JavaScript is disabled in your browser. Please enable JavaScript to view this website.
AB121935

Anti-WDR47 antibody

Be the first to review this product! Submit a review

|

(4 Publications)

Rabbit Polyclonal WDR47 antibody. Suitable for IHC-P, ICC and reacts with Human samples. Cited in 4 publications. Immunogen corresponding to Recombinant Fragment Protein within Human WDR47 aa 200-300.

View Alternative Names

KIAA0893, WDR47, WD repeat-containing protein 47, Neuronal enriched MAP-interacting protein, Nemitin

2 Images
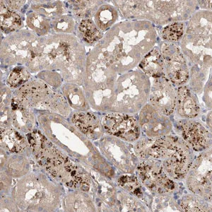
Immunohistochemistry (Formalin/PFA-fixed paraffin-embedded sections) - Anti-WDR47 antibody (AB121935)
  • IHC-P

Unknown

Immunohistochemistry (Formalin/PFA-fixed paraffin-embedded sections) - Anti-WDR47 antibody (AB121935)

ab121935, at 1/40 dilution, staining WDR47 in paraffin-embedded Human kidney tissue by Immunohistochemistry.

Immunocytochemistry - Anti-WDR47 antibody (AB121935)
  • ICC

Unknown

Immunocytochemistry - Anti-WDR47 antibody (AB121935)

Immunocytochemistry analysis of human cell line U-2 OS labelling WDR47 with ab121935 at 2 μg/mL

Key facts

Host species

Rabbit

Clonality

Polyclonal

Isotype

IgG

Carrier free

No

Reacts with

Human

Applications

IHC-P, ICC

applications

Immunogen

Recombinant Fragment Protein within Human WDR47 aa 200-300. The exact immunogen used to generate this antibody is proprietary information.

O94967

Reactivity data

{ "title": "Reactivity Data", "filters": { "stats": ["", "Species", "Dilution Info", "Notes"], "tabs": { "all-applications": {"fullname" : "All Applications", "shortname": "All Applications"}, "IHCP" : {"fullname" : "Immunohistochemistry (Formalin/PFA-fixed paraffin-embedded sections)", "shortname":"IHC-P"}, "ICC" : {"fullname" : "Immunocytochemistry", "shortname":"ICC"} }, "product-promise": { "all": "all", "testedAndGuaranteed": "tested", "guaranteed": "expected", "predicted": "predicted", "notRecommended": "not-recommended" } }, "values": { "Human": { "IHCP-species-checked": "testedAndGuaranteed", "IHCP-species-dilution-info": "1/20 - 1/50", "IHCP-species-notes": "<p></p> Perform heat-mediated antigen retrieval with citrate buffer pH 6 before commencing with IHC staining protocol.", "ICC-species-checked": "testedAndGuaranteed", "ICC-species-dilution-info": "", "ICC-species-notes": "<p></p>" } } }

Properties and storage information

Form
Liquid
Purification technique
Affinity purification Immunogen
Storage buffer
pH: 7.2 Preservative: 0.02% Sodium azide Constituents: PBS, 40% Glycerol (glycerin, glycerine)
Shipped at conditions
Blue Ice
Appropriate short-term storage conditions
+4°C
Appropriate long-term storage conditions
-20°C
Aliquoting information
Upon delivery aliquot
Storage information
Avoid freeze / thaw cycle

Supplementary information

This supplementary information is collated from multiple sources and compiled automatically.

WDR47 also known as WD repeat domain 47 is a protein with a molecular weight of approximately 45 kDa. This protein features several WD40 repeats which are structural motifs often linked to protein-protein interactions. WDR47 is mainly expressed in the brain and in some other tissues. It shows high expression during brain development suggesting its involvement in this process. The mechanical role of WDR47 involves acting as a scaffold facilitating various molecular interactions necessary for cellular mechanisms.
Biological function summary

WDR47 is important for regulating processes such as cell migration and neuronal development. WDR47 is part of a multiprotein complex interacting with other key proteins that assist in coordinating cellular dynamics. These interactions help manage the assembly and breakdown of cytoskeletal elements which are vital to maintain cell shape and enable movement. In turn these processes influence neural growth and repair affecting the formation of neural circuits.

