JavaScript is disabled in your browser. Please enable JavaScript to view this website.
AB216646

Anti-Wilms Tumor Protein antibody [CAN-R9(IHC)-56-2] - BSA and Azide free

Be the first to review this product! Submit a review

|

(11 Publications)

Rabbit Recombinant Monoclonal Wilms Tumor Protein antibody. Carrier free. Suitable for IHC-P, ICC/IF, WB, Flow Cyt (Intra) and reacts with Human, Mouse samples. Cited in 11 publications.

View Alternative Names

Wilms tumor protein, WT33, WT1

12 Images
Immunocytochemistry/ Immunofluorescence - Anti-Wilms Tumor Protein antibody [CAN-R9(IHC)-56-2] - BSA and Azide free (AB216646)
  • ICC/IF

Lab

Immunocytochemistry/ Immunofluorescence - Anti-Wilms Tumor Protein antibody [CAN-R9(IHC)-56-2] - BSA and Azide free (AB216646)

Clone CAN-R9(IHC)-56-2 (ab216646) has been successfully conjugated by Abcam. This image was generated using Anti-Wilms Tumor Protein antibody [CAN-R9(IHC)-56-2] (Alexa Fluor® 647). Please refer to ab202639 for protocol details.

ab202639 staining Wilms Tumor Protein in HepG2 cells. The cells were fixed with 4% formaldehyde (10 min), permeabilized with 0.1% Triton X-100 for 5 minutes and then blocked with 1% BSA/10% normal goat serum/0.3M glycine in 0.1% PBS-Tween for 1h. The cells were then incubated overnight at +4°C with ab202639 at 1/200 dilution (shown in red) and ab195887, Mouse monoclonal to alpha Tubulin (Alexa Fluor® 488), at 1/250 dilution (shown in green). Nuclear DNA was labelled with DAPI (shown in blue).

Image was taken with a confocal microscope (Leica-Microsystems, TCS SP8).

Immunohistochemistry (Formalin/PFA-fixed paraffin-embedded sections) - Anti-Wilms Tumor Protein antibody [CAN-R9(IHC)-56-2] - BSA and Azide free (AB216646)
  • IHC-P

Unknown

Immunohistochemistry (Formalin/PFA-fixed paraffin-embedded sections) - Anti-Wilms Tumor Protein antibody [CAN-R9(IHC)-56-2] - BSA and Azide free (AB216646)

Immunohistochemistry (Formalin/PFA-fixed paraffin-embedded sections) analysis of human fetal tissue labelling Wilms Tumor Protein with unpurified ab89901 at 1/250.

This data was developed using the same antibody clone in a different buffer formulation containing PBS, BSA, glycerol, and sodium azide (ab89901).

Perform heat mediated antigen retrieval with citrate buffer pH 6 before commencing with IHC staining protocol.

Immunohistochemistry (Formalin/PFA-fixed paraffin-embedded sections) - Anti-Wilms Tumor Protein antibody [CAN-R9(IHC)-56-2] - BSA and Azide free (AB216646)
  • IHC-P

Unknown

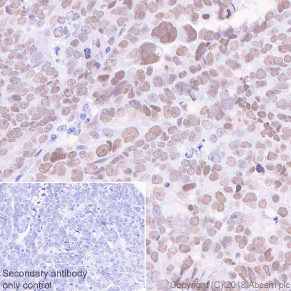
Immunohistochemistry (Formalin/PFA-fixed paraffin-embedded sections) - Anti-Wilms Tumor Protein antibody [CAN-R9(IHC)-56-2] - BSA and Azide free (AB216646)

Immunohistochemistry (Formalin/PFA-fixed paraffin-embedded sections) analysis of human Wilms tumor tissue labelling Wilms Tumor Protein with unpurified ab89901 at 1/250.

This data was developed using the same antibody clone in a different buffer formulation containing PBS, BSA, glycerol, and sodium azide (ab89901).

Perform heat mediated antigen retrieval with citrate buffer pH 6 before commencing with IHC staining protocol.

