JavaScript is disabled in your browser. Please enable JavaScript to view this website.
AB248208

Anti-WIPI1 antibody [EPR8110] - BSA and Azide free

Be the first to review this product! Submit a review

|

(1 Publication)

Rabbit Recombinant Monoclonal WIPI1 antibody. Carrier free. Suitable for WB, IHC-P and reacts with Human, Mouse, Rat samples. Cited in 1 publication.

View Alternative Names

WIPI49, WIPI1, WD repeat domain phosphoinositide-interacting protein 1, WIPI-1, Atg18 protein homolog, WD40 repeat protein interacting with phosphoinositides of 49 kDa, WIPI 49 kDa

3 Images
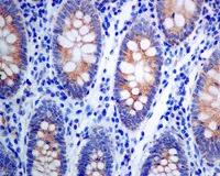
Immunohistochemistry (Formalin/PFA-fixed paraffin-embedded sections) - Anti-WIPI1 antibody [EPR8110] - BSA and Azide free (AB248208)
  • IHC-P

Unknown

Immunohistochemistry (Formalin/PFA-fixed paraffin-embedded sections) - Anti-WIPI1 antibody [EPR8110] - BSA and Azide free (AB248208)

This data was developed using ab128901, the same antibody clone in a different buffer formulation.

ab128901 at 1/50 dilution staining WIPI1 in Paraffin-embedded Human colon tissue by Immunohistochemistry.

Perform heat mediated antigen retrieval before commencing with IHC staining protocol.

Western blot - Anti-WIPI1 antibody [EPR8110] - BSA and Azide free (AB248208)
  • WB

Unknown

Western blot - Anti-WIPI1 antibody [EPR8110] - BSA and Azide free (AB248208)

This data was developed using ab128901, the same antibody clone in a different buffer formulation.

All lanes:

Western blot - Anti-WIPI1 antibody [EPR8110] (<a href='/en-us/products/primary-antibodies/wipi1-antibody-epr8110-ab128901'>ab128901</a>) at 1/1000 dilution

Lane 1:

A375 cell lysate at 10 µg

Lane 2:

BxPC-3 cell lysate at 10 µg

Lane 3:

293T (Human embryonic kidney epithelial cell) cell lysate at 10 µg

Lane 4:

C6 cell lysate at 10 µg

Lane 5:

RAW 264.7 cell lysate at 10 µg

Lane 6:

NIH/3T3 cell lysate at 10 µg

Lane 7:

JAR cell lysate at 10 µg

Secondary

All lanes:

Goat anti-Rabbit HRP at 1/2000 dilution

Predicted band size: 49 kDa

false

OI-RD Scanning - Anti-WIPI1 antibody [EPR8110] - BSA and Azide free (AB248208)
  • OI-RD Scanning

Unknown

OI-RD Scanning - Anti-WIPI1 antibody [EPR8110] - BSA and Azide free (AB248208)

We have systematically measured KD (the equilibrium dissociation constant between the antibody and its antigen), of more than 840 recombinant antibodies to assess not only their individual KD values but also to see the average affinity of antibody. Based on the comparison with published literature values for mouse monoclonal antibodies, Recombinant antibodies appear to be on average 1-2 order of magnitude higher affinity.

Key facts

Host species

Rabbit

Clonality

Monoclonal

Clone number

EPR8110

Isotype

IgG

Carrier free

Yes

Reacts with

Mouse, Rat, Human

Applications

WB, IHC-P

applications

Immunogen

The exact immunogen used to generate this antibody is proprietary information.

