JavaScript is disabled in your browser. Please enable JavaScript to view this website.
AB241545

Anti-Werner's syndrome helicase WRN antibody [195C]

Be the first to review this product! Submit a review

|

(2 Publications)

Mouse Monoclonal Werner's syndrome helicase WRN antibody. Suitable for IHC-P, WB, ICC/IF and reacts with Human samples. Cited in 2 publications.

View Alternative Names

RECQ3, RECQL2, WRN, Bifunctional 3'-5' exonuclease/ATP-dependent helicase WRN, RecQ protein-like 2, Werner syndrome protein

3 Images
Immunocytochemistry/ Immunofluorescence - Anti-Werner's syndrome helicase WRN antibody [195C] (AB241545)
  • ICC/IF

Lab

Immunocytochemistry/ Immunofluorescence - Anti-Werner's syndrome helicase WRN antibody [195C] (AB241545)

ab241545 staining Werner's syndrome helicase WRN in A431 cells. The cells were fixed with 4% PFA (10mins), permeabilized with 0.1% PBS-Triton X-100 for 5 minutes and then blocked with 1% BSA/10% normal goat serum/0.3M glycine in 0.1%PBS-Triton for 1h. The cells were then incubated overnight at +4°C with ab241545 at 1μg/ml and ab6046, Rabbit polyclonal to beta Tubulin - Loading Control, at 1/1000 dilution. Cells were then incubated with ab150117, Goat Anti-Mouse IgG H&L (Alexa Fluor® 488) at 1/1000 dilution (shown in green) and ab150084, Goat polyclonal Secondary Antibody to Rabbit IgG - H&L (Alexa Fluor® 594) at 1/1000 dilution (shown in pseudocolor red). Nuclear DNA was labeled with DAPI (shown in blue). Image was taken with a confocal microscope (Leica-Microsystems, TCS SP8).

Immunohistochemistry (Formalin/PFA-fixed paraffin-embedded sections) - Anti-Werner's syndrome helicase WRN antibody [195C] (AB241545)
  • IHC-P

Supplier Data

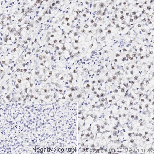
Immunohistochemistry (Formalin/PFA-fixed paraffin-embedded sections) - Anti-Werner's syndrome helicase WRN antibody [195C] (AB241545)

IHC image of Werner's syndrome helicase WRN staining in a section of formalin-fixed paraffin-embedded human testis seminoma* performed on a Leica BOND using the standard Protocol F. The section was pre-treated using heat mediated antigen retrieval with sodium citrate buffer (pH6, epitope retrieval solution 1) for 20mins. The section was then incubated with ab241545, 1μg/ml, for 15 mins at room temperature and detected using an HRP conjugated compact polymer system. DAB was used as the chromogen. The section was then counterstained with haematoxylin and mounted with DPX. The inset secondary-only control image is taken from an identical assay without primary antibody.

For other IHC staining systems (automated and non-automated) customers should optimize variable parameters such as antigen retrieval conditions, primary antibody concentration and antibody incubation times.

*Tissue obtained from the Human Research Tissue Bank, supported by the NIHR Cambridge Biomedical Research Centre.

Western blot - Anti-Werner's syndrome helicase WRN antibody [195C] (AB241545)
  • WB

Lab

Western blot - Anti-Werner's syndrome helicase WRN antibody [195C] (AB241545)

Lanes 1 - 4 : Merged signal (red and green). Green - ab241545 observed at 170 kDa. Red - loading control, ab181602 (Rabbit Anti-GAPDH antibody [EPR16891]) observed at 37kDa.

ab241545 was shown to react with Werner's syndrome helicase WRN in wild-type HAP1 cells in western blot. Loss of signal was observed when WRN knockout sample was used. Wild-type and WRN knockout HAP1 cell lysates were subjected to SDS-PAGE. Membranes were blocked in 3% milk in TBS-T (0.1% Tween®) before incubation with ab241545 and ab181602 (Rabbit Anti-GAPDH antibody [EPR16891]) overnight at 4°C at 1 μg/ml and a 1 in 20000 dilution respectively. Blots were incubated with Goat anti-Mouse IgG H&L (IRDye® 800CW) preabsorbed (ab216772) and Goat anti-Rabbit IgG H&L (IRDye® 680RD) preabsorbed (ab216777) secondary antibodies at 1 in 20000 dilution for 1 hour at room temperature before imaging.

