JavaScript is disabled in your browser. Please enable JavaScript to view this website.
AB242425

Anti-Wilms Tumor Protein antibody [SP321] - BSA and Azide free

Be the first to review this product! Submit a review

|

(2 Publications)

Rabbit Recombinant Monoclonal Wilms Tumor Protein antibody. Carrier free. Suitable for Flow Cyt (Intra), WB, IHC-P and reacts with Human, Rat, Mouse samples. Cited in 2 publications.

View Alternative Names

Wilms tumor protein, WT33, WT1

6 Images
Flow Cytometry (Intracellular) - Anti-Wilms Tumor Protein antibody [SP321] - BSA and Azide free (AB242425)
  • Flow Cyt (Intra)

Supplier Data

Flow Cytometry (Intracellular) - Anti-Wilms Tumor Protein antibody [SP321] - BSA and Azide free (AB242425)

Flow cytometric analysis of K562 (human chronic myelogenous leukemia cell line from bone marrow) cell line labeling Wilms Tumor Protein with ab224806 at 1/400 dilution (green) compared with a negative control of rabbit IgG (blue).

This data was developed using the same antibody clone in a different buffer formulation containing PBS, BSA, and sodium azide (ab224806).

Immunohistochemistry (Formalin/PFA-fixed paraffin-embedded sections) - Anti-Wilms Tumor Protein antibody [SP321] - BSA and Azide free (AB242425)
  • IHC-P

Unknown

Immunohistochemistry (Formalin/PFA-fixed paraffin-embedded sections) - Anti-Wilms Tumor Protein antibody [SP321] - BSA and Azide free (AB242425)

Immunohistochemistry (Formalin/PFA-fixed paraffin-embedded sections) analysis of Human ovarian carcinoma tissue sections labeling Wilms Tumor Protein with ab224806 at 1/100 dilution (2.52 µg/ml). Heat mediated antigen retrieval was performed Heat mediated antigen retrieval with Tris-EDTA buffer (pH 9.0, epitope retrieval solution 2) for 10mins. Goat Anti-Rabbit & Mouse IgG (HRP) was used as the secondary antibody. Negative control : PBS instead of the primary antibody. Hematoxylin was used as a counterstain.
This data was developed using the same antibody clone in a different buffer formulation containing PBS, BSA, glycerol, and sodium azide (ab224806)

Flow Cytometry (Intracellular) - Anti-Wilms Tumor Protein antibody [SP321] - BSA and Azide free (AB242425)
  • Flow Cyt (Intra)

Unknown

Flow Cytometry (Intracellular) - Anti-Wilms Tumor Protein antibody [SP321] - BSA and Azide free (AB242425)

Flow Cytometry analysis of K-562 (human chronic myelogenous leukemia lymphoblast) cells labeling Wilms Tumor Protein with purified ab224806 at 1 : 20 dilution (12.6 µg/ml) - Red. Cells were fixed with 4% paraformaldehyde . A Goat anti rabbit IgG (Alexa Fluor® 488, ab150081) secondary antibody was used at 1 : 2000 dilution. Isotype control - Rabbit monoclonal IgG (ab172730) - Black. Unlabeled control - Blue.This data was developed using the same antibody clone in a different buffer formulation containing PBS, BSA, glycerol, and sodium azide (ab242425)

Immunohistochemistry (Formalin/PFA-fixed paraffin-embedded sections) - Anti-Wilms Tumor Protein antibody [SP321] - BSA and Azide free (AB242425)
  • IHC-P

Supplier Data

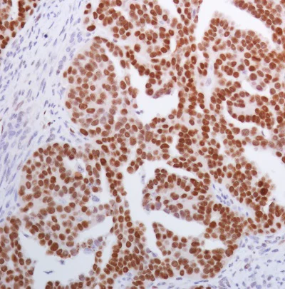
Immunohistochemistry (Formalin/PFA-fixed paraffin-embedded sections) - Anti-Wilms Tumor Protein antibody [SP321] - BSA and Azide free (AB242425)

Formalin-fixed, paraffin-embedded human ovarian adenocarcinoma tissue stained for Wilms Tumor Protein using ab224806 at 1/100 dilution in immunohistochemical analysis.

