JavaScript is disabled in your browser. Please enable JavaScript to view this website.
AB111820

Anti-Wee1 (phospho S53) antibody

Be the first to review this product! Submit a review

|

(2 Publications)

Rabbit Polyclonal WEE1 phospho S53 antibody. Suitable for IHC-P and reacts with Human samples. Cited in 2 publications. Immunogen corresponding to Synthetic Peptide within Human Wee1-like protein kinase phospho S53.

View Alternative Names

Wee1-like protein kinase, WEE1hu, Wee1A kinase, WEE1

1 Images
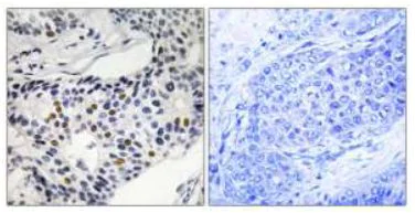
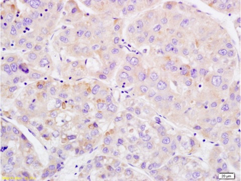
Immunohistochemistry (Formalin/PFA-fixed paraffin-embedded sections) - Anti-Wee1 (phospho S53) antibody (AB111820)
  • IHC-P

Unknown

Immunohistochemistry (Formalin/PFA-fixed paraffin-embedded sections) - Anti-Wee1 (phospho S53) antibody (AB111820)

ab111820 at 1/50 dilution staining Wee1 (phospho S53) in paraffin-embedded Human breast carcinoma tissue by Immunohistochemistry. The image on the right is treated with synthesized phosphopeptide.

Key facts

Host species

Rabbit

Clonality

Polyclonal

Isotype

IgG

Carrier free

No

Reacts with

Human

Applications

IHC-P

applications

Immunogen

Synthetic Peptide within Human Wee1-like protein kinase phospho S53. The exact immunogen used to generate this antibody is proprietary information.

P30291

Reactivity data

{ "title": "Reactivity Data", "filters": { "stats": ["", "Species", "Dilution Info", "Notes"], "tabs": { "all-applications": {"fullname" : "All Applications", "shortname": "All Applications"}, "IHCP" : {"fullname" : "Immunohistochemistry (Formalin/PFA-fixed paraffin-embedded sections)", "shortname":"IHC-P"} }, "product-promise": { "all": "all", "testedAndGuaranteed": "tested", "guaranteed": "expected", "predicted": "predicted", "notRecommended": "not-recommended" } }, "values": { "Human": { "IHCP-species-checked": "testedAndGuaranteed", "IHCP-species-dilution-info": "1/50 - 1/100", "IHCP-species-notes": "<p></p> Perform heat-mediated antigen retrieval with citrate buffer pH 6 before commencing with IHC staining protocol." }, "Mouse": { "IHCP-species-checked": "predicted", "IHCP-species-dilution-info": "", "IHCP-species-notes": "" }, "Rat": { "IHCP-species-checked": "predicted", "IHCP-species-dilution-info": "", "IHCP-species-notes": "" } } }

Properties and storage information

Form
Liquid
Purification technique
Affinity purification Immunogen
Purification notes
ab111820 was affinity-purified from rabbit antiserum by affinity-chromatography using epitope-specific phosphopeptide. The antibody against non-phosphopeptide was removed by chromatography using non-phosphopeptide corresponding to the phosphorylation site.
Storage buffer
pH: 7.4 Preservative: 0.02% Sodium azide Constituents: PBS, 50% Glycerol (glycerin, glycerine), 0.88% Sodium chloride
Shipped at conditions
Blue Ice
Appropriate short-term storage conditions
+4°C
Appropriate long-term storage conditions
-20°C
Storage information
Stable for 12 months at -20°C

Supplementary information

This supplementary information is collated from multiple sources and compiled automatically.

