JavaScript is disabled in your browser. Please enable JavaScript to view this website.
AB275970

Anti-Wilms Tumor Protein antibody [EPR23963-116] - BSA and Azide free

  • BOND RX™ Validated
  • Recombinant
  • KO Validated
  • Advanced Validation
  • RabMAb
  • What is this?

5

(1 Review)

|

(0 Publication)

Rabbit Recombinant Monoclonal Wilms Tumor Protein antibody. Carrier free. Suitable for mIHC, ICC/IF, WB, IHC-P and reacts with Mouse, Rat, Human samples.

View Alternative Names

Wilms tumor protein, WT33, WT1

12 Images
Immunocytochemistry/ Immunofluorescence - Anti-Wilms Tumor Protein antibody [EPR23963-116] - BSA and Azide free (AB275970)
  • ICC/IF

Unknown

Immunocytochemistry/ Immunofluorescence - Anti-Wilms Tumor Protein antibody [EPR23963-116] - BSA and Azide free (AB275970)

This data was developed using ab267377, the same antibody clone in a different buffer formulation.

Immunofluorescent analysis of 4% paraformaldehyde-fixed, 0.1% TritonX-100 permeabilized OVCAR-3 (human ovary adenocarcinoma epithelial cell) cells labelling Wilms tumor protein with ab267377 at 1/50 dilution, followed by ab150077 Goat Anti-Rabbit IgG H&L (Alexa Fluor® 488) antibody at 1/1000 dilution (Green). Confocal image showing nuclear staining in OVCAR-3 cells. Negative control : LnCap (PMID : 11299720). ab195889 Anti-alpha Tubulin mouse monoclonal antibody - Microtubule Marker (Alexa Fluor® 594) was used to counterstain tubulin at 1/200 dilution (Red). The Nuclear counterstain was DAPI (Blue).

Secondary antibody only control : Secondary antibody is ab150077 Goat Anti-Rabbit IgG H&L (Alexa Fluor® 488) at 1/1000 dilution.

Multiplex immunohistochemistry - Anti-Wilms Tumor Protein antibody [EPR23963-116] - BSA and Azide free (AB275970)
  • mIHC

Supplier Data

Multiplex immunohistochemistry - Anti-Wilms Tumor Protein antibody [EPR23963-116] - BSA and Azide free (AB275970)

Multiplex immunohistochemical analysis of formalin/PFA-fixed paraffin-embedded Human testis tissue sections labeling DKKL1 with ab316308 at a 1/2000 dilutions (B), Wilms Tumor Protein with ab275970 at a 1/1200 dilutions (C), and SAGE1 with ab233388 at a 1/250 dilutions (D). Opal Polymer HRP Ms + Rb was used as a secondary antibody.

Panel A : merged staining of anti-DKKL1 (red; Opal™ 570), anti-Wilms Tumor Protein (green; Opal™ 520) and anti-SAGE1 (gray; Opal™ 690) on human testis.
Panel B : anti-DKKL1 staining mature sperm cells in human testis.
Panel C : anti-Wilms Tumor Protein staining sertoli cells in human testis.
Panel D : anti-SAGE1 staining spermatogonia in human testis.

Heat mediated antigen retrieval with Tris-EDTA buffer (pH 9.0, epitope retrieval solution2) for 20 mins. The section was incubated in three rounds of staining : in the order of ab316308, ab275970, and ab233388 for 30 mins at room temperature. Each round was followed by a separate fluorescent tyramide signal amplification system.

DAPI was used as a nuclear counterstain.

The immunostaining was performed on a Leica Biosystems BOND® RX instrument with an Opal™ 4-color kit. Image acquisition was performed with Leica SP8 confocal microscope.

