JavaScript is disabled in your browser. Please enable JavaScript to view this website.
AB85852

Anti-WHSC2/NELF-A antibody

Be the first to review this product! Submit a review

|

(2 Publications)

Rabbit Polyclonal WHSC2/NELF-A antibody. Suitable for IHC-P, IP, WB and reacts with Human samples. Cited in 2 publications. Immunogen corresponding to Synthetic Peptide within Human NELFA aa 450 to C-terminus.

View Alternative Names

WHSC2, P/OKcl.15, NELFA, Negative elongation factor A, NELF-A, Wolf-Hirschhorn syndrome candidate 2 protein

3 Images
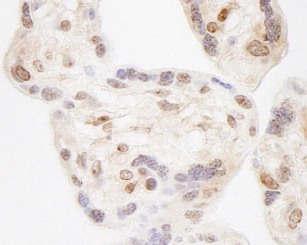
Immunohistochemistry (Formalin/PFA-fixed paraffin-embedded sections) - Anti-WHSC2/NELF-A antibody (AB85852)
  • IHC-P

Unknown

Immunohistochemistry (Formalin/PFA-fixed paraffin-embedded sections) - Anti-WHSC2/NELF-A antibody (AB85852)

Immunohistochemistry (Formalin/PFA-fixed paraffin-embedded sections) analysis of human placenta tissue labelling WHSC2 with ab85852 at 1/1000 (1µg/ml). Detection : DAB.

Immunoprecipitation - Anti-WHSC2/NELF-A antibody (AB85852)
  • IP

Supplier Data

Immunoprecipitation - Anti-WHSC2/NELF-A antibody (AB85852)

WHSC2/NELF-A was immunoprecipitated from HeLa (human epithelial cell line from cervix adenocarcinoma) whole cell lysate (1 mg/IP; 20% of IP loaded/lane) using ab85852 at 3 μg/mg lysate. Western blot was performed from the immunoprecipitate using ab85852, at 1 μg/ml.

Lane 1 : ab85852 IP in HeLa whole cell lysate.
Lane 2 : Control IgG.

Detection : Chemiluminescence with exposure times of 3 minutes

All lanes:

Immunoprecipitation - Anti-WHSC2/NELF-A antibody (ab85852)

Predicted band size: 57 kDa

false

Western blot - Anti-WHSC2/NELF-A antibody (AB85852)
  • WB

Unknown

Western blot - Anti-WHSC2/NELF-A antibody (AB85852)

All lanes:

Western blot - Anti-WHSC2/NELF-A antibody (ab85852) at 0.1 µg/mL

Lane 1:

HeLa (human epithelial cell line from cervix adenocarcinoma) whole cell lysate at 50 µg

Lane 2:

HeLa whole cell lysate at 15 µg

Lane 3:

HeLa whole cell lysate at 5 µg

Predicted band size: 57 kDa

Observed band size: 60 kDa

true

Exposure time: 3min

Key facts

Host species

Rabbit

Clonality

Polyclonal

Isotype

IgG

Carrier free

No

Reacts with

Human

Applications

WB, IHC-P, IP

applications

Immunogen

Synthetic Peptide within Human NELFA aa 450 to C-terminus. The exact immunogen used to generate this antibody is proprietary information.

Q9H3P2

Reactivity data

{ "title": "Reactivity Data", "filters": { "stats": ["", "Species", "Dilution Info", "Notes"], "tabs": { "all-applications": {"fullname" : "All Applications", "shortname": "All Applications"}, "IHCP" : {"fullname" : "Immunohistochemistry (Formalin/PFA-fixed paraffin-embedded sections)", "shortname":"IHC-P"}, "IP" : {"fullname" : "Immunoprecipitation", "shortname":"IP"}, "WB" : {"fullname" : "Western blot", "shortname":"WB"} }, "product-promise": { "all": "all", "testedAndGuaranteed": "tested", "guaranteed": "expected", "predicted": "predicted", "notRecommended": "not-recommended" } }, "values": { "Human": { "IHCP-species-checked": "testedAndGuaranteed", "IHCP-species-dilution-info": "1/500 - 1/2000", "IHCP-species-notes": "<p></p> Perform heat-mediated antigen retrieval with citrate buffer pH 6 before commencing with IHC staining protocol.", "IP-species-checked": "testedAndGuaranteed", "IP-species-dilution-info": "2-5 µg/mg of lysate", "IP-species-notes": "<p></p>", "WB-species-checked": "testedAndGuaranteed", "WB-species-dilution-info": "1/2000 - 1/10000", "WB-species-notes": "<p></p>" }, "Mouse": { "IHCP-species-checked": "predicted", "IHCP-species-dilution-info": "", "IHCP-species-notes": "", "IP-species-checked": "predicted", "IP-species-dilution-info": "", "IP-species-notes": "", "WB-species-checked": "predicted", "WB-species-dilution-info": "", "WB-species-notes": "" } } }

