JavaScript is disabled in your browser. Please enable JavaScript to view this website.
AB249087

Anti-WDR77 antibody [EPR10708(B)] - BSA and Azide free

Be the first to review this product! Submit a review

|

(1 Publication)

Rabbit Recombinant Monoclonal WDR77 antibody. Carrier free. Suitable for IHC-P, WB, ICC/IF, Flow Cyt (Intra), IP and reacts with Human, Mouse, Rat samples. Cited in 1 publication.

View Alternative Names

MEP50, WD45, HKMT1069, Nbla10071, WDR77, Methylosome protein WDR77, Androgen receptor cofactor p44, Methylosome protein 50, WD repeat-containing protein 77, p44/Mep50, MEP-50

5 Images
Immunohistochemistry (Formalin/PFA-fixed paraffin-embedded sections) - Anti-WDR77 antibody [EPR10708(B)] - BSA and Azide free (AB249087)
  • IHC-P

Lab

Immunohistochemistry (Formalin/PFA-fixed paraffin-embedded sections) - Anti-WDR77 antibody [EPR10708(B)] - BSA and Azide free (AB249087)

This data was developed using ab154190, the same antibody clone in a different buffer formulation.

Immunohistochemistry (Formalin/PFA-fixed paraffin-embedded sections) analysis of human breast cancer tissue sections labeling WDR77 with purified ab154190 at 1/6000 dilution (0.05 μg/mL). Heat mediated antigen retrieval was performed using Heat mediated antigen retrieval using Bond™ Epitope Retrieval Solution 1 (pH 6.0). Tissue was counterstained with Hematoxylin. Rabbit specific IHC polymer detection kit HRP/DAB (ab209101) secondary antibody was used at 1/0 dilution. PBS instead of the primary antibody was used as the negative control.
The immunostaining was performed on a Leica Biosystems BOND® RX instrument.

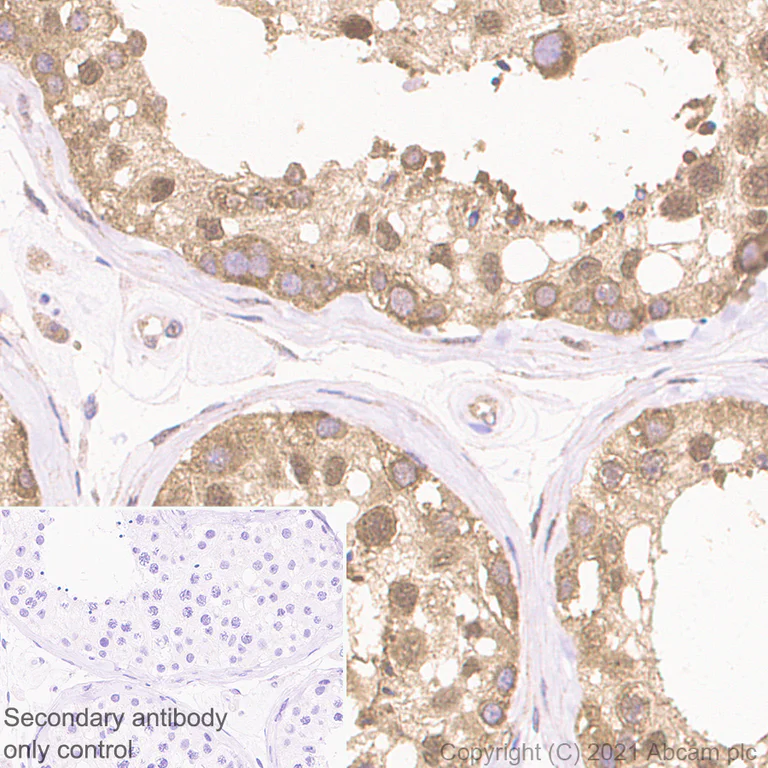
Immunohistochemistry (Formalin/PFA-fixed paraffin-embedded sections) - Anti-WDR77 antibody [EPR10708(B)] - BSA and Azide free (AB249087)
  • IHC-P

Lab

Immunohistochemistry (Formalin/PFA-fixed paraffin-embedded sections) - Anti-WDR77 antibody [EPR10708(B)] - BSA and Azide free (AB249087)

This data was developed using ab154190, the same antibody clone in a different buffer formulation.

