JavaScript is disabled in your browser. Please enable JavaScript to view this website.
AB138490

Anti-WDR68 antibody [EPR8712]

Be the first to review this product! Submit a review

|

(10 Publications)

Rabbit Recombinant Monoclonal WDR68 antibody. Suitable for IHC-P, WB, Flow Cyt (Intra) and reacts with Human, Mouse, Rat samples. Cited in 10 publications.

View Alternative Names

HAN11, WDR68, DCAF7, DDB1- and CUL4-associated factor 7, WD repeat-containing protein 68, WD repeat-containing protein An11 homolog

3 Images
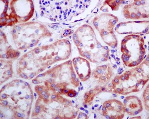
Immunohistochemistry (Formalin/PFA-fixed paraffin-embedded sections) - Anti-WDR68 antibody [EPR8712] (AB138490)
  • IHC-P

Unknown

Immunohistochemistry (Formalin/PFA-fixed paraffin-embedded sections) - Anti-WDR68 antibody [EPR8712] (AB138490)

Immunohistochemical analysis of paraffin-embedded Human kidney tissue labelling WDR68 with ab138490 at 1/100 dilution.

Perform heat mediated antigen retrieval with citrate buffer pH 6 before commencing with IHC staining protocol.

Flow Cytometry (Intracellular) - Anti-WDR68 antibody [EPR8712] (AB138490)
  • Flow Cyt (Intra)

Unknown

Flow Cytometry (Intracellular) - Anti-WDR68 antibody [EPR8712] (AB138490)

Overlay histogram showing HeLa cells stained with ab138490 (red line). The cells were fixed with 80% methanol (5 min) and then permeabilized with 0.1% PBS-Tween for 20 min. The cells were then incubated in 1x PBS / 10% normal goat serum / 0.3M glycine to block non-specific protein-protein interactions followed by the antibody (ab138490 1/100 dilution) for 30 min at 22°C. The secondary antibody used was Alexa Fluor® 488 goat anti-rabbit IgG (H&L) (ab150077) at 1/2000 dilution for 30 min at 22°C. Isotype control antibody (black line) was rabbit IgG (monoclonal) (1μg/1x106 cells) used under the same conditions. Unlabelled sample (blue line) was also used as a control. Acquisition of >5000 events were collected using a 20mW Argon ion laser (488nm) and 525/30 bandpass filter.

Western blot - Anti-WDR68 antibody [EPR8712] (AB138490)
  • WB

Unknown

Western blot - Anti-WDR68 antibody [EPR8712] (AB138490)

All lanes:

Western blot - Anti-WDR68 antibody [EPR8712] (ab138490) at 1/1000 dilution

Lane 1:

Fetal brain lysate at 10 µg

Lane 2:

BxPC-3 lysate at 10 µg

Lane 3:

HeLa lysate at 10 µg

Lane 4:

293T lysate at 10 µg

Lane 5:

Fetal heart lysate at 10 µg

Secondary

All lanes:

HRP labelled goat anti-rabbit at 1/2000 dilution

Predicted band size: 39 kDa

false

Key facts

Host species

Rabbit

Clonality

Monoclonal

Clone number

EPR8712

Isotype

IgG

Carrier free

No

Reacts with

Human

Applications

IHC-P, Flow Cyt (Intra), WB

applications

Immunogen

The exact immunogen used to generate this antibody is proprietary information.