Properties and storage information

Form
Liquid
Purification technique
Affinity purification Immunogen
Purification notes
ab85852 was affinity purified using an epitope specific to WHSC2/NELF-A immobilized on solid support.
Storage buffer
pH: 7 - 8 Preservative: 0.09% Sodium azide Constituents: Tris citrate/phosphate
Shipped at conditions
Blue Ice
Appropriate short-term storage duration
1-2 weeks
Appropriate short-term storage conditions
+4°C
Appropriate long-term storage conditions
+4°C
Aliquoting information
Upon delivery aliquot
Storage information
Avoid freeze / thaw cycle

Supplementary information

This supplementary information is collated from multiple sources and compiled automatically.

WHSC2 also known as NELF-A mechanically operates as a transcription elongation factor. It is a 66 kDa protein expressed in various tissues throughout the human body with higher levels in the brain and testis. WHSC2 is part of the negative elongation factor (NELF) complex. This complex interacts with RNA polymerase II (RNAPII) to pause transcription elongation an important step in regulating gene expression.
Biological function summary

WHSC2 plays a significant role in maintaining transcriptional pausing which affects gene expression. It is a component of the NELF complex which includes NELF-B NELF-C/D and NELF-E. By pausing RNAPII WHSC2 regulates the timing of transcription and impacts processes like differentiation and cell cycle control. This function is important for responding to environmental signals and cellular requirements.

Pathways

WHSC2 participates in the transcription regulation pathway and the cell cycle control pathway. It is related to proteins such as DSIF which also influences RNA polymerase II pausing. By being part of these pathways WHSC2 exerts control over the transition from transcription initiation to elongation impacting the expression timing of many genes. This positioning allows it to coordinate with other regulatory proteins and respond to cellular changes.

WHSC2 links to Wolf-Hirschhorn syndrome and various cancers. In Wolf-Hirschhorn syndrome deletions affecting WHSC2 contribute to developmental delays and growth retardation. In cancer altered WHSC2 expression is associated with abnormal cell growth particularly through interactions with p53 a tumor suppressor protein. The relationship highlights the importance of WHSC2 in both genetic disorders and oncogenic pathways.

Product protocols

For this product, it's our understanding that no specific protocols are required. You can visit:

Target data

Essential component of the NELF complex, a complex that negatively regulates the elongation of transcription by RNA polymerase II. The NELF complex, which acts via an association with the DSIF complex and causes transcriptional pausing, is counteracted by the P-TEFb kinase complex.. (Microbial infection) The NELF complex is involved in HIV-1 latency possibly involving recruitment of PCF11 to paused RNA polymerase II.
See full target information NELFA

Publications (2)

Recent publications for all applications. Explore the full list and refine your search

Journal of biological rhythms 33:350-362 PubMed29845885

2018

Regulation of Pol II Pausing Is Involved in Daily Gene Transcription in the Mouse Liver.

Applications

Unspecified application

Species

Unspecified reactive species

Jialou Zhu,Chengwei Li,Changxia Gong,Xiaodong Li

EMBO reports 18:745-764 PubMed28336775

2017

NELF-E is recruited to DNA double-strand break sites to promote transcriptional repression and repair.

Applications

Unspecified application

Species

Unspecified reactive species

Samah W Awwad,Enas R Abu-Zhayia,Noga Guttmann-Raviv,Nabieh Ayoub
View all publications

Product promise

We are committed to supporting your work with high-quality reagents, and we're here for you every step of the way. In the unlikely event that one of our products does not perform as expected, you're protected by our Product Promise.
For full details, please see our Terms & Conditions

Please note: All products are 'FOR RESEARCH USE ONLY. NOT FOR USE IN DIAGNOSTIC OR THERAPEUTIC PROCEDURES'.

For licensing inquiries, please contact partnerships@abcam.com