JavaScript is disabled in your browser. Please enable JavaScript to view this website.
AB224444

Anti-WDR79 antibody

Be the first to review this product! Submit a review

|

(4 Publications)

Rabbit Polyclonal WDR79 antibody. Suitable for IHC-P, WB, ICC/IF and reacts with Human samples. Cited in 4 publications. Immunogen corresponding to Recombinant Fragment Protein within Human WRAP53 aa 100-250.

View Alternative Names

TCAB1, WDR79, WRAP53, Telomerase Cajal body protein 1, WD repeat-containing protein 79, WD40 repeat-containing protein antisense to TP53 gene, WRAP53beta

6 Images
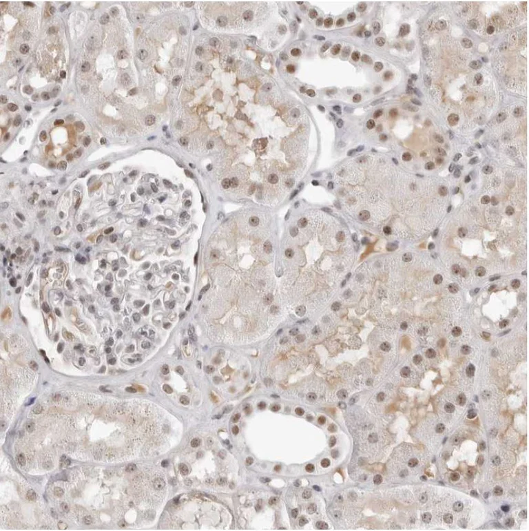
Immunohistochemistry (Formalin/PFA-fixed paraffin-embedded sections) - Anti-WDR79 antibody (AB224444)
  • IHC-P

Supplier Data

Immunohistochemistry (Formalin/PFA-fixed paraffin-embedded sections) - Anti-WDR79 antibody (AB224444)

Immunohistochemical analysis of human kidney tissue labeling WDR79 in the nucleus of cells in tubules with ab224444 at 1/20 dilution.

Performed heat mediated antigen retrieval with citrate buffer pH 6 before commencing with IHC staining protocol.

Immunohistochemistry (Formalin/PFA-fixed paraffin-embedded sections) - Anti-WDR79 antibody (AB224444)
  • IHC-P

Supplier Data

Immunohistochemistry (Formalin/PFA-fixed paraffin-embedded sections) - Anti-WDR79 antibody (AB224444)

Immunohistochemical analysis of human Fallopian tube tissue labeling WDR79 in the nucleus of glandular cells with ab224444 at 1/20 dilution.

Performed heat mediated antigen retrieval with citrate buffer pH 6 before commencing with IHC staining protocol.

Immunocytochemistry/ Immunofluorescence - Anti-WDR79 antibody (AB224444)
  • ICC/IF

Supplier Data

Immunocytochemistry/ Immunofluorescence - Anti-WDR79 antibody (AB224444)

Immunofluorescent analysis of A431 (human epidermoid carcinoma cell line) cells labeling WDR79 (green) in nuclear bodies with ab224444 at 2 μg/ml.

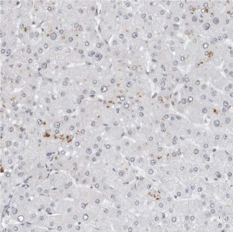
Immunohistochemistry (Formalin/PFA-fixed paraffin-embedded sections) - Anti-WDR79 antibody (AB224444)
  • IHC-P

Supplier Data

Immunohistochemistry (Formalin/PFA-fixed paraffin-embedded sections) - Anti-WDR79 antibody (AB224444)

Immunohistochemical analysis of human liver tissue labeling WDR79 with ab224444 at 1/20 dilution. No positivity as expected.

Performed heat mediated antigen retrieval with citrate buffer pH 6 before commencing with IHC staining protocol.

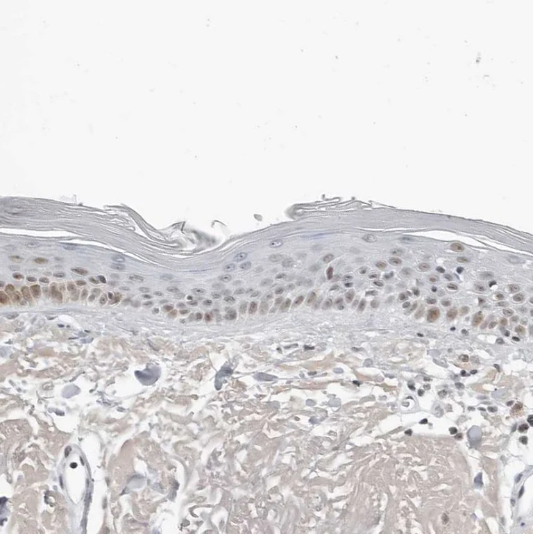
Immunohistochemistry (Formalin/PFA-fixed paraffin-embedded sections) - Anti-WDR79 antibody (AB224444)
  • IHC-P

Supplier Data

Immunohistochemistry (Formalin/PFA-fixed paraffin-embedded sections) - Anti-WDR79 antibody (AB224444)

Immunohistochemical analysis of human skin tissue labeling WDR79 in the nucleus of squamous epithelial cells with ab224444 at 1/20 dilution.