Immunohistochemistry (Formalin/PFA-fixed paraffin-embedded sections) analysis of human testis tissue sections labeling WDR77 with purified ab154190 at 1/6000 dilution (0.05 μg/mL). Heat mediated antigen retrieval was performed using Heat mediated antigen retrieval using Bond™ Epitope Retrieval Solution 1 (pH 6.0). Tissue was counterstained with Hematoxylin. Rabbit specific IHC polymer detection kit HRP/DAB (ab209101) secondary antibody was used at 1/0 dilution. PBS instead of the primary antibody was used as the negative control.
The immunostaining was performed on a Leica Biosystems BOND® RX instrument.

Immunocytochemistry/ Immunofluorescence - Anti-WDR77 antibody [EPR10708(B)] - BSA and Azide free (AB249087)
  • ICC/IF

Supplier Data

Immunocytochemistry/ Immunofluorescence - Anti-WDR77 antibody [EPR10708(B)] - BSA and Azide free (AB249087)

This data was developed using ab154190, the same antibody clone in a different buffer formulation.

Immunocytochemistry analysis of 293T (Human embryonic kidney epithelial cell) cells labeling WDR77 with purified ab154190 at 1/50 dilution (5.58 μg/mL). Cells were fixed in 4% Paraformaldehyde and permeabilized with 0.1% tritonX-100. Cells were counterstained with ab195889 Anti-alpha Tubulin antibody [DM1A] - Microtubule Marker (Alexa Fluor® 594) 1/200 (2.5 μg/mL). Goat anti rabbit IgG (Alexa Fluor® 488, ab150077) was used as the secondary antibody at 1/1000 (2 μg/mL) dilution. DAPI (blue) was used as nuclear counterstain. PBS instead of the primary antibody was used as the secondary antibody only control.

Flow Cytometry (Intracellular) - Anti-WDR77 antibody [EPR10708(B)] - BSA and Azide free (AB249087)
  • Flow Cyt (Intra)

Lab

Flow Cytometry (Intracellular) - Anti-WDR77 antibody [EPR10708(B)] - BSA and Azide free (AB249087)

This data was developed using ab154190, the same antibody clone in a different buffer formulation. Intracellular Flow Cytometry analysis of HeLa (Human cervix adenocarcinoma epithelial cell) cells labelling WDR77 with purified ab154190 at 1/30 dilution (10 μg/mL) (Red). Cells were fixed with 4% Paraformaldehyde and permeabilised with 90% Methanol. A Goat anti rabbit IgG (Alexa Fluor® 488, ab150077) secondary antibody was used at 1/2000. Isotype control - Rabbit monoclonal IgG (Black). Unlabelled control - Cell without incubation with primary antibody and secondary antibody (Blue).

Western blot - Anti-WDR77 antibody [EPR10708(B)] - BSA and Azide free (AB249087)
  • WB

Unknown

Western blot - Anti-WDR77 antibody [EPR10708(B)] - BSA and Azide free (AB249087)

All lanes:

Western blot - Anti-WDR77 antibody [EPR10708(B)] (<a href='/en-us/products/primary-antibodies/wdr77-antibody-epr10708b-ab154190'>ab154190</a>) at 1/1000 dilution

Lane 1:

HeLa (Human cervix adenocarcinoma epithelial cell) whole cell lysate

Lane 2:

HEK-293 (Human embryonic kidney epithelial cell) whole cell lysate

Lane 3:

Mouse spleen lysate

Lane 4:

Mouse kidney lysate

Lane 5:

Rat kidney lysate

Secondary

All lanes:

Western blot - Goat Anti-Rabbit IgG H&L (HRP) (<a href='/en-us/products/secondary-antibodies/goat-rabbit-igg-h-l-hrp-ab97051'>ab97051</a>) at 1/20000 dilution

Predicted band size: 37 kDa

false

Key facts

Host species

Rabbit

Clonality

Monoclonal

Clone number

EPR10708(B)

Isotype

IgG

Carrier free

Yes

Reacts with

Mouse, Rat, Human

Applications

IHC-P, WB, Flow Cyt (Intra), ICC/IF, IP

applications

Immunogen

The exact immunogen used to generate this antibody is proprietary information.

