JavaScript is disabled in your browser. Please enable JavaScript to view this website.
AB307515

Anti-Wee1 (phospho S642) antibody [EPR27036-80]

  • BOND RX™ Validated
  • 20ul selling size
  • RabMAb
  • Recombinant
  • What is this?

Be the first to review this product! Submit a review

|

(1 Publication)

Rabbit Recombinant Monoclonal WEE1 phospho S642 antibody. Suitable for Dot, IHC-P, WB and reacts with Human, Rat, Mouse samples. Cited in 1 publication.

View Alternative Names

Wee1-like protein kinase, WEE1hu, Wee1A kinase, WEE1

8 Images
Immunohistochemistry (Formalin/PFA-fixed paraffin-embedded sections) - Anti-Wee1 (phospho S642) antibody [EPR27036-80] (AB307515)
  • IHC-P

Supplier Data

Immunohistochemistry (Formalin/PFA-fixed paraffin-embedded sections) - Anti-Wee1 (phospho S642) antibody [EPR27036-80] (AB307515)

This data was developed using ab307515, the same antibody clone in a different buffer formulation.

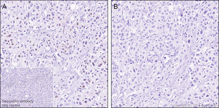
Immunohistochemical analysis of paraffin-embedded Human breast carcinoma tissue labeling Wee1 (phospho S642) with ab307515 at 1/2000 (0.244 µg/ml) followed by a ready to use Rabbit specific IHC polymer detection kit HRP/DAB (ab209101). Positive staining on human breast carcinoma without alkaline phosphatase treatment (image A). No signal was detected when tissues were treated with alkaline phosphatase (image B). The section was incubated with ab307515 for 30 mins at room temperature. The immunostaining was performed on a Leica Biosystems BOND® RX instrument. Counterstained with Hematoxylin.

Secondary antibody only control : Secondary antibody is a ready to use Rabbit specific IHC polymer detection kit HRP/DAB (ab209101). Heat mediated antigen retrieval was performed with Tris-EDTA buffer (pH 9.0, Epitope Retrieval Solution2) for 20 mins.

Immunohistochemistry (Formalin/PFA-fixed paraffin-embedded sections) - Anti-Wee1 (phospho S642) antibody [EPR27036-80] (AB307515)
  • IHC-P

Supplier Data

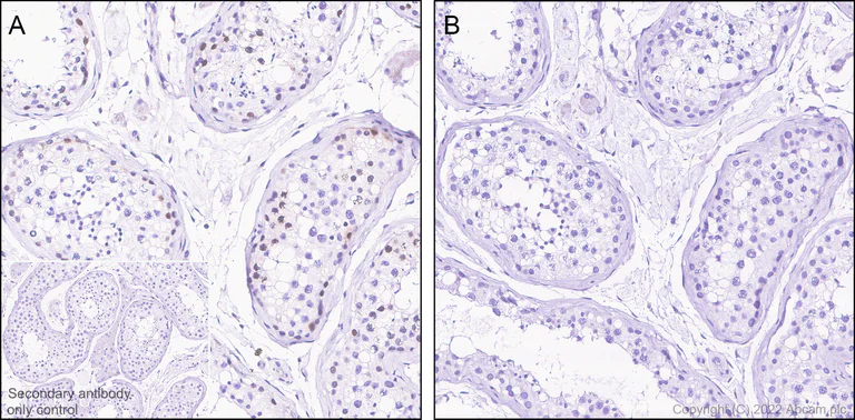
Immunohistochemistry (Formalin/PFA-fixed paraffin-embedded sections) - Anti-Wee1 (phospho S642) antibody [EPR27036-80] (AB307515)

Immunohistochemical analysis of paraffin-embedded Human testis tissue labeling Wee1 (phospho S642) with ab307515 at 1/2000 (0.244 µg/ml) followed by a ready to use Rabbit specific IHC polymer detection kit HRP/DAB (ab209101). Positive staining on spermatogonia of human testis without alkaline phosphatase treatment (image A). No signal was detected when tissues were treated with alkaline phosphatase (image B). The section was incubated with ab307515 for 30 mins at room temperature. The immunostaining was performed on a Leica Biosystems BOND® RX instrument. Counterstained with Hematoxylin.

Secondary antibody only control : Secondary antibody is a ready to use Rabbit specific IHC polymer detection kit HRP/DAB (ab209101).

