JavaScript is disabled in your browser. Please enable JavaScript to view this website.
AB307665

Anti-WDR5 antibody [EPR27033-6] - BSA and Azide free

  • BOND RX™ Validated
  • RabMAb
  • Recombinant
  • Advanced Validation
  • What is this?

Be the first to review this product! Submit a review

|

(0 Publication)

Rabbit Recombinant Monoclonal WDR5 antibody. Carrier free. Suitable for IP, Flow Cyt (Intra), ICC/IF, IHC-Fr, IHC-P, WB, ChIC/CUT&RUN-seq and reacts with Mouse, Human, Rat samples.

View Alternative Names

BIG3, WDR5, WD repeat-containing protein 5, BMP2-induced 3-kb gene protein

20 Images
Immunohistochemistry (Formalin/PFA-fixed paraffin-embedded sections) - Anti-WDR5 antibody [EPR27033-6] - BSA and Azide free (AB307665)
  • IHC-P

Supplier Data

Immunohistochemistry (Formalin/PFA-fixed paraffin-embedded sections) - Anti-WDR5 antibody [EPR27033-6] - BSA and Azide free (AB307665)

This data was developed using ab307664, the same antibody clone in a different buffer formulation. Immunohistochemical analysis of paraffin-embedded Human tonsil tissue labeling WDR5 with ab307664 at 1/100 (5.38 ug/ml) followed by a ready to use LeicaDS9800 (Bond™ Polymer Refine Detection) was used. Nuclear staining on human tonsil.The section was incubated with ab307664 for 30 mins at room temperature.The immunostaining was performed on a Leica Biosystems BOND® RX instrument Counterstained with Hematoxylin. Secondary antibody only control : Secondary antibody is a ready to use LeicaDS9800 (Bond™ Polymer Refine Detection) was used. Heat mediated antigen retrieval was performed with Citrate buffer (pH 6.0, Epitope Retrieval Solution 1) for 20 mins

Immunohistochemistry (Formalin/PFA-fixed paraffin-embedded sections) - Anti-WDR5 antibody [EPR27033-6] - BSA and Azide free (AB307665)
  • IHC-P

Supplier Data

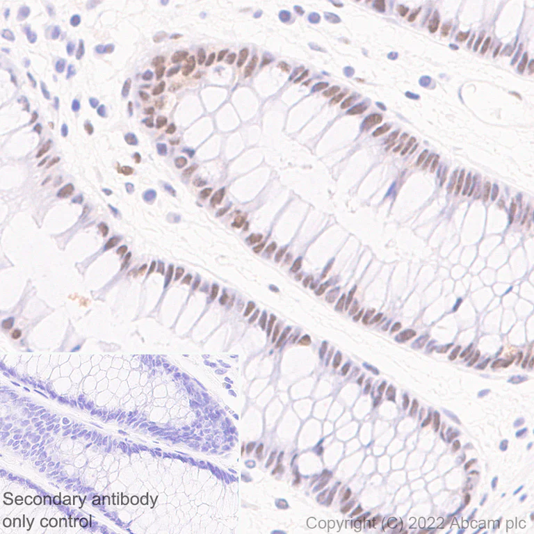
Immunohistochemistry (Formalin/PFA-fixed paraffin-embedded sections) - Anti-WDR5 antibody [EPR27033-6] - BSA and Azide free (AB307665)

This data was developed using ab307664, the same antibody clone in a different buffer formulation. Immunohistochemical analysis of paraffin-embedded Human colon tissue labeling WDR5 with ab307664 at 1/100 (5.38 ug/ml) followed by a ready to use LeicaDS9800 (Bond™ Polymer Refine Detection) was used. Nuclear staining on human colon (PMID : 28300833).The section was incubated with ab307664 for 30 mins at room temperature.The immunostaining was performed on a Leica Biosystems BOND® RX instrument Counterstained with Hematoxylin. Secondary antibody only control : Secondary antibody is a ready to use LeicaDS9800 (Bond™ Polymer Refine Detection) was used. Heat mediated antigen retrieval was performed with Citrate buffer (pH 6.0, Epitope Retrieval Solution 1) for 20 mins

Immunocytochemistry/ Immunofluorescence - Anti-WDR5 antibody [EPR27033-6] - BSA and Azide free (AB307665)
  • ICC/IF

Supplier Data

Immunocytochemistry/ Immunofluorescence - Anti-WDR5 antibody [EPR27033-6] - BSA and Azide free (AB307665)

