JavaScript is disabled in your browser. Please enable JavaScript to view this website.
AB310325

Anti-WIPI2 (phospho S413) antibody [EPR27037-149]

  • 20ul selling size
  • RabMAb
  • Recombinant
  • KO Validated
  • What is this?

Be the first to review this product! Submit a review

|

(0 Publication)

Knockout Tested Rabbit Recombinant Monoclonal WIPI2 phospho S413 antibody. Suitable for Dot, WB and reacts with Synthetic peptide - Mouse, Human, Mouse, Rat samples.

View Alternative Names

WD repeat domain phosphoinositide-interacting protein 2, WIPI-2, Wipi2

6 Images
Western blot - Anti-WIPI2 (phospho S413) antibody [EPR27037-149] (AB310325)
  • WB

Supplier Data

Western blot - Anti-WIPI2 (phospho S413) antibody [EPR27037-149] (AB310325)

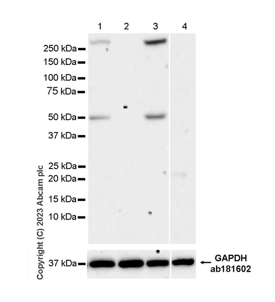
Blocking and diluting buffer and concentration : 5% NFDM/TBST The identity of the higher MW band at approximately 250kDa is unknown In Western blot, anti-WIPI2 antibody (ab105459) staining at 1/1000 dilution.Anti-GAPDH antibody (ab181602) loading control staining at 1/200000 dilution. Exposure time : 180 seconds

All lanes:

Western blot - Anti-WIPI2 (phospho S413) antibody [EPR27037-149] (ab310325) at 1/1000 dilution

Lane 1:

Untreated wild-type HAP1(human chronic myelogenous leukemia near-haploid cell line) whole cell lysate at 20 µg

Lane 2:

HAP1 treated with 200 nM TPA for 30 min, whole cell lysate at 20 µg

Lane 3:

WIPI2 knockout HAP1 whole cell lysate

Lane 4:

WIPI2 knockout HAP1 treated with 200 nM TPA for 30 min, whole cell lysate at 20 µg

Secondary

All lanes:

Western blot - Goat Anti-Rabbit IgG H&L (HRP) (<a href='/en-us/products/secondary-antibodies/goat-rabbit-igg-h-l-hrp-ab97051'>ab97051</a>) at 1/100000 dilution

Observed band size: 50 kDa

false

Exposure time: 180s

Western blot - Anti-WIPI2 (phospho S413) antibody [EPR27037-149] (AB310325)
  • WB

Supplier Data

Western blot - Anti-WIPI2 (phospho S413) antibody [EPR27037-149] (AB310325)

Blocking and diluting buffer and concentration : 5% NFDM/TBST The identity of the higher MW band at approximately 250kDa is unknown. In Western blot, anti-WIPI2 antibody (ab105459) staining at 1/1000 dilution.Anti-GAPDH antibody (ab181602) loading control staining at 1/200000 dilution. Exposure time : 180 seconds

All lanes:

Western blot - Anti-WIPI2 (phospho S413) antibody [EPR27037-149] (ab310325) at 1/1000 dilution

Lane 1:

Untreated KARPAS-299 (human T cell lymphoma cell) starved overnight whole cell lysate (untreated membrane) at 20 µg

Lane 2:

KARPAS-299 starved overnight, then treated with 200nM TPA for 30min whole cell lysate (untreated membrane) at 20 µg

Lane 3:

Untreated KARPAS-299 starved overnight whole cell lysate (phosphatase treated membrane) at 20 µg

Lane 4:

KARPAS-299 starved overnight, then treated with 200nM TPA for 30min whole cell lysate (phosphatase treated membrane) at 20 µg

Secondary

All lanes:

Western blot - Goat Anti-Rabbit IgG H&L (HRP) (<a href='/en-us/products/secondary-antibodies/goat-rabbit-igg-h-l-hrp-ab97051'>ab97051</a>) at 1/100000 dilution

Observed band size: 50 kDa

false

Exposure time: 180s

Western blot - Anti-WIPI2 (phospho S413) antibody [EPR27037-149] (AB310325)
  • WB

Supplier Data

Western blot - Anti-WIPI2 (phospho S413) antibody [EPR27037-149] (AB310325)

