JavaScript is disabled in your browser. Please enable JavaScript to view this website.
AB251023

Anti-WDR77 antibody [EPR10709(2)] - BSA and Azide free

Be the first to review this product! Submit a review

|

(1 Publication)

Rabbit Recombinant Monoclonal WDR77 antibody. Carrier free. Suitable for ICC/IF, IP, WB, Flow Cyt (Intra), IHC-P and reacts with Human, Rat, Mouse samples. Cited in 1 publication.

View Alternative Names

MEP50, WD45, HKMT1069, Nbla10071, WDR77, Methylosome protein WDR77, Androgen receptor cofactor p44, Methylosome protein 50, WD repeat-containing protein 77, p44/Mep50, MEP-50

7 Images
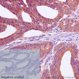
Immunohistochemistry (Formalin/PFA-fixed paraffin-embedded sections) - Anti-WDR77 antibody [EPR10709(2)] - BSA and Azide free (AB251023)
  • IHC-P

Supplier Data

Immunohistochemistry (Formalin/PFA-fixed paraffin-embedded sections) - Anti-WDR77 antibody [EPR10709(2)] - BSA and Azide free (AB251023)

This data was developed using ab190361, the same antibody clone in a different buffer formulation.

Immunohistochemical analysis of formalin-fixed, paraffin-embedded Human adenocarcinoma of the colon labeling WDR77 with ab190361 at 1/50 and HRP polymer for Rabbit IgG. Counterstained with Hematoxylin. Negative control also shown.

Perform heat mediated antigen retrieval with Tris/EDTA buffer pH 9.0 before commencing with IHC staining protocol.

Immunocytochemistry/ Immunofluorescence - Anti-WDR77 antibody [EPR10709(2)] - BSA and Azide free (AB251023)
  • ICC/IF

Supplier Data

Immunocytochemistry/ Immunofluorescence - Anti-WDR77 antibody [EPR10709(2)] - BSA and Azide free (AB251023)

This data was developed using ab190361, the same antibody clone in a different buffer formulation.

Immunofluorescence analysis of A673 cells fixed in 4% paraformaldehyde labeling WDR77 with ab190361 at 1/50 dilution and Goat anti rabbit IgG (Alexa Fluor® 555) 1/200. Counterstained with DAPI. Negative controls also shown.

Flow Cytometry (Intracellular) - Anti-WDR77 antibody [EPR10709(2)] - BSA and Azide free (AB251023)
  • Flow Cyt (Intra)

Supplier Data

Flow Cytometry (Intracellular) - Anti-WDR77 antibody [EPR10709(2)] - BSA and Azide free (AB251023)

This data was developed using ab190361, the same antibody clone in a different buffer formulation.

Intracellular flow cytometric analysis of 2% paraformaldehyde fixed HeLa cells labeling WDR77 at 1/70 dilution and Goat anti rabbit IgG (FITC) at 1/150. Rabbit monoclonal IgG used as isotype control.

Immunoprecipitation - Anti-WDR77 antibody [EPR10709(2)] - BSA and Azide free (AB251023)
  • IP

Unknown

Immunoprecipitation - Anti-WDR77 antibody [EPR10709(2)] - BSA and Azide free (AB251023)

This data was developed using ab190361, the same antibody clone in a different buffer formulation.

Immunoprecipitation of HeLa cells labeling WDR77 with ab190361 at 1/50 and Anti-Rabbit IgG (HRP), specific to the non-reduced form of IgG at 1/5000 (+) or PBS (-)

All lanes:

Immunoprecipitation - Anti-WDR77 antibody [EPR10709(2)] - BSA and Azide free (ab251023)

Predicted band size: 37 kDa

false

Western blot - Anti-WDR77 antibody [EPR10709(2)] - BSA and Azide free (AB251023)
  • WB

Supplier Data

Western blot - Anti-WDR77 antibody [EPR10709(2)] - BSA and Azide free (AB251023)

This data was developed using ab190361, the same antibody clone in a different buffer formulation.