This data was developed using ab307664, the same antibody clone in a different buffer formulation. Immunofluorescent analysis of 4% Paraformaldehyde-fixed, 0.1% TritonX-100 permeabilized HeLa (human cervical adenocarcinoma epithelial cell) cells labelling WDR5 with ab307664 at 1/500 (1.076 ug/ml) dilution, followed by ab150081 Goat Anti-Rabbit IgG H&L (Alexa Fluor® 488) preadsorbed antibody at 1/1000 2 ug/ml dilution (Green). Confocal image showing nuclear staining in HeLa cell line.Image was taken with a confocal microscope(Leica-Microsystems, TCS SP8). ab195889 Anti-alpha Tubulin mouse monoclonal antibody - Microtubule Marker (Alexa Fluor® 594) was used to counterstain tubulin at 1/200 2.5ug/ml dilution (Red). The Nuclear counterstain was DAPI (Blue). Secondary antibody only control : Secondary antibody is ab150081 Goat Anti-Rabbit IgG H&L (Alexa Fluor® 488) preadsorbed at 1/1000 2 ug/ml dilution.

Flow Cytometry (Intracellular) - Anti-WDR5 antibody [EPR27033-6] - BSA and Azide free (AB307665)
  • Flow Cyt (Intra)

Supplier Data

Flow Cytometry (Intracellular) - Anti-WDR5 antibody [EPR27033-6] - BSA and Azide free (AB307665)

This data was developed using ab307664, the same antibody clone in a different buffer formulation. Flow cytometric analysis of 4% paraformaldehyde fixed 90% methanol permeabilized HeLa (human cervix adenocarcinoma epithelial cell) cells labelling WDR5 with ab307664 at 1/50 dilution (1ug) (Red) (Red) compared with a Rabbit monoclonal IgG (ab172730) (Black) isotype control and an unlabelled control (cells without incubation with primary antibody and secondary antibody) (Blue). A Goat Anti-Rabbit IgG (Alexa Fluor® 488, ab150081) at 1/2000 dilution was used as the secondary antibody.

Immunoprecipitation - Anti-WDR5 antibody [EPR27033-6] - BSA and Azide free (AB307665)
  • IP

Supplier Data

Immunoprecipitation - Anti-WDR5 antibody [EPR27033-6] - BSA and Azide free (AB307665)

This data was developed using ab307664, the same antibody clone in a different buffer formulation. WDR5 was immunoprecipitated from 0.35 mg U937 whole cell lysate with ab307664 at 1/30 dilution (2ug in 0.35mg lysates). Western blot was performed on the immunoprecipitate using ab307664 at 1/1000 dilution. VeriBlot for IP secondary antibody(HRP)(ab131366) was used at 1/5000 dilution. Lane 1 : U937 (human histiocytic lymphoma monocyte) whole cell lysate Lane 2 : ab307664 IP in U937 whole cell lysate Lane 3 : Rabbit monoclonal IgG (ab172730) instead of ab307664 in U937 whole cell lysate Blocking and dilution buffer and concentration : 5% NFDM/TBST. Exposure time : 24 seconds The IP experiment was performed by ab307664 using U937 cells. On the left the IP blot was probed with ab307664 and on the right the blot was probed by another anti-WDR5 antibody (ab178410)(1 : 1000 dilution).

Lane 2:

Immunoprecipitation - Anti-WDR5 antibody [EPR27033-6] (<a href='/en-us/products/primary-antibodies/wdr5-antibody-epr27033-6-ab307664'>ab307664</a>) at 1/30 dilution

Lane 2:

Immunoprecipitation - Anti-WDR5 antibody [EPR11350] - C-terminal (<a href='/en-us/products/primary-antibodies/wdr5-antibody-epr11350-c-terminal-ab178410'>ab178410</a>) at 1/1000 dilution

All lanes:

U937 (human histiocytic lymphoma monocyte) whole cell lysate

Secondary

All lanes:

Immunoprecipitation - VeriBlot for IP Detection Reagent (HRP) (<a href='/en-us/products/reagents/veriblot-for-ip-detection-reagent-hrp-ab131366'>ab131366</a>) at 1/5000 dilution

false

Exposure time: 24s

Immunohistochemistry (Formalin/PFA-fixed paraffin-embedded sections) - Anti-WDR5 antibody [EPR27033-6] - BSA and Azide free (AB307665)
  • IHC-P

Supplier Data

Immunohistochemistry (Formalin/PFA-fixed paraffin-embedded sections) - Anti-WDR5 antibody [EPR27033-6] - BSA and Azide free (AB307665)