Flow Cytometry (Intracellular) - Anti-Wilms Tumor Protein antibody [CAN-R9(IHC)-56-2] - BSA and Azide free (AB216646)
  • Flow Cyt (Intra)

Unknown

Flow Cytometry (Intracellular) - Anti-Wilms Tumor Protein antibody [CAN-R9(IHC)-56-2] - BSA and Azide free (AB216646)

Intracellular Flow Cytometry analysis of K-562 (Human chronic myelogenous leukemia lymphoblast) cells labeling Wilms Tumor Protein with ab89901 at 1/200 dilution (0.1μg)/ Red. Cells were fixed with 4% paraformaldehyde and permeabilized with 90% methanol. A Goat anti rabbit IgG (Alexa Fluor® 488, ab150077) at 1/2000 dilution was used as the secondary antibody. Rabbit monoclonal IgG (ab172730) / Black was used as the isotype control. Cells without incubation with primary antibody and secondary antibody / Blue was used as the unlabeled control.

This data was developed using the same antibody clone in a different buffer formulation containing PBS, BSA, glycerol, and sodium azide (ab89901).

Immunocytochemistry/ Immunofluorescence - Anti-Wilms Tumor Protein antibody [CAN-R9(IHC)-56-2] - BSA and Azide free (AB216646)
  • ICC/IF

Unknown

Immunocytochemistry/ Immunofluorescence - Anti-Wilms Tumor Protein antibody [CAN-R9(IHC)-56-2] - BSA and Azide free (AB216646)

Immunocytochemsitry/Immunofluorescence analysis of K562 cells labelling Wilms Tumor Protein (green) with purified ab89901 at 1/50. Cells were fixed with 4% paraformaldehyde. An Alexa Fluor® 488-conjugated goat anti-rabbit IgG (1/200) was used as the secondary antibody. Counterstained with DAPI (blue).

This data was developed using the same antibody clone in a different buffer formulation containing PBS, BSA, glycerol, and sodium azide (ab89901).

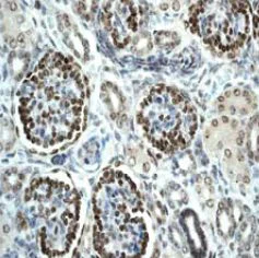
Immunohistochemistry (Formalin/PFA-fixed paraffin-embedded sections) - Anti-Wilms Tumor Protein antibody [CAN-R9(IHC)-56-2] - BSA and Azide free (AB216646)
  • IHC-P

Unknown

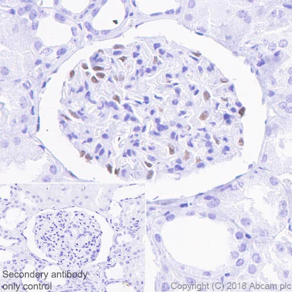
Immunohistochemistry (Formalin/PFA-fixed paraffin-embedded sections) - Anti-Wilms Tumor Protein antibody [CAN-R9(IHC)-56-2] - BSA and Azide free (AB216646)

ab89901 staining Wilms Tumor Protein in paraffin-embedded Human kidney tissue sections by Immunohistochemistry.  Antigen retrieval was by heat mediation using citrate buffer (pH 6.0). Samples were incubated with primary antibody at 1 : 500 dilution (0.49 μg/ml). A ready to use Goat Anti-Rabbit IgG H&L (HRP) was used as the secondary antibody. Nuclear staining on human kidney glomerulus (PMID : 12898605).

This data was developed using the same antibody clone in a different buffer formulation containing PBS, BSA, glycerol, and sodium azide (ab89901).

Immunohistochemistry (Formalin/PFA-fixed paraffin-embedded sections) - Anti-Wilms Tumor Protein antibody [CAN-R9(IHC)-56-2] - BSA and Azide free (AB216646)
  • IHC-P

Unknown

Immunohistochemistry (Formalin/PFA-fixed paraffin-embedded sections) - Anti-Wilms Tumor Protein antibody [CAN-R9(IHC)-56-2] - BSA and Azide free (AB216646)

ab89901 staining Wilms Tumor Protein in paraffin-embedded Human ovarian serous adenocarcinoma tissue sections by Immunohistochemistry.  Antigen retrieval was by heat mediation using citrate buffer (pH 6.0). Samples were incubated with primary antibody at 1 : 500 dilution (0.49 μg/ml). A ready to use Goat Anti-Rabbit IgG H&L (HRP) was used as the secondary antibody. Nuclear staining on human ovarian serous adenocarcinoma (PMID : 11939727).