All lanes:

Western blot - Anti-WDR77 antibody [EPR10709(2)] - C-terminal (<a href='/en-us/products/primary-antibodies/wdr77-antibody-epr107092-c-terminal-ab190361'>ab190361</a>) at 1/10000 dilution

Lane 1:

LnCaP cell lysate at 20 µg

Lane 2:

293T cell lysate at 20 µg

Lane 3:

HeLa cell lysate at 20 µg

Secondary

All lanes:

Goat Anti-Rabbit IgG, (H+L), Peroxidase conjugated at 1/1000 dilution

Predicted band size: 37 kDa

Observed band size: 42 kDa

false

Western blot - Anti-WDR77 antibody [EPR10709(2)] - BSA and Azide free (AB251023)
  • WB

Supplier Data

Western blot - Anti-WDR77 antibody [EPR10709(2)] - BSA and Azide free (AB251023)

This data was developed using ab190361, the same antibody clone in a different buffer formulation.

All lanes:

Western blot - Anti-WDR77 antibody [EPR10709(2)] - C-terminal (<a href='/en-us/products/primary-antibodies/wdr77-antibody-epr107092-c-terminal-ab190361'>ab190361</a>) at 1/1000 dilution

All lanes:

Saos-2 cell lysate at 20 µg

Secondary

All lanes:

Goat Anti-Rabbit IgG, (H+L), Peroxidase conjugated at 1/1000 dilution

Predicted band size: 37 kDa

Observed band size: 42 kDa

false

Western blot - Anti-WDR77 antibody [EPR10709(2)] - BSA and Azide free (AB251023)
  • WB

Supplier Data

Western blot - Anti-WDR77 antibody [EPR10709(2)] - BSA and Azide free (AB251023)

This data was developed using ab190361, the same antibody clone in a different buffer formulation.

All lanes:

Western blot - Anti-WDR77 antibody [EPR10709(2)] - C-terminal (<a href='/en-us/products/primary-antibodies/wdr77-antibody-epr107092-c-terminal-ab190361'>ab190361</a>) at 1/1000 dilution

Lane 1:

C6 cell lysate at 10 µg

Lane 2:

RAW 264.7 cell lysate at 10 µg

Lane 3:

PC-12 cell lysate at 10 µg

Lane 4:

NIH/3T3 cell lysate at 10 µg

Secondary

All lanes:

Goat Anti-Rabbit IgG, (H+L), Peroxidase conjugated at 1/1000 dilution

Predicted band size: 37 kDa

Observed band size: 42 kDa

false

  • Unconjugated

    Anti-WDR77 antibody [EPR10709(2)] - C-terminal

  • 519 Alexa Fluor® 488

    Alexa Fluor® 488 Anti-WDR77 antibody [EPR10709(2)] - C-terminal

  • 665 Alexa Fluor® 647

    Alexa Fluor® 647 Anti-WDR77 antibody [EPR10709(2)] - C-terminal

  • 565 Alexa Fluor® 555

    Alexa Fluor® 555 Anti-WDR77 antibody [EPR10709(2)] - C-terminal

  • 617 Alexa Fluor® 594

    Alexa Fluor® 594 Anti-WDR77 antibody [EPR10709(2)] - C-terminal

  • 578 PE

    PE Anti-WDR77 antibody [EPR10709(2)] - C-terminal

  • 660 APC

    APC Anti-WDR77 antibody [EPR10709(2)] - C-terminal

  • 775 Alexa Fluor® 750

    Alexa Fluor® 750 Anti-WDR77 antibody [EPR10709(2)] - C-terminal

Key facts

Host species

Rabbit

Clonality

Monoclonal

Clone number

EPR10709(2)

Isotype

IgG

Carrier free

Yes

Reacts with

Mouse, Rat, Human

Applications

Flow Cyt (Intra), IHC-P, WB, ICC/IF, IP

applications

Immunogen

The exact immunogen used to generate this antibody is proprietary information.