This data was developed using ab307664, the same antibody clone in a different buffer formulation. Immunohistochemical analysis of paraffin-embedded Rat colon tissue labeling WDR5 with ab307664 at 1/500 (1.076 ug/ml) followed by a ready to use LeicaDS9800 (Bond™ Polymer Refine Detection) was used. Nuclear staining on rat colon.The section was incubated with ab307664 for 30 mins at room temperature.The immunostaining was performed on a Leica Biosystems BOND® RX instrument Counterstained with Hematoxylin. Secondary antibody only control : Secondary antibody is a ready to use LeicaDS9800 (Bond™ Polymer Refine Detection) was used. Heat mediated antigen retrieval was performed with Citrate buffer (pH 6.0, Epitope Retrieval Solution 1) for 20 mins

Immunohistochemistry (Formalin/PFA-fixed paraffin-embedded sections) - Anti-WDR5 antibody [EPR27033-6] - BSA and Azide free (AB307665)
  • IHC-P

Supplier Data

Immunohistochemistry (Formalin/PFA-fixed paraffin-embedded sections) - Anti-WDR5 antibody [EPR27033-6] - BSA and Azide free (AB307665)

This data was developed using ab307664, the same antibody clone in a different buffer formulation. Immunohistochemical analysis of paraffin-embedded Mouse spleen tissue labeling WDR5 with ab307664 at 1/500 (1.076 ug/ml) followed by a ready to use LeicaDS9800 (Bond™ Polymer Refine Detection) was used. Nuclear staining on mouse spleen.The section was incubated with ab307664 for 30 mins at room temperature.The immunostaining was performed on a Leica Biosystems BOND® RX instrument Counterstained with Hematoxylin. Secondary antibody only control : Secondary antibody is a ready to use LeicaDS9800 (Bond™ Polymer Refine Detection) was used. Heat mediated antigen retrieval was performed with Citrate buffer (pH 6.0, Epitope Retrieval Solution 1) for 20 mins

Immunohistochemistry (Frozen sections) - Anti-WDR5 antibody [EPR27033-6] - BSA and Azide free (AB307665)
  • IHC-Fr

Supplier Data

Immunohistochemistry (Frozen sections) - Anti-WDR5 antibody [EPR27033-6] - BSA and Azide free (AB307665)

This data was developed using ab307664, the same antibody clone in a different buffer formulation. Immunohistochemical analysis of 4% PFA-fixed, 0.2% Triton X-100 permeabilized frozen Mouse spleen (fresh) tissue labeling WDR5 with ab307664 at 1/50 (10.76 ug/ml) dilution followed by ab150081 Goat Anti-Rabbit IgG H&L (Alexa Fluor® 488) preadsorbed at 1/1000 2 ug/mL dilution (Green). Confocal image showing positive staining on mouse spleen. The nuclear counterstain was DAPI (Blue). The section was incubated with ab307664 for 60 mins at room temperature. The section was then mounted using Fluoromount®.The immunostaining was performed on a Leica Biosystems BOND® RX instrument. Image was taken with a confocal microscope (Leica-Microsystems, TCS SP8). The nuclear counterstain was DAPI (Blue). Secondary antibody control : Secondary antibody is ab150081 Goat Anti-Rabbit IgG H&L (Alexa Fluor® 488) preadsorbedat 1/1000 2 ug/mL dilution.

Immunocytochemistry/ Immunofluorescence - Anti-WDR5 antibody [EPR27033-6] - BSA and Azide free (AB307665)
  • ICC/IF

Supplier Data

Immunocytochemistry/ Immunofluorescence - Anti-WDR5 antibody [EPR27033-6] - BSA and Azide free (AB307665)

This data was developed using ab307664, the same antibody clone in a different buffer formulation. Immunofluorescent analysis of 4% Paraformaldehyde-fixed, 0.1% TritonX-100 permeabilized NIH/3T3 (mouse embryonic fibroblast) cells labelling WDR5 with ab307664 at 1/500 (1.076 ug/ml) dilution, followed by ab150081 Goat Anti-Rabbit IgG H&L (Alexa Fluor® 488) preadsorbed antibody at 1/1000 2 ug/ml dilution (Green). Confocal image showing nuclear staining in NIH/3T3 cell line.Image was taken with a confocal microscope(Leica-Microsystems, TCS SP8). ab195889 Anti-alpha Tubulin mouse monoclonal antibody - Microtubule Marker (Alexa Fluor® 594) was used to counterstain tubulin at 1/200 2.5ug/ml dilution (Red). The Nuclear counterstain was DAPI (Blue). Secondary antibody only control : Secondary antibody is ab150081 Goat Anti-Rabbit IgG H&L (Alexa Fluor® 488) preadsorbed at 1/1000 2 ug/ml dilution.

