JavaScript is disabled in your browser. Please enable JavaScript to view this website.
AB224801

Anti-Wilms Tumor Protein antibody [SP320] - N-terminal

Be the first to review this product! Submit a review

|

(0 Publication)

Rabbit Recombinant Monoclonal Wilms Tumor Protein antibody. N-terminal. Suitable for Flow Cyt (Intra), IHC-P and reacts with Human, Mouse, Rat samples.

View Alternative Names

Wilms tumor protein, WT33, WT1

6 Images
Immunohistochemistry (Formalin/PFA-fixed paraffin-embedded sections) - Anti-Wilms Tumor Protein antibody [SP320] - N-terminal (AB224801)
  • IHC-P

Unknown

Immunohistochemistry (Formalin/PFA-fixed paraffin-embedded sections) - Anti-Wilms Tumor Protein antibody [SP320] - N-terminal (AB224801)

Immunohistochemistry (Formalin/PFA-fixed paraffin-embedded sections) analysis of Human ovarian carcinoma tissue sections labeling Wilms Tumor Protein with ab224801 at 1/100 dilution (3.58 µg/ml). Heat mediated antigen retrieval was performed Heat mediated antigen retrieval with Tris-EDTA buffer (pH 9.0, epitope retrieval solution 2) for 10 mins. Goat Anti-Rabbit & Mouse IgG (HRP) was used as the secondary antibody. Negative control : PBS instead of the primary antibody. Hematoxylin was used as a counterstain.

Flow Cytometry (Intracellular) - Anti-Wilms Tumor Protein antibody [SP320] - N-terminal (AB224801)
  • Flow Cyt (Intra)

Supplier Data

Flow Cytometry (Intracellular) - Anti-Wilms Tumor Protein antibody [SP320] - N-terminal (AB224801)

Flow cytometric analysis of K652 (human chronic myelogenous leukemia cell line from bone marrow) cells labeling Wilms Tumor Protein with ab224801 at 1/100 dilution (green) compared with a rabbit IgG negative control (blue).

Flow Cytometry (Intracellular) - Anti-Wilms Tumor Protein antibody [SP320] - N-terminal (AB224801)
  • Flow Cyt (Intra)

Unknown

Flow Cytometry (Intracellular) - Anti-Wilms Tumor Protein antibody [SP320] - N-terminal (AB224801)

Flow Cytometry analysis of K-562 (human chronic myelogenous leukemia lymphoblast) cells labeling Wilms Tumor Protein with purified ab224801 at 1 : 20 dilution (11.93 µg/ml) - Red. Cells were fixed with 4% paraformaldehyde . A Goat anti rabbit IgG (Alexa Fluor® 488, ab150081) secondary antibody was used at 1 : 2000 dilution. Isotype control - Rabbit monoclonal IgG (ab172730) - Black. Unlabeled control - Blue.

Immunohistochemistry (Formalin/PFA-fixed paraffin-embedded sections) - Anti-Wilms Tumor Protein antibody [SP320] - N-terminal (AB224801)
  • IHC-P

Supplier Data

Immunohistochemistry (Formalin/PFA-fixed paraffin-embedded sections) - Anti-Wilms Tumor Protein antibody [SP320] - N-terminal (AB224801)

Formalin-fixed, paraffin-embedded human ovarian adenocarcinoma tissue stained for Wilms Tumor Protein using ab224801 at 1/100 dilution in immunohistochemical analysis.

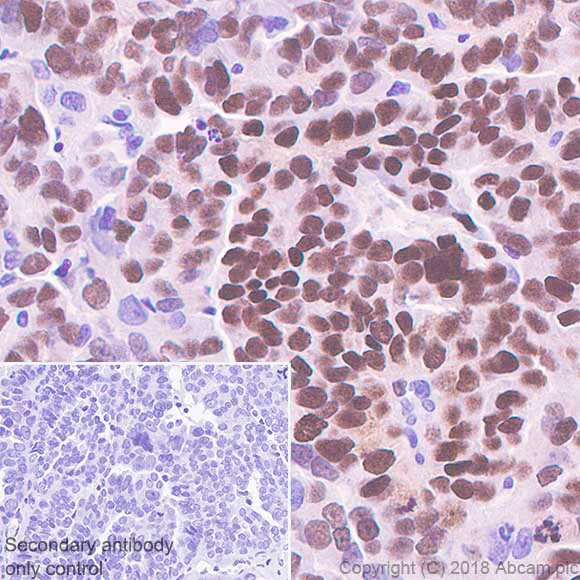
Immunohistochemistry (Formalin/PFA-fixed paraffin-embedded sections) - Anti-Wilms Tumor Protein antibody [SP320] - N-terminal (AB224801)
  • IHC-P

