JavaScript is disabled in your browser. Please enable JavaScript to view this website.
AB267377

Anti-Wilms Tumor Protein antibody [EPR23963-116]

  • BOND RX™ Validated
  • 20ul selling size
  • Recombinant
  • KO Validated
  • Advanced Validation
  • RabMAb
  • What is this?

Be the first to review this product! Submit a review

|

(12 Publications)

Rabbit Recombinant Monoclonal Wilms Tumor Protein antibody. Suitable for ICC/IF, mIHC, WB, IHC-P and reacts with Human, Mouse, Rat samples. Cited in 12 publications.

View Alternative Names

Wilms tumor protein, WT33, WT1

14 Images
Immunocytochemistry/ Immunofluorescence - Anti-Wilms Tumor Protein antibody [EPR23963-116] (AB267377)
  • ICC/IF

Unknown

Immunocytochemistry/ Immunofluorescence - Anti-Wilms Tumor Protein antibody [EPR23963-116] (AB267377)

Immunofluorescent analysis of 4% paraformaldehyde-fixed, 0.1% TritonX-100 permeabilized OVCAR-3 (human ovary adenocarcinoma epithelial cell) cells labelling Wilms tumor protein with ab267377 at 1/50 dilution, followed by ab150077 Goat Anti-Rabbit IgG H&L (Alexa Fluor® 488) antibody at 1/1000 dilution (Green). Confocal image showing nuclear staining in OVCAR-3 cells. Negative control : LnCap (PMID : 11299720). ab195889 Anti-alpha Tubulin mouse monoclonal antibody - Microtubule Marker (Alexa Fluor® 594) was used to counterstain tubulin at 1/200 dilution (Red). The Nuclear counterstain was DAPI (Blue).

Secondary antibody only control : Secondary antibody is ab150077 Goat Anti-Rabbit IgG H&L (Alexa Fluor® 488) at 1/1000 dilution.

Multiplex immunohistochemistry - Anti-Wilms Tumor Protein antibody [EPR23963-116] (AB267377)
  • mIHC

Supplier Data

Multiplex immunohistochemistry - Anti-Wilms Tumor Protein antibody [EPR23963-116] (AB267377)

Multiplex immunohistochemical analysis of formalin/PFA-fixed paraffin-embedded Human testis tissue sections labeling DKKL1 with ab316308 at a 1/2000 dilutions (B), Wilms Tumor Protein with ab275970 at a 1/1200 dilutions (C), and SAGE1 with ab233388 at a 1/250 dilutions (D). Opal Polymer HRP Ms + Rb was used as a secondary antibody.

Panel A : merged staining of anti-DKKL1 (red; Opal™ 570), anti-Wilms Tumor Protein (green; Opal™ 520) and anti-SAGE1 (gray; Opal™ 690) on human testis.
Panel B : anti-DKKL1 staining mature sperm cells in human testis.
Panel C : anti-Wilms Tumor Protein staining sertoli cells in human testis.
Panel D : anti-SAGE1 staining spermatogonia in human testis.

Heat mediated antigen retrieval with Tris-EDTA buffer (pH 9.0, epitope retrieval solution2) for 20 mins. The section was incubated in three rounds of staining : in the order of ab316308, ab275970, and ab233388 for 30 mins at room temperature. Each round was followed by a separate fluorescent tyramide signal amplification system.

DAPI was used as a nuclear counterstain.

The immunostaining was performed on a Leica Biosystems BOND® RX instrument with an Opal™ 4-color kit. Image acquisition was performed with Leica SP8 confocal microscope.

This data was developed using ab275970, the same antibody clone in a different buffer formulation.

Immunohistochemistry (Formalin/PFA-fixed paraffin-embedded sections) - Anti-Wilms Tumor Protein antibody [EPR23963-116] (AB267377)
  • IHC-P

Unknown

Immunohistochemistry (Formalin/PFA-fixed paraffin-embedded sections) - Anti-Wilms Tumor Protein antibody [EPR23963-116] (AB267377)