Immunohistochemistry (Formalin/PFA-fixed paraffin-embedded sections) - Anti-WDR5 antibody [EPR27033-6] - BSA and Azide free (AB307665)
  • IHC-P

Supplier Data

Immunohistochemistry (Formalin/PFA-fixed paraffin-embedded sections) - Anti-WDR5 antibody [EPR27033-6] - BSA and Azide free (AB307665)

This data was developed using ab307664, the same antibody clone in a different buffer formulation. Immunohistochemical analysis of paraffin-embedded Rat spleen tissue labeling WDR5 with ab307664 at 1/500 (1.076 ug/ml) followed by a ready to use LeicaDS9800 (Bond™ Polymer Refine Detection) was used. Nuclear staining on rat spleen.The section was incubated with ab307664 for 30 mins at room temperature.The immunostaining was performed on a Leica Biosystems BOND® RX instrument Counterstained with Hematoxylin. Secondary antibody only control : Secondary antibody is a ready to use LeicaDS9800 (Bond™ Polymer Refine Detection) was used. Heat mediated antigen retrieval was performed with Citrate buffer (pH 6.0, Epitope Retrieval Solution 1) for 20 mins

Flow Cytometry (Intracellular) - Anti-WDR5 antibody [EPR27033-6] - BSA and Azide free (AB307665)
  • Flow Cyt (Intra)

Supplier Data

Flow Cytometry (Intracellular) - Anti-WDR5 antibody [EPR27033-6] - BSA and Azide free (AB307665)

This data was developed using ab307664, the same antibody clone in a different buffer formulation. Flow cytometric analysis of 4% paraformaldehyde fixed 90% methanol permeabilized NIH/3T3 (mouse embryonic fibroblast) cells labelling WDR5 with ab307664 at 1/500 dilution (0.1ug) (Red) (Red) compared with a Rabbit monoclonal IgG (ab172730) (Black) isotype control and an unlabelled control (cells without incubation with primary antibody and secondary antibody) (Blue). A Goat Anti-Rabbit IgG (Alexa Fluor® 488, ab150081) at 1/2000 dilution was used as the secondary antibody.

Immunohistochemistry (Formalin/PFA-fixed paraffin-embedded sections) - Anti-WDR5 antibody [EPR27033-6] - BSA and Azide free (AB307665)
  • IHC-P

Supplier Data

Immunohistochemistry (Formalin/PFA-fixed paraffin-embedded sections) - Anti-WDR5 antibody [EPR27033-6] - BSA and Azide free (AB307665)

This data was developed using ab307664, the same antibody clone in a different buffer formulation. Immunohistochemical analysis of paraffin-embedded Mouse colon tissue labeling WDR5 with ab307664 at 1/500 (1.076 ug/ml) followed by a ready to use LeicaDS9800 (Bond™ Polymer Refine Detection) was used. Nuclear staining on mouse colon.The section was incubated with ab307664 for 30 mins at room temperature.The immunostaining was performed on a Leica Biosystems BOND® RX instrument Counterstained with Hematoxylin. Secondary antibody only control : Secondary antibody is a ready to use LeicaDS9800 (Bond™ Polymer Refine Detection) was used. Heat mediated antigen retrieval was performed with Citrate buffer (pH 6.0, Epitope Retrieval Solution 1) for 20 mins

Immunohistochemistry (Formalin/PFA-fixed paraffin-embedded sections) - Anti-WDR5 antibody [EPR27033-6] - BSA and Azide free (AB307665)
  • IHC-P

Supplier Data

Immunohistochemistry (Formalin/PFA-fixed paraffin-embedded sections) - Anti-WDR5 antibody [EPR27033-6] - BSA and Azide free (AB307665)

This data was developed using ab307664, the same antibody clone in a different buffer formulation. Immunohistochemical analysis of paraffin-embedded Mouse breast cancer tissue labeling WDR5 with ab307664 at 1/500 (1.076 ug/ml) followed by a ready to use LeicaDS9800 (Bond™ Polymer Refine Detection) was used. Nuclear staining on mouse breast cancer.The section was incubated with ab307664 for 30 mins at room temperature.The immunostaining was performed on a Leica Biosystems BOND® RX instrument Counterstained with Hematoxylin. Secondary antibody only control : Secondary antibody is a ready to use LeicaDS9800 (Bond™ Polymer Refine Detection) was used. Heat mediated antigen retrieval was performed with Citrate buffer (pH 6.0, Epitope Retrieval Solution 1) for 20 mins

Immunoprecipitation - Anti-WDR5 antibody [EPR27033-6] - BSA and Azide free (AB307665)
  • IP