Heat mediated antigen retrieval was performed with Tris-EDTA buffer (pH 9.0, Epitope Retrieval Solution2) for 20 mins.

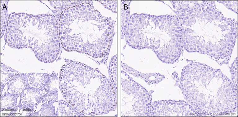
Immunohistochemistry (Formalin/PFA-fixed paraffin-embedded sections) - Anti-Wee1 (phospho S642) antibody [EPR27036-80] (AB307515)
  • IHC-P

Supplier Data

Immunohistochemistry (Formalin/PFA-fixed paraffin-embedded sections) - Anti-Wee1 (phospho S642) antibody [EPR27036-80] (AB307515)

Immunohistochemical analysis of paraffin-embedded Mouse testis tissue labeling Wee1 (phospho S642) with ab307515 at 1/2000 (0.244 µg/ml) followed by a ready to use Rabbit specific IHC polymer detection kit HRP/DAB (ab209101). Positive staining on spermatogonia of mouse testis without alkaline phosphatase treatment (image A). No signal was detected when tissues were treated with alkaline phosphatase (image B). The section was incubated with ab307515 for 30 mins at room temperature.The immunostaining was performed on a Leica Biosystems BOND® RX instrument. Counterstained with Hematoxylin.

Secondary antibody only control : Secondary antibody is a ready to use Rabbit specific IHC polymer detection kit HRP/DAB (ab209101). Heat mediated antigen retrieval was performed with Tris-EDTA buffer (pH 9.0, Epitope Retrieval Solution2) for 20 mins.

Immunohistochemistry (Formalin/PFA-fixed paraffin-embedded sections) - Anti-Wee1 (phospho S642) antibody [EPR27036-80] (AB307515)
  • IHC-P

Supplier Data

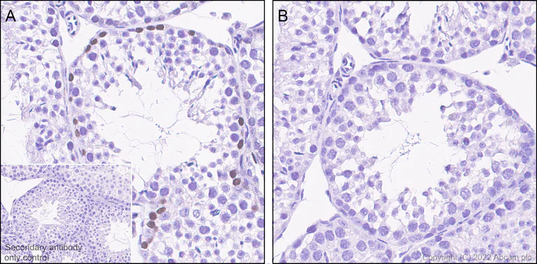
Immunohistochemistry (Formalin/PFA-fixed paraffin-embedded sections) - Anti-Wee1 (phospho S642) antibody [EPR27036-80] (AB307515)

Immunohistochemical analysis of paraffin-embedded Rat testis tissue labeling Wee1 (phospho S642) with ab307515 at 1/2000 (0.244 µg/ml) followed by a ready to use Rabbit specific IHC polymer detection kit HRP/DAB (ab209101). Positive staining on spermatogonia of rat testis without alkaline phosphatase treatment (image A). No signal was detected when tissues were treated with alkaline phosphatase (image B). The section was incubated with ab307515 for 30 mins at room temperature. The immunostaining was performed on a Leica Biosystems BOND® RX instrument. Counterstained with Hematoxylin.

Secondary antibody only control : Secondary antibody is a ready to use Rabbit specific IHC polymer detection kit HRP/DAB (ab209101).

Heat mediated antigen retrieval was performed with Tris-EDTA buffer (pH 9.0, Epitope Retrieval Solution2) for 20 mins.

Western blot - Anti-Wee1 (phospho S642) antibody [EPR27036-80] (AB307515)
  • WB

Supplier Data

Western blot - Anti-Wee1 (phospho S642) antibody [EPR27036-80] (AB307515)

Blocking and diluting buffer and concentration : 5% NFDM/TBST Exposure time : 59 seconds

All lanes:

Western blot - Anti-Wee1 (phospho S642) antibody [EPR27036-80] (ab307515) at 1/1000 dilution

Lane 1:

Untreated 293T cells transfected with a human Wee1 expression vector containi a His-tag whole cell lysate 20 μg

Lane 2:

293T cells transfected with a human Wee1 expression vector containi a His-tag, treated with 100nM Calyculin A for 30min whole cell lysate 20 μg

Lane 3:

Untreated 293T cells transfected with a human Wee1(S642A) expression vector containi a His-tag whole cell lysate 20 μg

Lane 4:

293T cells transfected with a human Wee1(S642A) expression vector containi a His-tag, treated with 100nM Calyculin A for 30min whole cell lysate 20 μg