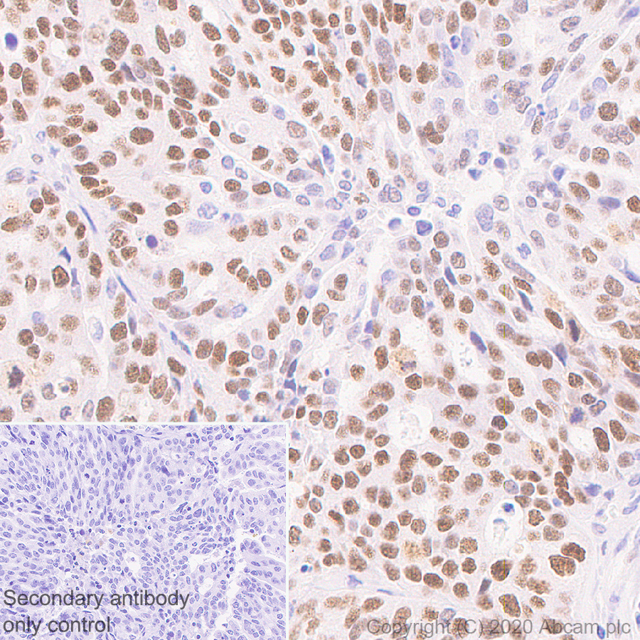
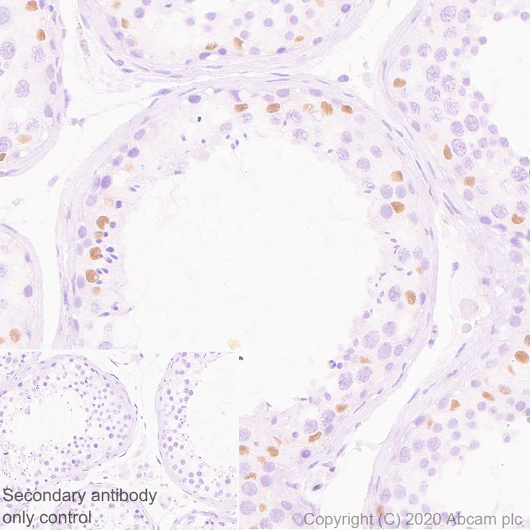
Immunohistochemical analysis of paraffin-embedded human testis tissue labeling Wilms tumor protein with ab267377 at 1/500 dilution followed by a ready to use Goat Anti-Rabbit IgG H&L (HRP). Nuclear staining on Sertoli cells of human testis (PMID : 17229929). The section was incubated with ab267377 for 30 mins at room temperature. The immunostaining was performed on a Leica Biosystems BOND® RX instrument. Counterstained with Hematoxylin.

Secondary antibody only control : Secondary antibody is a ready to use Goat Anti-Rabbit IgG H&L (HRP).

Heat mediated antigen retrieval with Tris-EDTA buffer (pH 9.0, epitope retrieval solution2) for 20 mins.

Immunohistochemistry (Formalin/PFA-fixed paraffin-embedded sections) - Anti-Wilms Tumor Protein antibody [EPR23963-116] (AB267377)
  • IHC-P

Unknown

Immunohistochemistry (Formalin/PFA-fixed paraffin-embedded sections) - Anti-Wilms Tumor Protein antibody [EPR23963-116] (AB267377)

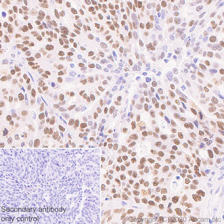
Immunohistochemical analysis of paraffin-embedded human ovarian carcinoma tissue labeling Wilms tumor protein with ab267377 at 1/500 dilution followed by a ready to use Goat Anti-Rabbit IgG H&L (HRP). Nuclear staining on human ovarian carcinoma (PMID : 16547468). The section was incubated with ab267377 for 30 mins at room temperature. The immunostaining was performed on a Leica Biosystems BOND® RX instrument. Counterstained with Hematoxylin.

Secondary antibody only control : Secondary antibody is a ready to use Goat Anti-Rabbit IgG H&L (HRP).

Heat mediated antigen retrieval with Tris-EDTA buffer (pH 9.0, epitope retrieval solution2) for 20 mins.

Immunohistochemistry (Formalin/PFA-fixed paraffin-embedded sections) - Anti-Wilms Tumor Protein antibody [EPR23963-116] (AB267377)
  • IHC-P

Unknown

Immunohistochemistry (Formalin/PFA-fixed paraffin-embedded sections) - Anti-Wilms Tumor Protein antibody [EPR23963-116] (AB267377)

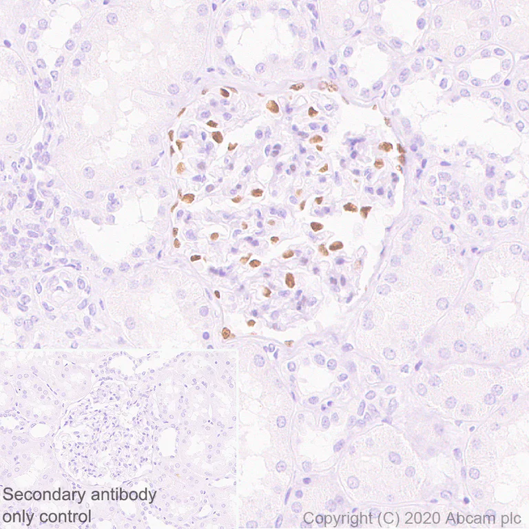
Immunohistochemical analysis of paraffin-embedded human kidney tissue labeling Wilms tumor protein with ab267377 at 1/500 dilution followed by a ready to use LeicaDS9800 (Bond® Polymer Refine Detection). Nuclear staining on human renal glomeruli (PMID : 27922671). The section was incubated with ab267377 for 30 mins at room temperature. The immunostaining was performed on a Leica Biosystems BOND®RX instrument. Counterstained with Hematoxylin.