Supplier Data

Immunoprecipitation - Anti-WDR5 antibody [EPR27033-6] - BSA and Azide free (AB307665)

This data was developed using ab307664, the same antibody clone in a different buffer formulation. WDR5 was immunoprecipitated from 0.35 mg NIH/3T3 whole cell lysate 10 ug with ab307664 at 1/30 dilution (2ug in 0.35mg lysates). Western blot was performed on the immunoprecipitate using ab307664 at 1/1000 dilution. VeriBlot for IP secondary antibody(HRP)(ab131366) was used at 1/5000 dilution. Lane 1 : NIH/3T3 (mouse embryonic fibroblast) whole cell lysate Lane 2 : ab307664 IP in NIH/3T3 whole cell lysate 10 ug Lane 3 : Rabbit monoclonal IgG (ab172730) instead of ab307664 in NIH/3T3 whole cell lysate Blocking and dilution buffer and concentration : 5% NFDM/TBST. Exposure time : 8 seconds

All lanes:

Immunoprecipitation - Anti-WDR5 antibody [EPR27033-6] (<a href='/en-us/products/primary-antibodies/wdr5-antibody-epr27033-6-ab307664'>ab307664</a>) at 1/30 dilution

All lanes:

NIH/3T3 (mouse embryonic fibroblast) whole cell lysate

Secondary

All lanes:

Immunoprecipitation - VeriBlot for IP Detection Reagent (HRP) (<a href='/en-us/products/reagents/veriblot-for-ip-detection-reagent-hrp-ab131366'>ab131366</a>) at 1/5000 dilution

false

Exposure time: 8s

Western blot - Anti-WDR5 antibody [EPR27033-6] - BSA and Azide free (AB307665)
  • WB

Supplier Data

Western blot - Anti-WDR5 antibody [EPR27033-6] - BSA and Azide free (AB307665)

This data was developed using ab307664, the same antibody clone in a different buffer formulation.

Blocking and diluting buffer and concentration : 5% NFDM/TBST.

This blot was developed using a high sensitivity ECL substrate. The high-sensitivity ECL substrate used allows for the detection of proteins in the mid-femtogram range.

All lanes:

Western blot - Anti-WDR5 antibody [EPR27033-6] (<a href='/en-us/products/primary-antibodies/wdr5-antibody-epr27033-6-ab307664'>ab307664</a>) at 1/1000 dilution

Lane 1:

U937 (human histiocytic lymphoma monocyte) whole cell lysate at 20 µg

Lane 2:

Saos-2 (human osteosarcoma epithelial) whole cell lysate at 20 µg

Lane 3:

NIH/3T3 (mouse embryonic fibroblast) whole cell lysate at 20 µg

Secondary

All lanes:

Western blot - Goat Anti-Rabbit IgG H&L (HRP) (<a href='/en-us/products/secondary-antibodies/goat-rabbit-igg-h-l-hrp-ab97051'>ab97051</a>) at 1/100000 dilution

Observed band size: 37 kDa

true

Exposure time: 180s

Western blot - Anti-WDR5 antibody [EPR27033-6] - BSA and Azide free (AB307665)
  • WB

Supplier Data

Western blot - Anti-WDR5 antibody [EPR27033-6] - BSA and Azide free (AB307665)

This data was developed using ab307664, the same antibody clone in a different buffer formulation.

Blocking and diluting buffer and concentration : 5% NFDM/TBST.

This blot was developed using a high sensitivity ECL substrate. The high-sensitivity ECL substrate used allows for the detection of proteins in the mid-femtogram range.

All lanes:

Western blot - Anti-WDR5 antibody [EPR27033-6] (<a href='/en-us/products/primary-antibodies/wdr5-antibody-epr27033-6-ab307664'>ab307664</a>) at 1/1000 dilution

Lane 1:

Human spleen tissue lysate at 20 µg

Lane 2:

Mouse spleen tissue lysate at 20 µg

Lane 3:

Rat spleen tissue lysate at 20 µg

Secondary

All lanes:

Western blot - Goat Anti-Rabbit IgG H&L (HRP) (<a href='/en-us/products/secondary-antibodies/goat-rabbit-igg-h-l-hrp-ab97051'>ab97051</a>) at 1/100000 dilution

Observed band size: 37 kDa

true

Exposure time: 180s

Western blot - Anti-WDR5 antibody [EPR27033-6] - BSA and Azide free (AB307665)
  • WB

Supplier Data

Western blot - Anti-WDR5 antibody [EPR27033-6] - BSA and Azide free (AB307665)