All lanes:

Western blot - Anti-Werner's syndrome helicase WRN antibody [195C] (ab241545) at 1 µg/mL

Lane 1:

Wild-type HAP1 cell lysate at 20 µg

Lane 2:

WRN knockout HAP1 cell lysate at 20 µg

Lane 3:

MOLT-4 cell lysate at 20 µg

Lane 4:

K562 cell lysate at 20 µg

Predicted band size: 162 kDa

Observed band size: 170 kDa

false

Key facts

Host species

Mouse

Clonality

Monoclonal

Clone number

195C

Isotype

IgG1

Light chain type

kappa

Carrier free

No

Reacts with

Human

Applications

ICC/IF, WB, IHC-P

applications

Immunogen

The exact immunogen used to generate this antibody is proprietary information.

Reactivity data

{ "title": "Reactivity Data", "filters": { "stats": ["", "Species", "Dilution Info", "Notes"], "tabs": { "all-applications": {"fullname" : "All Applications", "shortname": "All Applications"}, "IHCP" : {"fullname" : "Immunohistochemistry (Formalin/PFA-fixed paraffin-embedded sections)", "shortname":"IHC-P"}, "WB" : {"fullname" : "Western blot", "shortname":"WB"}, "ICCIF" : {"fullname" : "Immunocytochemistry/ Immunofluorescence", "shortname":"ICC/IF"} }, "product-promise": { "all": "all", "testedAndGuaranteed": "tested", "guaranteed": "expected", "predicted": "predicted", "notRecommended": "not-recommended" } }, "values": { "Human": { "IHCP-species-checked": "testedAndGuaranteed", "IHCP-species-dilution-info": "1 µg/mL", "IHCP-species-notes": "<p></p> Perform heat-mediated antigen retrieval with citrate buffer pH 6 before commencing with IHC staining protocol.", "WB-species-checked": "testedAndGuaranteed", "WB-species-dilution-info": "1 µg/mL", "WB-species-notes": "<p></p>", "ICCIF-species-checked": "testedAndGuaranteed", "ICCIF-species-dilution-info": "5 µg/mL", "ICCIF-species-notes": "<p>4% PFA fixation for 10 minutes.</p>" } } }

Product details

Want a custom formulation?
This antibody clone is manufactured by Abcam. If you require a custom buffer formulation or conjugation for your experiments, please contact orders@abcam.com

Properties and storage information

Form
Liquid
Purification technique
Affinity purification
Storage buffer
Preservative: 0.02% Sodium azide Constituents: PBS, 6.97% L-Arginine
Shipped at conditions
Blue Ice
Appropriate short-term storage duration
1-2 weeks
Appropriate short-term storage conditions
+4°C
Appropriate long-term storage conditions
-20°C
Aliquoting information
Upon delivery aliquot
Storage information
Avoid freeze / thaw cycle

Supplementary information

This supplementary information is collated from multiple sources and compiled automatically.

Werner's syndrome helicase also known as WRN plays a mechanical role in DNA replication and repair. WRN is a 160 kDa protein containing both helicase and exonuclease activities making it unique among RecQ helicases. It unwinds DNA duplexes and resolves complex DNA structures that can arise during replication and repair processes. WRN is expressed in the nucleus of various cell types including fibroblasts where it maintains genome stability. This helicase is critical in processing DNA intermediates to prevent genomic instability.
Biological function summary

WRN functions as a part of larger protein complexes that participate in DNA damage response and repair. It interacts with several proteins involved in the homologous recombination and base excision repair pathways. WRN's unique enzymatic activities enable it to stabilize and process DNA ends during replication fork collapse and double-strand break repair. By operating in concert with proteins such as RAD51 and replication protein A (RPA) WRN ensures accurate replication and repair preventing mutation accumulation.