Secondary antibody only control : Secondary antibody is a ready to use LeicaDS9800 (Bond® Polymer Refine Detection).

Heat mediated antigen retrieval with Tris-EDTA buffer (pH 9.0, epitope retrieval solution2) for 20 mins.

Multiplex immunohistochemistry - Anti-Wilms Tumor Protein antibody [EPR23963-116] (AB267377)
  • mIHC

Lab

Multiplex immunohistochemistry - Anti-Wilms Tumor Protein antibody [EPR23963-116] (AB267377)

Immunohistochemistry analysis of Formalin/PFA-fixed paraffin-embedded sections Rat testis tissue labelling Lin28A with ab279647 at 1 : 1000 dilution (B), Wilms Tumor Protein with ab267377 at 1 : 500 dilution (C) and DKKL1 with ab316308 at 1 : 2000 dilution (D). Opal Polymer HRP Ms + Rb was used as a secondary antibody, and DAPI was used for a nuclear counter stain. Heat mediated antigen retrieval with Tris-EDTA buffer (pH 9.0, epitope retrieval solution2) for 20 mins.

Panel A : merged staining of anti-Lin28A (green; Opal™520), anti-Wilms Tumor Protein (magenta; Opal™690) and anti-DKKL1 (gray; Opal™570) on rat testis.

Panel B : anti-Lin28A staining undifferentiated spermatogonia in rat testis.

Panel C : ant-Wilms Tumor Protein staining Sertoli cells in rat testis.

Panel D : ant-DKKL11 staining mature sperm cells in rat testis.

Nuclear DNA was labeled with DAPI (shown in blue).

The section was incubated in three rounds of staining : in the order of ab279647, ab267377 and ab316308 for 30 mins at room temperature. Each round was followed by a separate fluorescent tyramide signal amplification system.

The immunostaining was performed on a Leica Biosystems BOND® RX instrument with an Opal™ 4-color kit. Image acquisition was performed with Leica SP8 confocal microscope.

Immunohistochemistry (Formalin/PFA-fixed paraffin-embedded sections) - Anti-Wilms Tumor Protein antibody [EPR23963-116] (AB267377)
  • IHC-P

Unknown

Immunohistochemistry (Formalin/PFA-fixed paraffin-embedded sections) - Anti-Wilms Tumor Protein antibody [EPR23963-116] (AB267377)

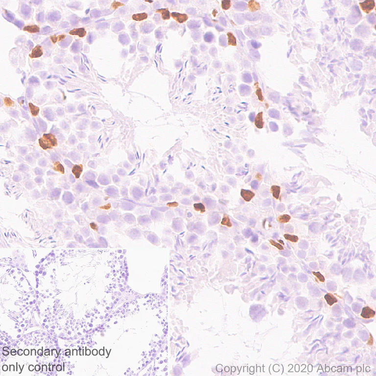
Immunohistochemical analysis of paraffin-embedded rat testis tissue labeling Wilms tumor protein with ab267377 at 1/500 dilution followed by a ready to use LeicaDS9800 (Bond® Polymer Refine Detection). Nuclear staining on Sertoli cells of rat testis (PMID : 17229929). The section was incubated with ab267377 for 30 mins at room temperature. The immunostaining was performed on a Leica Biosystems BOND® RX instrument Counterstained with Hematoxylin.

Secondary antibody only control : Secondary antibody is a ready to use LeicaDS9800 (Bond® Polymer Refine Detection) was used.

Heat mediated antigen retrieval with Tris-EDTA buffer (pH 9.0, epitope retrieval solution2) for 20 mins.

Immunohistochemistry (Formalin/PFA-fixed paraffin-embedded sections) - Anti-Wilms Tumor Protein antibody [EPR23963-116] (AB267377)
  • IHC-P

Unknown

Immunohistochemistry (Formalin/PFA-fixed paraffin-embedded sections) - Anti-Wilms Tumor Protein antibody [EPR23963-116] (AB267377)

Immunohistochemical analysis of paraffin-embedded mouse testis tissue labeling Wilms tumor protein with ab267377 at 1/500 dilution followed by a ready to use LeicaDS9800 (Bond® Polymer Refine Detection). Nuclear staining on Sertoli cells of mouse testis (PMID : 17229929). The section was incubated with ab267377 for 30 mins at room temperature. The immunostaining was performed on a Leica Biosystems BOND® RX instrument. Counterstained with Hematoxylin.