This data was developed using ab307664, the same antibody clone in a different buffer formulation. Blocking and diluting buffer and concentration : 5% NFDM/TBST Exposure time : 180 seconds

All lanes:

Western blot - Anti-WDR5 antibody [EPR27033-6] (<a href='/en-us/products/primary-antibodies/wdr5-antibody-epr27033-6-ab307664'>ab307664</a>) at 1/1000 dilution

Lane 1:

HeLa (human cervix adenocarcinoma epithelial cell) transfected with scrambled siRNA control whole cell lysate at 20 µg

Lane 2:

HeLa transfected with siRNA specifically targeti WDR5 whole cell lysate at 20 µg

Secondary

All lanes:

Western blot - Goat Anti-Rabbit IgG H&L (HRP) (<a href='/en-us/products/secondary-antibodies/goat-rabbit-igg-h-l-hrp-ab97051'>ab97051</a>) at 1/100000 dilution

Observed band size: 37 kDa

false

Exposure time: 180s

ChIC/CUT&RUN sequencing - Anti-WDR5 antibody [EPR27033-6] - BSA and Azide free (AB307665)
  • ChIC/CUT&RUN-seq

Lab

ChIC/CUT&RUN sequencing - Anti-WDR5 antibody [EPR27033-6] - BSA and Azide free (AB307665)

This data was developed using the same antibody clone in a different buffer formulation (ab307664).

ChIC/CUT&RUN was performed using a pAG-MNase at a final concentration of 700 ng/mL, 2.5 x 105 HeLa (Human epithelial cell line from cervix adenocarcinoma) cells and 5 µg of ab307664 [EPR27033-6]. The resulting DNA was sequenced on the Illumina NovaSeq 6000 to a depth of 10 million reads. The negative IgG control ab172730 is also shown.

The University of Geneva owns patents relevant to ChIC (Chromatin Immuno-Cleavage) methods.

ChIC/CUT&RUN sequencing - Anti-WDR5 antibody [EPR27033-6] - BSA and Azide free (AB307665)
  • ChIC/CUT&RUN-seq

Lab

ChIC/CUT&RUN sequencing - Anti-WDR5 antibody [EPR27033-6] - BSA and Azide free (AB307665)

This data was developed using the same antibody clone in a different buffer formulation (ab307664).

ChIC/CUT&RUN was performed using a pAG-MNase at a final concentration of 700 ng/mL, 2.5 x 105 HeLa (Human epithelial cell line from cervix adenocarcinoma) cells and 5 µg of ab307664 [EPR27033-6]. The resulting DNA was sequenced on the Illumina NovaSeq 6000 to a depth of 10 million reads. The negative IgG control ab172730 is also shown.

The University of Geneva owns patents relevant to ChIC (Chromatin Immuno-Cleavage) methods.

ChIC/CUT&RUN sequencing - Anti-WDR5 antibody [EPR27033-6] - BSA and Azide free (AB307665)
  • ChIC/CUT&RUN-seq

Lab

ChIC/CUT&RUN sequencing - Anti-WDR5 antibody [EPR27033-6] - BSA and Azide free (AB307665)

This data was developed using the same antibody clone in a different buffer formulation (ab307664).

ChIC/CUT&RUN was performed using a pAG-MNase at a final concentration of 700 ng/mL, 2.5 x 105 HeLa (Human epithelial cell line from cervix adenocarcinoma) cells and 5 µg of ab307664 [EPR27033-6]. The resulting DNA was sequenced on the Illumina NovaSeq 6000 to a depth of 10 million reads. The negative IgG control ab172730 is also shown.

The University of Geneva owns patents relevant to ChIC (Chromatin Immuno-Cleavage) methods.

Key facts

Host species

Rabbit

Clonality

Monoclonal

Clone number

EPR27033-6

Isotype

IgG

Carrier free

Yes

Reacts with

Rat, Mouse, Human

Applications

IP, Flow Cyt (Intra), IHC-Fr, ICC/IF, WB, IHC-P, ChIC/CUT&RUN-seq

applications

Immunogen

The exact immunogen used to generate this antibody is proprietary information.