Reactivity data

{ "title": "Reactivity Data", "filters": { "stats": ["", "Species", "Dilution Info", "Notes"], "tabs": { "all-applications": {"fullname" : "All Applications", "shortname": "All Applications"}, "WB" : {"fullname" : "Western blot", "shortname":"WB"}, "IHCP" : {"fullname" : "Immunohistochemistry (Formalin/PFA-fixed paraffin-embedded sections)", "shortname":"IHC-P"}, "ICCIF" : {"fullname" : "Immunocytochemistry/ Immunofluorescence", "shortname":"ICC/IF"}, "IP" : {"fullname" : "Immunoprecipitation", "shortname":"IP"}, "FlowCyt" : {"fullname" : "Flow Cytometry", "shortname":"Flow Cyt"} }, "product-promise": { "all": "all", "testedAndGuaranteed": "tested", "guaranteed": "expected", "predicted": "predicted", "notRecommended": "not-recommended" } }, "values": { "Human": { "WB-species-checked": "testedAndGuaranteed", "WB-species-dilution-info": "", "WB-species-notes": "<p></p>", "IHCP-species-checked": "testedAndGuaranteed", "IHCP-species-dilution-info": "", "IHCP-species-notes": "<p></p>", "ICCIF-species-checked": "notRecommended", "ICCIF-species-dilution-info": "", "ICCIF-species-notes": "<p></p>", "IP-species-checked": "notRecommended", "IP-species-dilution-info": "", "IP-species-notes": "<p></p>", "FlowCyt-species-checked": "notRecommended", "FlowCyt-species-dilution-info": "", "FlowCyt-species-notes": "<p></p>" }, "Mouse": { "WB-species-checked": "guaranteed", "WB-species-dilution-info": "", "WB-species-notes": "<p></p>", "IHCP-species-checked": "guaranteed", "IHCP-species-dilution-info": "", "IHCP-species-notes": "<p></p>", "ICCIF-species-checked": "notRecommended", "ICCIF-species-dilution-info": "", "ICCIF-species-notes": "<p></p>", "IP-species-checked": "notRecommended", "IP-species-dilution-info": "", "IP-species-notes": "<p></p>", "FlowCyt-species-checked": "notRecommended", "FlowCyt-species-dilution-info": "", "FlowCyt-species-notes": "<p></p>" }, "Rat": { "WB-species-checked": "guaranteed", "WB-species-dilution-info": "", "WB-species-notes": "<p></p>", "IHCP-species-checked": "guaranteed", "IHCP-species-dilution-info": "", "IHCP-species-notes": "<p></p>", "ICCIF-species-checked": "notRecommended", "ICCIF-species-dilution-info": "", "ICCIF-species-notes": "<p></p>", "IP-species-checked": "notRecommended", "IP-species-dilution-info": "", "IP-species-notes": "<p></p>", "FlowCyt-species-checked": "notRecommended", "FlowCyt-species-dilution-info": "", "FlowCyt-species-notes": "<p></p>" } } }

Product details

ab248208 is the carrier-free version of ab128901.

Patented technology
Our RabMAb® technology is a patented hybridoma-based technology for making rabbit monoclonal antibodies. For details on our patents, please refer to RabMAb® patents.

What are the advantages of a recombinant monoclonal antibody?
This product is a recombinant monoclonal antibody, which offers several advantages including:

  • - High batch-to-batch consistency and reproducibility
  • - Improved sensitivity and specificity
  • - Long-term security of supply
  • - Animal-free batch production

For more information, read more on recombinant antibodies.

Conjugation ready
Our carrier-free antibodies are typically supplied in a PBS-only formulation, purified and free of BSA, sodium azide and glycerol. This conjugation-ready format is designed for use with fluorochromes, metal isotopes, oligonucleotides, and enzymes, which makes them ideal for antibody labelling, functional and cell-based assays, flow-based assays (e.g. mass cytometry) and Multiplex Imaging applications.

Use our conjugation kits for antibody conjugates that are ready-to-use in as little as 20 minutes with 1 minute hands-on-time and 100% antibody recovery: available for fluorescent dyes, HRP, biotin and gold.

Compatibility
This product is compatible with the Maxpar® Antibody Labeling Kit from Fluidigm, without the need for antibody preparation. Maxpar® is a trademark of Fluidigm Canada Inc.

Properties and storage information

Form
Liquid
Purification technique
Affinity purification Protein A
Storage buffer
pH: 7.2 - 7.4 Constituents: PBS
Shipped at conditions
Blue Ice
Appropriate short-term storage conditions
+4°C
Appropriate long-term storage conditions
+4°C
Storage information
Do Not Freeze

Supplementary information

This supplementary information is collated from multiple sources and compiled automatically.

