JavaScript is disabled in your browser. Please enable JavaScript to view this website.
AB288729

Anti-Wee1 antibody [EPR25070-84] - BSA and Azide free

Be the first to review this product! Submit a review

|

(0 Publication)

Rabbit Recombinant Monoclonal WEE1 antibody. Carrier free. Suitable for WB, IHC-P, Flow Cyt (Intra) and reacts with Mouse, Human samples.

View Alternative Names

Wee1-like protein kinase, WEE1hu, Wee1A kinase, WEE1

7 Images
Immunohistochemistry (Formalin/PFA-fixed paraffin-embedded sections) - Anti-Wee1 antibody [EPR25070-84] - BSA and Azide free (AB288729)
  • IHC-P

Lab

Immunohistochemistry (Formalin/PFA-fixed paraffin-embedded sections) - Anti-Wee1 antibody [EPR25070-84] - BSA and Azide free (AB288729)

This data was developed using ab288727, the same antibody clone in a different buffer formulation.

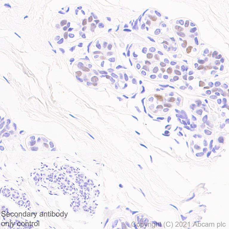
Immunohistochemical analysis of paraffin-embedded Human breast tissue labelling Wee1 with ab288727 at 1/100(4.78ug/ml) followed by a ready to use LeicaDS9800 (Bond™ Polymer Refine Detection). Nuclear staining on human breast. The section was incubated with ab288727 for 30 mins at room temperature. The immunostaining was performed on a Leica Biosystems BOND® RX instrument. Counterstained with Hematoxylin.

Secondary antibody only control : Secondary antibody is a ready to use LeicaDS9800 (Bond™ Polymer Refine Detection).

Heat mediated antigen retrieval with Tris-EDTA buffer (pH 9.0, epitope retrieval solution2) for 20 mins

Immunohistochemistry (Formalin/PFA-fixed paraffin-embedded sections) - Anti-Wee1 antibody [EPR25070-84] - BSA and Azide free (AB288729)
  • IHC-P

Lab

Immunohistochemistry (Formalin/PFA-fixed paraffin-embedded sections) - Anti-Wee1 antibody [EPR25070-84] - BSA and Azide free (AB288729)

This data was developed using ab288727, the same antibody clone in a different buffer formulation.

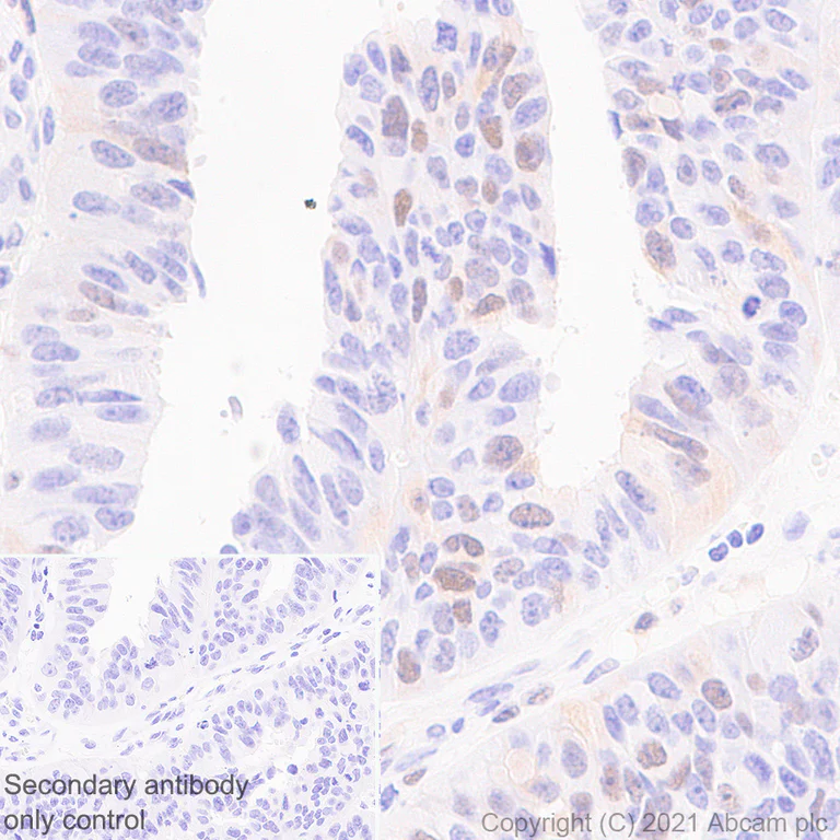
Immunohistochemical analysis of paraffin-embedded Human tonsil tissue labelling Wee1 with ab288727 at 1/100(4.78ug/ml) dilution followed by a ready to use LeicaDS9800 (Bond™ Polymer Refine Detection). Positive staining on human tonsil. The section was incubated with ab288727 for 30 mins at room temperature. The immunostaining was performed on a Leica Biosystems BOND® RX instrument Counterstained with Hematoxylin.