Reactivity data

{ "title": "Reactivity Data", "filters": { "stats": ["", "Species", "Dilution Info", "Notes"], "tabs": { "all-applications": {"fullname" : "All Applications", "shortname": "All Applications"}, "IP" : {"fullname" : "Immunoprecipitation", "shortname":"IP"}, "FlowCytIntra" : {"fullname" : "Flow Cytometry (Intracellular)", "shortname":"Flow Cyt (Intra)"}, "ICCIF" : {"fullname" : "Immunocytochemistry/ Immunofluorescence", "shortname":"ICC/IF"}, "IHCFr" : {"fullname" : "Immunohistochemistry (Frozen sections)", "shortname":"IHC-Fr"}, "IHCP" : {"fullname" : "Immunohistochemistry (Formalin/PFA-fixed paraffin-embedded sections)", "shortname":"IHC-P"}, "WB" : {"fullname" : "Western blot", "shortname":"WB"}, "ChIP" : {"fullname" : "ChIP", "shortname":"ChIP"}, "ChICCUTRUNseq" : {"fullname" : "ChIC/CUT&RUN sequencing", "shortname":"ChIC/CUT&RUN-seq"} }, "product-promise": { "all": "all", "testedAndGuaranteed": "tested", "guaranteed": "expected", "predicted": "predicted", "notRecommended": "not-recommended" } }, "values": { "Human": { "IP-species-checked": "testedAndGuaranteed", "IP-species-dilution-info": "", "IP-species-notes": "<p></p>", "FlowCytIntra-species-checked": "testedAndGuaranteed", "FlowCytIntra-species-dilution-info": "", "FlowCytIntra-species-notes": "<p></p>", "ICCIF-species-checked": "testedAndGuaranteed", "ICCIF-species-dilution-info": "", "ICCIF-species-notes": "<p></p>", "IHCFr-species-checked": "guaranteed", "IHCFr-species-dilution-info": "", "IHCFr-species-notes": "", "IHCP-species-checked": "testedAndGuaranteed", "IHCP-species-dilution-info": "", "IHCP-species-notes": "<p></p>", "WB-species-checked": "testedAndGuaranteed", "WB-species-dilution-info": "", "WB-species-notes": "<p></p>", "ChIP-species-checked": "notRecommended", "ChIP-species-dilution-info": "", "ChIP-species-notes": "<p></p>", "ChICCUTRUNseq-species-checked": "testedAndGuaranteed", "ChICCUTRUNseq-species-dilution-info": "", "ChICCUTRUNseq-species-notes": "<p></p>" }, "Mouse": { "IP-species-checked": "testedAndGuaranteed", "IP-species-dilution-info": "", "IP-species-notes": "<p></p>", "FlowCytIntra-species-checked": "testedAndGuaranteed", "FlowCytIntra-species-dilution-info": "", "FlowCytIntra-species-notes": "<p></p>", "ICCIF-species-checked": "testedAndGuaranteed", "ICCIF-species-dilution-info": "", "ICCIF-species-notes": "<p></p>", "IHCFr-species-checked": "testedAndGuaranteed", "IHCFr-species-dilution-info": "", "IHCFr-species-notes": "<p></p>", "IHCP-species-checked": "testedAndGuaranteed", "IHCP-species-dilution-info": "", "IHCP-species-notes": "<p></p>", "WB-species-checked": "testedAndGuaranteed", "WB-species-dilution-info": "", "WB-species-notes": "<p></p>", "ChIP-species-checked": "notRecommended", "ChIP-species-dilution-info": "", "ChIP-species-notes": "", "ChICCUTRUNseq-species-checked": "guaranteed", "ChICCUTRUNseq-species-dilution-info": "", "ChICCUTRUNseq-species-notes": "" }, "Rat": { "IP-species-checked": "guaranteed", "IP-species-dilution-info": "", "IP-species-notes": "", "FlowCytIntra-species-checked": "guaranteed", "FlowCytIntra-species-dilution-info": "", "FlowCytIntra-species-notes": "", "ICCIF-species-checked": "guaranteed", "ICCIF-species-dilution-info": "", "ICCIF-species-notes": "", "IHCFr-species-checked": "guaranteed", "IHCFr-species-dilution-info": "", "IHCFr-species-notes": "<p></p>", "IHCP-species-checked": "testedAndGuaranteed", "IHCP-species-dilution-info": "", "IHCP-species-notes": "<p></p>", "WB-species-checked": "testedAndGuaranteed", "WB-species-dilution-info": "", "WB-species-notes": "<p></p>", "ChIP-species-checked": "notRecommended", "ChIP-species-dilution-info": "", "ChIP-species-notes": "", "ChICCUTRUNseq-species-checked": "guaranteed", "ChICCUTRUNseq-species-dilution-info": "", "ChICCUTRUNseq-species-notes": "" } } }

Product details

Patented technology
Our RabMAb® technology is a patented hybridoma-based technology for making rabbit monoclonal antibodies. For details on our patents, please refer to RabMAb® patents.