Immunohistochemistry (Formalin/PFA-fixed paraffin-embedded sections) - Anti-Wilms Tumor Protein antibody [EPR23963-116] - BSA and Azide free (AB275970)
  • IHC-P

Unknown

Immunohistochemistry (Formalin/PFA-fixed paraffin-embedded sections) - Anti-Wilms Tumor Protein antibody [EPR23963-116] - BSA and Azide free (AB275970)

This data was developed using ab267377, the same antibody clone in a different buffer formulation.

Immunohistochemical analysis of paraffin-embedded human testis tissue labeling Wilms tumor protein with ab267377 at 1/500 dilution followed by a ready to use Goat Anti-Rabbit IgG H&L (HRP). Nuclear staining on Sertoli cells of human testis (PMID : 17229929). The section was incubated with ab267377 for 30 mins at room temperature. The immunostaining was performed on a Leica Biosystems BOND® RX instrument. Counterstained with Hematoxylin.

Secondary antibody only control : Secondary antibody is a ready to use Goat Anti-Rabbit IgG H&L (HRP).

Heat mediated antigen retrieval with Tris-EDTA buffer (pH 9.0, epitope retrieval solution2) for 20 mins.

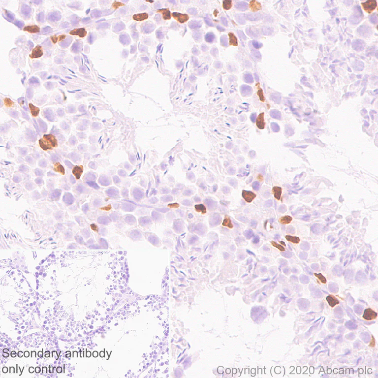
Immunohistochemistry (Formalin/PFA-fixed paraffin-embedded sections) - Anti-Wilms Tumor Protein antibody [EPR23963-116] - BSA and Azide free (AB275970)
  • IHC-P

Unknown

Immunohistochemistry (Formalin/PFA-fixed paraffin-embedded sections) - Anti-Wilms Tumor Protein antibody [EPR23963-116] - BSA and Azide free (AB275970)

This data was developed using ab267377, the same antibody clone in a different buffer formulation.

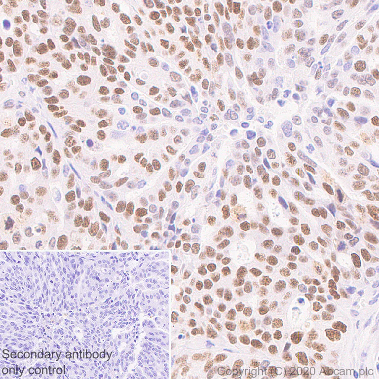
Immunohistochemical analysis of paraffin-embedded human ovarian carcinoma tissue labeling Wilms tumor protein with ab267377 at 1/500 dilution followed by a ready to use Goat Anti-Rabbit IgG H&L (HRP). Nuclear staining on human ovarian carcinoma (PMID : 16547468). The section was incubated with ab267377 for 30 mins at room temperature. The immunostaining was performed on a Leica Biosystems BOND® RX instrument. Counterstained with Hematoxylin.

Secondary antibody only control : Secondary antibody is a ready to use Goat Anti-Rabbit IgG H&L (HRP).

Heat mediated antigen retrieval with Tris-EDTA buffer (pH 9.0, epitope retrieval solution2) for 20 mins.

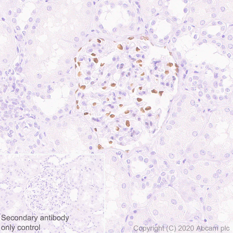
Immunohistochemistry (Formalin/PFA-fixed paraffin-embedded sections) - Anti-Wilms Tumor Protein antibody [EPR23963-116] - BSA and Azide free (AB275970)
  • IHC-P

Unknown

Immunohistochemistry (Formalin/PFA-fixed paraffin-embedded sections) - Anti-Wilms Tumor Protein antibody [EPR23963-116] - BSA and Azide free (AB275970)

This data was developed using ab267377, the same antibody clone in a different buffer formulation.