Secondary antibody only control : Secondary antibody is a ready to use LeicaDS9800 (Bond™ Polymer Refine Detection).

Heat mediated antigen retrieval with Tris-EDTA buffer (pH 9.0, epitope retrieval solution2) for 20 mins

Immunohistochemistry (Formalin/PFA-fixed paraffin-embedded sections) - Anti-Wee1 antibody [EPR25070-84] - BSA and Azide free (AB288729)
  • IHC-P

Lab

Immunohistochemistry (Formalin/PFA-fixed paraffin-embedded sections) - Anti-Wee1 antibody [EPR25070-84] - BSA and Azide free (AB288729)

This data was developed using ab288727, the same antibody clone in a different buffer formulation.

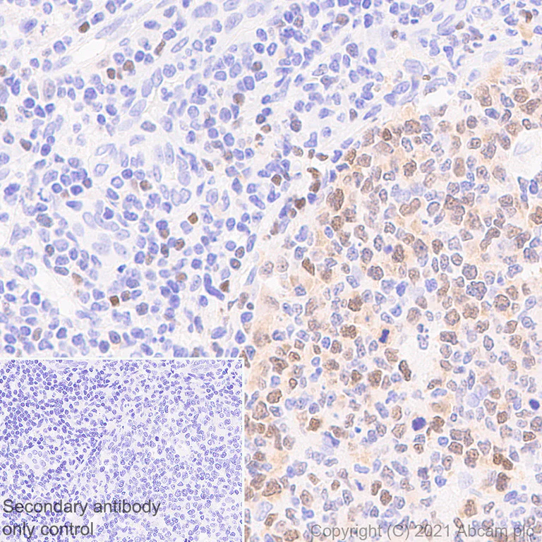
Immunohistochemical analysis of paraffin-embedded Human ovarian cancer tissue labelling Wee1 with ab288727 at 1/100(4.78ug/ml) dilution followed by a ready to use LeicaDS9800 (Bond™ Polymer Refine Detection). Nuclear staining on human ovarian cancer. The section was incubated with ab288727 for 30 mins at room temperature. The immunostaining was performed on a Leica Biosystems BOND® RX instrument. Counterstained with Hematoxylin.

Secondary antibody only control : Secondary antibody is a ready to use LeicaDS9800 (Bond™ Polymer Refine Detection).

Heat mediated antigen retrieval with Tris-EDTA buffer (pH 9.0, epitope retrieval solution2) for 20 mins.

Flow Cytometry (Intracellular) - Anti-Wee1 antibody [EPR25070-84] - BSA and Azide free (AB288729)
  • Flow Cyt (Intra)

Lab

Flow Cytometry (Intracellular) - Anti-Wee1 antibody [EPR25070-84] - BSA and Azide free (AB288729)

This data was developed using ab288727, the same antibody clone in a different buffer formulation.

Flow cytometric analysis of 4% paraformaldehyde-fixed, 90% methanol-permeabilized HeLa (human cervix adenocarcinoma epithelial cell) cells labelling Wee1 with ab288727 at 1/50 dilution (Right) compared with a Rabbit monoclonal IgG (ab172730) (Left) isotype control. A Goat Anti-Rabbit IgG (Alexa Fluor® 488, ab150081) at 1/2000 dilution was used as the secondary antibody. Cells were co-stained with DRAQ5 to differentiate cell cycle phase.