WIPI1 also known as WD repeat domain phosphoinositide-interacting protein 1 is a protein involved in cellular processes especially autophagy. WIPI1 has a molecular mass of approximately 50 kDa and consists of WD40 repeats a common motif in proteins involved in signal transduction and cell cycle control. This protein is found in various human tissues with high expression in the heart skeletal muscle and pancreas indicating its involvement in essential metabolic and regulatory activities.
Biological function summary

WIPI1 has an important role in the process of autophagy acting as part of the PI3P-binding proteins family. It functions as a component of the autophagy initiation complex contributing to the formation of autophagosomes by recruiting additional autophagic proteins. WIPI1 interacts with ATG2 proteins facilitating the elongation of isolation membranes. Its activity is influenced by the availability of phosphatidylinositol 3-phosphate (PI3P) which is a critical lipid signaling molecule in cells.

Pathways

WIPI1 participates in the mechanistic target of rapamycin (mTOR) signaling pathway and the PI3K-Akt signaling pathway. In the mTOR pathway WIPI1 negatively regulates mTORC1 signaling therefore promoting autophagosome formation under nutrient-deprived conditions. This interaction positions WIPI1 as an inhibitor of mTORC1-mediated nutrient sensing. In collaboration with ULK1 and BECN1 WIPI1 supports autophagic flux by assisting in the early stages of autophagosome formation therefore contributing to cellular homeostasis.

Abnormalities in WIPI1 expression and function have links to cancer and neurodegenerative diseases. In certain types of cancer including breast cancer altered levels of WIPI1 correlate with tumor progression and poor prognosis potentially through interactions with mTOR. Additionally in neurodegenerative conditions like Alzheimer's disease dysregulated autophagy pathways involving WIPI1 and ATG proteins may lead to accumulation of damaged proteins and organelles accentuating disease symptoms.

Product protocols

For this product, it's our understanding that no specific protocols are required. You can visit:

Target data

Component of the autophagy machinery that controls the major intracellular degradation process by which cytoplasmic materials are packaged into autophagosomes and delivered to lysosomes for degradation (PubMed : 15602573, PubMed : 20114074, PubMed : 20484055, PubMed : 20639694, PubMed : 23088497, PubMed : 28561066, PubMed : 31271352). Plays an important role in starvation- and calcium-mediated autophagy, as well as in mitophagy (PubMed : 28561066). Functions downstream of the ULK1 and PI3-kinases that produce phosphatidylinositol 3-phosphate (PtdIns3P) on membranes of the endoplasmic reticulum once activated (PubMed : 28561066). Binds phosphatidylinositol 3-phosphate (PtdIns3P), and maybe other phosphoinositides including PtdIns3,5P2 and PtdIns5P, and is recruited to phagophore assembly sites at the endoplasmic reticulum membranes (PubMed : 28561066, PubMed : 31271352, PubMed : 33499712). There, it assists WIPI2 in the recruitment of ATG12-ATG5-ATG16L1, a complex that directly controls the elongation of the nascent autophagosomal membrane (PubMed : 28561066). Together with WDR45/WIPI4, promotes ATG2 (ATG2A or ATG2B)-mediated lipid transfer by enhancing ATG2-association with phosphatidylinositol 3-monophosphate (PI3P)-containing membranes (PubMed : 31271352). Involved in xenophagy of Staphylococcus aureus (PubMed : 22829830). Invading S.aureus cells become entrapped in autophagosome-like WIPI1 positive vesicles targeted for lysosomal degradation (PubMed : 22829830). Also plays a distinct role in controlling the transcription of melanogenic enzymes and melanosome maturation, a process that is distinct from starvation-induced autophagy (PubMed : 21317285). May also regulate the trafficking of proteins involved in the mannose-6-phosphate receptor (MPR) recycling pathway (PubMed : 15020712).
See full target information WIPI1

Publications (1)

Recent publications for all applications. Explore the full list and refine your search

Communications biology 7:1025 PubMed39164573

2024

CD58 defines regulatory macrophages within the tumor microenvironment.

Applications

Unspecified application

Species

Unspecified reactive species

Bo Wu,Xiaoni Zhan,Meixi Jiang
View all publications

Product promise

We are committed to supporting your work with high-quality reagents, and we're here for you every step of the way. In the unlikely event that one of our products does not perform as expected, you're protected by our Product Promise.
For full details, please see our Terms & Conditions

Please note: All products are 'FOR RESEARCH USE ONLY. NOT FOR USE IN DIAGNOSTIC OR THERAPEUTIC PROCEDURES'.

For licensing inquiries, please contact partnerships@abcam.com