JavaScript is disabled in your browser. Please enable JavaScript to view this website.
AB248845

Anti-WDR68 antibody [EPR8712] - BSA and Azide free

Be the first to review this product! Submit a review

|

(0 Publication)

Rabbit Recombinant Monoclonal WDR68 antibody. Carrier free. Suitable for IHC-P, WB, Flow Cyt (Intra) and reacts with Human samples.

View Alternative Names

HAN11, WDR68, DCAF7, DDB1- and CUL4-associated factor 7, WD repeat-containing protein 68, WD repeat-containing protein An11 homolog

3 Images
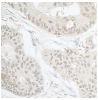
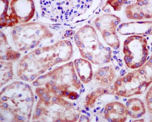
Immunohistochemistry (Formalin/PFA-fixed paraffin-embedded sections) - Anti-WDR68 antibody [EPR8712] - BSA and Azide free (AB248845)
  • IHC-P

Unknown

Immunohistochemistry (Formalin/PFA-fixed paraffin-embedded sections) - Anti-WDR68 antibody [EPR8712] - BSA and Azide free (AB248845)

This data was developed using ab138490, the same antibody clone in a different buffer formulation.

Immunohistochemical analysis of paraffin-embedded Human kidney tissue labelling WDR68 with ab138490 at 1/100 dilution.

Perform heat mediated antigen retrieval with citrate buffer pH 6 before commencing with IHC staining protocol.

Flow Cytometry (Intracellular) - Anti-WDR68 antibody [EPR8712] - BSA and Azide free (AB248845)
  • Flow Cyt (Intra)

Unknown

Flow Cytometry (Intracellular) - Anti-WDR68 antibody [EPR8712] - BSA and Azide free (AB248845)

This data was developed using ab138490, the same antibody clone in a different buffer formulation.

Overlay histogram showing HeLa cells stained with ab138490 (red line). The cells were fixed with 80% methanol (5 min) and then permeabilized with 0.1% PBS-Tween for 20 min. The cells were then incubated in 1x PBS / 10% normal goat serum / 0.3M glycine to block non-specific protein-protein interactions followed by the antibody (ab138490, 1/100 dilution) for 30 min at 22°C. The secondary antibody used was Alexa Fluor® 488 goat anti-rabbit IgG (H&L) (ab150077) at 1/2000 dilution for 30 min at 22°C. Isotype control antibody (black line) was rabbit IgG (monoclonal) (1µg/1x106 cells) used under the same conditions. Unlabelled sample (blue line) was also used as a control. Acquisition of >5,000 events were collected using a 20mW Argon ion laser (488nm) and 525/30 bandpass filter.

Western blot - Anti-WDR68 antibody [EPR8712] - BSA and Azide free (AB248845)
  • WB

Unknown

Western blot - Anti-WDR68 antibody [EPR8712] - BSA and Azide free (AB248845)

This data was developed using ab138490, the same antibody clone in a different buffer formulation.

All lanes:

Western blot - Anti-WDR68 antibody [EPR8712] (<a href='/en-us/products/primary-antibodies/wdr68-antibody-epr8712-ab138490'>ab138490</a>) at 1/1000 dilution

Lane 1:

Fetal brain lysate at 10 µg

Lane 2:

BxPC-3 lysate at 10 µg

Lane 3:

HeLa lysate at 10 µg

Lane 4:

293T lysate at 10 µg

Lane 5:

Fetal heart lysate at 10 µg

Secondary

All lanes:

HRP labelled goat anti-rabbit at 1/2000 dilution

Predicted band size: 39 kDa

false

Key facts

Host species

Rabbit

Clonality

Monoclonal

Clone number

EPR8712

Isotype

IgG

Carrier free

Yes

Reacts with

Human

Applications

IHC-P, WB, Flow Cyt (Intra)

applications

Immunogen

The exact immunogen used to generate this antibody is proprietary information.

Reactivity data

{ "title": "Reactivity Data", "filters": { "stats": ["", "Species", "Dilution Info", "Notes"], "tabs": { "all-applications": {"fullname" : "All Applications", "shortname": "All Applications"}, "IHCP" : {"fullname" : "Immunohistochemistry (Formalin/PFA-fixed paraffin-embedded sections)", "shortname":"IHC-P"}, "IP" : {"fullname" : "Immunoprecipitation", "shortname":"IP"}, "WB" : {"fullname" : "Western blot", "shortname":"WB"}, "FlowCytIntra" : {"fullname" : "Flow Cytometry (Intracellular)", "shortname":"Flow Cyt (Intra)"} }, "product-promise": { "all": "all", "testedAndGuaranteed": "tested", "guaranteed": "expected", "predicted": "predicted", "notRecommended": "not-recommended" } }, "values": { "Human": { "IHCP-species-checked": "testedAndGuaranteed", "IHCP-species-dilution-info": "", "IHCP-species-notes": "<p></p>", "IP-species-checked": "notRecommended", "IP-species-dilution-info": "", "IP-species-notes": "<p></p>", "WB-species-checked": "testedAndGuaranteed", "WB-species-dilution-info": "", "WB-species-notes": "<p></p>", "FlowCytIntra-species-checked": "testedAndGuaranteed", "FlowCytIntra-species-dilution-info": "", "FlowCytIntra-species-notes": "<p></p>" }, "Mouse": { "IHCP-species-checked": "predicted", "IHCP-species-dilution-info": "", "IHCP-species-notes": "", "IP-species-checked": "notRecommended", "IP-species-dilution-info": "", "IP-species-notes": "", "WB-species-checked": "predicted", "WB-species-dilution-info": "", "WB-species-notes": "", "FlowCytIntra-species-checked": "predicted", "FlowCytIntra-species-dilution-info": "", "FlowCytIntra-species-notes": "" }, "Rat": { "IHCP-species-checked": "predicted", "IHCP-species-dilution-info": "", "IHCP-species-notes": "", "IP-species-checked": "notRecommended", "IP-species-dilution-info": "", "IP-species-notes": "", "WB-species-checked": "predicted", "WB-species-dilution-info": "", "WB-species-notes": "", "FlowCytIntra-species-checked": "predicted", "FlowCytIntra-species-dilution-info": "", "FlowCytIntra-species-notes": "" } } }