Reactivity data

{ "title": "Reactivity Data", "filters": { "stats": ["", "Species", "Dilution Info", "Notes"], "tabs": { "all-applications": {"fullname" : "All Applications", "shortname": "All Applications"}, "IHCP" : {"fullname" : "Immunohistochemistry (Formalin/PFA-fixed paraffin-embedded sections)", "shortname":"IHC-P"}, "IP" : {"fullname" : "Immunoprecipitation", "shortname":"IP"}, "WB" : {"fullname" : "Western blot", "shortname":"WB"}, "FlowCytIntra" : {"fullname" : "Flow Cytometry (Intracellular)", "shortname":"Flow Cyt (Intra)"} }, "product-promise": { "all": "all", "testedAndGuaranteed": "tested", "guaranteed": "expected", "predicted": "predicted", "notRecommended": "not-recommended" } }, "values": { "Human": { "IHCP-species-checked": "testedAndGuaranteed", "IHCP-species-dilution-info": "1/100 - 1/250", "IHCP-species-notes": "<p></p>", "IP-species-checked": "notRecommended", "IP-species-dilution-info": "", "IP-species-notes": "<p></p>", "WB-species-checked": "testedAndGuaranteed", "WB-species-dilution-info": "1/1000 - 1/10000", "WB-species-notes": "<p></p>", "FlowCytIntra-species-checked": "testedAndGuaranteed", "FlowCytIntra-species-dilution-info": "1/100 - 1/500", "FlowCytIntra-species-notes": "<p><a href='/en-us/products/primary-antibodies/rabbit-igg-monoclonal-epr25a-isotype-control-ab172730'>ab172730</a> - Rabbit monoclonal IgG, is suitable for use as an isotype control with this antibody.</p>" }, "Mouse": { "IHCP-species-checked": "predicted", "IHCP-species-dilution-info": "", "IHCP-species-notes": "", "IP-species-checked": "notRecommended", "IP-species-dilution-info": "", "IP-species-notes": "", "WB-species-checked": "guaranteed", "WB-species-dilution-info": "", "WB-species-notes": "<p></p>", "FlowCytIntra-species-checked": "predicted", "FlowCytIntra-species-dilution-info": "", "FlowCytIntra-species-notes": "" }, "Rat": { "IHCP-species-checked": "predicted", "IHCP-species-dilution-info": "", "IHCP-species-notes": "", "IP-species-checked": "notRecommended", "IP-species-dilution-info": "", "IP-species-notes": "", "WB-species-checked": "guaranteed", "WB-species-dilution-info": "", "WB-species-notes": "<p></p>", "FlowCytIntra-species-checked": "predicted", "FlowCytIntra-species-dilution-info": "", "FlowCytIntra-species-notes": "" } } }

Product details

Patented technology
Our RabMAb® technology is a patented hybridoma-based technology for making rabbit monoclonal antibodies. For details on our patents, please refer to RabMAb® patents.

What are the advantages of a recombinant monoclonal antibody?
This product is a recombinant monoclonal antibody, which offers several advantages including:

  • - High batch-to-batch consistency and reproducibility
  • - Improved sensitivity and specificity
  • - Long-term security of supply
  • - Animal-free batch production

For more information, read more on recombinant antibodies.

Properties and storage information

Form
Liquid
Purification technique
Affinity purification Protein A
Storage buffer
pH: 7.2 - 7.4 Preservative: 0.01% Sodium azide Constituents: PBS, 50% Tissue culture supernatant, 40% Glycerol (glycerin, glycerine), 0.05% BSA
Shipped at conditions
Blue Ice
Appropriate short-term storage conditions
+4°C
Appropriate long-term storage conditions
-20°C

Supplementary information

This supplementary information is collated from multiple sources and compiled automatically.

WDR68 also known as DCAF7 or Han11 is a protein with a mass of approximately 40 kDa. It functions mechanically as a scaffold protein facilitating interactions between various signaling molecules. WDR68 is expressed broadly across different tissue types including the brain heart and skeletal muscle. Its role as a scaffold indicates its importance in organizing and stabilizing multi-protein complexes that regulate numerous cellular processes.
Biological function summary

The WDR68 protein interacts with other cellular components to regulate signaling pathways important for cell proliferation and differentiation. It forms a part of the STRIPAK complex which plays a role in modulating developmental processes and cellular stress responses. The protein contributes to the maintenance of cellular structure and function influencing activities like gene expression and signal transduction.