This data was developed using the same antibody clone in a different buffer formulation containing PBS, BSA, glycerol, and sodium azide (ab89901).

Immunocytochemistry/ Immunofluorescence - Anti-Wilms Tumor Protein antibody [CAN-R9(IHC)-56-2] - BSA and Azide free (AB216646)
  • ICC/IF

Unknown

Immunocytochemistry/ Immunofluorescence - Anti-Wilms Tumor Protein antibody [CAN-R9(IHC)-56-2] - BSA and Azide free (AB216646)

Immunocytochemsitry/Immunofluorescence analysis of K562 cells labelling Wilms Tumor Protein (green) with unpurified ab89901 at 1/50. Cells were fixed with 4% paraformaldehyde. An Alexa Fluor® 488-conjugated goat anti-rabbit IgG (1/200) was used as the secondary antibody. Counterstained with DAPI (blue).

This data was developed using the same antibody clone in a different buffer formulation containing PBS, BSA, glycerol, and sodium azide (ab89901).

Immunocytochemistry/ Immunofluorescence - Anti-Wilms Tumor Protein antibody [CAN-R9(IHC)-56-2] - BSA and Azide free (AB216646)
  • ICC/IF

Lab

Immunocytochemistry/ Immunofluorescence - Anti-Wilms Tumor Protein antibody [CAN-R9(IHC)-56-2] - BSA and Azide free (AB216646)

Clone CAN-R9(IHC)-56-2 (ab216646) has been successfully conjugated by Abcam. This image was generated using Anti-Wilms Tumor Protein antibody [CAN-R9(IHC)-56-2] (Alexa Fluor® 488). Please refer to ab202635 for protocol details.

ab202635 staining Wilms Tumor Protein in HepG2 cells. The cells were fixed with 4% formaldehyde (10 min), permeabilized with 0.1% Triton X-100 for 5 minutes and then blocked with 1% BSA/10% normal goat serum/0.3M glycine in 0.1% PBS-Tween for 1h. The cells were then incubated overnight at +4°C with ab202635 at 1/200 dilution (shown in green) and ab195889, Mouse monoclonal to alpha Tubulin (Alexa Fluor® 594), at 1/250 dilution (shown in red). Nuclear DNA was labelled with DAPI (shown in blue).

Image was taken with a confocal microscope (Leica-Microsystems, TCS SP8).

This product also gave a positive signal under the same testing conditions in HepG2 cells fixed with 100% methanol (5min).

Immunohistochemistry (Formalin/PFA-fixed paraffin-embedded sections) - Anti-Wilms Tumor Protein antibody [CAN-R9(IHC)-56-2] - BSA and Azide free (AB216646)
  • IHC-P

AbReview51230****

Immunohistochemistry (Formalin/PFA-fixed paraffin-embedded sections) - Anti-Wilms Tumor Protein antibody [CAN-R9(IHC)-56-2] - BSA and Azide free (AB216646)

Immunohistochemical analysis of fromaldehyde fixed, paraffin embedded rat testis tissue sections, labelling Wilms Tumor Protein using ab89901. Heat mediated antigen retrival was performed using 10 mM Sodium Citrate and 0.05% Tween 20. Tissue sections were incubated with ab89901 at a 1/50 dilution for 12 hours at 4ºC. The tissues were blocked with 10% Serum for 30 minutes at 25ºC. The secondary used was a Donkey CY3® conjugate at a 1/200 dilution.

This data was developed using the same antibody clone in a different buffer formulation containing PBS, BSA, glycerol, and sodium azide (ab89901).

This image is courtesy of an anonymous Abreview.