Unknown

Immunohistochemistry (Formalin/PFA-fixed paraffin-embedded sections) - Anti-Wilms Tumor Protein antibody [SP320] - N-terminal (AB224801)

Immunohistochemistry (Formalin/PFA-fixed paraffin-embedded sections) analysis of Rat testis tissue sections labeling Wilms Tumor Protein with ab224801 at 1/100 dilution (3.58 µg/ml). Heat mediated antigen retrieval was performed Heat mediated antigen retrieval with Tris-EDTA buffer (pH 9.0, epitope retrieval solution 2) for 10 mins. Goat Anti-Rabbit & Mouse IgG (HRP) was used as the secondary antibody. Negative control : PBS instead of the primary antibody. Hematoxylin was used as a counterstain.

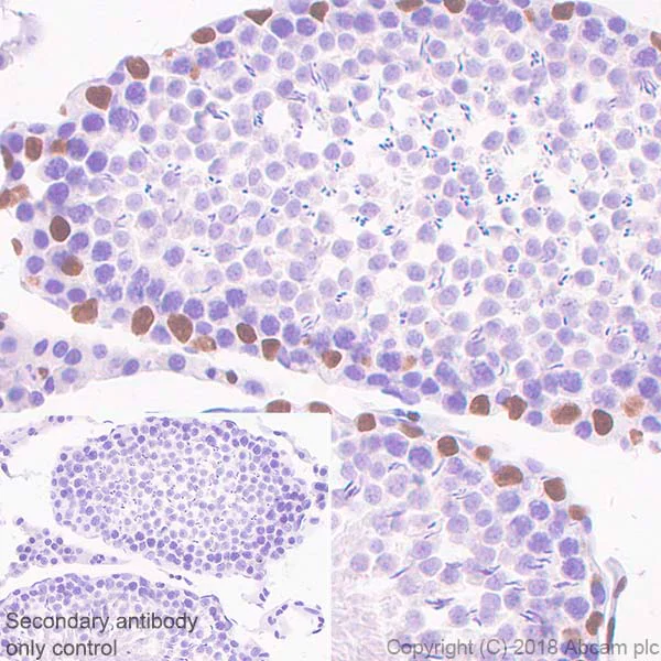
Immunohistochemistry (Formalin/PFA-fixed paraffin-embedded sections) - Anti-Wilms Tumor Protein antibody [SP320] - N-terminal (AB224801)
  • IHC-P

Unknown

Immunohistochemistry (Formalin/PFA-fixed paraffin-embedded sections) - Anti-Wilms Tumor Protein antibody [SP320] - N-terminal (AB224801)

Immunohistochemistry (Formalin/PFA-fixed paraffin-embedded sections) analysis of Mouse testis tissue sections labeling Wilms Tumor Protein with ab224801 at 1/400 dilution (0.90 µg/ml). Heat mediated antigen retrieval was performed Heat mediated antigen retrieval with Tris-EDTA buffer (pH 9.0, epitope retrieval solution 2) for 10 mins. Goat Anti-Rabbit & Mouse IgG (HRP) was used as the secondary antibody. Negative control : PBS instead of the primary antibody. Hematoxylin was used as a counterstain.

  • Carrier free

    Anti-Wilms Tumor Protein antibody [SP320] - BSA and Azide free

Key facts

Host species

Rabbit

Clonality

Monoclonal

Clone number

SP320

Isotype

IgG

Carrier free

No

Reacts with

Mouse, Rat, Human

Applications

Flow Cyt (Intra), IHC-P

applications

Immunogen

The exact immunogen used to generate this antibody is proprietary information.