Immunohistochemical analysis of paraffin-embedded human kidney tissue labeling Wilms tumor protein with ab267377 at 1/500 dilution followed by a ready to use LeicaDS9800 (Bond® Polymer Refine Detection). Nuclear staining on human renal glomeruli (PMID : 27922671). The section was incubated with ab267377 for 30 mins at room temperature. The immunostaining was performed on a Leica Biosystems BOND®RX instrument. Counterstained with Hematoxylin.

Secondary antibody only control : Secondary antibody is a ready to use LeicaDS9800 (Bond® Polymer Refine Detection).

Heat mediated antigen retrieval with Tris-EDTA buffer (pH 9.0, epitope retrieval solution2) for 20 mins.

Multiplex immunohistochemistry - Anti-Wilms Tumor Protein antibody [EPR23963-116] - BSA and Azide free (AB275970)
  • mIHC

Lab

Multiplex immunohistochemistry - Anti-Wilms Tumor Protein antibody [EPR23963-116] - BSA and Azide free (AB275970)

This data was developed using ab267377, the same antibody clone in a different buffer formulation.

Immunohistochemistry analysis of Formalin/PFA-fixed paraffin-embedded sections Rat testis tissue labelling Lin28A with ab279647 at 1 : 1000 dilution (B), Wilms Tumor Protein with ab267377 at 1 : 500 dilution (C) and DKKL1 with ab316308 at 1 : 2000 dilution (D). Opal Polymer HRP Ms + Rb was used as a secondary antibody, and DAPI was used for a nuclear counter stain. Heat mediated antigen retrieval with Tris-EDTA buffer (pH 9.0, epitope retrieval solution2) for 20 mins.

Panel A : merged staining of anti-Lin28A (green; Opal™520), anti-Wilms Tumor Protein (magenta; Opal™690) and anti-DKKL1 (gray; Opal™570) on rat testis.

Panel B : anti-Lin28A staining undifferentiated spermatogonia in rat testis.

Panel C : ant-Wilms Tumor Protein staining Sertoli cells in rat testis.

Panel D : ant-DKKL11 staining mature sperm cells in rat testis.

Nuclear DNA was labeled with DAPI (shown in blue).

The section was incubated in three rounds of staining : in the order of ab279647, ab267377 and ab316308 for 30 mins at room temperature. Each round was followed by a separate fluorescent tyramide signal amplification system.

The immunostaining was performed on a Leica Biosystems BOND® RX instrument with an Opal™ 4-color kit. Image acquisition was performed with Leica SP8 confocal microscope.

Immunohistochemistry (Formalin/PFA-fixed paraffin-embedded sections) - Anti-Wilms Tumor Protein antibody [EPR23963-116] - BSA and Azide free (AB275970)
  • IHC-P

Unknown

Immunohistochemistry (Formalin/PFA-fixed paraffin-embedded sections) - Anti-Wilms Tumor Protein antibody [EPR23963-116] - BSA and Azide free (AB275970)

This data was developed using ab267377, the same antibody clone in a different buffer formulation.