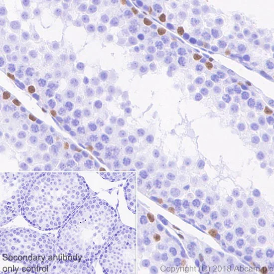
Immunohistochemistry (Formalin/PFA-fixed paraffin-embedded sections) - Anti-Wilms Tumor Protein antibody [CAN-R9(IHC)-56-2] - BSA and Azide free (AB216646)
  • IHC-P

Unknown

Immunohistochemistry (Formalin/PFA-fixed paraffin-embedded sections) - Anti-Wilms Tumor Protein antibody [CAN-R9(IHC)-56-2] - BSA and Azide free (AB216646)

ab89901 staining Wilms Tumor Protein in paraffin-embedded Mouse testis tissue sections by Immunohistochemistry.  Antigen retrieval was by heat mediation using citrate buffer (pH 6.0). Samples were incubated with primary antibody at 1 : 500 dilution (0.49 μg/ml). A ready to use Goat Anti-Rabbit IgG H&L (HRP) was used as the secondary antibody. Nuclear staining on Sertoli cells in mouse testis (PMID : 21863216).

This data was developed using the same antibody clone in a different buffer formulation containing PBS, BSA, glycerol, and sodium azide (ab89901).

Western blot - Anti-Wilms Tumor Protein antibody [CAN-R9(IHC)-56-2] - BSA and Azide free (AB216646)
  • WB

Lab

Western blot - Anti-Wilms Tumor Protein antibody [CAN-R9(IHC)-56-2] - BSA and Azide free (AB216646)

This data was developed using ab89901, the same antibody clone in a different buffer formulation.

Western blot : Rabbit Monoclonal [CAN-R9(IHC)-56-2] to Wilms Tumor Protein ab89901 staining at 1/500 dilution, shown in green; Mouse anti-CANX (ab238078) loading control staining at 1/20,000 dilution, shown in magenta.

A band was observed at 50/61 kDa in Wild-type HAP1 cell lysates with no signal observed at this size in WT1 knockout HAP1 cell line.

To generate this image, samples were run on an SDS-PAGE gel then transferred onto a nitrocellulose membrane. Membranes were blocked in 3pc Milk in TBS-0.1 % Tween® 20 (TBS-T) before incubation with primary antibodies overnight at 4 °C. Blots were washed four times in TBS-T, incubated with secondary antibodies for 1 h at room temperature, washed again four times then imaged.

Secondary antibodies used were Goat anti-Rabbit 800CW & Goat anti-Mouse 680RD at 1/20,000 dilution.

All lanes:

Western blot - Anti-Wilms Tumor Protein antibody [CAN-R9(IHC)-56-2] (<a href='/en-us/products/primary-antibodies/wilms-tumor-protein-antibody-can-r9ihc-56-2-ab89901'>ab89901</a>) at 1/500 dilution

Lane 1:

Wild-type HAP1 at 20 µg

Lane 2:

WT1 knockout HAP1 at 20 µg

Lane 3:

K562 at 20 µg

Lane 4:

SH-SY5Y at 20 µg

Secondary

All lanes:

Goat anti-Rabbit 800CW & Goat anti-Mouse 680RD at 1/20000 dilution

Predicted band size: 50 kDa

Observed band size: 61 kDa

false

  • Unconjugated

    Anti-Wilms Tumor Protein antibody [CAN-R9(IHC)-56-2]

  • 519 FITC

    FITC Anti-Wilms Tumor Protein antibody [CAN-R9(IHC)-56-2]

  • 665 Alexa Fluor® 647

    Alexa Fluor® 647 Anti-Wilms Tumor Protein antibody [CAN-R9(IHC)-56-2]

  • 519 Alexa Fluor® 488

    Alexa Fluor® 488 Anti-Wilms Tumor Protein antibody [CAN-R9(IHC)-56-2]

  • 565 Alexa Fluor® 555

    Alexa Fluor® 555 Anti-Wilms Tumor Protein antibody [CAN-R9(IHC)-56-2]

Key facts

Host species

Rabbit

Clonality

Monoclonal

Clone number

CAN-R9(IHC)-56-2

Isotype

IgG

Carrier free

Yes

Reacts with

Mouse, Human

Applications

WB, ICC/IF, IHC-P, Flow Cyt (Intra)

applications

Immunogen

The exact immunogen used to generate this antibody is proprietary information.