Western blot - Anti-Wee1 antibody [EPR25070-84] - BSA and Azide free (AB288729)
  • WB

Lab

Western blot - Anti-Wee1 antibody [EPR25070-84] - BSA and Azide free (AB288729)

This data was developed using ab288727, the same antibody clone in a different buffer formulation.

Blocking and diluting buffer and concentration : 5% NFDM/TBST

This blot was developed using a higher sensitivity ECL substrate.

Lysates should be made freshly and used in WB immediately to minimize protein degradation.

Exposure time :

Lanes 1-2 : 81 seconds

Lane 3 : 3 minutes

All lanes:

Western blot - Anti-Wee1 antibody [EPR25070-84] (<a href='/en-us/products/primary-antibodies/wee1-antibody-epr25070-84-ab288727'>ab288727</a>) at 1/5000 dilution

Lane 1:

HeLa (human cervix adenocarcinoma epithelial cell), whole cell lysate at 20 µg

Lane 2:

Raji (human Burkitts lymphoma B lymphocyte), whole cell lysate at 20 µg

Lane 3:

HEK-293T (human embryonic kidney epithelial cell), whole cell lysate at 20 µg

Secondary

All lanes:

Western blot - Goat Anti-Rabbit IgG H&L (HRP) (<a href='/en-us/products/secondary-antibodies/goat-rabbit-igg-h-l-hrp-ab97051'>ab97051</a>) at 1/50000 dilution

Predicted band size: 72 kDa

Observed band size: 94 kDa

false

Western blot - Anti-Wee1 antibody [EPR25070-84] - BSA and Azide free (AB288729)
  • WB

Lab

Western blot - Anti-Wee1 antibody [EPR25070-84] - BSA and Azide free (AB288729)

This data was developed using ab288727, the same antibody clone in a different buffer formulation.

Blocking and diluting buffer and concentration : 5% NFDM/TBST

Geldanamycin treatment decreased the expression of Wee1 (PMID : 18504430)

All lanes:

Western blot - Anti-Wee1 antibody [EPR25070-84] (<a href='/en-us/products/primary-antibodies/wee1-antibody-epr25070-84-ab288727'>ab288727</a>) at 1/1000 dilution

Lane 1:

Untreated HeLa (human cervix adenocarcinoma epithelial cell), whole cell lysate at 20 µg

Lane 2:

HeLa treated with 1µM Geldanamycin for 48 hours at 20 µg

Secondary

All lanes:

Western blot - Goat Anti-Rabbit IgG H&L (HRP) (<a href='/en-us/products/secondary-antibodies/goat-rabbit-igg-h-l-hrp-ab97051'>ab97051</a>) at 1/20000 dilution

Predicted band size: 72 kDa

Observed band size: 94 kDa

false

Exposure time: 70s

Western blot - Anti-Wee1 antibody [EPR25070-84] - BSA and Azide free (AB288729)
  • WB

Lab

Western blot - Anti-Wee1 antibody [EPR25070-84] - BSA and Azide free (AB288729)

This data was developed using ab288727, the same antibody clone in a different buffer formulation.

Blocking and diluting buffer and concentration : 5% NFDM/TBST

Lysates should be made freshly and used in WB immediately to minimize protein degradation.

Exposure time : 10 seconds

All lanes:

Western blot - Anti-Wee1 antibody [EPR25070-84] (<a href='/en-us/products/primary-antibodies/wee1-antibody-epr25070-84-ab288727'>ab288727</a>) at 1/1000 dilution

All lanes:

NIH/3T3 (mouse embryonic fibroblast), whole cell lysate at 10 µg

Secondary

All lanes:

Western blot - Goat Anti-Rabbit IgG H&L (HRP) (<a href='/en-us/products/secondary-antibodies/goat-rabbit-igg-h-l-hrp-ab97051'>ab97051</a>) at 1/20000 dilution

Predicted band size: 72 kDa

Observed band size: 94 kDa

false

Exposure time: 10s

  • Unconjugated

    Anti-Wee1 antibody [EPR25070-84]

  • Carrier free

    Anti-Wee1 antibody [EPR25070-84] - BSA and Azide free (Detector)

Key facts

Host species

Rabbit

Clonality

Monoclonal

Clone number

EPR25070-84

Isotype

IgG

Carrier free

Yes

Reacts with

Human, Mouse

Applications

Flow Cyt (Intra), IHC-P, WB

applications

Immunogen

The exact immunogen used to generate this antibody is proprietary information.