Secondary antibody only control : Secondary antibody is a ready to use LeicaDS9800 (Bond® Polymer Refine Detection).

Heat mediated antigen retrieval with Tris-EDTA buffer (pH 9.0, epitope retrieval solution2) for 20 mins.

Multiplex immunohistochemistry - Anti-Wilms Tumor Protein antibody [EPR23963-116] (AB267377)
  • mIHC

Lab

Multiplex immunohistochemistry - Anti-Wilms Tumor Protein antibody [EPR23963-116] (AB267377)

Multiplex immunohistochemistry analysis of formalin/PFA-fixed paraffin-embedded mouse testis tissue staining Laminin alpha 1 with ab307542 at a 1/100 dilution, ab267377 anti-Wilms tumor protein used at 1/2000 dilution and ab323317 anti-Oligodendrocyte Specific Protein used at a 1/500 dilution.

Panel A : anti-Laminin alpha 1 (green; Opal™520), anti-Wilms tumor protein (magenta; Opal™690) and anti Oligodendrocyte Specific Protein (gray; Opal™570) on mouse testis.

Panel B : anti-Laminin alpha 1 staining basement membrane in mouse testis.

Panel C : anti-Wilms tumor protein staining Sertoli cells in mouse testis.

Panel D : anti-Oligodendrocyte Specific Protein staining apical Sertoli cell crypts in mouse testis.

Nuclear DNA was labeled with DAPI (shown in blue).

The section was incubated in three rounds of staining : in the order of ab307542, ab267377 and ab323317 for 30 mins at room temperature. Each round was followed by a separate fluorescent tyramide signal amplification system.

The immunostaining was performed on a Leica Biosystems BOND® RX instrument with an Opal™ 4-color kit. Image acquisition was performed with Leica SP8 confocal microscope.

Heat mediated antigen retrieval was performed with Tris-EDTA buffer (pH 9.0, Epitope Retrieval Solution2) for 20 mins.

Multiplex immunohistochemistry - Anti-Wilms Tumor Protein antibody [EPR23963-116] (AB267377)
  • mIHC

Lab

Multiplex immunohistochemistry - Anti-Wilms Tumor Protein antibody [EPR23963-116] (AB267377)

Multiplex immunohistochemistry analysis of formalin/PFA-fixed paraffin-embedded rat testis tissue staining Laminin alpha 1 with ab307542 at a 1/100 dilution, ab267377 anti-Wilms tumor protein used at 1/2000 dilution and ab323317 anti-Oligodendrocyte Specific Protein used at a 1/500 dilution.

Panel A : anti-Laminin alpha 1 (green; Opal™520), anti-Wilms tumor protein (magenta; Opal™690) and anti Oligodendrocyte Specific Protein (gray; Opal™570) on rat testis.

Panel B : anti-Laminin alpha 1 staining basement membrane in rat testis.

Panel C : anti-Wilms tumor protein staining Sertoli cells in rat testis.

Panel D : anti-Oligodendrocyte Specific Protein staining apical Sertoli cell crypts in rat testis.

Nuclear DNA was labeled with DAPI (shown in blue).

The section was incubated in three rounds of staining : in the order of ab307542, ab267377 and ab323317 for 30 mins at room temperature. Each round was followed by a separate fluorescent tyramide signal amplification system.

The immunostaining was performed on a Leica Biosystems BOND® RX instrument with an Opal™ 4-color kit. Image acquisition was performed with Leica SP8 confocal microscope.

Heat mediated antigen retrieval was performed with Tris-EDTA buffer (pH 9.0, Epitope Retrieval Solution2) for 20 mins.

Multiplex immunohistochemistry - Anti-Wilms Tumor Protein antibody [EPR23963-116] (AB267377)
  • mIHC

Lab

Multiplex immunohistochemistry - Anti-Wilms Tumor Protein antibody [EPR23963-116] (AB267377)

Immunohistochemistry analysis of Formalin/PFA-fixed paraffin-embedded sections Mouse testis tissue labelling Lin28A with ab279647 at 1 : 1000 dilution (B), Wilms Tumor Protein with ab267377 at 1 : 500 dilution (C) and DKKL1 with ab316308 at 1 : 2000 dilution (D). Opal Polymer HRP Ms + Rb was used as a secondary antibody, and DAPI was used for a nuclear counter stain. Heat mediated antigen retrieval with Tris-EDTA buffer (pH 9.0, epitope retrieval solution2) for 20 mins.