Specificity

Expression levels of the target protein vary with sample type and some optimisation may be required.

Reactivity data

{ "title": "Reactivity Data", "filters": { "stats": ["", "Species", "Dilution Info", "Notes"], "tabs": { "all-applications": {"fullname" : "All Applications", "shortname": "All Applications"}, "IHCP" : {"fullname" : "Immunohistochemistry (Formalin/PFA-fixed paraffin-embedded sections)", "shortname":"IHC-P"}, "ICCIF" : {"fullname" : "Immunocytochemistry/ Immunofluorescence", "shortname":"ICC/IF"}, "IP" : {"fullname" : "Immunoprecipitation", "shortname":"IP"}, "WB" : {"fullname" : "Western blot", "shortname":"WB"}, "FlowCytIntra" : {"fullname" : "Flow Cytometry (Intracellular)", "shortname":"Flow Cyt (Intra)"} }, "product-promise": { "all": "all", "testedAndGuaranteed": "tested", "guaranteed": "expected", "predicted": "predicted", "notRecommended": "not-recommended" } }, "values": { "Human": { "IHCP-species-checked": "testedAndGuaranteed", "IHCP-species-dilution-info": "", "IHCP-species-notes": "<p></p> Perform heat-mediated antigen retrieval with citrate buffer pH 6 before commencing with IHC staining protocol.", "ICCIF-species-checked": "testedAndGuaranteed", "ICCIF-species-dilution-info": "", "ICCIF-species-notes": "<p></p>", "IP-species-checked": "notRecommended", "IP-species-dilution-info": "", "IP-species-notes": "<p></p>", "WB-species-checked": "testedAndGuaranteed", "WB-species-dilution-info": "", "WB-species-notes": "<p></p>", "FlowCytIntra-species-checked": "testedAndGuaranteed", "FlowCytIntra-species-dilution-info": "", "FlowCytIntra-species-notes": "<p><a href='/en-us/products/primary-antibodies/rabbit-igg-monoclonal-epr25a-isotype-control-low-endotoxin-azide-free-ab199376'>ab199376</a> - Rabbit monoclonal IgG, is suitable for use as an isotype control with this antibody.</p>" }, "Mouse": { "IHCP-species-checked": "guaranteed", "IHCP-species-dilution-info": "", "IHCP-species-notes": "", "ICCIF-species-checked": "guaranteed", "ICCIF-species-dilution-info": "", "ICCIF-species-notes": "", "IP-species-checked": "notRecommended", "IP-species-dilution-info": "", "IP-species-notes": "<p></p>", "WB-species-checked": "testedAndGuaranteed", "WB-species-dilution-info": "", "WB-species-notes": "<p></p>", "FlowCytIntra-species-checked": "guaranteed", "FlowCytIntra-species-dilution-info": "", "FlowCytIntra-species-notes": "" } } }

Product details

ab216646 is the carrier-free version of ab89901.

Patented technology
Our RabMAb® technology is a patented hybridoma-based technology for making rabbit monoclonal antibodies. For details on our patents, please refer to RabMAb® patents.

What are the advantages of a recombinant monoclonal antibody?
This product is a recombinant monoclonal antibody, which offers several advantages including:

  • - High batch-to-batch consistency and reproducibility
  • - Improved sensitivity and specificity
  • - Long-term security of supply
  • - Animal-free batch production

For more information, read more on recombinant antibodies.

Conjugation ready
Our carrier-free antibodies are typically supplied in a PBS-only formulation, purified and free of BSA, sodium azide and glycerol. This conjugation-ready format is designed for use with fluorochromes, metal isotopes, oligonucleotides, and enzymes, which makes them ideal for antibody labelling, functional and cell-based assays, flow-based assays (e.g. mass cytometry) and Multiplex Imaging applications.

Use our conjugation kits for antibody conjugates that are ready-to-use in as little as 20 minutes with 1 minute hands-on-time and 100% antibody recovery: available for fluorescent dyes, HRP, biotin and gold.

Compatibility
This product is compatible with the Maxpar® Antibody Labeling Kit from Fluidigm, without the need for antibody preparation. Maxpar® is a trademark of Fluidigm Canada Inc.

