JavaScript is disabled in your browser. Please enable JavaScript to view this website.
AB122572

Anti-WHAMM antibody

Be the first to review this product! Submit a review

|

(4 Publications)

Rabbit Polyclonal WHAMM antibody. Suitable for IHC-P, ICC, WB and reacts with Human samples. Cited in 4 publications. Immunogen corresponding to Recombinant Fragment Protein within Human WHAMM aa 650-750.

View Alternative Names

KIAA1971, WHDC1, WHAMM, WAS protein homology region 2 domain-containing protein 1, WH2 domain-containing protein 1

5 Images
Immunohistochemistry (Formalin/PFA-fixed paraffin-embedded sections) - Anti-WHAMM antibody (AB122572)
  • IHC-P

Supplier Data

Immunohistochemistry (Formalin/PFA-fixed paraffin-embedded sections) - Anti-WHAMM antibody (AB122572)

Immunohistochemistry (Formalin/PFA-fixed paraffin-embedded sections) analysis of human endometrium tissue labelling WHAMM with ab122572 at 1/200 dilution. Heat mediated antigen retrieval performed with citrate buffer pH 6 before commencing with IHC staining protocol.

Immunocytochemistry - Anti-WHAMM antibody (AB122572)
  • ICC

Unknown

Immunocytochemistry - Anti-WHAMM antibody (AB122572)

ab122572, at 4 μg/ml, staining WHAMM in PFA/Triton X-100 fixed/permeabilized A431 cells by Immunofluorescence (green).

Immunohistochemistry (Formalin/PFA-fixed paraffin-embedded sections) - Anti-WHAMM antibody (AB122572)
  • IHC-P

Supplier Data

Immunohistochemistry (Formalin/PFA-fixed paraffin-embedded sections) - Anti-WHAMM antibody (AB122572)

Immunohistochemistry (Formalin/PFA-fixed paraffin-embedded sections) analysis of human lymph node tissue labelling WHAMM with ab122572 at 1/200 dilution. Heat mediated antigen retrieval performed with citrate buffer pH 6 before commencing with IHC staining protocol.

Immunohistochemistry (Formalin/PFA-fixed paraffin-embedded sections) - Anti-WHAMM antibody (AB122572)
  • IHC-P

Supplier Data

Immunohistochemistry (Formalin/PFA-fixed paraffin-embedded sections) - Anti-WHAMM antibody (AB122572)

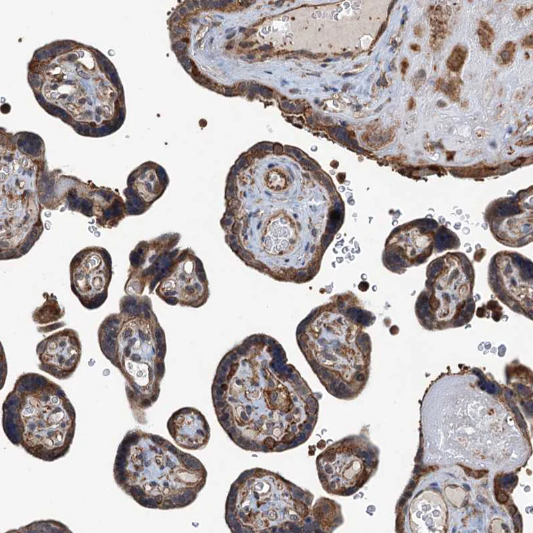
Immunohistochemistry (Formalin/PFA-fixed paraffin-embedded sections) analysis of human placenta tissue labelling WHAMM with ab122572 at 1/200 dilution. Heat mediated antigen retrieval performed with citrate buffer pH 6 before commencing with IHC staining protocol.

Western blot - Anti-WHAMM antibody (AB122572)
  • WB

Supplier Data

Western blot - Anti-WHAMM antibody (AB122572)

All lanes:

Western blot - Anti-WHAMM antibody (ab122572) at 0.4 µg/mL

All lanes:

U-138 MG (human brain glioblastoma cell line) cell lysate

Predicted band size: 91 kDa

false

Key facts

Host species

Rabbit

Clonality

Polyclonal

Isotype

IgG

Carrier free

No

Reacts with

Human

Applications

ICC, WB, IHC-P

applications

Immunogen

Recombinant Fragment Protein within Human WHAMM aa 650-750. The exact immunogen used to generate this antibody is proprietary information.

Q8TF30

Reactivity data

{ "title": "Reactivity Data", "filters": { "stats": ["", "Species", "Dilution Info", "Notes"], "tabs": { "all-applications": {"fullname" : "All Applications", "shortname": "All Applications"}, "IHCP" : {"fullname" : "Immunohistochemistry (Formalin/PFA-fixed paraffin-embedded sections)", "shortname":"IHC-P"}, "ICC" : {"fullname" : "Immunocytochemistry", "shortname":"ICC"}, "WB" : {"fullname" : "Western blot", "shortname":"WB"} }, "product-promise": { "all": "all", "testedAndGuaranteed": "tested", "guaranteed": "expected", "predicted": "predicted", "notRecommended": "not-recommended" } }, "values": { "Human": { "IHCP-species-checked": "testedAndGuaranteed", "IHCP-species-dilution-info": "1/200 - 1/500", "IHCP-species-notes": "<p></p> Perform heat-mediated antigen retrieval with citrate buffer pH 6 before commencing with IHC staining protocol.", "ICC-species-checked": "testedAndGuaranteed", "ICC-species-dilution-info": "0.25-2 µg/mL", "ICC-species-notes": "<p></p>", "WB-species-checked": "testedAndGuaranteed", "WB-species-dilution-info": "0.04-0.4 µg/mL", "WB-species-notes": "<p></p>" } } }