Panel A : merged staining of anti-Lin28A (green; Opal™520), anti-Wilms Tumor Protein (magenta; Opal™690) and anti-DKKL1 (gray; Opal™570) on rat testis.

Panel B : anti-Lin28A staining undifferentiated spermatogonia in rat testis.

Panel C : ant-Wilms Tumor Protein staining Sertoli cells in rat testis.

Panel D : ant-DKKL11 staining mature sperm cells in rat testis.

Nuclear DNA was labeled with DAPI (shown in blue).

The section was incubated in three rounds of staining : in the order of ab279647, ab267377 and ab316308 for 30 mins at room temperature. Each round was followed by a separate fluorescent tyramide signal amplification system.

The immunostaining was performed on a Leica Biosystems BOND® RX instrument with an Opal™ 4-color kit. Image acquisition was performed with Leica SP8 confocal microscope.

Western blot - Anti-Wilms Tumor Protein antibody [EPR23963-116] (AB267377)
  • WB

Lab

Western blot - Anti-Wilms Tumor Protein antibody [EPR23963-116] (AB267377)

Lanes 1 - 4 : Merged signal (red and green). Green - ab267377 observed at 50-60 kDa. Red - loading control ab8245 (Mouse anti-GAPDH antibody [6C5]) observed at 37 kDa.

ab267377 was shown to react with Wilms Tumor Protein in wild-type HAP1 cells in Western blot with loss of signal observed in Wt1 knockout sample. Wild-type HAP1 and Wt1 knockout cell lysates were subjected to SDS-PAGE. Membranes were blocked in 3 % milk in TBS-T (0.1 % Tween®) before incubation with ab267377 and ab8245 (Mouse anti-GAPDH antibody [6C5]) overnight at 4 °C at a 1 in 1000 dilution and a 1 in 20000 dilution respectively. Blots were incubated with Goat anti-Rabbit IgG H&L (IRDye® 800CW) preabsorbed (ab216773) and Goat anti-Mouse IgG H&L (IRDye® 680RD) preabsorbed (ab216776) secondary antibodies at 1 in 20000 dilution for 1 h at room temperature before imaging.

All lanes:

Western blot - Anti-Wilms Tumor Protein antibody [EPR23963-116] (ab267377) at 1/1000 dilution

Lane 1:

Wild-type HAP1 cell lysate at 20 µg

Lane 2:

Wt1 knockout HAP1 cell lysate at 20 µg

Lane 3:

K-562 (Human chronic myelogenous leukemia lymphoblast cell line) whole cell lysate at 20 µg

Lane 4:

SH-SY5Y (Human neuroblastoma cell line from bone marrow) whole cell lysate at 20 µg

Predicted band size: 49 kDa

Observed band size: 50-60 kDa

false

Western blot - Anti-Wilms Tumor Protein antibody [EPR23963-116] (AB267377)
  • WB

Lab

Western blot - Anti-Wilms Tumor Protein antibody [EPR23963-116] (AB267377)

Blocking and diluting buffer and concentration : 5% NFDM/TBST.

The molecular weight observed is consistent with what has been described in the literature (PMID : 10438524).

Negative control : LNCaP (PMID : 11299720).

Exposure time : 26 seconds.

All lanes:

Western blot - Anti-Wilms Tumor Protein antibody [EPR23963-116] (ab267377) at 1/1000 dilution

Lane 1:

K-562 (human chronic myelogenous leukemia lymphoblast) whole cell lysate at 20 µg

Lane 2:

NIH:OVCAR-3 (human ovary adenocarcinoma epithelial cell) whole cell lysate at 20 µg

Lane 3:

LNCaP (human prostate carcinoma epithelial cell) whole cell lysate at 20 µg

Secondary

All lanes:

Goat Anti-Rabbit IgG, (H+L), Peroxidase conjugated (<a href='/en-us/products/secondary-antibodies/goat-rabbit-igg-h-l-hrp-ab97051'>ab97051</a>) at 1/50000 dilution

Predicted band size: 49 kDa

Observed band size: 52 kDa,54 kDa

false

Western blot - Anti-Wilms Tumor Protein antibody [EPR23963-116] (AB267377)
  • WB

Lab

Western blot - Anti-Wilms Tumor Protein antibody [EPR23963-116] (AB267377)

Blocking and diluting buffer and concentration : 5% NFDM/TBST.

The molecular weight observed is consistent with what has been described in the literature (PMID : 10438524).

Exposure time : 3 minutes.