Pathways

WRN plays a central role in the maintenance of genomic integrity through its involvement in DNA repair pathways and the aging process. It is integral to the process of homologous recombination where it works closely with the MRE11-RAD50-NBS1 (MRN) complex. Additionally WRN has a function in the DNA damage checkpoint pathway collaborating with proteins like ATM and ATR which help to sense damaged DNA and initiate repair processes. These pathways are important for maintaining DNA integrity and preventing cellular senescence.

WRN is closely linked to Werner syndrome and cancer. Mutations in the WRN gene lead to Werner syndrome a rare disorder characterized by premature aging and cancer predisposition. WRN's interaction with tumor suppressor proteins such as p53 connects it to pathways that can contribute to tumorigenesis when dysregulated. Understanding WRN's function and its role in these diseases provides insight into mechanisms of aging and cancer development offering potential therapeutic targets.

Product protocols

For this product, it's our understanding that no specific protocols are required. You can visit:

Target data

Multifunctional enzyme that has magnesium and ATP-dependent 3'-5' DNA-helicase activity on partially duplex substrates (PubMed : 9224595, PubMed : 9288107, PubMed : 9611231). Also has 3'->5' exonuclease activity towards double-stranded (ds)DNA with a 5'-overhang (PubMed : 11863428). Has no nuclease activity towards single-stranded (ss)DNA or blunt-ended dsDNA (PubMed : 11863428). Helicase activity is most efficient with (d)ATP, but (d)CTP will substitute with reduced efficiency; strand displacement is enhanced by single-strand binding-protein (heterotrimeric replication protein A complex, RPA1, RPA2, RPA3) (PubMed : 9611231). Binds preferentially to DNA substrates containing alternate secondary structures, such as replication forks and Holliday junctions. May play an important role in the dissociation of joint DNA molecules that can arise as products of homologous recombination, at stalled replication forks or during DNA repair. Alleviates stalling of DNA polymerases at the site of DNA lesions. Plays a role in the formation of DNA replication focal centers; stably associates with foci elements generating binding sites for RP-A (By similarity). Plays a role in double-strand break repair after gamma-irradiation (PubMed : 9224595, PubMed : 9288107, PubMed : 9611231). Unwinds some G-quadruplex DNA (d(CGG)n tracts); unwinding seems to occur in both 5'-3' and 3'-5' direction and requires a short single-stranded tail (PubMed : 10212265). d(CGG)n tracts have a propensity to assemble into tetraplex structures; other G-rich substrates from a telomeric or IgG switch sequence are not unwound (PubMed : 10212265). Depletion leads to chromosomal breaks and genome instability (PubMed : 33199508).
See full target information WRN

Publications (2)

Recent publications for all applications. Explore the full list and refine your search

Nano-micro letters 18:11 PubMed40699546

2025

A Hierarchical Short Microneedle-Cupping Dual-Amplified Patch Enables Accelerated, Uniform, Pain-Free Transdermal Delivery of Extracellular Vesicles.

Applications

Unspecified application

Species

Unspecified reactive species

Minwoo Song,Minji Ha,Sol Shin,Minjin Kim,Soyoung Son,Jihyun Lee,Gui Won Hwang,Jeongyun Kim,Van Hieu Duong,Jae Hyung Park,Changhyun Pang

Scientific reports 14:20824 PubMed39242638

2024

PROTAC-mediated conditional degradation of the WRN helicase as a potential strategy for selective killing of cancer cells with microsatellite instability.

Applications

Unspecified application

Species

Unspecified reactive species

Vikram Tejwani,Thomas Carroll,Thomas Macartney,Susanne Bandau,Constance Alabert,Giulia Saredi,Rachel Toth,John Rouse
View all publications

Product promise

We are committed to supporting your work with high-quality reagents, and we're here for you every step of the way. In the unlikely event that one of our products does not perform as expected, you're protected by our Product Promise.
For full details, please see our Terms & Conditions

Please note: All products are 'FOR RESEARCH USE ONLY. NOT FOR USE IN DIAGNOSTIC OR THERAPEUTIC PROCEDURES'.

For licensing inquiries, please contact partnerships@abcam.com