Blocking and diluting buffer and concentration : 5% NFDM/TBST The identity of the higher MW band at approximately 250kDa is unknown In Western blot, anti-WIPI2 antibody (ab105459) staining at 1/1000 dilution.Anti-GAPDH antibody (ab181602) loading control staining at 1/200000 dilution. Exposure time : 180 seconds

All lanes:

Western blot - Anti-WIPI2 (phospho S413) antibody [EPR27037-149] (ab310325) at 1/1000 dilution

Lane 1:

Untreated Raji (human Burkitts lymphoma B lymphocyte) whole cell lysate

Lane 2:

Raji starved overnight, then treated with 200nM TPA for 30min whole cell lysate

Secondary

All lanes:

Western blot - Goat Anti-Rabbit IgG H&L (HRP) (<a href='/en-us/products/secondary-antibodies/goat-rabbit-igg-h-l-hrp-ab97051'>ab97051</a>) at 1/100000 dilution

Observed band size: 50 kDa

false

Exposure time: 180s

Western blot - Anti-WIPI2 (phospho S413) antibody [EPR27037-149] (AB310325)
  • WB

Supplier Data

Western blot - Anti-WIPI2 (phospho S413) antibody [EPR27037-149] (AB310325)

Blocking and diluting buffer and concentration : 5% NFDM/TBST The identity of the higher MW band at approximately 250kDa is unknown. In Western blot, anti-WIPI2 antibody (ab105459) staining at 1/1000 dilution.Anti-GAPDH antibody (ab181602) loading control staining at 1/200000 dilution. Exposure time : 180 seconds

All lanes:

Western blot - Anti-WIPI2 (phospho S413) antibody [EPR27037-149] (ab310325) at 1/1000 dilution

Lane 1:

Untreated MEF (mouse embryonic fibroblast (immortalized)) whole cell lysate at 20 µg

Lane 2:

MEF treated with 5uM MG-132 for 6h whole cell lysate at 20 µg

Secondary

All lanes:

Western blot - Goat Anti-Rabbit IgG H&L (HRP) (<a href='/en-us/products/secondary-antibodies/goat-rabbit-igg-h-l-hrp-ab97051'>ab97051</a>) at 1/100000 dilution

Observed band size: 50 kDa

false

Exposure time: 180s

Western blot - Anti-WIPI2 (phospho S413) antibody [EPR27037-149] (AB310325)
  • WB

Supplier Data

Western blot - Anti-WIPI2 (phospho S413) antibody [EPR27037-149] (AB310325)

Blocking and diluting buffer and concentration : 5% NFDM/TBST Low expression : liver tissue(PMID : 15602573) The identity of the higher MW band at approximately 250kDa is unknown. In Western blot, anti-GAPDH antibody (ab181602) loading control staining at 1/200000 dilution. Exposure time : 180 seconds

All lanes:

Western blot - Anti-WIPI2 (phospho S413) antibody [EPR27037-149] (ab310325) at 1/1000 dilution

Lane 1:

Rat testis tissue lysate at 20 µg

Lane 2:

Rat liver tissue lysate at 20 µg

Lane 3:

Mouse testis tissue lysate at 20 µg

Lane 4:

Mouse liver tissue lysate at 20 µg

Secondary

All lanes:

Western blot - Goat Anti-Rabbit IgG H&L (HRP) (<a href='/en-us/products/secondary-antibodies/goat-rabbit-igg-h-l-hrp-ab97051'>ab97051</a>) at 1/100000 dilution

Observed band size: 50 kDa

false

Exposure time: 180s

Dot Blot - Anti-WIPI2 (phospho S413) antibody [EPR27037-149] (AB310325)
  • Dot

Supplier Data

Dot Blot - Anti-WIPI2 (phospho S413) antibody [EPR27037-149] (AB310325)

Dot blot analysis of WIPI2 (phospho S413) using ab310325 at 1 : 1000 (0.499 ug/ml) followed by a Goat Anti-Rabbit IgG, (H+L), Peroxidase conjugated (ab97051) at 1 : 100,000 dilution. Lane 1 : Mouse WIPI2 phospho (S395) peptide a Lane 2 : Mouse WIPI2 phospho (S395) peptide b Lane 3 : Mouse WIPI2 non-phospho peptide Exposure time : 180 seconds Blocking and diluting buffer and concentration : 5% NFDM/TBST

  • Carrier free

    Anti-WIPI2 (phospho S413) antibody [EPR27037-149] - BSA and Azide free

Key facts

Host species

Rabbit

Clonality

Monoclonal

Clone number

EPR27037-149

Isotype

IgG

Carrier free

No

Reacts with

Human, Mouse, Rat

Applications

WB, Dot

applications

Immunogen

The exact immunogen used to generate this antibody is proprietary information.