Reactivity data

{ "title": "Reactivity Data", "filters": { "stats": ["", "Species", "Dilution Info", "Notes"], "tabs": { "all-applications": {"fullname" : "All Applications", "shortname": "All Applications"}, "ICCIF" : {"fullname" : "Immunocytochemistry/ Immunofluorescence", "shortname":"ICC/IF"}, "IP" : {"fullname" : "Immunoprecipitation", "shortname":"IP"}, "WB" : {"fullname" : "Western blot", "shortname":"WB"}, "FlowCytIntra" : {"fullname" : "Flow Cytometry (Intracellular)", "shortname":"Flow Cyt (Intra)"}, "IHCP" : {"fullname" : "Immunohistochemistry (Formalin/PFA-fixed paraffin-embedded sections)", "shortname":"IHC-P"} }, "product-promise": { "all": "all", "testedAndGuaranteed": "tested", "guaranteed": "expected", "predicted": "predicted", "notRecommended": "not-recommended" } }, "values": { "Human": { "ICCIF-species-checked": "testedAndGuaranteed", "ICCIF-species-dilution-info": "", "ICCIF-species-notes": "<p></p>", "IP-species-checked": "testedAndGuaranteed", "IP-species-dilution-info": "", "IP-species-notes": "<p></p>", "WB-species-checked": "testedAndGuaranteed", "WB-species-dilution-info": "", "WB-species-notes": "<p></p>", "FlowCytIntra-species-checked": "testedAndGuaranteed", "FlowCytIntra-species-dilution-info": "", "FlowCytIntra-species-notes": "<p></p>", "IHCP-species-checked": "testedAndGuaranteed", "IHCP-species-dilution-info": "", "IHCP-species-notes": "<p></p>" }, "Mouse": { "ICCIF-species-checked": "guaranteed", "ICCIF-species-dilution-info": "", "ICCIF-species-notes": "<p></p>", "IP-species-checked": "guaranteed", "IP-species-dilution-info": "", "IP-species-notes": "<p></p>", "WB-species-checked": "guaranteed", "WB-species-dilution-info": "", "WB-species-notes": "<p></p>", "FlowCytIntra-species-checked": "guaranteed", "FlowCytIntra-species-dilution-info": "", "FlowCytIntra-species-notes": "<p></p>", "IHCP-species-checked": "guaranteed", "IHCP-species-dilution-info": "", "IHCP-species-notes": "<p></p>" }, "Rat": { "ICCIF-species-checked": "guaranteed", "ICCIF-species-dilution-info": "", "ICCIF-species-notes": "", "IP-species-checked": "guaranteed", "IP-species-dilution-info": "", "IP-species-notes": "", "WB-species-checked": "testedAndGuaranteed", "WB-species-dilution-info": "", "WB-species-notes": "<p></p>", "FlowCytIntra-species-checked": "guaranteed", "FlowCytIntra-species-dilution-info": "", "FlowCytIntra-species-notes": "", "IHCP-species-checked": "guaranteed", "IHCP-species-dilution-info": "", "IHCP-species-notes": "" } } }

Product details

ab251023 is the carrier-free version of ab190361.

Patented technology
Our RabMAb® technology is a patented hybridoma-based technology for making rabbit monoclonal antibodies. For details on our patents, please refer to RabMAb® patents.

What are the advantages of a recombinant monoclonal antibody?
This product is a recombinant monoclonal antibody, which offers several advantages including:

  • - High batch-to-batch consistency and reproducibility
  • - Improved sensitivity and specificity
  • - Long-term security of supply
  • - Animal-free batch production

For more information, read more on recombinant antibodies.

Conjugation ready
Our carrier-free antibodies are typically supplied in a PBS-only formulation, purified and free of BSA, sodium azide and glycerol. This conjugation-ready format is designed for use with fluorochromes, metal isotopes, oligonucleotides, and enzymes, which makes them ideal for antibody labelling, functional and cell-based assays, flow-based assays (e.g. mass cytometry) and Multiplex Imaging applications.