Secondary

All lanes:

Western blot - Goat Anti-Rabbit IgG H&L (HRP) (<a href='/en-us/products/secondary-antibodies/goat-rabbit-igg-h-l-hrp-ab97051'>ab97051</a>) at 1/100000 dilution

Observed band size: 45 kDa,95 kDa

false

Exposure time: 59s

Western blot - Anti-Wee1 (phospho S642) antibody [EPR27036-80] (AB307515)
  • WB

Supplier Data

Western blot - Anti-Wee1 (phospho S642) antibody [EPR27036-80] (AB307515)

Blocking and diluting buffer and concentration : 5% NFDM/TBST Exposure time : Lanes 1-4 : 15 seconds, Lanes 5-6 : 180 seconds.

All lanes:

Western blot - Anti-Wee1 (phospho S642) antibody [EPR27036-80] (ab307515) at 1/1000 dilution

Lane 1:

Untreated A431 (human epidermoid carcinoma epithelial cell) whole cell lysate 20 μg (untreated membrane)

Lane 2:

A431 treated with100nM Calycin A for 30min whole cell lysate 20 μg (untreated membrane)

Lane 3:

A431 treated with100nM Calycin A for 30min whole cell lysate 20 μg (phosphatase treated membrane)

Secondary

All lanes:

Western blot - Goat Anti-Rabbit IgG H&L (HRP) (<a href='/en-us/products/secondary-antibodies/goat-rabbit-igg-h-l-hrp-ab97051'>ab97051</a>) at 1/20000 dilution

Observed band size: 95 kDa

false

Exposure time: 180s

Dot Blot - Anti-Wee1 (phospho S642) antibody [EPR27036-80] (AB307515)
  • Dot

Supplier Data

Dot Blot - Anti-Wee1 (phospho S642) antibody [EPR27036-80] (AB307515)

Dot blot analysis of Wee1 (phospho S642) using ab307515 at 1 : 1000 (0.488 ug/ml) followed by a Goat Anti-RABbit IgG, (H+L), Peroxidase conjugated (ab97051) at 1 : 100,000 dilution. Exposure time : 3 minutes Blocking and diluting buffer and concentration : 5% NFDM/TBST

Western blot - Anti-Wee1 (phospho S642) antibody [EPR27036-80] (AB307515)
  • WB

Supplier Data

Western blot - Anti-Wee1 (phospho S642) antibody [EPR27036-80] (AB307515)

Blocking and diluting buffer and concentration : 5% NFDM/TBST.

This blot was developed using a high sensitivity ECL substrate. The high-sensitivity ECL substrate used allows for the detection of proteins in the mid-femtogram range.

Lysate was freshly made and used for Western blotting immediately to minimize protein degradation.

All lanes:

Western blot - Anti-Wee1 (phospho S642) antibody [EPR27036-80] (ab307515) at 1/1000 dilution

Lane 1:

Mouse testis tissue lysate (untreated membrane) at 20 µg

Lane 2:

Mouse testis tissue lysate (phosphatase treated membrane) at 20 µg

Secondary

All lanes:

Western blot - Goat Anti-Rabbit IgG H&L (HRP) (<a href='/en-us/products/secondary-antibodies/goat-rabbit-igg-h-l-hrp-ab97051'>ab97051</a>) at 1/20000 dilution

Observed band size: 95 kDa

true

Exposure time: 180s

  • Carrier free

    Anti-Wee1 (phospho S642) antibody [EPR27036-80] - BSA and Azide free

Key facts

Host species

Rabbit

Clonality

Monoclonal

Clone number

EPR27036-80

Isotype

IgG

Carrier free

No

Reacts with

Human, Mouse, Rat

Applications

WB, Dot, IHC-P

applications

Immunogen

The exact immunogen used to generate this antibody is proprietary information.