Pathways

WDR68 operates within the MAPK and JNK signaling pathways both of which are essential for transmitting external stimuli to intracellular responses. Within the MAPK pathway WDR68 interacts with kinases such as MAP3Ks facilitating the transduction of mitogenic signals. The JNK pathway involves proteins like MKK4 with WDR68 playing a role in modulating various cellular responses including those involved in apoptosis and stress responses.

WDR68 associates with craniofacial development abnormalities as its interaction with the DYRK1A protein influences cellular signaling during neural crest cell development. Mutations or dysregulations in WDR68 are also linked to cancer progression due to its role in the MAPK pathway affecting cell cycle regulation and apoptosis. The relationship between WDR68 and cancer highlights the involvement of proteins such as MKK4 making it significant in therapeutic research targeting these pathways.

Product protocols

For this product, it's our understanding that no specific protocols are required. You can visit:

Target data

Involved in craniofacial development. Acts upstream of the EDN1 pathway and is required for formation of the upper jaw equivalent, the palatoquadrate. The activity required for EDN1 pathway function differs between the first and second arches (By similarity). Associates with DIAPH1 and controls GLI1 transcriptional activity. Could be involved in normal and disease skin development. May function as a substrate receptor for CUL4-DDB1 E3 ubiquitin-protein ligase complex.
See full target information DCAF7

Publications (10)

Recent publications for all applications. Explore the full list and refine your search

The Tohoku journal of experimental medicine : PubMed41062300

2025

Identification of KLHL35, WDR72, and WDR78 as Prognostic Biomarkers in Colorectal Cancer.

Applications

Unspecified application

Species

Unspecified reactive species

Jiayou Ye,Tingting Zhang,Guangsheng Wang,Guofeng Bian,Aijun Chen,Xin Zhou

Advanced science (Weinheim, Baden-Wurttemberg, Germany) 11:e2403262 PubMed38973296

2024

DCAF7 Acts as A Scaffold to Recruit USP10 for G3BP1 Deubiquitylation and Facilitates Chemoresistance and Metastasis in Nasopharyngeal Carcinoma.

Applications

Unspecified application

Species

Unspecified reactive species

Qing-Jie Li,Xue-Liang Fang,Ying-Qin Li,Jia-Yi Lin,Cheng-Long Huang,Shi-Wei He,Sheng-Yan Huang,Jun-Yan Li,Sha Gong,Na Liu,Jun Ma,Yin Zhao,Ling-Long Tang

mBio 15:e0103824 PubMed38940561

2024

Molecular insights into type I interferon suppression and enhanced pathogenicity by species B human adenoviruses B7 and B14.

Applications

Unspecified application

Species

Unspecified reactive species

Drayson Graves,Nikolas Akkerman,Lauren Fulham,Rafe Helwer,Peter Pelka

Cellular and molecular life sciences : CMLS 81:20 PubMed38195774

2024

GR/Ahi1 regulates WDR68-DYRK1A binding and mediates cognitive impairment in prenatally stressed offspring.

Applications

Unspecified application

Species

Unspecified reactive species

Bin Wei,Haixia Shi,Xi Yu,Yajun Shi,Hongtao Zeng,Yan Zhao,Zejun Zhao,Yueyang Song,Miao Sun,Bin Wang

Experimental hematology & oncology 12:77 PubMed37679762

2023

CUL4B-DDB1-COP1-mediated UTX downregulation promotes colorectal cancer progression.

Applications

Unspecified application

Species

Unspecified reactive species

Dakui Luo,Min Chen,Qingguo Li,Kangjunjie Wang,Kaihua Wang,Junqiang Li,Guoxiang Fu,Zezhi Shan,Qi Liu,Yufei Yang,Lei Liang,Yanlei Ma,Yi Qin,Jun Qin,Daming Gao,Xinxiang Li

Cell genomics 3:100250 PubMed36950384

2023

Protein interaction studies in human induced neurons indicate convergent biology underlying autism spectrum disorders.