Properties and storage information

Form
Liquid
Purification technique
Affinity purification Protein A
Storage buffer
pH: 7.2 - 7.4 Constituents: PBS
Shipped at conditions
Blue Ice
Appropriate short-term storage conditions
+4°C
Appropriate long-term storage conditions
+4°C
Storage information
Do Not Freeze

Supplementary information

This supplementary information is collated from multiple sources and compiled automatically.

The Wilms Tumor Protein commonly known as WT1 is a critical transcription factor implicated in several cellular processes. It is also identified by other names such as Wilms Tumor Suppressor and WT33. WT1 protein has a mass of approximately 52-54 kDa. It is broadly expressed in various tissues with high levels in the developing kidney gonads and certain mesothelial tissues. Its expression plays an important role in organ development and cellular differentiation.
Biological function summary

The WT1 protein regulates gene expression by binding to specific DNA sequences influencing cell growth and differentiation. WT1 acts as a part of larger protein complexes interacting with other transcription factors and co-regulators. It plays essential roles in the development of the urogenital system and in the maintenance of mesothelial cells. The WT1 protein is essential for normal kidney and gonadal development highlighting its significance in embryogenesis.

Pathways

WT1 integration involves multiple cellular signaling cascades. It is notably engaged in the Wnt and PI3K/AKT signaling pathways which are critical for cell proliferation and survival. In these pathways WT1 interaction with proteins such as β-catenin and PI3K subunits modulates cell fate decisions. This involvement in signaling networks exemplifies its importance in cellular homeostasis and response to environmental cues.

WT1 mutations or dysregulation associate strongly with specific pathologies particularly Wilms tumor and acute myeloid leukemia (AML). In Wilms tumor WT1 acts as a tumor suppressor gene and its loss of function leads to tumorigenesis in the kidney. In AML aberrant WT1 expression affects normal hematopoiesis and is often linked to poor prognosis. Interaction with proteins like BSA in immunohistochemistry diagnostics highlights WT1’s significance as a biomarker for these diseases.

Product protocols

For this product, it's our understanding that no specific protocols are required. You can visit:

Target data

Transcription factor that plays an important role in cellular development and cell survival (PubMed : 7862533). Recognizes and binds to the DNA sequence 5'-GCG(T/G)GGGCG-3' (PubMed : 17716689, PubMed : 25258363, PubMed : 7862533). Regulates the expression of numerous target genes, including EPO. Plays an essential role for development of the urogenital system. It has a tumor suppressor as well as an oncogenic role in tumor formation. Function may be isoform-specific : isoforms lacking the KTS motif may act as transcription factors (PubMed : 15520190). Isoforms containing the KTS motif may bind mRNA and play a role in mRNA metabolism or splicing (PubMed : 16934801). Isoform 1 has lower affinity for DNA, and can bind RNA (PubMed : 19123921).
See full target information WT1

Publications (11)

Recent publications for all applications. Explore the full list and refine your search

American journal of physiology. Renal physiology 327:F91-F102 PubMed38721662

2024

Validation of an organ mapping antibody panel for cyclical immunofluorescence microscopy on normal human kidneys.

Applications

Unspecified application

Species

Unspecified reactive species

Maya Brewer,Lukasz G Migas,Kelly A Clouthier,Jamie L Allen,David M Anderson,Ellie Pingry,Melissa Farrow,Ellen M Quardokus,Jeffrey M Spraggins,Raf Van de Plas,Mark P de Caestecker

Nature biotechnology 32:1026-35 PubMed25240927

2014

Generation of the epicardial lineage from human pluripotent stem cells.

Applications

ICC/IF

Species

Unspecified reactive species

Alec D Witty,Anton Mihic,Roger Y Tam,Stephanie A Fisher,Alexander Mikryukov,Molly S Shoichet,Ren-Ke Li,Steven J Kattman,Gordon Keller

Nature communications 5:4054 PubMed24905805

2014

Dynamic haematopoietic cell contribution to the developing and adult epicardium.

