JavaScript is disabled in your browser. Please enable JavaScript to view this website.
AB245479

Anti-WDR5 antibody

Be the first to review this product! Submit a review

|

(2 Publications)

Rabbit Polyclonal WDR5 antibody. Suitable for IP, IHC-P and reacts with Human samples. Cited in 2 publications. Immunogen corresponding to Synthetic Peptide within Human WDR5 aa 1-50.

View Alternative Names

BIG3, WDR5, WD repeat-containing protein 5, BMP2-induced 3-kb gene protein

2 Images
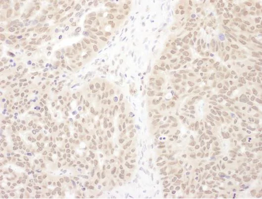
Immunohistochemistry (Formalin/PFA-fixed paraffin-embedded sections) - Anti-WDR5 antibody (AB245479)
  • IHC-P

Supplier Data

Immunohistochemistry (Formalin/PFA-fixed paraffin-embedded sections) - Anti-WDR5 antibody (AB245479)

Formalin-fixed paraffin-embedded human ovarian carcinoma tissue stained for WDR5 using ab245479 at 1/1000 dilution in immunohistochemical analysis. DAB staining.

Immunoprecipitation - Anti-WDR5 antibody (AB245479)
  • IP

Supplier Data

Immunoprecipitation - Anti-WDR5 antibody (AB245479)

WDR5 was immunoprecipitated from HeLa (human epithelial cell line from cervix adenocarcinoma) whole cell lysate (1 mg per IP reaction; 20% of IP loaded) using ab245479 at 6 μg per reaction. Western blot was perfromed on the immunoprecipitate using another anti-WDR5 antibody at 1 μg/ml.

Lane 1 : ab245479 IP in HeLa whole cell lysate.
Lane 2 : Contol IgG IP in HeLa whole cell lysate.

Detection : Chemiluminescence with an exposure time of 3 minutes.

All lanes:

Immunoprecipitation - Anti-WDR5 antibody (ab245479)

Predicted band size: 36 kDa

false

Key facts

Host species

Rabbit

Clonality

Polyclonal

Isotype

IgG

Carrier free

No

Reacts with

Human

Applications

IHC-P, IP

applications

Immunogen

Synthetic Peptide within Human WDR5 aa 1-50. The exact immunogen used to generate this antibody is proprietary information.

P61964

Reactivity data

{ "title": "Reactivity Data", "filters": { "stats": ["", "Species", "Dilution Info", "Notes"], "tabs": { "all-applications": {"fullname" : "All Applications", "shortname": "All Applications"}, "IP" : {"fullname" : "Immunoprecipitation", "shortname":"IP"}, "IHCP" : {"fullname" : "Immunohistochemistry (Formalin/PFA-fixed paraffin-embedded sections)", "shortname":"IHC-P"} }, "product-promise": { "all": "all", "testedAndGuaranteed": "tested", "guaranteed": "expected", "predicted": "predicted", "notRecommended": "not-recommended" } }, "values": { "Human": { "IP-species-checked": "testedAndGuaranteed", "IP-species-dilution-info": "2-10 µg/mg of lysate", "IP-species-notes": "<p></p>", "IHCP-species-checked": "testedAndGuaranteed", "IHCP-species-dilution-info": "1/500 - 1/2000", "IHCP-species-notes": "<p></p>" }, "Mouse": { "IP-species-checked": "predicted", "IP-species-dilution-info": "", "IP-species-notes": "", "IHCP-species-checked": "predicted", "IHCP-species-dilution-info": "", "IHCP-species-notes": "" }, "Rat": { "IP-species-checked": "predicted", "IP-species-dilution-info": "", "IP-species-notes": "", "IHCP-species-checked": "predicted", "IHCP-species-dilution-info": "", "IHCP-species-notes": "" }, "Cow": { "IP-species-checked": "predicted", "IP-species-dilution-info": "", "IP-species-notes": "", "IHCP-species-checked": "predicted", "IHCP-species-dilution-info": "", "IHCP-species-notes": "" } } }

Properties and storage information

Form
Liquid
Purification technique
Affinity purification Immunogen
Purification notes
ab245479 was affinity purified using an epitope specific to WDR5 immobilized on solid support.
Storage buffer
pH: 7 - 8 Preservative: 0.09% Sodium azide Constituents: Tris citrate/phosphate
Shipped at conditions
Blue Ice
Appropriate short-term storage duration
1-2 weeks
Appropriate short-term storage conditions
+4°C
Appropriate long-term storage conditions
+4°C
Aliquoting information
Upon delivery aliquot
Storage information
Avoid freeze / thaw cycle

Supplementary information

This supplementary information is collated from multiple sources and compiled automatically.