Specificity

This antibody is not suitable for use with samples from mouse in immunohistochemistry.

Reactivity data

{ "title": "Reactivity Data", "filters": { "stats": ["", "Species", "Dilution Info", "Notes"], "tabs": { "all-applications": {"fullname" : "All Applications", "shortname": "All Applications"}, "IP" : {"fullname" : "Immunoprecipitation", "shortname":"IP"}, "WB" : {"fullname" : "Western blot", "shortname":"WB"}, "IHCP" : {"fullname" : "Immunohistochemistry (Formalin/PFA-fixed paraffin-embedded sections)", "shortname":"IHC-P"}, "FlowCytIntra" : {"fullname" : "Flow Cytometry (Intracellular)", "shortname":"Flow Cyt (Intra)"} }, "product-promise": { "all": "all", "testedAndGuaranteed": "tested", "guaranteed": "expected", "predicted": "predicted", "notRecommended": "not-recommended" } }, "values": { "Human": { "IP-species-checked": "notRecommended", "IP-species-dilution-info": "", "IP-species-notes": "<p></p>", "WB-species-checked": "testedAndGuaranteed", "WB-species-dilution-info": "", "WB-species-notes": "<p></p>", "IHCP-species-checked": "testedAndGuaranteed", "IHCP-species-dilution-info": "", "IHCP-species-notes": "<p>This antibody is not suitable for use with samples from mouse in immunohistochemistry.</p>", "FlowCytIntra-species-checked": "testedAndGuaranteed", "FlowCytIntra-species-dilution-info": "", "FlowCytIntra-species-notes": "<p></p>" }, "Mouse": { "IP-species-checked": "notRecommended", "IP-species-dilution-info": "", "IP-species-notes": "", "WB-species-checked": "testedAndGuaranteed", "WB-species-dilution-info": "", "WB-species-notes": "<p></p>", "IHCP-species-checked": "notRecommended", "IHCP-species-dilution-info": "", "IHCP-species-notes": "<p>This antibody is not suitable for use with samples from mouse in immunohistochemistry.</p>", "FlowCytIntra-species-checked": "guaranteed", "FlowCytIntra-species-dilution-info": "", "FlowCytIntra-species-notes": "" }, "Rat": { "IP-species-checked": "notRecommended", "IP-species-dilution-info": "", "IP-species-notes": "", "WB-species-checked": "notRecommended", "WB-species-dilution-info": "", "WB-species-notes": "", "IHCP-species-checked": "notRecommended", "IHCP-species-dilution-info": "", "IHCP-species-notes": "<p>This antibody is not suitable for use with samples from mouse in immunohistochemistry.</p>", "FlowCytIntra-species-checked": "notRecommended", "FlowCytIntra-species-dilution-info": "", "FlowCytIntra-species-notes": "" } } }

Product details

ab288729 is the carrier-free version of ab288727.

Patented technology
Our RabMAb® technology is a patented hybridoma-based technology for making rabbit monoclonal antibodies. For details on our patents, please refer to RabMAb® patents.

What are the advantages of a recombinant monoclonal antibody?
This product is a recombinant monoclonal antibody, which offers several advantages including:

  • - High batch-to-batch consistency and reproducibility
  • - Improved sensitivity and specificity
  • - Long-term security of supply
  • - Animal-free batch production

For more information, read more on recombinant antibodies.

Want a custom formulation?
This antibody clone is manufactured by Abcam. If you require a custom buffer formulation or conjugation for your experiments, please contact orders@abcam.com

Conjugation ready
Our carrier-free antibodies are typically supplied in a PBS-only formulation, purified and free of BSA, sodium azide and glycerol. This conjugation-ready format is designed for use with fluorochromes, metal isotopes, oligonucleotides, and enzymes, which makes them ideal for antibody labelling, functional and cell-based assays, flow-based assays (e.g. mass cytometry) and Multiplex Imaging applications.

Use our conjugation kits for antibody conjugates that are ready-to-use in as little as 20 minutes with 1 minute hands-on-time and 100% antibody recovery: available for fluorescent dyes, HRP, biotin and gold.