All lanes:

Western blot - Anti-Wilms Tumor Protein antibody [EPR23963-116] (ab267377) at 1/1000 dilution

Lane 1:

Mouse testis tissue lysate at 20 µg

Lane 2:

Rat testis tissue lysate at 20 µg

Secondary

All lanes:

Goat Anti-Rabbit IgG, (H+L), Peroxidase conjugated (<a href='/en-us/products/secondary-antibodies/goat-rabbit-igg-h-l-hrp-ab97051'>ab97051</a>) at 1/50000 dilution

Predicted band size: 49 kDa

Observed band size: 52 kDa,54 kDa

false

  • 519 Alexa Fluor® 488

    Alexa Fluor® 488 Anti-Wilms Tumor Protein antibody [EPR23963-116]

  • Carrier free

    Anti-Wilms Tumor Protein antibody [EPR23963-116] - BSA and Azide free

  • 665 Alexa Fluor® 647

    Alexa Fluor® 647 Anti-Wilms Tumor Protein antibody [EPR23963-116]

Key facts

Host species

Rabbit

Clonality

Monoclonal

Clone number

EPR23963-116

Isotype

IgG

Carrier free

No

Reacts with

Mouse, Rat, Human

Applications

WB, ICC/IF, mIHC, IHC-P

applications

Immunogen

The exact immunogen used to generate this antibody is proprietary information.

Reactivity data

{ "title": "Reactivity Data", "filters": { "stats": ["", "Species", "Dilution Info", "Notes"], "tabs": { "all-applications": {"fullname" : "All Applications", "shortname": "All Applications"}, "ICCIF" : {"fullname" : "Immunocytochemistry/ Immunofluorescence", "shortname":"ICC/IF"}, "mIHC" : {"fullname" : "Multiplex immunohistochemistry", "shortname":"mIHC"}, "IP" : {"fullname" : "Immunoprecipitation", "shortname":"IP"}, "FlowCyt" : {"fullname" : "Flow Cytometry", "shortname":"Flow Cyt"}, "WB" : {"fullname" : "Western blot", "shortname":"WB"}, "IHCFr" : {"fullname" : "Immunohistochemistry (Frozen sections)", "shortname":"IHC-Fr"}, "IHCP" : {"fullname" : "Immunohistochemistry (Formalin/PFA-fixed paraffin-embedded sections)", "shortname":"IHC-P"} }, "product-promise": { "all": "all", "testedAndGuaranteed": "tested", "guaranteed": "expected", "predicted": "predicted", "notRecommended": "not-recommended" } }, "values": { "Human": { "ICCIF-species-checked": "testedAndGuaranteed", "ICCIF-species-dilution-info": "1/50", "ICCIF-species-notes": "<p></p>", "mIHC-species-checked": "testedAndGuaranteed", "mIHC-species-dilution-info": "", "mIHC-species-notes": "<p></p>", "IP-species-checked": "notRecommended", "IP-species-dilution-info": "", "IP-species-notes": "<p></p>", "FlowCyt-species-checked": "notRecommended", "FlowCyt-species-dilution-info": "", "FlowCyt-species-notes": "<p></p>", "WB-species-checked": "testedAndGuaranteed", "WB-species-dilution-info": "1/1000", "WB-species-notes": "<p></p>", "IHCFr-species-checked": "notRecommended", "IHCFr-species-dilution-info": "", "IHCFr-species-notes": "<p></p>", "IHCP-species-checked": "testedAndGuaranteed", "IHCP-species-dilution-info": "1/500", "IHCP-species-notes": "<p></p>" }, "Mouse": { "ICCIF-species-checked": "guaranteed", "ICCIF-species-dilution-info": "", "ICCIF-species-notes": "", "mIHC-species-checked": "testedAndGuaranteed", "mIHC-species-dilution-info": "1/500", "mIHC-species-notes": "<p></p>", "IP-species-checked": "notRecommended", "IP-species-dilution-info": "", "IP-species-notes": "<p></p>", "FlowCyt-species-checked": "notRecommended", "FlowCyt-species-dilution-info": "", "FlowCyt-species-notes": "<p></p>", "WB-species-checked": "testedAndGuaranteed", "WB-species-dilution-info": "1/1000", "WB-species-notes": "<p></p>", "IHCFr-species-checked": "notRecommended", "IHCFr-species-dilution-info": "", "IHCFr-species-notes": "<p></p>", "IHCP-species-checked": "testedAndGuaranteed", "IHCP-species-dilution-info": "1/500", "IHCP-species-notes": "<p></p>" }, "Rat": { "ICCIF-species-checked": "guaranteed", "ICCIF-species-dilution-info": "", "ICCIF-species-notes": "", "mIHC-species-checked": "testedAndGuaranteed", "mIHC-species-dilution-info": "1/500", "mIHC-species-notes": "<p></p>", "IP-species-checked": "notRecommended", "IP-species-dilution-info": "", "IP-species-notes": "<p></p>", "FlowCyt-species-checked": "notRecommended", "FlowCyt-species-dilution-info": "", "FlowCyt-species-notes": "<p></p>", "WB-species-checked": "testedAndGuaranteed", "WB-species-dilution-info": "1/1000", "WB-species-notes": "<p></p>", "IHCFr-species-checked": "notRecommended", "IHCFr-species-dilution-info": "", "IHCFr-species-notes": "<p></p>", "IHCP-species-checked": "testedAndGuaranteed", "IHCP-species-dilution-info": "1/500", "IHCP-species-notes": "<p></p>" } } }