Specificity

The mouse and rat recommendation is based on the WB results. We do not guarantee IHC-P for mouse and rat.

Reactivity data

{ "title": "Reactivity Data", "filters": { "stats": ["", "Species", "Dilution Info", "Notes"], "tabs": { "all-applications": {"fullname" : "All Applications", "shortname": "All Applications"}, "IHCP" : {"fullname" : "Immunohistochemistry (Formalin/PFA-fixed paraffin-embedded sections)", "shortname":"IHC-P"}, "WB" : {"fullname" : "Western blot", "shortname":"WB"}, "ICCIF" : {"fullname" : "Immunocytochemistry/ Immunofluorescence", "shortname":"ICC/IF"}, "FlowCytIntra" : {"fullname" : "Flow Cytometry (Intracellular)", "shortname":"Flow Cyt (Intra)"}, "IP" : {"fullname" : "Immunoprecipitation", "shortname":"IP"} }, "product-promise": { "all": "all", "testedAndGuaranteed": "tested", "guaranteed": "expected", "predicted": "predicted", "notRecommended": "not-recommended" } }, "values": { "Human": { "IHCP-species-checked": "testedAndGuaranteed", "IHCP-species-dilution-info": "", "IHCP-species-notes": "<p>The mouse and rat recommendation is based on the WB results. We do not guarantee IHC-P for mouse and rat.</p>", "WB-species-checked": "testedAndGuaranteed", "WB-species-dilution-info": "", "WB-species-notes": "<p></p>", "ICCIF-species-checked": "testedAndGuaranteed", "ICCIF-species-dilution-info": "", "ICCIF-species-notes": "<p></p>", "FlowCytIntra-species-checked": "testedAndGuaranteed", "FlowCytIntra-species-dilution-info": "", "FlowCytIntra-species-notes": "<p></p>", "IP-species-checked": "guaranteed", "IP-species-dilution-info": "", "IP-species-notes": "<p></p>" }, "Mouse": { "IHCP-species-checked": "guaranteed", "IHCP-species-dilution-info": "", "IHCP-species-notes": "", "WB-species-checked": "testedAndGuaranteed", "WB-species-dilution-info": "", "WB-species-notes": "<p></p>", "ICCIF-species-checked": "guaranteed", "ICCIF-species-dilution-info": "", "ICCIF-species-notes": "", "FlowCytIntra-species-checked": "guaranteed", "FlowCytIntra-species-dilution-info": "", "FlowCytIntra-species-notes": "", "IP-species-checked": "guaranteed", "IP-species-dilution-info": "", "IP-species-notes": "<p></p>" }, "Rat": { "IHCP-species-checked": "guaranteed", "IHCP-species-dilution-info": "", "IHCP-species-notes": "", "WB-species-checked": "testedAndGuaranteed", "WB-species-dilution-info": "", "WB-species-notes": "<p></p>", "ICCIF-species-checked": "guaranteed", "ICCIF-species-dilution-info": "", "ICCIF-species-notes": "", "FlowCytIntra-species-checked": "guaranteed", "FlowCytIntra-species-dilution-info": "", "FlowCytIntra-species-notes": "", "IP-species-checked": "guaranteed", "IP-species-dilution-info": "", "IP-species-notes": "<p></p>" } } }

Product details

ab249087 is the carrier-free version of ab154190.

Patented technology
Our RabMAb® technology is a patented hybridoma-based technology for making rabbit monoclonal antibodies. For details on our patents, please refer to RabMAb® patents.

What are the advantages of a recombinant monoclonal antibody?
This product is a recombinant monoclonal antibody, which offers several advantages including:

  • - High batch-to-batch consistency and reproducibility
  • - Improved sensitivity and specificity
  • - Long-term security of supply
  • - Animal-free batch production

For more information, read more on recombinant antibodies.

Conjugation ready
Our carrier-free antibodies are typically supplied in a PBS-only formulation, purified and free of BSA, sodium azide and glycerol. This conjugation-ready format is designed for use with fluorochromes, metal isotopes, oligonucleotides, and enzymes, which makes them ideal for antibody labelling, functional and cell-based assays, flow-based assays (e.g. mass cytometry) and Multiplex Imaging applications.