Properties and storage information

Form
Liquid
Purification technique
Affinity purification Immunogen
Storage buffer
pH: 7.2 Preservative: 0.02% Sodium azide Constituents: 59% PBS, 40% Glycerol (glycerin, glycerine)
Shipped at conditions
Blue Ice
Appropriate short-term storage conditions
+4°C
Appropriate long-term storage conditions
-20°C
Storage information
Avoid freeze / thaw cycle|Store undiluted

Supplementary information

This supplementary information is collated from multiple sources and compiled automatically.

WHAMM also known as Wiskott-Aldrich syndrome protein and SCAR homolog (WASH) interacting protein is a protein with a molecular mass of approximately 40 kDa. WHAMM is found in diverse tissues but it shows significant expression in rapidly dividing cells and those undergoing extensive membrane remodeling. Mechanically WHAMM functions as an actin nucleation-promoting factor. It directly interacts with the Arp2/3 complex activating it to initiate actin filament branching which is essential for cytoskeletal rearrangements.
Biological function summary

WHAMM plays an important role in membrane trafficking and vesicular transport. As a part of the multi-protein WASH complex it controls the dynamics of endosomes and assists in the formation of transport carriers. WHAMM influences the movement of vesicles by promoting actin polymerization at membrane surfaces which is a necessary process for the correct distribution of intracellular cargo.

Pathways

WHAMM is essential in both the endocytosis pathway and the pathway regulating cell motility. Within endocytosis it aids the cargo sorting in early and late endosomes and works closely with other proteins such as WASP and N-WASP to facilitate actin assembly. In regulating cell motility WHAMM coordinates with the Rho GTPase family to modulate actin organization thereby affecting cell shape and movement.

WHAMM is linked to immune system dysfunctions and neurodegenerative diseases. Aberrant WHAMM activity can lead to defects in membrane trafficking contributing to conditions like Wiskott-Aldrich syndrome involving immune and platelet function abnormalities. Additionally its malfunction in neuronal cells associates it with neurodegenerative disorders such as Parkinson's disease where WHAMM interacts with proteins like alpha-synuclein influencing their aggregation and clearance processes.

Product protocols

For this product, it's our understanding that no specific protocols are required. You can visit:

Target data

Acts as a nucleation-promoting factor (NPF) that stimulates Arp2/3-mediated actin polymerization both at the Golgi apparatus and along tubular membranes. Its activity in membrane tubulation requires F-actin and interaction with microtubules. Proposed to use coordinated actin-nucleating and microtubule-binding activities of distinct WHAMM molecules to drive membrane tubule elongation; when MT-bound can recruit and remodel membrane vesicles but is prevented to activate the Arp2/3 complex. Involved as a regulator of Golgi positioning and morphology. Participates in vesicle transport between the reticulum endoplasmic and the Golgi complex. Required for RhoD-dependent actin reorganization such as in cell adhesion and cell migration.
See full target information WHAMM

Publications (4)

Recent publications for all applications. Explore the full list and refine your search

Nature communications 15:3793 PubMed38714822

2024

An interphase actin wave promotes mitochondrial content mixing and organelle homeostasis.

Applications

Unspecified application

Species

Unspecified reactive species

Stephen M Coscia,Andrew S Moore,Cameron P Thompson,Christian F Tirrito,E Michael Ostap,Erika L F Holzbaur

Current biology : CB 32:1577-1592.e8 PubMed35290799

2022

Parallel kinase pathways stimulate actin polymerization at depolarized mitochondria.

Applications

Unspecified application

Species

Unspecified reactive species

Tak Shun Fung,Rajarshi Chakrabarti,Jana Kollasser,Klemens Rottner,Theresia E B Stradal,Frieda Kage,Henry N Higgs

PLoS genetics 17:e1009873 PubMed34748562

2021

The FASTK family proteins fine-tune mitochondrial RNA processing.

Applications

Unspecified application

Species

Unspecified reactive species

Akira Ohkubo,Lindsey Van Haute,Danielle L Rudler,Maike Stentenbach,Florian A Steiner,Oliver Rackham,Michal Minczuk,Aleksandra Filipovska,Jean-Claude Martinou

Nature 591:659-664 PubMed33658713

2021

Actin cables and comet tails organize mitochondrial networks in mitosis.

Applications

Unspecified application

Species

Unspecified reactive species

Andrew S Moore,Stephen M Coscia,Cory L Simpson,Fabian E Ortega,Eric C Wait,John M Heddleston,Jeffrey J Nirschl,Christopher J Obara,Pedro Guedes-Dias,C Alexander Boecker,Teng-Leong Chew,Julie A Theriot,Jennifer Lippincott-Schwartz,Erika L F Holzbaur
View all publications

Product promise

We are committed to supporting your work with high-quality reagents, and we're here for you every step of the way. In the unlikely event that one of our products does not perform as expected, you're protected by our Product Promise.
For full details, please see our Terms & Conditions

Please note: All products are 'FOR RESEARCH USE ONLY. NOT FOR USE IN DIAGNOSTIC OR THERAPEUTIC PROCEDURES'.

For licensing inquiries, please contact partnerships@abcam.com