WDR5 also known as WD repeat domain 5 is an important component in the regulation of gene expression. It has a molecular mass of approximately 36 kDa. This protein is widely expressed across various tissues with significant expression in the nucleus. WDR5 primarily functions as a scaffolding protein facilitating the assembly of multiprotein complexes that modify chromatin structure and function. Its involvement in chromatin regulation highlights its mechanical role in modulating access to DNA for transcriptional machinery.
Biological function summary

WDR5 plays a significant role in epigenetic regulation by being part of the histone methyltransferase complex associated with MLL (Mixed Lineage Leukemia). This complex is responsible for the methylation of histone H3 at lysine 4 (H3K4) an essential modification for transcriptional activation. WDR5's interaction with MLL complex components influences gene expression importantly during development and cellular differentiation. Its presence in the MLL complex connects it to pathways that govern cell cycle regulation and stem cell maintenance.

Pathways

WDR5 functions within key pathways such as the chromatin modification pathway and the WNT signaling pathway. In these settings WDR5 interacts with proteins like MLL and BRG1 which contribute to its role in gene regulation and chromatin remodeling. Through these interactions WDR5 modulates the transcription of target genes impacting cellular processes like proliferation and differentiation.

WDR5 has shown involvement in certain cancers and neurodevelopmental disorders. Its dysregulation is linked to leukemia specifically in cases where MLL rearrangements alter its normal function. Additionally aberrant expression of WDR5 may influence neurodevelopmental disorders though its precise role requires more research. In the context of leukemia WDR5's interaction with proteins such as DOT1L and MEN1 supports the proliferation of leukemic cells. Understanding the involvement of WDR5 in these conditions can offer insights into therapeutic targets for disease intervention.

Product protocols

For this product, it's our understanding that no specific protocols are required. You can visit:

Target data

Contributes to histone modification (PubMed : 16600877, PubMed : 16829960, PubMed : 19103755, PubMed : 19131338, PubMed : 19556245, PubMed : 20018852). May position the N-terminus of histone H3 for efficient trimethylation at 'Lys-4' (PubMed : 16829960). As part of the MLL1/MLL complex it is involved in methylation and dimethylation at 'Lys-4' of histone H3 (PubMed : 19556245). H3 'Lys-4' methylation represents a specific tag for epigenetic transcriptional activation (PubMed : 18840606). As part of the NSL complex it may be involved in acetylation of nucleosomal histone H4 on several lysine residues (PubMed : 19103755, PubMed : 20018852). May regulate osteoblasts differentiation (By similarity). In association with RBBP5 and ASH2L, stimulates the histone methyltransferase activities of KMT2A, KMT2B, KMT2C, KMT2D, SETD1A and SETD1B (PubMed : 21220120, PubMed : 22266653).
See full target information WDR5

Publications (2)

Recent publications for all applications. Explore the full list and refine your search

Journal of hepatocellular carcinoma 8:333-348 PubMed33977095

2021

LncRNA-CCDC144NL-AS1 Promotes the Development of Hepatocellular Carcinoma by Inducing WDR5 Expression via Sponging miR-940.

Applications

Unspecified application

Species

Unspecified reactive species

Yingying Zhang,Hongyu Zhang,Shuhuan Wu

Aging 12:10578-10593 PubMed32487779

2020

CARM1 promotes non-small cell lung cancer progression through upregulating CCNE2 expression.

Applications

Unspecified application

Species

Unspecified reactive species

Deqin Wu,Jing He,Wei Zhang,Kai Wang,Shidai Jin,Jun Li,Wen Gao
View all publications

Product promise

We are committed to supporting your work with high-quality reagents, and we're here for you every step of the way. In the unlikely event that one of our products does not perform as expected, you're protected by our Product Promise.
For full details, please see our Terms & Conditions

Please note: All products are 'FOR RESEARCH USE ONLY. NOT FOR USE IN DIAGNOSTIC OR THERAPEUTIC PROCEDURES'.

For licensing inquiries, please contact partnerships@abcam.com