Use our conjugation kits for antibody conjugates that are ready-to-use in as little as 20 minutes with 1 minute hands-on-time and 100% antibody recovery: available for fluorescent dyes, HRP, biotin and gold.

Compatibility
This product is compatible with the Maxpar® Antibody Labeling Kit from Fluidigm, without the need for antibody preparation. Maxpar® is a trademark of Fluidigm Canada Inc.

Properties and storage information

Form
Liquid
Purification technique
Affinity purification Protein A
Storage buffer
pH: 7.2 - 7.4 Constituents: PBS
Shipped at conditions
Blue Ice
Appropriate short-term storage conditions
+4°C
Appropriate long-term storage conditions
+4°C
Storage information
Do Not Freeze

Supplementary information

This supplementary information is collated from multiple sources and compiled automatically.

WDR77 also known as MEP50 is a protein with a mass of about 37 kDa. It functions as a cofactor involved in methylation processes often forming part of protein complexes with PRMT5. WDR77 locates within the cell nucleus and is widely expressed in human tissues with higher levels observed in reproductive organs like the testis and prostate. The protein interacts with other proteins to affect transcription and RNA processing.
Biological function summary

WDR77 interacts with the protein arginine methyltransferase 5 (PRMT5) and contributes to the assembly and stabilization of methyltransferase complexes. This role is essential for its participation in the methylation of arginine residues on histones and other proteins which regulates gene expression. WDR77 influences cell proliferation and differentiation by modulating these processes especially in germ cells and prostate epithelial cells.

Pathways

WDR77 is an important player in the transcriptional repression pathway affecting histone modification. It connects intimately with important pathways like the PI3K/AKT signaling and cell cycle regulation. Through its interaction with PRMT5 WDR77 takes part in regulatory networks impacting gene silencing chromatin remodeling and the overall gene expression mechanism. The involvement of WDR77 in these pathways emphasizes its relationship with PRMT5 and other methylation-associated proteins.

WDR77 has links to prostate cancer and lung cancer. These associations may result from its role in cell cycle control and proliferation which becomes dysregulated in oncogenesis. WDR77's interaction with PRMT5 is critical in such conditions as changes in their activity can alter normal cell growth patterns. Research indicates that abnormal expression or function of WDR77 can lead to increased tumorigenesis in specific tissues emphasizing the protein's potential as a target for therapeutic interventions.

Product protocols

For this product, it's our understanding that no specific protocols are required. You can visit:

Target data

Non-catalytic component of the methylosome complex, composed of PRMT5, WDR77 and CLNS1A, which modifies specific arginines to dimethylarginines in several spliceosomal Sm proteins and histones (PubMed : 11756452). This modification targets Sm proteins to the survival of motor neurons (SMN) complex for assembly into small nuclear ribonucleoprotein core particles. Might play a role in transcription regulation. The methylosome complex also methylates the Piwi proteins (PIWIL1, PIWIL2 and PIWIL4), methylation of Piwi proteins being required for the interaction with Tudor domain-containing proteins and subsequent localization to the meiotic nuage (PubMed : 23071334).
See full target information WDR77

Publications (1)

Recent publications for all applications. Explore the full list and refine your search

Developmental cell 60:2744-2760.e9 PubMed40460835

2025

ATG9A and ARFIP2 cooperate to control PI4P levels for lysosomal repair.

Applications

Unspecified application

Species

Unspecified reactive species

Stefano De Tito,Eugenia Almacellas,Daniel Dai Yu,Emily Millard,Wenxin Zhang,Cecilia de Heus,Christophe Queval,Javier H Hervás,Enrica Pellegrino,Ioanna Panagi,Ditte Fogde,Teresa L M Thurston,Judith Klumperman,Maximiliano Gutierrez,Sharon A Tooze
View all publications

Product promise

We are committed to supporting your work with high-quality reagents, and we're here for you every step of the way. In the unlikely event that one of our products does not perform as expected, you're protected by our Product Promise.
For full details, please see our Terms & Conditions

Please note: All products are 'FOR RESEARCH USE ONLY. NOT FOR USE IN DIAGNOSTIC OR THERAPEUTIC PROCEDURES'.

For licensing inquiries, please contact partnerships@abcam.com