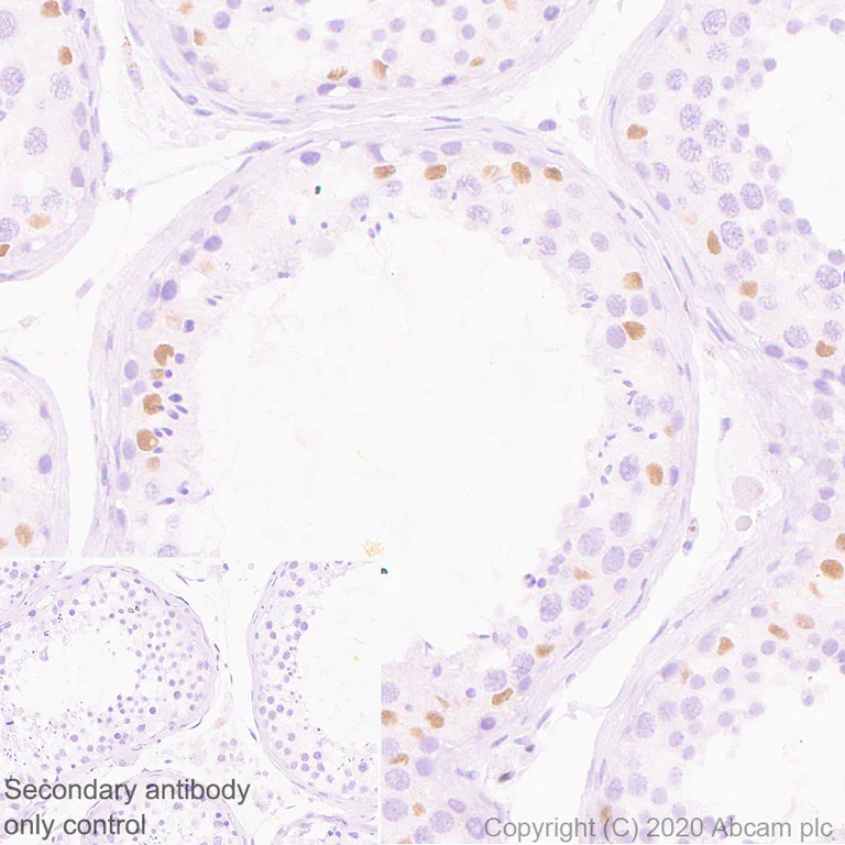
Immunohistochemical analysis of paraffin-embedded rat testis tissue labeling Wilms tumor protein with ab267377 at 1/500 dilution followed by a ready to use LeicaDS9800 (Bond® Polymer Refine Detection). Nuclear staining on Sertoli cells of rat testis (PMID : 17229929). The section was incubated with ab267377 for 30 mins at room temperature. The immunostaining was performed on a Leica Biosystems BOND® RX instrument Counterstained with Hematoxylin.

Secondary antibody only control : Secondary antibody is a ready to use LeicaDS9800 (Bond® Polymer Refine Detection) was used.

Heat mediated antigen retrieval with Tris-EDTA buffer (pH 9.0, epitope retrieval solution2) for 20 mins.

Immunohistochemistry (Formalin/PFA-fixed paraffin-embedded sections) - Anti-Wilms Tumor Protein antibody [EPR23963-116] - BSA and Azide free (AB275970)
  • IHC-P

Unknown

Immunohistochemistry (Formalin/PFA-fixed paraffin-embedded sections) - Anti-Wilms Tumor Protein antibody [EPR23963-116] - BSA and Azide free (AB275970)

This data was developed using ab267377, the same antibody clone in a different buffer formulation.

Immunohistochemical analysis of paraffin-embedded mouse testis tissue labeling Wilms tumor protein with ab267377 at 1/500 dilution followed by a ready to use LeicaDS9800 (Bond® Polymer Refine Detection). Nuclear staining on Sertoli cells of mouse testis (PMID : 17229929). The section was incubated with ab267377 for 30 mins at room temperature. The immunostaining was performed on a Leica Biosystems BOND® RX instrument. Counterstained with Hematoxylin.

Secondary antibody only control : Secondary antibody is a ready to use LeicaDS9800 (Bond® Polymer Refine Detection).

Heat mediated antigen retrieval with Tris-EDTA buffer (pH 9.0, epitope retrieval solution2) for 20 mins.

Multiplex immunohistochemistry - Anti-Wilms Tumor Protein antibody [EPR23963-116] - BSA and Azide free (AB275970)
  • mIHC

Lab

Multiplex immunohistochemistry - Anti-Wilms Tumor Protein antibody [EPR23963-116] - BSA and Azide free (AB275970)

This data was developed using ab267377, the same antibody clone in a different buffer formulation.

