiled automatically.

The WDR4 protein also known as WD repeat domain 4 functions in the modification of ribonucleic acids. It specifically takes part in the methylation process of N(7)-methylguanine-tRNA (m7G46) where it serves as an important component of the tRNA methyltransferase complex. With an approximate mass of 51 kDa WDR4 shows expression in various tissues throughout the human body contributing to fundamental cellular processes.
Biological function summary

WDR4 plays a role in the maintenance of accurate protein synthesis. It contributes to the stabilization and correct folding of tRNA molecules which are essential for the translation of genetic information from mRNA to proteins. As part of the tRNA methyltransferase complex WDR4 interacts with the METTL1 enzyme highlighting its involvement in precise tRNA modification processes critical for cellular function and proliferation.

Pathways

The function of WDR4 integrates into the broader landscape of the RNA modification pathway. This pathway is tied to the regulation of gene expression and cellular homeostasis. WDR4's activity impacts the efficiency and fidelity of the translation pathway. In this context WDR4 works closely with METTL1 enhancing the stability and functional capacity of tRNA during protein synthesis which is pivotal for the correct transmission of genetic code within cells.

WDR4's malfunction or altered expression associates with several conditions including microcephalic primordial dwarfism where its disruption affects brain development and growth. The protein interacts with METTL1 implicated in the same disorder demonstrating the importance of their coordinated function. Additionally alterations in WDR4 expression might link to certain types of cancers where aberrant tRNA methylation affects tumor growth and progression indicating the potential for WDR4 as a therapeutic target.

Product protocols

For this product, it's our understanding that no specific protocols are required. You can visit:

Target data

Non-catalytic component of the METTL1-WDR4 methyltransferase complex required for the formation of N(7)-methylguanine in a subset of RNA species, such as tRNAs, mRNAs and microRNAs (miRNAs) (PubMed : 12403464, PubMed : 31031083, PubMed : 31031084, PubMed : 36599982, PubMed : 36599985, PubMed : 37369656). In the METTL1-WDR4 methyltransferase complex, WDR4 acts as a scaffold for tRNA-binding (PubMed : 36599982, PubMed : 36599985, PubMed : 37369656). Required for the formation of N(7)-methylguanine at position 46 (m7G46) in a large subset of tRNAs that contain the 5'-RAGGU-3' motif within the variable loop (PubMed : 12403464, PubMed : 34352206, PubMed : 34352207, PubMed : 36599982, PubMed : 36599985, PubMed : 37369656). M7G46 interacts with C13-G22 in the D-loop to stabilize tRNA tertiary structure and protect tRNAs from decay (PubMed : 36599982, PubMed : 36599985). Also required for the formation of N(7)-methylguanine at internal sites in a subset of mRNAs (PubMed : 31031084, PubMed : 37379838). Also required for methylation of a specific subset of miRNAs, such as let-7 (PubMed : 31031083). Independently of METTL1, also plays a role in genome stability : localizes at the DNA replication site and regulates endonucleolytic activities of FEN1 (PubMed : 26751069).
See full target information WDR4

Publications (1)

Recent publications for all applications. Explore the full list and refine your search

mBio 15:e0259523 PubMed38095418

2023

Susceptibility of to autophagy in human cells relies on multiple interacting parasite loci.

Applications

Unspecified application

Species

Unspecified reactive species

Nicholas Rinkenberger,Alex Rosenberg,Joshua B Radke,Jaya Bhushan,Tadakimi Tomita,Louis M Weiss,L David Sibley
View all publications

Product promise

We are committed to supporting your work with high-quality reagents, and we're here for you every step of the way. In the unlikely event that one of our products does not perform as expected, you're protected by our Product Promise.
For full details, please see our Terms & Conditions

Please note: All products are 'FOR RESEARCH USE ONLY. NOT FOR USE IN DIAGNOSTIC OR THERAPEUTIC PROCEDURES'.

For licensing inquiries, please contact partnerships@abcam.com