Pathways

WDR47 integrates into signaling networks that manage cellular morphology and signaling in neurons. It plays significant roles in pathways like the Wnt signaling pathway and the neuronal polarization process. Within these pathways WDR47 interacts with proteins such as Dishevelled (Dvl) and APC contributing to cellular communication processes essential for proper neuron alignment and pathway signaling. The involvement in these pathways highlights WDR47's role in establishing and maintaining cellular architecture and signal transmission.

Disruptions in WDR47 can relate to neurological conditions such as intellectual disability and developmental brain disorders. Altered expression or mutations of WDR47 have implications for these conditions often influencing other proteins like Dvl and other cytoskeletal components involved in neural signaling and structural maintenance. Understanding the exact role of WDR47 in these diseases can potentially reveal targeted approaches for therapeutic strategies.

Product protocols

For this product, it's our understanding that no specific protocols are required. You can visit:

Publications (4)

Recent publications for all applications. Explore the full list and refine your search

EMBO molecular medicine 17:129-168 PubMed39609633

2024

Bi-allelic variants in WDR47 cause a complex neurodevelopmental syndrome.

Applications

Unspecified application

Species

Unspecified reactive species

Efil Bayam,Peggy Tilly,Stephan C Collins,José Rivera Alvarez,Meghna Kannan,Lucile Tonneau,Elena Brivio,Bruno Rinaldi,Romain Lecat,Noémie Schwaller,Ludovica Cotellessa,Sateesh Maddirevula,Fabiola Monteiro,Carlos M Guardia,João Paulo Kitajima,Fernando Kok,Mitsuhiro Kato,Ahlam A A Hamed,Mustafa A Salih,Saeed Al Tala,Mais O Hashem,Hiroko Tada,Hirotomo Saitsu,Mariano Stabile,Paolo Giacobini,Sylvie Friant,Zafer Yüksel,Mitsuko Nakashima,Fowzan S Alkuraya,Binnaz Yalcin,Juliette D Godin

Molecular biology of the cell 32:ar25 PubMed34432492

2021

RUSC2 and WDR47 oppositely regulate kinesin-1-dependent distribution of ATG9A to the cell periphery.

Applications

Unspecified application

Species

Unspecified reactive species

Carlos M Guardia,Akansha Jain,Rafael Mattera,Alex Friefeld,Yan Li,Juan S Bonifacino

The Journal of experimental medicine 216:1733-1748 PubMed31189656

2019

CXCR4 regulates development in mouse and human hepatocytes.

Applications

Unspecified application

Species

Unspecified reactive species

Hironori Bando,Ariel Pradipta,Shiroh Iwanaga,Toru Okamoto,Daisuke Okuzaki,Shun Tanaka,Joel Vega-Rodríguez,Youngae Lee,Ji Su Ma,Naoya Sakaguchi,Akira Soga,Shinya Fukumoto,Miwa Sasai,Yoshiharu Matsuura,Masao Yuda,Marcelo Jacobs-Lorena,Masahiro Yamamoto

Proceedings of the National Academy of Sciences of 114:E9308-E9317 PubMed29078390

2017

WD40-repeat 47, a microtubule-associated protein, is essential for brain development and autophagy.

Applications

Unspecified application

Species

Unspecified reactive species

Meghna Kannan,Efil Bayam,Christel Wagner,Bruno Rinaldi,Perrine F Kretz,Peggy Tilly,Marna Roos,Lara McGillewie,Séverine Bär,Shilpi Minocha,Claire Chevalier,Chrystelle Po,Jamel Chelly,Jean-Louis Mandel,Renato Borgatti,Amélie Piton,Craig Kinnear,Ben Loos,David J Adams,Yann Hérault,Stephan C Collins,Sylvie Friant,Juliette D Godin,Binnaz Yalcin
View all publications

Product promise

We are committed to supporting your work with high-quality reagents, and we're here for you every step of the way. In the unlikely event that one of our products does not perform as expected, you're protected by our Product Promise.
For full details, please see our Terms & Conditions

Please note: All products are 'FOR RESEARCH USE ONLY. NOT FOR USE IN DIAGNOSTIC OR THERAPEUTIC PROCEDURES'.

For licensing inquiries, please contact partnerships@abcam.com