Immunohistochemistry analysis of Formalin/PFA-fixed paraffin-embedded sections Mouse testis tissue labelling Lin28A with ab279647 at 1 : 1000 dilution (B), Wilms Tumor Protein with ab267377 at 1 : 500 dilution (C) and DKKL1 with ab316308 at 1 : 2000 dilution (D). Opal Polymer HRP Ms + Rb was used as a secondary antibody, and DAPI was used for a nuclear counter stain. Heat mediated antigen retrieval with Tris-EDTA buffer (pH 9.0, epitope retrieval solution2) for 20 mins.

Panel A : merged staining of anti-Lin28A (green; Opal™520), anti-Wilms Tumor Protein (magenta; Opal™690) and anti-DKKL1 (gray; Opal™570) on rat testis.

Panel B : anti-Lin28A staining undifferentiated spermatogonia in rat testis.

Panel C : ant-Wilms Tumor Protein staining Sertoli cells in rat testis.

Panel D : ant-DKKL11 staining mature sperm cells in rat testis.

Nuclear DNA was labeled with DAPI (shown in blue).

The section was incubated in three rounds of staining : in the order of ab279647, ab267377 and ab316308 for 30 mins at room temperature. Each round was followed by a separate fluorescent tyramide signal amplification system.

The immunostaining was performed on a Leica Biosystems BOND® RX instrument with an Opal™ 4-color kit. Image acquisition was performed with Leica SP8 confocal microscope.

Western blot - Anti-Wilms Tumor Protein antibody [EPR23963-116] - BSA and Azide free (AB275970)
  • WB

Lab

Western blot - Anti-Wilms Tumor Protein antibody [EPR23963-116] - BSA and Azide free (AB275970)

This data was developed using the same antibody clone in a different buffer formulation (ab267377).

Lanes 1 - 4 : Merged signal (red and green). Green - ab267377 observed at 50-60 kDa. Red - loading control ab8245 (Mouse anti-GAPDH antibody [6C5]) observed at 37 kDa.

ab267377 was shown to react with Wilms Tumor Protein in wild-type HAP1 cells in Western blot with loss of signal observed in Wt1 knockout sample. Wild-type HAP1 and Wt1 knockout cell lysates were subjected to SDS-PAGE. Membranes were blocked in 3 % milk in TBS-T (0.1 % Tween®) before incubation with ab267377 and ab8245 (Mouse anti-GAPDH antibody [6C5]) overnight at 4 °C at a 1 in 1000 dilution and a 1 in 20000 dilution respectively. Blots were incubated with Goat anti-Rabbit IgG H&L (IRDye® 800CW) preabsorbed (ab216773) and Goat anti-Mouse IgG H&L (IRDye® 680RD) preabsorbed (ab216776) secondary antibodies at 1 in 20000 dilution for 1 h at room temperature before imaging.

All lanes:

Western blot - Anti-Wilms Tumor Protein antibody [EPR23963-116] (<a href='/en-us/products/primary-antibodies/wilms-tumor-protein-antibody-epr23963-116-ab267377'>ab267377</a>) at 1/1000 dilution

Lane 1:

Wild-type HAP1 cell lysate at 20 µg

Lane 2:

Wt1 knockout HAP1 cell lysate at 20 µg

Lane 3:

K-562 (Human chronic myelogenous leukemia lymphoblast cell line) whole cell lysate at 20 µg

Lane 4:

SH-SY5Y (Human neuroblastoma cell line from bone marrow) whole cell lysate at 20 µg

Predicted band size: 49 kDa

Observed band size: 50-60 kDa

false

Western blot - Anti-Wilms Tumor Protein antibody [EPR23963-116] - BSA and Azide free (AB275970)
  • WB

Lab

Western blot - Anti-Wilms Tumor Protein antibody [EPR23963-116] - BSA and Azide free (AB275970)

This data was developed using ab267377, the same antibody clone in a different buffer formulation.

Blocking and diluting buffer and concentration : 5% NFDM/TBST.

The molecular weight observed is consistent with what has been described in the literature (PMID : 10438524).