Product details

Patented technology
Our RabMAb® technology is a patented hybridoma-based technology for making rabbit monoclonal antibodies. For details on our patents, please refer to RabMAb® patents.

What are the advantages of a recombinant monoclonal antibody?
This product is a recombinant monoclonal antibody, which offers several advantages including:

  • - High batch-to-batch consistency and reproducibility
  • - Improved sensitivity and specificity
  • - Long-term security of supply
  • - Animal-free batch production

For more information, read more on recombinant antibodies.

Properties and storage information

Form
Liquid
Purification technique
Affinity purification Protein A
Storage buffer
Preservative: 0.01% Sodium azide Constituents: PBS, 40% Glycerol (glycerin, glycerine), 0.05% BSA
Shipped at conditions
Blue Ice
Appropriate short-term storage duration
1-2 weeks
Appropriate short-term storage conditions
+4°C
Appropriate long-term storage conditions
-20°C
Aliquoting information
Upon delivery aliquot
Storage information
Avoid freeze / thaw cycle

Supplementary information

This supplementary information is collated from multiple sources and compiled automatically.

The Wilms Tumor Protein commonly known as WT1 is a critical transcription factor implicated in several cellular processes. It is also identified by other names such as Wilms Tumor Suppressor and WT33. WT1 protein has a mass of approximately 52-54 kDa. It is broadly expressed in various tissues with high levels in the developing kidney gonads and certain mesothelial tissues. Its expression plays an important role in organ development and cellular differentiation.
Biological function summary

The WT1 protein regulates gene expression by binding to specific DNA sequences influencing cell growth and differentiation. WT1 acts as a part of larger protein complexes interacting with other transcription factors and co-regulators. It plays essential roles in the development of the urogenital system and in the maintenance of mesothelial cells. The WT1 protein is essential for normal kidney and gonadal development highlighting its significance in embryogenesis.

Pathways

WT1 integration involves multiple cellular signaling cascades. It is notably engaged in the Wnt and PI3K/AKT signaling pathways which are critical for cell proliferation and survival. In these pathways WT1 interaction with proteins such as β-catenin and PI3K subunits modulates cell fate decisions. This involvement in signaling networks exemplifies its importance in cellular homeostasis and response to environmental cues.

WT1 mutations or dysregulation associate strongly with specific pathologies particularly Wilms tumor and acute myeloid leukemia (AML). In Wilms tumor WT1 acts as a tumor suppressor gene and its loss of function leads to tumorigenesis in the kidney. In AML aberrant WT1 expression affects normal hematopoiesis and is often linked to poor prognosis. Interaction with proteins like BSA in immunohistochemistry diagnostics highlights WT1’s significance as a biomarker for these diseases.

Product protocols

For this product, it's our understanding that no specific protocols are required. You can visit:

Target data

Transcription factor that plays an important role in cellular development and cell survival (PubMed : 7862533). Recognizes and binds to the DNA sequence 5'-GCG(T/G)GGGCG-3' (PubMed : 17716689, PubMed : 25258363, PubMed : 7862533). Regulates the expression of numerous target genes, including EPO. Plays an essential role for development of the urogenital system. It has a tumor suppressor as well as an oncogenic role in tumor formation. Function may be isoform-specific : isoforms lacking the KTS motif may act as transcription factors (PubMed : 15520190). Isoforms containing the KTS motif may bind mRNA and play a role in mRNA metabolism or splicing (PubMed : 16934801). Isoform 1 has lower affinity for DNA, and can bind RNA (PubMed : 19123921).
See full target information WT1

Publications (12)

Recent publications for all applications. Explore the full list and refine your search

Cell division 20:22 PubMed41039618

2025

FGF4 drives tumor progression in triple-negative breast cancer via IL6/STAT3-mediated macrophage M2 polarization and immune suppression.