Performed heat mediated antigen retrieval with citrate buffer pH 6 before commencing with IHC staining protocol.

Western blot - Anti-WDR79 antibody (AB224444)
  • WB

Supplier Data

Western blot - Anti-WDR79 antibody (AB224444)

All lanes:

Western blot - Anti-WDR79 antibody (ab224444) at 0.4 µg/mL

Lane 1:

Control (vector only transfected) - HEK-293T (human epithelial cell line from embryonic kidney transformed with large T antigen) whole cell lysate

Lane 2:

WDR79 over-expression - HEK-293T whole cell lysate, Co-expressed with a C-terminal myc-DDK tag (~3.1 kDa)

Predicted band size: 59 kDa

false

Key facts

Host species

Rabbit

Clonality

Polyclonal

Isotype

IgG

Carrier free

No

Reacts with

Human

Applications

WB, IHC-P, ICC/IF

applications

Immunogen

Recombinant Fragment Protein within Human WRAP53 aa 100-250. The exact immunogen used to generate this antibody is proprietary information.

Q9BUR4

Reactivity data

{ "title": "Reactivity Data", "filters": { "stats": ["", "Species", "Dilution Info", "Notes"], "tabs": { "all-applications": {"fullname" : "All Applications", "shortname": "All Applications"}, "IHCP" : {"fullname" : "Immunohistochemistry (Formalin/PFA-fixed paraffin-embedded sections)", "shortname":"IHC-P"}, "WB" : {"fullname" : "Western blot", "shortname":"WB"}, "ICCIF" : {"fullname" : "Immunocytochemistry/ Immunofluorescence", "shortname":"ICC/IF"} }, "product-promise": { "all": "all", "testedAndGuaranteed": "tested", "guaranteed": "expected", "predicted": "predicted", "notRecommended": "not-recommended" } }, "values": { "Human": { "IHCP-species-checked": "testedAndGuaranteed", "IHCP-species-dilution-info": "1/20 - 1/50", "IHCP-species-notes": "<p></p> Perform heat-mediated antigen retrieval with citrate buffer pH 6 before commencing with IHC staining protocol.", "WB-species-checked": "testedAndGuaranteed", "WB-species-dilution-info": "0.04-0.4 µg/mL", "WB-species-notes": "<p></p>", "ICCIF-species-checked": "testedAndGuaranteed", "ICCIF-species-dilution-info": "0.25-2 µg/mL", "ICCIF-species-notes": "<p>Fixation/Permeabilization: PFA/Triton X-100.</p>" } } }

Properties and storage information

Form
Liquid
Purification technique
Affinity purification Immunogen
Storage buffer
pH: 7.2 Preservative: 0.02% Sodium azide Constituents: PBS, 40% Glycerol (glycerin, glycerine)
Shipped at conditions
Blue Ice
Appropriate short-term storage duration
1-2 weeks
Appropriate short-term storage conditions
+4°C
Appropriate long-term storage conditions
-20°C
Aliquoting information
Upon delivery aliquot
Storage information
Avoid freeze / thaw cycle

Supplementary information

This supplementary information is collated from multiple sources and compiled automatically.

WDR79 also known as WRAP53 is a protein that assists in the assembly and maintenance of telomerase a ribonucleoprotein complex. It has a mass of approximately 80 kDa. The protein is mainly expressed in the nucleus of cells where it also interacts with components of Cajal bodies. Through these interactions WDR79 aids in the localization and stability of telomerase RNA (TERC) which is critical for telomerase activity. Additionally WDR79 interacts with p53 and acts as a cofactor for some spliceosomal small nuclear ribonucleoproteins (snRNPs).
Biological function summary

WDR79 has a significant role in RNA processing and telomere maintenance. It is part of various ribonucleoprotein complexes where it serves as a scaffold facilitating RNA-protein interactions. WDR79 plays an essential role in the biogenesis of small Cajal body-specific RNAs (scaRNAs) which modify small nuclear RNAs (snRNAs). These modifications are necessary for proper splicing and maturation of pre-mRNA. Besides WDR79 is involved in the non-homologous end-joining (NHEJ) repair of double-strand breaks in DNA a critical cellular response to DNA damage.

Pathways

WDR79 is centrally involved in telomere maintenance and RNA splicing pathways. In telomere maintenance it operates closely with the TERT and TERC components of the telomerase complex ensuring proper telomere elongation and genomic stability. In RNA splicing WDR79 interacts with proteins such as coilin which is integral to the organization and function of Cajal bodies where snRNP biogenesis occurs. The role of WDR79 in these pathways highlights its importance in regulating fundamental cellular processes.