Negative control : LNCaP (PMID : 11299720).

Exposure time : 26 seconds.

All lanes:

Western blot - Anti-Wilms Tumor Protein antibody [EPR23963-116] (<a href='/en-us/products/primary-antibodies/wilms-tumor-protein-antibody-epr23963-116-ab267377'>ab267377</a>) at 1/1000 dilution

Lane 1:

K-562 (human chronic myelogenous leukemia lymphoblast) whole cell lysate at 20 µg

Lane 2:

NIH:OVCAR-3 (human ovary adenocarcinoma epithelial cell) whole cell lysate at 20 µg

Lane 3:

LNCaP (human prostate carcinoma epithelial cell) whole cell lysate at 20 µg

Secondary

All lanes:

Goat Anti-Rabbit IgG, (H+L), Peroxidase conjugated (<a href='/en-us/products/secondary-antibodies/goat-rabbit-igg-h-l-hrp-ab97051'>ab97051</a>) at 1/50000 dilution

Predicted band size: 49 kDa

Observed band size: 52 kDa,54 kDa

false

Western blot - Anti-Wilms Tumor Protein antibody [EPR23963-116] - BSA and Azide free (AB275970)
  • WB

Lab

Western blot - Anti-Wilms Tumor Protein antibody [EPR23963-116] - BSA and Azide free (AB275970)

This data was developed using ab267377, the same antibody clone in a different buffer formulation.

Blocking and diluting buffer and concentration : 5% NFDM/TBST.

The molecular weight observed is consistent with what has been described in the literature (PMID : 10438524).

Exposure time : 3 minutes.

All lanes:

Western blot - Anti-Wilms Tumor Protein antibody [EPR23963-116] (<a href='/en-us/products/primary-antibodies/wilms-tumor-protein-antibody-epr23963-116-ab267377'>ab267377</a>) at 1/1000 dilution

Lane 1:

Mouse testis tissue lysate at 20 µg

Lane 2:

Rat testis tissue lysate at 20 µg

Secondary

All lanes:

Goat Anti-Rabbit IgG, (H+L), Peroxidase conjugated (<a href='/en-us/products/secondary-antibodies/goat-rabbit-igg-h-l-hrp-ab97051'>ab97051</a>) at 1/50000 dilution

Predicted band size: 49 kDa

Observed band size: 52 kDa,54 kDa

false

  • Unconjugated

    Anti-Wilms Tumor Protein antibody [EPR23963-116]

  • 519 Alexa Fluor® 488

    Alexa Fluor® 488 Anti-Wilms Tumor Protein antibody [EPR23963-116]

  • 665 Alexa Fluor® 647

    Alexa Fluor® 647 Anti-Wilms Tumor Protein antibody [EPR23963-116]

Key facts

Host species

Rabbit

Clonality

Monoclonal

Clone number

EPR23963-116

Isotype

IgG

Carrier free

Yes

Reacts with

Mouse, Rat, Human

Applications

WB, mIHC, ICC/IF, IHC-P

applications

Immunogen

The exact immunogen used to generate this antibody is proprietary information.