This data was developed using the same antibody clone in a different buffer formulation containing PBS, BSA, and sodium azide (ab224806).

Immunohistochemistry (Formalin/PFA-fixed paraffin-embedded sections) - Anti-Wilms Tumor Protein antibody [SP321] - BSA and Azide free (AB242425)
  • IHC-P

Unknown

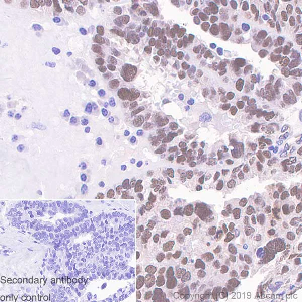
Immunohistochemistry (Formalin/PFA-fixed paraffin-embedded sections) - Anti-Wilms Tumor Protein antibody [SP321] - BSA and Azide free (AB242425)

Immunohistochemistry (Formalin/PFA-fixed paraffin-embedded sections) analysis of Mouse testis tissue sections labeling Wilms Tumor Protein with ab224806 at 1/100 dilution (2.52 µg/ml). Heat mediated antigen retrieval was performed Heat mediated antigen retrieval with Tris-EDTA buffer (pH 9.0, epitope retrieval solution 2) for 10mins. Goat Anti-Rabbit & Mouse IgG (HRP) was used as the secondary antibody. Negative control : PBS instead of the primary antibody. Hematoxylin was used as a counterstain.
This data was developed using the same antibody clone in a different buffer formulation containing PBS, BSA, glycerol, and sodium azide (ab224806)

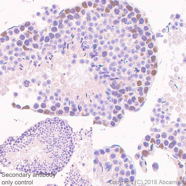
Immunohistochemistry (Formalin/PFA-fixed paraffin-embedded sections) - Anti-Wilms Tumor Protein antibody [SP321] - BSA and Azide free (AB242425)
  • IHC-P

Unknown

Immunohistochemistry (Formalin/PFA-fixed paraffin-embedded sections) - Anti-Wilms Tumor Protein antibody [SP321] - BSA and Azide free (AB242425)

Immunohistochemistry (Formalin/PFA-fixed paraffin-embedded sections) analysis of Rat testis tissue sections labeling Wilms Tumor Protein with ab224806 at 1/100 dilution (2.52 µg/ml). Heat mediated antigen retrieval was performed Heat mediated antigen retrieval with Tris-EDTA buffer (pH 9.0, epitope retrieval solution 2) for 10mins. Goat Anti-Rabbit & Mouse IgG (HRP) was used as the secondary antibody. Negative control : PBS instead of the primary antibody. Hematoxylin was used as a counterstain.
This data was developed using the same antibody clone in a different buffer formulation containing PBS, BSA, glycerol, and sodium azide (ab224806)

Key facts

Host species

Rabbit

Clonality

Monoclonal

Clone number

SP321

Isotype

IgG

Carrier free

Yes

Reacts with

Mouse, Rat, Human

Applications

WB, IHC-P, Flow Cyt (Intra)

applications

Immunogen

The exact immunogen used to generate this antibody is proprietary information.