What are the advantages of a recombinant monoclonal antibody?
This product is a recombinant monoclonal antibody, which offers several advantages including:

  • - High batch-to-batch consistency and reproducibility
  • - Improved sensitivity and specificity
  • - Long-term security of supply
  • - Animal-free batch production

For more information, read more on recombinant antibodies.

Conjugation ready
Our carrier-free antibodies are typically supplied in a PBS-only formulation, purified and free of BSA, sodium azide and glycerol. This conjugation-ready format is designed for use with fluorochromes, metal isotopes, oligonucleotides, and enzymes, which makes them ideal for antibody labelling, functional and cell-based assays, flow-based assays (e.g. mass cytometry) and Multiplex Imaging applications.

Use our conjugation kits for antibody conjugates that are ready-to-use in as little as 20 minutes with 1 minute hands-on-time and 100% antibody recovery: available for fluorescent dyes, HRP, biotin and gold.

Compatibility
This product is compatible with the Maxpar® Antibody Labeling Kit from Fluidigm, without the need for antibody preparation. Maxpar® is a trademark of Fluidigm Canada Inc.

Properties and storage information

Form
Liquid
Purification technique
Affinity purification Protein A
Storage buffer
pH: 7.2 - 7.4 Constituents: PBS
Shipped at conditions
Blue Ice
Appropriate short-term storage conditions
+4°C
Appropriate long-term storage conditions
+4°C

Supplementary information

This supplementary information is collated from multiple sources and compiled automatically.

WDR5 also known as WD repeat domain 5 is an important component in the regulation of gene expression. It has a molecular mass of approximately 36 kDa. This protein is widely expressed across various tissues with significant expression in the nucleus. WDR5 primarily functions as a scaffolding protein facilitating the assembly of multiprotein complexes that modify chromatin structure and function. Its involvement in chromatin regulation highlights its mechanical role in modulating access to DNA for transcriptional machinery.
Biological function summary

WDR5 plays a significant role in epigenetic regulation by being part of the histone methyltransferase complex associated with MLL (Mixed Lineage Leukemia). This complex is responsible for the methylation of histone H3 at lysine 4 (H3K4) an essential modification for transcriptional activation. WDR5's interaction with MLL complex components influences gene expression importantly during development and cellular differentiation. Its presence in the MLL complex connects it to pathways that govern cell cycle regulation and stem cell maintenance.

Pathways

WDR5 functions within key pathways such as the chromatin modification pathway and the WNT signaling pathway. In these settings WDR5 interacts with proteins like MLL and BRG1 which contribute to its role in gene regulation and chromatin remodeling. Through these interactions WDR5 modulates the transcription of target genes impacting cellular processes like proliferation and differentiation.

WDR5 has shown involvement in certain cancers and neurodevelopmental disorders. Its dysregulation is linked to leukemia specifically in cases where MLL rearrangements alter its normal function. Additionally aberrant expression of WDR5 may influence neurodevelopmental disorders though its precise role requires more research. In the context of leukemia WDR5's interaction with proteins such as DOT1L and MEN1 supports the proliferation of leukemic cells. Understanding the involvement of WDR5 in these conditions can offer insights into therapeutic targets for disease intervention.

Product protocols

For this product, it's our understanding that no specific protocols are required. You can visit:

Target data

Contributes to histone modification (PubMed : 16600877, PubMed : 16829960, PubMed : 19103755, PubMed : 19131338, PubMed : 19556245, PubMed : 20018852). May position the N-terminus of histone H3 for efficient trimethylation at 'Lys-4' (PubMed : 16829960). As part of the MLL1/MLL complex it is involved in methylation and dimethylation at 'Lys-4' of histone H3 (PubMed : 19556245). H3 'Lys-4' methylation represents a specific tag for epigenetic transcriptional activation (PubMed : 18840606). As part of the NSL complex it may be involved in acetylation of nucleosomal histone H4 on several lysine residues (PubMed : 19103755, PubMed : 20018852). May regulate osteoblasts differentiation (By similarity). In association with RBBP5 and ASH2L, stimulates the histone methyltransferase activities of KMT2A, KMT2B, KMT2C, KMT2D, SETD1A and SETD1B (PubMed : 21220120, PubMed : 22266653).
See full target information WDR5

Product promise

We are committed to supporting your work with high-quality reagents, and we're here for you every step of the way. In the unlikely event that one of our products does not perform as expected, you're protected by our Product Promise.
For full details, please see our Terms & Conditions

Please note: All products are 'FOR RESEARCH USE ONLY. NOT FOR USE IN DIAGNOSTIC OR THERAPEUTIC PROCEDURES'.

For licensing inquiries, please contact partnerships@abcam.com