Reactivity data

{ "title": "Reactivity Data", "filters": { "stats": ["", "Species", "Dilution Info", "Notes"], "tabs": { "all-applications": {"fullname" : "All Applications", "shortname": "All Applications"}, "mIHC" : {"fullname" : "Multiplex immunohistochemistry", "shortname":"mIHC"}, "ICCIF" : {"fullname" : "Immunocytochemistry/ Immunofluorescence", "shortname":"ICC/IF"}, "IP" : {"fullname" : "Immunoprecipitation", "shortname":"IP"}, "FlowCyt" : {"fullname" : "Flow Cytometry", "shortname":"Flow Cyt"}, "WB" : {"fullname" : "Western blot", "shortname":"WB"}, "IHCFr" : {"fullname" : "Immunohistochemistry (Frozen sections)", "shortname":"IHC-Fr"}, "IHCP" : {"fullname" : "Immunohistochemistry (Formalin/PFA-fixed paraffin-embedded sections)", "shortname":"IHC-P"} }, "product-promise": { "all": "all", "testedAndGuaranteed": "tested", "guaranteed": "expected", "predicted": "predicted", "notRecommended": "not-recommended" } }, "values": { "Human": { "mIHC-species-checked": "testedAndGuaranteed", "mIHC-species-dilution-info": "1/1200", "mIHC-species-notes": "<p></p>", "ICCIF-species-checked": "testedAndGuaranteed", "ICCIF-species-dilution-info": "", "ICCIF-species-notes": "<p></p>", "IP-species-checked": "notRecommended", "IP-species-dilution-info": "", "IP-species-notes": "<p></p>", "FlowCyt-species-checked": "notRecommended", "FlowCyt-species-dilution-info": "", "FlowCyt-species-notes": "<p></p>", "WB-species-checked": "testedAndGuaranteed", "WB-species-dilution-info": "", "WB-species-notes": "<p></p>", "IHCFr-species-checked": "notRecommended", "IHCFr-species-dilution-info": "", "IHCFr-species-notes": "<p></p>", "IHCP-species-checked": "testedAndGuaranteed", "IHCP-species-dilution-info": "", "IHCP-species-notes": "<p></p>" }, "Mouse": { "mIHC-species-checked": "testedAndGuaranteed", "mIHC-species-dilution-info": "", "mIHC-species-notes": "<p></p>", "ICCIF-species-checked": "guaranteed", "ICCIF-species-dilution-info": "", "ICCIF-species-notes": "", "IP-species-checked": "notRecommended", "IP-species-dilution-info": "", "IP-species-notes": "<p></p>", "FlowCyt-species-checked": "notRecommended", "FlowCyt-species-dilution-info": "", "FlowCyt-species-notes": "<p></p>", "WB-species-checked": "testedAndGuaranteed", "WB-species-dilution-info": "", "WB-species-notes": "<p></p>", "IHCFr-species-checked": "notRecommended", "IHCFr-species-dilution-info": "", "IHCFr-species-notes": "<p></p>", "IHCP-species-checked": "testedAndGuaranteed", "IHCP-species-dilution-info": "", "IHCP-species-notes": "<p></p>" }, "Rat": { "mIHC-species-checked": "testedAndGuaranteed", "mIHC-species-dilution-info": "", "mIHC-species-notes": "<p></p>", "ICCIF-species-checked": "guaranteed", "ICCIF-species-dilution-info": "", "ICCIF-species-notes": "", "IP-species-checked": "notRecommended", "IP-species-dilution-info": "", "IP-species-notes": "<p></p>", "FlowCyt-species-checked": "notRecommended", "FlowCyt-species-dilution-info": "", "FlowCyt-species-notes": "<p></p>", "WB-species-checked": "testedAndGuaranteed", "WB-species-dilution-info": "", "WB-species-notes": "<p></p>", "IHCFr-species-checked": "notRecommended", "IHCFr-species-dilution-info": "", "IHCFr-species-notes": "<p></p>", "IHCP-species-checked": "testedAndGuaranteed", "IHCP-species-dilution-info": "", "IHCP-species-notes": "<p></p>" } } }

Product details

ab275970 is the carrier-free version of ab267377.

Patented technology
Our RabMAb® technology is a patented hybridoma-based technology for making rabbit monoclonal antibodies. For details on our patents, please refer to RabMAb® patents.

What are the advantages of a recombinant monoclonal antibody?
This product is a recombinant monoclonal antibody, which offers several advantages including:

  • - High batch-to-batch consistency and reproducibility
  • - Improved sensitivity and specificity
  • - Long-term security of supply
  • - Animal-free batch production

For more information, read more on recombinant antibodies.