Specificity

The antibody recognises human WIPI2 when phosphorylated at Ser413. This site is equivalent to phosphorylated Ser395 in Mouse

Reactivity data

{ "title": "Reactivity Data", "filters": { "stats": ["", "Species", "Dilution Info", "Notes"], "tabs": { "all-applications": {"fullname" : "All Applications", "shortname": "All Applications"}, "Dot" : {"fullname" : "Dot Blot", "shortname":"Dot"}, "WB" : {"fullname" : "Western blot", "shortname":"WB"}, "IHCP" : {"fullname" : "Immunohistochemistry (Formalin/PFA-fixed paraffin-embedded sections)", "shortname":"IHC-P"}, "IP" : {"fullname" : "Immunoprecipitation", "shortname":"IP"}, "ICCIF" : {"fullname" : "Immunocytochemistry/ Immunofluorescence", "shortname":"ICC/IF"}, "FlowCytIntra" : {"fullname" : "Flow Cytometry (Intracellular)", "shortname":"Flow Cyt (Intra)"} }, "product-promise": { "all": "all", "testedAndGuaranteed": "tested", "guaranteed": "expected", "predicted": "predicted", "notRecommended": "not-recommended" } }, "values": { "Human": { "Dot-species-checked": "guaranteed", "Dot-species-dilution-info": "", "Dot-species-notes": "", "WB-species-checked": "testedAndGuaranteed", "WB-species-dilution-info": "1/1000", "WB-species-notes": "<p></p>", "IHCP-species-checked": "notRecommended", "IHCP-species-dilution-info": "", "IHCP-species-notes": "<p></p>", "IP-species-checked": "notRecommended", "IP-species-dilution-info": "", "IP-species-notes": "<p></p>", "ICCIF-species-checked": "notRecommended", "ICCIF-species-dilution-info": "", "ICCIF-species-notes": "<p></p>", "FlowCytIntra-species-checked": "notRecommended", "FlowCytIntra-species-dilution-info": "", "FlowCytIntra-species-notes": "<p></p>" }, "Mouse": { "Dot-species-checked": "guaranteed", "Dot-species-dilution-info": "", "Dot-species-notes": "", "WB-species-checked": "testedAndGuaranteed", "WB-species-dilution-info": "1/1000", "WB-species-notes": "<p></p>", "IHCP-species-checked": "notRecommended", "IHCP-species-dilution-info": "", "IHCP-species-notes": "<p></p>", "IP-species-checked": "notRecommended", "IP-species-dilution-info": "", "IP-species-notes": "<p></p>", "ICCIF-species-checked": "notRecommended", "ICCIF-species-dilution-info": "", "ICCIF-species-notes": "<p></p>", "FlowCytIntra-species-checked": "notRecommended", "FlowCytIntra-species-dilution-info": "", "FlowCytIntra-species-notes": "<p></p>" }, "Rat": { "Dot-species-checked": "guaranteed", "Dot-species-dilution-info": "", "Dot-species-notes": "", "WB-species-checked": "testedAndGuaranteed", "WB-species-dilution-info": "1/1000", "WB-species-notes": "<p></p>", "IHCP-species-checked": "notRecommended", "IHCP-species-dilution-info": "", "IHCP-species-notes": "<p></p>", "IP-species-checked": "notRecommended", "IP-species-dilution-info": "", "IP-species-notes": "", "ICCIF-species-checked": "notRecommended", "ICCIF-species-dilution-info": "", "ICCIF-species-notes": "", "FlowCytIntra-species-checked": "notRecommended", "FlowCytIntra-species-dilution-info": "", "FlowCytIntra-species-notes": "" }, "Synthetic peptide - Mouse": { "Dot-species-checked": "testedAndGuaranteed", "Dot-species-dilution-info": "1/1000", "Dot-species-notes": "<p></p>", "WB-species-checked": "notRecommended", "WB-species-dilution-info": "", "WB-species-notes": "", "IHCP-species-checked": "notRecommended", "IHCP-species-dilution-info": "", "IHCP-species-notes": "", "IP-species-checked": "notRecommended", "IP-species-dilution-info": "", "IP-species-notes": "", "ICCIF-species-checked": "notRecommended", "ICCIF-species-dilution-info": "", "ICCIF-species-notes": "", "FlowCytIntra-species-checked": "notRecommended", "FlowCytIntra-species-dilution-info": "", "FlowCytIntra-species-notes": "" } } }

Product details

Patented technology
Our RabMAb® technology is a patented hybridoma-based technology for making rabbit monoclonal antibodies. For details on our patents, please refer to RabMAb® patents.