Reactivity data

{ "title": "Reactivity Data", "filters": { "stats": ["", "Species", "Dilution Info", "Notes"], "tabs": { "all-applications": {"fullname" : "All Applications", "shortname": "All Applications"}, "Dot" : {"fullname" : "Dot Blot", "shortname":"Dot"}, "IP" : {"fullname" : "Immunoprecipitation", "shortname":"IP"}, "FlowCytIntra" : {"fullname" : "Flow Cytometry (Intracellular)", "shortname":"Flow Cyt (Intra)"}, "ICCIF" : {"fullname" : "Immunocytochemistry/ Immunofluorescence", "shortname":"ICC/IF"}, "IHCP" : {"fullname" : "Immunohistochemistry (Formalin/PFA-fixed paraffin-embedded sections)", "shortname":"IHC-P"}, "WB" : {"fullname" : "Western blot", "shortname":"WB"} }, "product-promise": { "all": "all", "testedAndGuaranteed": "tested", "guaranteed": "expected", "predicted": "predicted", "notRecommended": "not-recommended" } }, "values": { "Human": { "Dot-species-checked": "testedAndGuaranteed", "Dot-species-dilution-info": "1/1000", "Dot-species-notes": "<p></p>", "IP-species-checked": "notRecommended", "IP-species-dilution-info": "", "IP-species-notes": "<p></p>", "FlowCytIntra-species-checked": "notRecommended", "FlowCytIntra-species-dilution-info": "", "FlowCytIntra-species-notes": "<p></p>", "ICCIF-species-checked": "notRecommended", "ICCIF-species-dilution-info": "", "ICCIF-species-notes": "<p></p>", "IHCP-species-checked": "testedAndGuaranteed", "IHCP-species-dilution-info": "1/2000", "IHCP-species-notes": "<p></p> Perform heat-mediated antigen retrieval with Tris/EDTA buffer pH 9.0 before commencing with IHC staining protocol.", "WB-species-checked": "testedAndGuaranteed", "WB-species-dilution-info": "1/1000", "WB-species-notes": "<p></p>" }, "Mouse": { "Dot-species-checked": "guaranteed", "Dot-species-dilution-info": "", "Dot-species-notes": "", "IP-species-checked": "notRecommended", "IP-species-dilution-info": "", "IP-species-notes": "", "FlowCytIntra-species-checked": "notRecommended", "FlowCytIntra-species-dilution-info": "", "FlowCytIntra-species-notes": "", "ICCIF-species-checked": "notRecommended", "ICCIF-species-dilution-info": "", "ICCIF-species-notes": "", "IHCP-species-checked": "testedAndGuaranteed", "IHCP-species-dilution-info": "1/2000", "IHCP-species-notes": "<p></p> Perform heat-mediated antigen retrieval with Tris/EDTA buffer pH 9.0 before commencing with IHC staining protocol.", "WB-species-checked": "testedAndGuaranteed", "WB-species-dilution-info": "1/1000", "WB-species-notes": "<p></p>" }, "Rat": { "Dot-species-checked": "guaranteed", "Dot-species-dilution-info": "", "Dot-species-notes": "", "IP-species-checked": "notRecommended", "IP-species-dilution-info": "", "IP-species-notes": "", "FlowCytIntra-species-checked": "notRecommended", "FlowCytIntra-species-dilution-info": "", "FlowCytIntra-species-notes": "", "ICCIF-species-checked": "notRecommended", "ICCIF-species-dilution-info": "", "ICCIF-species-notes": "", "IHCP-species-checked": "testedAndGuaranteed", "IHCP-species-dilution-info": "1/2000", "IHCP-species-notes": "<p></p> Perform heat-mediated antigen retrieval with Tris/EDTA buffer pH 9.0 before commencing with IHC staining protocol.", "WB-species-checked": "notRecommended", "WB-species-dilution-info": "1/1000", "WB-species-notes": "<p></p>" } } }

Product details

Patented technology
Our RabMAb® technology is a patented hybridoma-based technology for making rabbit monoclonal antibodies. For details on our patents, please refer to RabMAb® patents.

What are the advantages of a recombinant monoclonal antibody?
This product is a recombinant monoclonal antibody, which offers several advantages including:

  • - High batch-to-batch consistency and reproducibility
  • - Improved sensitivity and specificity
  • - Long-term security of supply
  • - Animal-free batch production

For more information, read more on recombinant antibodies.

Properties and storage information

Form
Liquid
Purification technique
Affinity purification Protein A
Storage buffer
pH: 7.2 - 7.4 Preservative: 0.01% Sodium azide Constituents: PBS, 40% Glycerol (glycerin, glycerine), 0.05% BSA
Shipped at conditions
Blue Ice
Appropriate short-term storage duration
1-2 weeks
Appropriate short-term storage conditions
+4°C
Appropriate long-term storage conditions
-20°C
Aliquoting information
Upon delivery aliquot
Storage information
Avoid freeze / thaw cycle

Supplementary information

This supplementary information is collated from multiple sources and compiled automatically.