Conjugation ready
Our carrier-free antibodies are typically supplied in a PBS-only formulation, purified and free of BSA, sodium azide and glycerol. This conjugation-ready format is designed for use with fluorochromes, metal isotopes, oligonucleotides, and enzymes, which makes them ideal for antibody labelling, functional and cell-based assays, flow-based assays (e.g. mass cytometry) and Multiplex Imaging applications.

Use our conjugation kits for antibody conjugates that are ready-to-use in as little as 20 minutes with 1 minute hands-on-time and 100% antibody recovery: available for fluorescent dyes, HRP, biotin and gold.

Compatibility
This product is compatible with the Maxpar® Antibody Labeling Kit from Fluidigm, without the need for antibody preparation. Maxpar® is a trademark of Fluidigm Canada Inc.

Properties and storage information

Form
Liquid
Purification technique
Affinity purification Protein A
Storage buffer
Constituents: PBS
Shipped at conditions
Blue Ice
Appropriate short-term storage conditions
+4°C
Appropriate long-term storage conditions
+4°C

Supplementary information

This supplementary information is collated from multiple sources and compiled automatically.

The Wilms Tumor Protein commonly known as WT1 is a critical transcription factor implicated in several cellular processes. It is also identified by other names such as Wilms Tumor Suppressor and WT33. WT1 protein has a mass of approximately 52-54 kDa. It is broadly expressed in various tissues with high levels in the developing kidney gonads and certain mesothelial tissues. Its expression plays an important role in organ development and cellular differentiation.
Biological function summary

The WT1 protein regulates gene expression by binding to specific DNA sequences influencing cell growth and differentiation. WT1 acts as a part of larger protein complexes interacting with other transcription factors and co-regulators. It plays essential roles in the development of the urogenital system and in the maintenance of mesothelial cells. The WT1 protein is essential for normal kidney and gonadal development highlighting its significance in embryogenesis.

Pathways

WT1 integration involves multiple cellular signaling cascades. It is notably engaged in the Wnt and PI3K/AKT signaling pathways which are critical for cell proliferation and survival. In these pathways WT1 interaction with proteins such as β-catenin and PI3K subunits modulates cell fate decisions. This involvement in signaling networks exemplifies its importance in cellular homeostasis and response to environmental cues.

WT1 mutations or dysregulation associate strongly with specific pathologies particularly Wilms tumor and acute myeloid leukemia (AML). In Wilms tumor WT1 acts as a tumor suppressor gene and its loss of function leads to tumorigenesis in the kidney. In AML aberrant WT1 expression affects normal hematopoiesis and is often linked to poor prognosis. Interaction with proteins like BSA in immunohistochemistry diagnostics highlights WT1’s significance as a biomarker for these diseases.

Product protocols

For this product, it's our understanding that no specific protocols are required. You can visit:

Target data

Transcription factor that plays an important role in cellular development and cell survival (PubMed : 7862533). Recognizes and binds to the DNA sequence 5'-GCG(T/G)GGGCG-3' (PubMed : 17716689, PubMed : 25258363, PubMed : 7862533). Regulates the expression of numerous target genes, including EPO. Plays an essential role for development of the urogenital system. It has a tumor suppressor as well as an oncogenic role in tumor formation. Function may be isoform-specific : isoforms lacking the KTS motif may act as transcription factors (PubMed : 15520190). Isoforms containing the KTS motif may bind mRNA and play a role in mRNA metabolism or splicing (PubMed : 16934801). Isoform 1 has lower affinity for DNA, and can bind RNA (PubMed : 19123921).
See full target information WT1

Product promise

We are committed to supporting your work with high-quality reagents, and we're here for you every step of the way. In the unlikely event that one of our products does not perform as expected, you're protected by our Product Promise.
For full details, please see our Terms & Conditions

Please note: All products are 'FOR RESEARCH USE ONLY. NOT FOR USE IN DIAGNOSTIC OR THERAPEUTIC PROCEDURES'.

For licensing inquiries, please contact partnerships@abcam.com