Product details

ab248845 is the carrier-free version of ab138490.

Patented technology
Our RabMAb® technology is a patented hybridoma-based technology for making rabbit monoclonal antibodies. For details on our patents, please refer to RabMAb® patents.

What are the advantages of a recombinant monoclonal antibody?
This product is a recombinant monoclonal antibody, which offers several advantages including:

  • - High batch-to-batch consistency and reproducibility
  • - Improved sensitivity and specificity
  • - Long-term security of supply
  • - Animal-free batch production

For more information, read more on recombinant antibodies.

Conjugation ready
Our carrier-free antibodies are typically supplied in a PBS-only formulation, purified and free of BSA, sodium azide and glycerol. This conjugation-ready format is designed for use with fluorochromes, metal isotopes, oligonucleotides, and enzymes, which makes them ideal for antibody labelling, functional and cell-based assays, flow-based assays (e.g. mass cytometry) and Multiplex Imaging applications.

Use our conjugation kits for antibody conjugates that are ready-to-use in as little as 20 minutes with 1 minute hands-on-time and 100% antibody recovery: available for fluorescent dyes, HRP, biotin and gold.

Compatibility
This product is compatible with the Maxpar® Antibody Labeling Kit from Fluidigm, without the need for antibody preparation. Maxpar® is a trademark of Fluidigm Canada Inc.

Properties and storage information

Form
Liquid
Purification technique
Affinity purification Protein A
Storage buffer
pH: 7.2 - 7.4 Constituents: PBS
Shipped at conditions
Blue Ice
Appropriate short-term storage conditions
+4°C
Appropriate long-term storage conditions
+4°C
Storage information
Do Not Freeze

Supplementary information

This supplementary information is collated from multiple sources and compiled automatically.

WDR68 also known as DCAF7 or Han11 is a protein with a mass of approximately 40 kDa. It functions mechanically as a scaffold protein facilitating interactions between various signaling molecules. WDR68 is expressed broadly across different tissue types including the brain heart and skeletal muscle. Its role as a scaffold indicates its importance in organizing and stabilizing multi-protein complexes that regulate numerous cellular processes.
Biological function summary

The WDR68 protein interacts with other cellular components to regulate signaling pathways important for cell proliferation and differentiation. It forms a part of the STRIPAK complex which plays a role in modulating developmental processes and cellular stress responses. The protein contributes to the maintenance of cellular structure and function influencing activities like gene expression and signal transduction.

Pathways

WDR68 operates within the MAPK and JNK signaling pathways both of which are essential for transmitting external stimuli to intracellular responses. Within the MAPK pathway WDR68 interacts with kinases such as MAP3Ks facilitating the transduction of mitogenic signals. The JNK pathway involves proteins like MKK4 with WDR68 playing a role in modulating various cellular responses including those involved in apoptosis and stress responses.

WDR68 associates with craniofacial development abnormalities as its interaction with the DYRK1A protein influences cellular signaling during neural crest cell development. Mutations or dysregulations in WDR68 are also linked to cancer progression due to its role in the MAPK pathway affecting cell cycle regulation and apoptosis. The relationship between WDR68 and cancer highlights the involvement of proteins such as MKK4 making it significant in therapeutic research targeting these pathways.

Product protocols

For this product, it's our understanding that no specific protocols are required. You can visit:

Target data

Involved in craniofacial development. Acts upstream of the EDN1 pathway and is required for formation of the upper jaw equivalent, the palatoquadrate. The activity required for EDN1 pathway function differs between the first and second arches (By similarity). Associates with DIAPH1 and controls GLI1 transcriptional activity. Could be involved in normal and disease skin development. May function as a substrate receptor for CUL4-DDB1 E3 ubiquitin-protein ligase complex.
See full target information DCAF7

Product promise

We are committed to supporting your work with high-quality reagents, and we're here for you every step of the way. In the unlikely event that one of our products does not perform as expected, you're protected by our Product Promise.
For full details, please see our Terms & Conditions

Please note: All products are 'FOR RESEARCH USE ONLY. NOT FOR USE IN DIAGNOSTIC OR THERAPEUTIC PROCEDURES'.

For licensing inquiries, please contact partnerships@abcam.com