What are the advantages of a recombinant monoclonal antibody?
This product is a recombinant monoclonal antibody, which offers several advantages including:

  • - High batch-to-batch consistency and reproducibility
  • - Improved sensitivity and specificity
  • - Long-term security of supply
  • - Animal-free batch production

For more information, read more on recombinant antibodies.

Properties and storage information

Form
Liquid
Purification technique
Affinity purification Protein A
Storage buffer
pH: 7.2 - 7.4 Preservative: 0.01% Sodium azide Constituents: PBS, 40% Glycerol (glycerin, glycerine), 0.05% BSA
Shipped at conditions
Blue Ice
Appropriate short-term storage duration
1-2 weeks
Appropriate short-term storage conditions
+4°C
Appropriate long-term storage conditions
-20°C
Aliquoting information
Upon delivery aliquot
Storage information
Avoid freeze / thaw cycle

Supplementary information

This supplementary information is collated from multiple sources and compiled automatically.

WIPI2 also known as WD repeat domain phosphoinositide-interacting protein 2 functions as a critical component in autophagy a cellular degradation process. This protein weighs approximately 46 kDa and plays an important role in the initiation of autophagosome formation by binding to phosphatidylinositol 3-phosphate on lipid bilayers. Its expression is detected in various tissues with significant abundance in skeletal muscle heart and brain. These expression patterns suggest a broad involvement in cellular regulation and maintenance.
Biological function summary

WIPI2 serves as an important scaffold in the formation of the autophagy machinery. It is part of a larger complex that includes key proteins like Atg16L1 and ULK1 which are essential in the autophagy process. WIPI2 assists in recruiting additional autophagic factors to the developing autophagosome contributing to the membrane curvature and expansion necessary for cargo sequestration. Its activity ensures the efficient turnover of damaged organelles and proteins maintaining cellular health and homeostasis.

Pathways

WIPI2 integrates into the autophagy and PI3K/Akt signaling pathways. Each of these pathways plays a significant role in cellular response to nutrient deprivation and stress. In the autophagy pathway WIPI2 directly interacts with proteins like LC3 facilitating the biogenesis of autophagosomes. Through the PI3K/Akt pathway WIPI2 supports cell survival and growth regulation linking metabolic status with autophagic responses. This interaction highlights its importance in cellular adaptation to environmental changes.

WIPI2 shows a strong connection to neurodegenerative diseases and cancer. Dysfunction in WIPI2's activity has been implicated in the progression of neurodegenerative disorders like Parkinson's Disease where impaired autophagy contributes to the accumulation of misfolded proteins. In cancer altered WIPI2 expression and function are observed linking it with tumorigenesis and cancer cell survival potentially through interactions with proteins such as mTOR and AMPK. Understanding WIPI2’s role in these conditions could lead to novel therapeutic strategies that target autophagy modulation.

Product protocols

For this product, it's our understanding that no specific protocols are required. You can visit:

Target data

Component of the autophagy machinery that controls the major intracellular degradation process by which cytoplasmic materials are packaged into autophagosomes and delivered to lysosomes for degradation. Involved in an early step of the formation of preautophagosomal structures. Binds and is activated by phosphatidylinositol 3-phosphate (PtdIns3P) forming on membranes of the endoplasmic reticulum upon activation of the upstream ULK1 and PI3 kinases (PubMed : 23051912, PubMed : 23291478, PubMed : 24954904). Mediates ER-isolation membranes contacts by interacting with the ULK1 : RB1CC1 complex and PtdIns3P (By similarity). Once activated, WIPI2 recruits at phagophore assembly sites the ATG12-ATG5-ATG16L1 complex that directly controls the elongation of the nascent autophagosomal membrane.
See full target information WIPI2 phospho S413

Product promise

We are committed to supporting your work with high-quality reagents, and we're here for you every step of the way. In the unlikely event that one of our products does not perform as expected, you're protected by our Product Promise.
For full details, please see our Terms & Conditions

Please note: All products are 'FOR RESEARCH USE ONLY. NOT FOR USE IN DIAGNOSTIC OR THERAPEUTIC PROCEDURES'.

For licensing inquiries, please contact partnerships@abcam.com