Applications

IHC-Fr

Species

Mouse

Gemma M Balmer,Sveva Bollini,Karina N Dubé,Juan Pedro Martinez-Barbera,Owen Williams,Paul R Riley

Development (Cambridge, England) 141:2271-8 PubMed24803588

2014

WT1 regulates the development of the posterior taste field.

Applications

ICC

Species

Mouse

Yankun Gao,Eneda Toska,Dane Denmon,Stefan G E Roberts,Kathryn F Medler

American journal of physiology. Renal physiology 305:F1288-97 PubMed23986513

2013

CCR2 antagonist CCX140-B provides renal and glycemic benefits in diabetic transgenic human CCR2 knockin mice.

Applications

Unspecified application

Species

Mouse

Timothy Sullivan,Zhenhua Miao,Daniel J Dairaghi,Antoni Krasinski,Yu Wang,Bin N Zhao,Trageen Baumgart,Linda S Ertl,Andrew Pennell,Lisa Seitz,Jay Powers,Ruiping Zhao,Solomon Ungashe,Zheng Wei,Landin Boring,Chia-Lin Tsou,Israel Charo,Robert D Berahovich,Thomas J Schall,Juan C Jaen

PloS one 8:e69193 PubMed23874911

2013

The modified selenenyl amide, M-hydroxy ebselen, attenuates diabetic nephropathy and diabetes-associated atherosclerosis in ApoE/GPx1 double knockout mice.

Applications

IHC-P, IHC-Fr

Species

Mouse, Mouse

Sih Min Tan,Arpeeta Sharma,Derek Y C Yuen,Nada Stefanovic,Guy Krippner,Govindasamy Mugesh,Zhonglin Chai,Judy B de Haan

Journal of the American Society of Nephrology : JA 24:1088-102 PubMed23641056

2013

Reversibility of structural and functional damage in a model of advanced diabetic nephropathy.

Applications

Unspecified application

Species

Unspecified reactive species

Warangkana Pichaiwong,Kelly L Hudkins,Tomasz Wietecha,Tri Q Nguyen,Chiraporn Tachaudomdach,Wei Li,Bardia Askari,Takahisa Kobayashi,Kevin D O'Brien,Jeffrey W Pippin,Stuart J Shankland,Charles E Alpers

Human molecular genetics 22:74-83 PubMed23042785

2012

Control of epigenetic states by WT1 via regulation of de novo DNA methyltransferase 3A.

Applications

IHC-P, WB

Species

Human, Human

Marianna Szemes,Anthony R Dallosso,Zsombor Melegh,Thomas Curry,Yifan Li,Caroline Rivers,James Uney,Ann-Sophie Mägdefrau,Karolin Schwiderski,Ji H Park,Keith W Brown,Jayasha Shandilya,Stefan G E Roberts,Karim Malik

Kidney international 82:759-70 PubMed22622498

2012

The receptor of advanced glycation end products plays a central role in advanced oxidation protein products-induced podocyte apoptosis.

Applications

Unspecified application

Species

Unspecified reactive species

Li Li Zhou,Wei Cao,Chao Xie,Jianwei Tian,Zhanmei Zhou,Qiugen Zhou,Ping Zhu,Aiqing Li,Youhua Liu,Toshio Miyata,Fan Fan Hou,Jing Nie

Nature medicine 18:111-9 PubMed22138751

2011

Reversible cell-cycle entry in adult kidney podocytes through regulated control of telomerase and Wnt signaling.

Applications

ICC/IF

Species

Mouse

Marina Shkreli,Kavita Y Sarin,Matthew F Pech,Natalia Papeta,Woody Chang,Stephanie A Brockman,Peggie Cheung,Eunice Lee,Frank Kuhnert,Jean L Olson,Calvin J Kuo,Ali G Gharavi,Vivette D D'Agati,Steven E Artandi
View all publications

Product promise

We are committed to supporting your work with high-quality reagents, and we're here for you every step of the way. In the unlikely event that one of our products does not perform as expected, you're protected by our Product Promise.
For full details, please see our Terms & Conditions

Please note: All products are 'FOR RESEARCH USE ONLY. NOT FOR USE IN DIAGNOSTIC OR THERAPEUTIC PROCEDURES'.

For licensing inquiries, please contact partnerships@abcam.com