Applications

Unspecified application

Species

Unspecified reactive species

Greta Pintacuda,Yu-Han H Hsu,Kalliopi Tsafou,Ka Wan Li,Jacqueline M Martín,Jackson Riseman,Julia C Biagini,Joshua K T Ching,Daya Mena,Miguel A Gonzalez-Lozano,Shawn B Egri,Jake Jaffe,August B Smit,Nadine Fornelos,Kevin C Eggan,Kasper Lage

Genetics in medicine : official journal of the American College of Medical Genetics 23:2150-2159 PubMed34345024

2021

Integrative approach to interpret DYRK1A variants, leading to a frequent neurodevelopmental disorder.

Applications

Unspecified application

Species

Unspecified reactive species

Jérémie Courraud,Eric Chater-Diehl,Benjamin Durand,Marie Vincent,Maria Del Mar Muniz Moreno,Imene Boujelbene,Nathalie Drouot,Loréline Genschik,Elise Schaefer,Mathilde Nizon,Bénédicte Gerard,Marc Abramowicz,Benjamin Cogné,Lucas Bronicki,Lydie Burglen,Magalie Barth,Perrine Charles,Estelle Colin,Christine Coubes,Albert David,Bruno Delobel,Florence Demurger,Sandrine Passemard,Anne-Sophie Denommé,Laurence Faivre,Claire Feger,Mélanie Fradin,Christine Francannet,David Genevieve,Alice Goldenberg,Anne-Marie Guerrot,Bertrand Isidor,Katrine M Johannesen,Boris Keren,Maria Kibæk,Paul Kuentz,Michèle Mathieu-Dramard,Bénédicte Demeer,Julia Metreau,Rikke Steensbjerre Møller,Sébastien Moutton,Laurent Pasquier,Kristina Pilekær Sørensen,Laurence Perrin,Mathilde Renaud,Pascale Saugier,Marlène Rio,Joane Svane,Julien Thevenon,Frédéric Tran Mau Them,Cathrine Elisabeth Tronhjem,Antonio Vitobello,Valérie Layet,Stéphane Auvin,Khaoula Khachnaoui,Marie-Christine Birling,Séverine Drunat,Allan Bayat,Christèle Dubourg,Salima El Chehadeh,Christina Fagerberg,Cyril Mignot,Michel Guipponi,Thierry Bienvenu,Yann Herault,Julie Thompson,Marjolaine Willems,Jean-Louis Mandel,Rosanna Weksberg,Amélie Piton

Biochemical and biophysical research communication 519:204-210 PubMed31493872

2019

DCAF7 is required for maintaining the cellular levels of ERCC1-XPF and nucleotide excision repair.

Applications

Unspecified application

Species

Unspecified reactive species

Hiroaki Kawara,Ryo Akahori,Mitsuo Wakasugi,Aziz Sancar,Tsukasa Matsunaga

Nucleic acids research 47:4462-4475 PubMed30864669

2019

A complex between DYRK1A and DCAF7 phosphorylates the C-terminal domain of RNA polymerase II to promote myogenesis.

Applications

Unspecified application

Species

Unspecified reactive species

Dan Yu,Claudia Cattoglio,Yuhua Xue,Qiang Zhou

Scientific reports 7:6420 PubMed28743892

2017

DYRK1B mutations associated with metabolic syndrome impair the chaperone-dependent maturation of the kinase domain.

Applications

Unspecified application

Species

Unspecified reactive species

Samira Abu Jhaisha,Esti W Widowati,Isao Kii,Rie Sonamoto,Stefan Knapp,Chrisovalantis Papadopoulos,Walter Becker
View all publications

Product promise

We are committed to supporting your work with high-quality reagents, and we're here for you every step of the way. In the unlikely event that one of our products does not perform as expected, you're protected by our Product Promise.
For full details, please see our Terms & Conditions

Please note: All products are 'FOR RESEARCH USE ONLY. NOT FOR USE IN DIAGNOSTIC OR THERAPEUTIC PROCEDURES'.

For licensing inquiries, please contact partnerships@abcam.com