Wee1 also known as Wee1-like protein kinase or WEE1 serves as an important regulator of cell cycle progression. Wee1 is a protein kinase with a molecular mass of approximately 96 kDa involved in the regulation of the cell cycle by inhibiting the entry into mitosis through phosphorylation of cyclin-dependent kinase 1 (CDK1). Expression of Wee1 occurs throughout various tissues but it is especially important in those that require tight control over cell division like the brain and reproductive organs. By suppressing premature mitosis Wee1 ensures cells have adequate time for DNA repair and completion of critical processes before cell division.
Biological function summary

The function of Wee1 extends to its role in maintaining genomic stability. Wee1 operates as part of a regulatory complex and its inhibition results in defective cell cycle arrest potentially leading to DNA damage. The kinase acts to prevent transitions from the G2 to M phase of the cell cycle ensuring cells repair damaged DNA before division. In the context of DNA replication stress Wee1 cooperates with other regulators such as Chk1 to mediate cell cycle arrest therefore safeguarding genomic integrity.

Pathways

The role of Wee1 manifests significantly within the DNA damage checkpoint pathway and the cell cycle control pathway. In the DNA damage checkpoint pathway Wee1 collaborates with other cell cycle regulators such as ATR and Chk1 to control the cell cycle in response to DNA damages. Wee1's influence on the cell cycle pathway also intersects with CDK1 and Cyclin B where Wee1 modulates the activity of these proteins to control cell cycle transitions. This regulatory action allows cells to coordinate DNA repair and replication with cell division events.

Wee1's regulatory functions relate closely to cancer and neurological disorders. Overexpression or mutation of Wee1 is associated with various cancers including gliomas and breast cancer where it influences cell proliferation by controlling the activity of CDK1. Wee1's relationship with cancer extends to its interactions with p53 and Chk1 proteins both of which are critical in cancer biology. Additionally anomalies in Wee1 expression or function also associate with certain neurological disorders where it may alter cell cycle dynamics and influence neural cell fate under stress conditions.

Product protocols

For this product, it's our understanding that no specific protocols are required. You can visit:

Target data

Acts as a negative regulator of entry into mitosis (G2 to M transition) by protecting the nucleus from cytoplasmically activated cyclin B1-complexed CDK1 before the onset of mitosis by mediating phosphorylation of CDK1 on 'Tyr-15' (PubMed : 15070733, PubMed : 7743995, PubMed : 8348613, PubMed : 8428596). Specifically phosphorylates and inactivates cyclin B1-complexed CDK1 reaching a maximum during G2 phase and a minimum as cells enter M phase (PubMed : 7743995, PubMed : 8348613, PubMed : 8428596). Phosphorylation of cyclin B1-CDK1 occurs exclusively on 'Tyr-15' and phosphorylation of monomeric CDK1 does not occur (PubMed : 7743995, PubMed : 8348613, PubMed : 8428596). Its activity increases during S and G2 phases and decreases at M phase when it is hyperphosphorylated (PubMed : 7743995). A correlated decrease in protein level occurs at M/G1 phase, probably due to its degradation (PubMed : 7743995).
See full target information Wee1-like protein kinase phospho S53

Publications (2)

Recent publications for all applications. Explore the full list and refine your search

JCI insight 6: PubMed33320833

2021

Identification of Wee1 as a target in combination with avapritinib for gastrointestinal stromal tumor treatment.

Applications

Unspecified application

Species

Unspecified reactive species

Shuai Ye,Dinara Sharipova,Marya Kozinova,Lilli Klug,Jimson D'Souza,Martin G Belinsky,Katherine J Johnson,Margret B Einarson,Karthik Devarajan,Yan Zhou,Samuel Litwin,Michael C Heinrich,Ronald DeMatteo,Margaret von Mehren,James S Duncan,Lori Rink

Immunology 54:333-41 PubMed2981766

1985

Analysis of lymphopoietic stem cells with a monoclonal antibody to the rat transferrin receptor.

Applications

Unspecified application

Species

Unspecified reactive species

W A Jefferies,M R Brandon,A F Williams,S V Hunt
View all publications

Product promise

We are committed to supporting your work with high-quality reagents, and we're here for you every step of the way. In the unlikely event that one of our products does not perform as expected, you're protected by our Product Promise.
For full details, please see our Terms & Conditions

Please note: All products are 'FOR RESEARCH USE ONLY. NOT FOR USE IN DIAGNOSTIC OR THERAPEUTIC PROCEDURES'.

For licensing inquiries, please contact partnerships@abcam.com