Wee1 also known as Wee1-like protein kinase or WEE1 serves as an important regulator of cell cycle progression. Wee1 is a protein kinase with a molecular mass of approximately 96 kDa involved in the regulation of the cell cycle by inhibiting the entry into mitosis through phosphorylation of cyclin-dependent kinase 1 (CDK1). Expression of Wee1 occurs throughout various tissues but it is especially important in those that require tight control over cell division like the brain and reproductive organs. By suppressing premature mitosis Wee1 ensures cells have adequate time for DNA repair and completion of critical processes before cell division.
Biological function summary

The function of Wee1 extends to its role in maintaining genomic stability. Wee1 operates as part of a regulatory complex and its inhibition results in defective cell cycle arrest potentially leading to DNA damage. The kinase acts to prevent transitions from the G2 to M phase of the cell cycle ensuring cells repair damaged DNA before division. In the context of DNA replication stress Wee1 cooperates with other regulators such as Chk1 to mediate cell cycle arrest therefore safeguarding genomic integrity.

Pathways

The role of Wee1 manifests significantly within the DNA damage checkpoint pathway and the cell cycle control pathway. In the DNA damage checkpoint pathway Wee1 collaborates with other cell cycle regulators such as ATR and Chk1 to control the cell cycle in response to DNA damages. Wee1's influence on the cell cycle pathway also intersects with CDK1 and Cyclin B where Wee1 modulates the activity of these proteins to control cell cycle transitions. This regulatory action allows cells to coordinate DNA repair and replication with cell division events.

Wee1's regulatory functions relate closely to cancer and neurological disorders. Overexpression or mutation of Wee1 is associated with various cancers including gliomas and breast cancer where it influences cell proliferation by controlling the activity of CDK1. Wee1's relationship with cancer extends to its interactions with p53 and Chk1 proteins both of which are critical in cancer biology. Additionally anomalies in Wee1 expression or function also associate with certain neurological disorders where it may alter cell cycle dynamics and influence neural cell fate under stress conditions.

Product protocols

For this product, it's our understanding that no specific protocols are required. You can visit:

Target data

Acts as a negative regulator of entry into mitosis (G2 to M transition) by protecting the nucleus from cytoplasmically activated cyclin B1-complexed CDK1 before the onset of mitosis by mediating phosphorylation of CDK1 on 'Tyr-15' (PubMed : 15070733, PubMed : 7743995, PubMed : 8348613, PubMed : 8428596). Specifically phosphorylates and inactivates cyclin B1-complexed CDK1 reaching a maximum during G2 phase and a minimum as cells enter M phase (PubMed : 7743995, PubMed : 8348613, PubMed : 8428596). Phosphorylation of cyclin B1-CDK1 occurs exclusively on 'Tyr-15' and phosphorylation of monomeric CDK1 does not occur (PubMed : 7743995, PubMed : 8348613, PubMed : 8428596). Its activity increases during S and G2 phases and decreases at M phase when it is hyperphosphorylated (PubMed : 7743995). A correlated decrease in protein level occurs at M/G1 phase, probably due to its degradation (PubMed : 7743995).
See full target information Wee1-like protein kinase phospho S642

Publications (1)

Recent publications for all applications. Explore the full list and refine your search

Nature communications 15:9820 PubMed39537588

2024

Succinate dehydrogenase deficiency-driven succinate accumulation induces drug resistance in acute myeloid leukemia via ubiquitin-cullin regulation.

Applications

Unspecified application

Species

Unspecified reactive species

Yifan Chen,Miao Xian,Wenwen Ying,Jiayi Liu,Shaowei Bing,Xiaomin Wang,Jiayi Yu,Xiaojun Xu,Senfeng Xiang,Xuejing Shao,Ji Cao,Qiaojun He,Bo Yang,Meidan Ying
View all publications

Product promise

We are committed to supporting your work with high-quality reagents, and we're here for you every step of the way. In the unlikely event that one of our products does not perform as expected, you're protected by our Product Promise.
For full details, please see our Terms & Conditions

Please note: All products are 'FOR RESEARCH USE ONLY. NOT FOR USE IN DIAGNOSTIC OR THERAPEUTIC PROCEDURES'.

For licensing inquiries, please contact partnerships@abcam.com