Use our conjugation kits for antibody conjugates that are ready-to-use in as little as 20 minutes with 1 minute hands-on-time and 100% antibody recovery: available for fluorescent dyes, HRP, biotin and gold.

Compatibility
This product is compatible with the Maxpar® Antibody Labeling Kit from Fluidigm, without the need for antibody preparation. Maxpar® is a trademark of Fluidigm Canada Inc.

Properties and storage information

Form
Liquid
Purification technique
Affinity purification Protein A
Storage buffer
pH: 7.2 - 7.4 Constituents: PBS
Shipped at conditions
Blue Ice
Appropriate short-term storage conditions
+4°C
Appropriate long-term storage conditions
+4°C
Storage information
Do Not Freeze

Supplementary information

This supplementary information is collated from multiple sources and compiled automatically.

WDR77 also known as MEP50 is a protein with a mass of about 37 kDa. It functions as a cofactor involved in methylation processes often forming part of protein complexes with PRMT5. WDR77 locates within the cell nucleus and is widely expressed in human tissues with higher levels observed in reproductive organs like the testis and prostate. The protein interacts with other proteins to affect transcription and RNA processing.
Biological function summary

WDR77 interacts with the protein arginine methyltransferase 5 (PRMT5) and contributes to the assembly and stabilization of methyltransferase complexes. This role is essential for its participation in the methylation of arginine residues on histones and other proteins which regulates gene expression. WDR77 influences cell proliferation and differentiation by modulating these processes especially in germ cells and prostate epithelial cells.

Pathways

WDR77 is an important player in the transcriptional repression pathway affecting histone modification. It connects intimately with important pathways like the PI3K/AKT signaling and cell cycle regulation. Through its interaction with PRMT5 WDR77 takes part in regulatory networks impacting gene silencing chromatin remodeling and the overall gene expression mechanism. The involvement of WDR77 in these pathways emphasizes its relationship with PRMT5 and other methylation-associated proteins.

WDR77 has links to prostate cancer and lung cancer. These associations may result from its role in cell cycle control and proliferation which becomes dysregulated in oncogenesis. WDR77's interaction with PRMT5 is critical in such conditions as changes in their activity can alter normal cell growth patterns. Research indicates that abnormal expression or function of WDR77 can lead to increased tumorigenesis in specific tissues emphasizing the protein's potential as a target for therapeutic interventions.

Product protocols

For this product, it's our understanding that no specific protocols are required. You can visit:

Target data

Non-catalytic component of the methylosome complex, composed of PRMT5, WDR77 and CLNS1A, which modifies specific arginines to dimethylarginines in several spliceosomal Sm proteins and histones (PubMed : 11756452). This modification targets Sm proteins to the survival of motor neurons (SMN) complex for assembly into small nuclear ribonucleoprotein core particles. Might play a role in transcription regulation. The methylosome complex also methylates the Piwi proteins (PIWIL1, PIWIL2 and PIWIL4), methylation of Piwi proteins being required for the interaction with Tudor domain-containing proteins and subsequent localization to the meiotic nuage (PubMed : 23071334).
See full target information WDR77

Publications (1)

Recent publications for all applications. Explore the full list and refine your search

Molecular medicine reports 21:454-462 PubMed31746378

2019

Blueberry anthocyanin‑enriched extract ameliorates transverse aortic constriction‑induced myocardial dysfunction via the DDAH1/ADMA/NO signaling pathway in mice.

Applications

Unspecified application

Species

Unspecified reactive species

Weiqing Hu,Wenyue Wang,Qing Ma,Tao Liu,Jiefeng Zhang,Jicun Zhang
View all publications

Product promise

We are committed to supporting your work with high-quality reagents, and we're here for you every step of the way. In the unlikely event that one of our products does not perform as expected, you're protected by our Product Promise.
For full details, please see our Terms & Conditions

Please note: All products are 'FOR RESEARCH USE ONLY. NOT FOR USE IN DIAGNOSTIC OR THERAPEUTIC PROCEDURES'.

For licensing inquiries, please contact partnerships@abcam.com