Applications

Unspecified application

Species

Unspecified reactive species

Xuanhe Zhang,Shushan Zhang,Yuanyuan Han

Renal failure 47:2490200 PubMed40260530

2025

Circ-0069561 as a novel diagnostic biomarker for progression of diabetic kidney disease.

Applications

Unspecified application

Species

Unspecified reactive species

Chaoyi Chen,Xinran Liu,Sai Zhu,Yukai Wang,Yu Ma,Ziyun Hu,Yonggui Wu,Ling Jiang

The British journal of nutrition 133:1-10 PubMed39575829

2024

Butyrate attenuates high-fat diet-induced glomerulopathy through GPR43-Sirt3 pathway.

Applications

Unspecified application

Species

Unspecified reactive species

Ying Shi,Lin Xing,Ruoyi Zheng,Xin Luo,Fangzhi Yue,Xingwei Xiang,Anqi Qiu,Junyan Xie,Ryan Russell,Dongmei Zhang

Stem cell research & therapy 15:239 PubMed39080783

2024

Effects of xenogeneic transplantation of umbilical cord-derived mesenchymal stem cells combined with irbesartan on renal podocyte damage in diabetic rats.

Applications

Unspecified application

Species

Unspecified reactive species

Jing Meng,Xiao Gao,Xiaojuan Liu,Wen Zheng,Yang Wang,Yinghao Wang,Zhenquan Sun,Xiaoxing Yin,Xueyan Zhou

Biomaterials research 28:0013 PubMed38617751

2024

The Inhibition of Fibrosis and Inflammation in Obstructive Kidney Injury via the miR-122-5p/SOX2 Axis Using USC-Exos.

Applications

Unspecified application

Species

Unspecified reactive species

Wenjun Lu,Yujun Guo,Hengchen Liu,Tingting Zhang,Mingzhao Zhang,Xiangqi Li,Zhou Li,Manyu Shi,Zhitao Jiang,Zheng Zhao,Shulong Yang,Zhaozhu Li

International journal of molecular sciences 25: PubMed38203724

2024

Zearalenone Induces Blood-Testis Barrier Damage through Endoplasmic Reticulum Stress-Mediated Paraptosis of Sertoli Cells in Goats.

Applications

Unspecified application

Species

Unspecified reactive species

Tengfei Liu,Gengchen Liu,Yinghuan Xu,Yuqi Huang,Yunxuan Zhang,Yongjie Wu,Yongping Xu

Autophagy 20:1072-1097 PubMed38050963

2023

deficiency exacerbates podocyte injury and autophagy disorder by targeting in diabetic nephropathy.

Applications

Unspecified application

Species

Unspecified reactive species

Xueqi Liu,Ling Jiang,Hanxu Zeng,Li Gao,Shanshan Guo,Chaoyi Chen,Xinran Liu,Mengya Zhang,Lijuan Ma,Yuanyuan Li,Xiangming Qi,Yonggui Wu

Renal failure 45:2253924 PubMed37724538

2023

Crocin improves the renal autophagy in rat experimental membranous nephropathy via regulating the SIRT1/Nrf2/HO-1 signaling pathway.

Applications

Unspecified application

Species

Unspecified reactive species

Hongyan Liu,Hong Cheng,Hongyun Wang,Qiong Wang,Jun Yuan

Frontiers in medicine 10:1095344 PubMed36744132

2023

LDP alleviates TKI-induced proteinuria through reversing the expression of RelA in renal tissues.

Applications

Unspecified application

Species

Unspecified reactive species

Zhou Fu,Su Zhang,Xiaoying Gu,Tao Guan,Chengmeng Wang,Jiaqi Zhang,Yun Wang,Hua Guo,Lu Wang,Ti Zhang

Journal of the American Society of Nephrology : JASN 33:718-730 PubMed35140116

2022

A Neutralizing IL-11 Antibody Improves Renal Function and Increases Lifespan in a Mouse Model of Alport Syndrome.

Applications

Unspecified application

Species

Unspecified reactive species

Anissa A Widjaja,Shamini G Shekeran,Eleonora Adami,Joyce G Wei Ting,Jessie Tan,Sivakumar Viswanathan,Sze Yun Lim,Puay Hoon Tan,Norbert Hübner,Thomas Coffman,Stuart A Cook
View all publications

Product promise

We are committed to supporting your work with high-quality reagents, and we're here for you every step of the way. In the unlikely event that one of our products does not perform as expected, you're protected by our Product Promise.
For full details, please see our Terms & Conditions

Please note: All products are 'FOR RESEARCH USE ONLY. NOT FOR USE IN DIAGNOSTIC OR THERAPEUTIC PROCEDURES'.

For licensing inquiries, please contact partnerships@abcam.com