Alterations in WDR79 function are linked to cancer and dyskeratosis congenita. Mutations and deregulation of this protein disturb telomere maintenance and cause genomic instability conditions that often lead to cancer development. WDR79 has connections to proteins such as TERT in these pathways which when dysregulated promote oncogenesis. In dyskeratosis congenita impaired telomerase function due to defective WDR79 interactions leads to stem cell failure and tissue degeneration underlining the protein’s importance in tissue maintenance and cellular longevity.

Product protocols

For this product, it's our understanding that no specific protocols are required. You can visit:

Target data

RNA chaperone that plays a key role in telomere maintenance and RNA localization to Cajal bodies (PubMed : 29695869, PubMed : 29804836). Specifically recognizes and binds the Cajal body box (CAB box) present in both small Cajal body RNAs (scaRNAs) and telomerase RNA template component (TERC) (PubMed : 19285445, PubMed : 20351177, PubMed : 29695869, PubMed : 29804836). Essential component of the telomerase holoenzyme complex, a ribonucleoprotein complex essential for the replication of chromosome termini that elongates telomeres in most eukaryotes (PubMed : 19179534, PubMed : 20351177, PubMed : 26170453, PubMed : 29695869). In the telomerase holoenzyme complex, required to stimulate the catalytic activity of the complex (PubMed : 27525486, PubMed : 29804836). Acts by specifically binding the CAB box of the TERC RNA and controlling the folding of the CR4/CR5 region of the TERC RNA, a critical step for telomerase activity (PubMed : 29804836). In addition, also controls telomerase holoenzyme complex localization to Cajal body (PubMed : 22547674). During S phase, required for delivery of TERC to telomeres during S phase and for telomerase activity (PubMed : 29804836). In addition to its role in telomere maintenance, also required for Cajal body formation, probably by mediating localization of scaRNAs to Cajal bodies (PubMed : 19285445, PubMed : 21072240). Also plays a role in DNA repair : phosphorylated by ATM in response to DNA damage and relocalizes to sites of DNA double-strand breaks to promote the repair of DNA double-strand breaks (PubMed : 25512560, PubMed : 27715493). Acts by recruiting the ubiquitin ligase RNF8 to DNA breaks and promote both homologous recombination (HR) and non-homologous end joining (NHEJ) (PubMed : 25512560, PubMed : 27715493).
See full target information WRAP53

Publications (4)

Recent publications for all applications. Explore the full list and refine your search

American journal of human genetics 112:59-74 PubMed39701103

2024

Bi-allelic variants in DAP3 result in reduced assembly of the mitoribosomal small subunit with altered apoptosis and a Perrault-syndrome-spectrum phenotype.

Applications

Unspecified application

Species

Unspecified reactive species

Thomas B Smith,Robert Kopajtich,Leigh A M Demain,Alessandro Rea,Huw B Thomas,Manuel Schiff,Christian Beetz,Shelagh Joss,Gerard S Conway,Anju Shukla,Mayuri Yeole,Periyasamy Radhakrishnan,Hatem Azzouz,Amel Ben Chehida,Monique Elmaleh-Bergès,Ruth I C Glasgow,Kyle Thompson,Monika Oláhová,Langping He,Emma M Jenkinson,Amir Jahic,Inna A Belyantseva,Melanie Barzik,Jill E Urquhart,James O'Sullivan,Simon G Williams,Sanjeev S Bhaskar,Samantha Carrera,Alexander J M Blakes,Siddharth Banka,Wyatt W Yue,Jamie M Ellingford,Henry Houlden,Kevin J Munro,Thomas B Friedman,Robert W Taylor,Holger Prokisch,Raymond T O'Keefe,William G Newman

Histology and histopathology 39:877-887 PubMed37750664

2023

Selenomethionine suppresses head and neck squamous cell carcinoma progression through TopBP1/ATR and TCAB1 signaling.

Applications

Unspecified application

Species

Unspecified reactive species

Bo Zhang,Xiaodong Wei,Jiwu Li

Cell reports 42:112577 PubMed37267110

2023

TCAB1 prevents nucleolar accumulation of the telomerase RNA to facilitate telomerase assembly.

Applications

Unspecified application

Species

Unspecified reactive species

Basma M Klump,Gloria I Perez,Eric M Patrick,Kate Adams-Boone,Scott B Cohen,Li Han,Kefei Yu,Jens C Schmidt

Open medicine (Warsaw, Poland) 18:20220624 PubMed36712589

2023

WDR79 promotes aerobic glycolysis of pancreatic ductal adenocarcinoma (PDAC) by the suppression of SIRT4.

Applications

Unspecified application

Species

Unspecified reactive species

Wenke Yin,Xiaoyan Song,Yue Xiang
View all publications

Product promise

We are committed to supporting your work with high-quality reagents, and we're here for you every step of the way. In the unlikely event that one of our products does not perform as expected, you're protected by our Product Promise.
For full details, please see our Terms & Conditions

Please note: All products are 'FOR RESEARCH USE ONLY. NOT FOR USE IN DIAGNOSTIC OR THERAPEUTIC PROCEDURES'.

For licensing inquiries, please contact partnerships@abcam.com