Compatibility
This product is compatible with the Maxpar® Antibody Labeling Kit from Fluidigm, without the need for antibody preparation. Maxpar® is a trademark of Fluidigm Canada Inc.

Properties and storage information

Form
Liquid
Purification technique
Affinity purification Protein A
Storage buffer
pH: 7.2 - 7.4 Constituents: PBS
Shipped at conditions
Blue Ice
Appropriate short-term storage conditions
+4°C
Appropriate long-term storage conditions
+4°C

Supplementary information

This supplementary information is collated from multiple sources and compiled automatically.

Wee1 also known as Wee1-like protein kinase or WEE1 serves as an important regulator of cell cycle progression. Wee1 is a protein kinase with a molecular mass of approximately 96 kDa involved in the regulation of the cell cycle by inhibiting the entry into mitosis through phosphorylation of cyclin-dependent kinase 1 (CDK1). Expression of Wee1 occurs throughout various tissues but it is especially important in those that require tight control over cell division like the brain and reproductive organs. By suppressing premature mitosis Wee1 ensures cells have adequate time for DNA repair and completion of critical processes before cell division.
Biological function summary

The function of Wee1 extends to its role in maintaining genomic stability. Wee1 operates as part of a regulatory complex and its inhibition results in defective cell cycle arrest potentially leading to DNA damage. The kinase acts to prevent transitions from the G2 to M phase of the cell cycle ensuring cells repair damaged DNA before division. In the context of DNA replication stress Wee1 cooperates with other regulators such as Chk1 to mediate cell cycle arrest therefore safeguarding genomic integrity.

Pathways

The role of Wee1 manifests significantly within the DNA damage checkpoint pathway and the cell cycle control pathway. In the DNA damage checkpoint pathway Wee1 collaborates with other cell cycle regulators such as ATR and Chk1 to control the cell cycle in response to DNA damages. Wee1's influence on the cell cycle pathway also intersects with CDK1 and Cyclin B where Wee1 modulates the activity of these proteins to control cell cycle transitions. This regulatory action allows cells to coordinate DNA repair and replication with cell division events.

Wee1's regulatory functions relate closely to cancer and neurological disorders. Overexpression or mutation of Wee1 is associated with various cancers including gliomas and breast cancer where it influences cell proliferation by controlling the activity of CDK1. Wee1's relationship with cancer extends to its interactions with p53 and Chk1 proteins both of which are critical in cancer biology. Additionally anomalies in Wee1 expression or function also associate with certain neurological disorders where it may alter cell cycle dynamics and influence neural cell fate under stress conditions.

Product protocols

For this product, it's our understanding that no specific protocols are required. You can visit:

Target data

Acts as a negative regulator of entry into mitosis (G2 to M transition) by protecting the nucleus from cytoplasmically activated cyclin B1-complexed CDK1 before the onset of mitosis by mediating phosphorylation of CDK1 on 'Tyr-15' (PubMed : 15070733, PubMed : 7743995, PubMed : 8348613, PubMed : 8428596). Specifically phosphorylates and inactivates cyclin B1-complexed CDK1 reaching a maximum during G2 phase and a minimum as cells enter M phase (PubMed : 7743995, PubMed : 8348613, PubMed : 8428596). Phosphorylation of cyclin B1-CDK1 occurs exclusively on 'Tyr-15' and phosphorylation of monomeric CDK1 does not occur (PubMed : 7743995, PubMed : 8348613, PubMed : 8428596). Its activity increases during S and G2 phases and decreases at M phase when it is hyperphosphorylated (PubMed : 7743995). A correlated decrease in protein level occurs at M/G1 phase, probably due to its degradation (PubMed : 7743995).
See full target information WEE1

Product promise

We are committed to supporting your work with high-quality reagents, and we're here for you every step of the way. In the unlikely event that one of our products does not perform as expected, you're protected by our Product Promise.
For full details, please see our Terms & Conditions

Please note: All products are 'FOR RESEARCH USE ONLY. NOT FOR USE IN DIAGNOSTIC OR THERAPEUTIC PROCEDURES'.

For licensing inquiries, please contact partnerships@abcam.com