Reactivity data

{ "title": "Reactivity Data", "filters": { "stats": ["", "Species", "Dilution Info", "Notes"], "tabs": { "all-applications": {"fullname" : "All Applications", "shortname": "All Applications"}, "FlowCytIntra" : {"fullname" : "Flow Cytometry (Intracellular)", "shortname":"Flow Cyt (Intra)"}, "IHCP" : {"fullname" : "Immunohistochemistry (Formalin/PFA-fixed paraffin-embedded sections)", "shortname":"IHC-P"} }, "product-promise": { "all": "all", "testedAndGuaranteed": "tested", "guaranteed": "expected", "predicted": "predicted", "notRecommended": "not-recommended" } }, "values": { "Human": { "FlowCytIntra-species-checked": "testedAndGuaranteed", "FlowCytIntra-species-dilution-info": "1/100", "FlowCytIntra-species-notes": "<p></p>", "IHCP-species-checked": "testedAndGuaranteed", "IHCP-species-dilution-info": "1/100", "IHCP-species-notes": "<p>Perform heat mediated antigen retrieval with EDTA buffer pH 8 before commencing with IHC staining protocol.</p>" }, "Mouse": { "FlowCytIntra-species-checked": "guaranteed", "FlowCytIntra-species-dilution-info": "", "FlowCytIntra-species-notes": "", "IHCP-species-checked": "testedAndGuaranteed", "IHCP-species-dilution-info": "1/100", "IHCP-species-notes": "<p>Perform heat mediated antigen retrieval with EDTA buffer pH 8 before commencing with IHC staining protocol.</p>" }, "Rat": { "FlowCytIntra-species-checked": "guaranteed", "FlowCytIntra-species-dilution-info": "", "FlowCytIntra-species-notes": "", "IHCP-species-checked": "testedAndGuaranteed", "IHCP-species-dilution-info": "1/100", "IHCP-species-notes": "<p>Perform heat mediated antigen retrieval with EDTA buffer pH 8 before commencing with IHC staining protocol.</p>" } } }

Properties and storage information

Form
Liquid
Purification technique
Affinity purification Protein A/G
Purification notes
Purified from TCS by protein A/G.
Storage buffer
pH: 7.6 Preservative: 0.1% Sodium azide Constituents: PBS, 1% BSA
Shipped at conditions
Blue Ice
Appropriate short-term storage duration
1-2 weeks
Appropriate short-term storage conditions
+4°C
Appropriate long-term storage conditions
-20°C
Aliquoting information
Upon delivery aliquot
Storage information
Avoid freeze / thaw cycle

Supplementary information

This supplementary information is collated from multiple sources and compiled automatically.

The Wilms Tumor Protein commonly known as WT1 is a critical transcription factor implicated in several cellular processes. It is also identified by other names such as Wilms Tumor Suppressor and WT33. WT1 protein has a mass of approximately 52-54 kDa. It is broadly expressed in various tissues with high levels in the developing kidney gonads and certain mesothelial tissues. Its expression plays an important role in organ development and cellular differentiation.
Biological function summary

The WT1 protein regulates gene expression by binding to specific DNA sequences influencing cell growth and differentiation. WT1 acts as a part of larger protein complexes interacting with other transcription factors and co-regulators. It plays essential roles in the development of the urogenital system and in the maintenance of mesothelial cells. The WT1 protein is essential for normal kidney and gonadal development highlighting its significance in embryogenesis.

Pathways

WT1 integration involves multiple cellular signaling cascades. It is notably engaged in the Wnt and PI3K/AKT signaling pathways which are critical for cell proliferation and survival. In these pathways WT1 interaction with proteins such as β-catenin and PI3K subunits modulates cell fate decisions. This involvement in signaling networks exemplifies its importance in cellular homeostasis and response to environmental cues.

WT1 mutations or dysregulation associate strongly with specific pathologies particularly Wilms tumor and acute myeloid leukemia (AML). In Wilms tumor WT1 acts as a tumor suppressor gene and its loss of function leads to tumorigenesis in the kidney. In AML aberrant WT1 expression affects normal hematopoiesis and is often linked to poor prognosis. Interaction with proteins like BSA in immunohistochemistry diagnostics highlights WT1’s significance as a biomarker for these diseases.

Product protocols

For this product, it's our understanding that no specific protocols are required. You can visit:

Target data

Transcription factor that plays an important role in cellular development and cell survival (PubMed : 7862533). Recognizes and binds to the DNA sequence 5'-GCG(T/G)GGGCG-3' (PubMed : 17716689, PubMed : 25258363, PubMed : 7862533). Regulates the expression of numerous target genes, including EPO. Plays an essential role for development of the urogenital system. It has a tumor suppressor as well as an oncogenic role in tumor formation. Function may be isoform-specific : isoforms lacking the KTS motif may act as transcription factors (PubMed : 15520190). Isoforms containing the KTS motif may bind mRNA and play a role in mRNA metabolism or splicing (PubMed : 16934801). Isoform 1 has lower affinity for DNA, and can bind RNA (PubMed : 19123921).
See full target information WT1

Product promise

We are committed to supporting your work with high-quality reagents, and we're here for you every step of the way. In the unlikely event that one of our products does not perform as expected, you're protected by our Product Promise.
For full details, please see our Terms & Conditions

Please note: All products are 'FOR RESEARCH USE ONLY. NOT FOR USE IN DIAGNOSTIC OR THERAPEUTIC PROCEDURES'.

For licensing inquiries, please contact partnerships@abcam.com