Reactivity data

{ "title": "Reactivity Data", "filters": { "stats": ["", "Species", "Dilution Info", "Notes"], "tabs": { "all-applications": {"fullname" : "All Applications", "shortname": "All Applications"}, "FlowCytIntra" : {"fullname" : "Flow Cytometry (Intracellular)", "shortname":"Flow Cyt (Intra)"}, "WB" : {"fullname" : "Western blot", "shortname":"WB"}, "IHCP" : {"fullname" : "Immunohistochemistry (Formalin/PFA-fixed paraffin-embedded sections)", "shortname":"IHC-P"} }, "product-promise": { "all": "all", "testedAndGuaranteed": "tested", "guaranteed": "expected", "predicted": "predicted", "notRecommended": "not-recommended" } }, "values": { "Human": { "FlowCytIntra-species-checked": "testedAndGuaranteed", "FlowCytIntra-species-dilution-info": "", "FlowCytIntra-species-notes": "<p>Primary incubation for 30 minutes at 4°C.</p>", "WB-species-checked": "testedAndGuaranteed", "WB-species-dilution-info": "", "WB-species-notes": "<p>Primary incubation for 1 hour at room temperature.</p>", "IHCP-species-checked": "testedAndGuaranteed", "IHCP-species-dilution-info": "", "IHCP-species-notes": "<p>Perform heat mediated antigen retrieval with EDTA buffer pH 8.0 before commencing with IHC staining protocol. Primary incubation for 10 minutes at room temperature.</p>" }, "Mouse": { "FlowCytIntra-species-checked": "guaranteed", "FlowCytIntra-species-dilution-info": "", "FlowCytIntra-species-notes": "", "WB-species-checked": "guaranteed", "WB-species-dilution-info": "", "WB-species-notes": "", "IHCP-species-checked": "testedAndGuaranteed", "IHCP-species-dilution-info": "", "IHCP-species-notes": "<p>Perform heat mediated antigen retrieval with EDTA buffer pH 8.0 before commencing with IHC staining protocol. Primary incubation for 10 minutes at room temperature.</p>" }, "Rat": { "FlowCytIntra-species-checked": "guaranteed", "FlowCytIntra-species-dilution-info": "", "FlowCytIntra-species-notes": "", "WB-species-checked": "guaranteed", "WB-species-dilution-info": "", "WB-species-notes": "", "IHCP-species-checked": "testedAndGuaranteed", "IHCP-species-dilution-info": "", "IHCP-species-notes": "<p>Perform heat mediated antigen retrieval with EDTA buffer pH 8.0 before commencing with IHC staining protocol. Primary incubation for 10 minutes at room temperature.</p>" }, "Pig": { "FlowCytIntra-species-checked": "predicted", "FlowCytIntra-species-dilution-info": "", "FlowCytIntra-species-notes": "", "WB-species-checked": "predicted", "WB-species-dilution-info": "", "WB-species-notes": "", "IHCP-species-checked": "predicted", "IHCP-species-dilution-info": "", "IHCP-species-notes": "" }, "Rabbit": { "FlowCytIntra-species-checked": "predicted", "FlowCytIntra-species-dilution-info": "", "FlowCytIntra-species-notes": "", "WB-species-checked": "predicted", "WB-species-dilution-info": "", "WB-species-notes": "", "IHCP-species-checked": "predicted", "IHCP-species-dilution-info": "", "IHCP-species-notes": "" } } }

Product details

ab242425 is the carrier-free version of ab224806.

What are the advantages of a recombinant monoclonal antibody?
This product is a recombinant monoclonal antibody, which offers several advantages including:

  • - High batch-to-batch consistency and reproducibility
  • - Improved sensitivity and specificity
  • - Long-term security of supply
  • - Animal-free batch production

For more information, read more on recombinant antibodies.

Conjugation ready
Our carrier-free antibodies are typically supplied in a PBS-only formulation, purified and free of BSA, sodium azide and glycerol. This conjugation-ready format is designed for use with fluorochromes, metal isotopes, oligonucleotides, and enzymes, which makes them ideal for antibody labelling, functional and cell-based assays, flow-based assays (e.g. mass cytometry) and Multiplex Imaging applications.

Use our conjugation kits for antibody conjugates that are ready-to-use in as little as 20 minutes with 1 minute hands-on-time and 100% antibody recovery: available for fluorescent dyes, HRP, biotin and gold.

Compatibility
This product is compatible with the Maxpar® Antibody Labeling Kit from Fluidigm, without the need for antibody preparation. Maxpar® is a trademark of Fluidigm Canada Inc.

Properties and storage information

Form
Liquid
Purification technique
Affinity purification Protein A/G
Purification notes
Purified from TCS by protein A/G.
Storage buffer
pH: 7.2 - 7.4 Constituents: PBS
Shipped at conditions
Blue Ice
Appropriate short-term storage conditions
+4°C
Appropriate long-term storage conditions
+4°C
Storage information
Do Not Freeze

Supplementary information

This supplementary information is collated from multiple sources and compiled automatically.

The Wilms Tumor Protein commonly known as WT1 is a critical transcription factor implicated in several cellular processes. It is also identified by other names such as Wilms Tumor Suppressor and WT33. WT1 protein has a mass of approximately 52-54 kDa. It is broadly expressed in various tissues with high levels in the developing kidney gonads and certain mesothelial tissues. Its expression plays an important role in organ development and cellular differentiation.
Biological function summary

The WT1 protein regulates gene expression by binding to specific DNA sequences influencing cell growth and differentiation. WT1 acts as a part of larger protein complexes interacting with other transcription factors and co-regulators. It plays essential roles in the development of the urogenital system and in the maintenance of mesothelial cells. The WT1 protein is essential for normal kidney and gonadal development highlighting its significance in embryogenesis.

Pathways

WT1 integration involves multiple cellular signaling cascades. It is notably engaged in the Wnt and PI3K/AKT signaling pathways which are critical for cell proliferation and survival. In these pathways WT1 interaction with proteins such as β-catenin and PI3K subunits modulates cell fate decisions. This involvement in signaling networks exemplifies its importance in cellular homeostasis and response to environmental cues.

WT1 mutations or dysregulation associate strongly with specific pathologies particularly Wilms tumor and acute myeloid leukemia (AML). In Wilms tumor WT1 acts as a tumor suppressor gene and its loss of function leads to tumorigenesis in the kidney. In AML aberrant WT1 expression affects normal hematopoiesis and is often linked to poor prognosis. Interaction with proteins like BSA in immunohistochemistry diagnostics highlights WT1’s significance as a biomarker for these diseases.

Product protocols

For this product, it's our understanding that no specific protocols are required. You can visit:

Target data

Transcription factor that plays an important role in cellular development and cell survival (PubMed : 7862533). Recognizes and binds to the DNA sequence 5'-GCG(T/G)GGGCG-3' (PubMed : 17716689, PubMed : 25258363, PubMed : 7862533). Regulates the expression of numerous target genes, including EPO. Plays an essential role for development of the urogenital system. It has a tumor suppressor as well as an oncogenic role in tumor formation. Function may be isoform-specific : isoforms lacking the KTS motif may act as transcription factors (PubMed : 15520190). Isoforms containing the KTS motif may bind mRNA and play a role in mRNA metabolism or splicing (PubMed : 16934801). Isoform 1 has lower affinity for DNA, and can bind RNA (PubMed : 19123921).
See full target information WT1

Publications (2)

Recent publications for all applications. Explore the full list and refine your search

BMC pharmacology & toxicology 22:62 PubMed34686215

2021

Famotidine promotes inflammation by triggering cell pyroptosis in gastric cancer cells.

Applications

Unspecified application

Species

Unspecified reactive species

Jin Huang,Pingsheng Fan,Miao Liu,Chengtao Weng,Gaofei Fan,Tengyue Zhang,Xiaohong Duan,Yang Wu,Lili Tang,Guohong Yang,Yabei Liu

Matrix biology : journal of the International Society for Matrix Biology 98:32-48 PubMed34015468

2021

Loss of sphingosine kinase 2 enhances Wilm's tumor suppressor gene 1 and nephrin expression in podocytes and protects from streptozotocin-induced podocytopathy and albuminuria in mice.

Applications

Unspecified application

Species

Unspecified reactive species

Faik Imeri,Bisera Stepanovska Tanturovska,Stephanie Schwalm,Sarbari Saha,Jinyang Zeng-Brouwers,Herrmann Pavenstädt,Josef Pfeilschifter,Liliana Schaefer,Andrea Huwiler
View all publications

Product promise

We are committed to supporting your work with high-quality reagents, and we're here for you every step of the way. In the unlikely event that one of our products does not perform as expected, you're protected by our Product Promise.
For full details, please see our Terms & Conditions

Please note: All products are 'FOR RESEARCH USE ONLY. NOT FOR USE IN DIAGNOSTIC OR THERAPEUTIC PROCEDURES'.

For licensing inquiries, please contact partnerships@abcam.com