JavaScript is disabled in your browser. Please enable JavaScript to view this website.
AB260036

Anti-WISP1 antibody [EPR22852-267]

Be the first to review this product! Submit a review

|

(1 Publication)

Rabbit Recombinant Monoclonal WISP1 antibody. Suitable for IP, WB and reacts with Mouse, Rat samples. Cited in 1 publication.

View Alternative Names

Elm1, Wisp1, Ccn4, CCN family member 4, ELM-1, WNT1-inducible-signaling pathway protein 1, WISP-1

4 Images
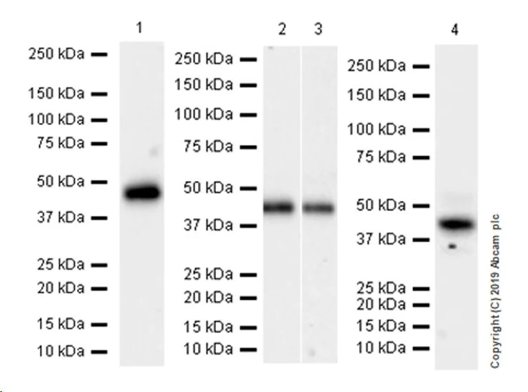
Western blot - Anti-WISP1 antibody [EPR22852-267] (AB260036)
  • WB

Lab

Western blot - Anti-WISP1 antibody [EPR22852-267] (AB260036)

Blocking and diluting buffer and concentration : 5% NFDM/TBST The expression profile and molecular weight observed is consistent with what has been described in the literature (PMID : 20010302, 30723155,17383426, 12064632), the 30kDa band is the splice variant of WISP1 as described in the literature (PMID : 17383426) Exposure time : Lane 1 : 37 seconds; Lane 2 : 59 seconds; Lanes 3 : 3 minutes; Lane 4 : 15 seconds.

All lanes:

Western blot - Anti-WISP1 antibody [EPR22852-267] (ab260036) at 1/1000 dilution

Lane 1:

B16-F10 (mouse melanoma mixture of spindle-shaped and epithelial-like cells) whole cell lysate at 20 µg

Lane 2:

C2C12 (mouse myoblasts myoblast) whole cell lysate at 20 µg

Lane 3:

MEF (mouse embryonic fibroblast (immortalized)) whole cell lysate at 20 µg

Secondary

All lanes:

Western blot - Goat Anti-Rabbit IgG H&L (HRP) (<a href='/en-us/products/secondary-antibodies/goat-rabbit-igg-h-l-hrp-ab97051'>ab97051</a>) at 1/100000 dilution

Predicted band size: 40 kDa

Observed band size: 41 kDa

false

Western blot - Anti-WISP1 antibody [EPR22852-267] (AB260036)
  • WB

Lab

Western blot - Anti-WISP1 antibody [EPR22852-267] (AB260036)

Blocking and diluting buffer and concentration : 5% NFDM/TBST The expression profile and molecular weight observed is consistent with what has been described in the literature (PMID : 20010302, 30723155,17383426, 12064632), the 30kDa band is the splice variant of WISP1 as described in the literature (PMID : 17383426) Exposure time : 81 seconds.

All lanes:

Western blot - Anti-WISP1 antibody [EPR22852-267] (ab260036) at 1/1000 dilution

All lanes:

L6 (rat skeletal muscle myoblast) whole cell lysate at 20 µg

Secondary

All lanes:

Western blot - Goat Anti-Rabbit IgG H&L (HRP) (<a href='/en-us/products/secondary-antibodies/goat-rabbit-igg-h-l-hrp-ab97051'>ab97051</a>) at 1/100000 dilution

Predicted band size: 40 kDa

Observed band size: 30 kDa,41 kDa

false

Immunoprecipitation - Anti-WISP1 antibody [EPR22852-267] (AB260036)
  • IP

Unknown

Immunoprecipitation - Anti-WISP1 antibody [EPR22852-267] (AB260036)

WISP1 was immunoprecipitated from 0.35 mg C2C12 (mouse myoblasts myoblast) whole cell lysate with ab260036 at 1/30 dilution (2ug in 0.35mg lysates). Western blot was performed on the immunoprecipitate using ab260036 at 1/500 dilution. VeriBlot for IP Detection Reagent (HRP) (ab131366) was used at 1/1000 dilution.

Lane 1 : C2C12 (mouse myoblasts myoblast) whole cell lysate 10ug

Lane 2 : ab260036 IP in C2C12 whole cell lysate

Lane 3 : Rabbit monoclonal IgG (ab172730) instead of ab260036 in C2C12 whole cell lysate

Blocking and dilution buffer and concentration : 5% NFDM/TBST.

Exposure time : 10 seconds.

All lanes:

Immunoprecipitation - Anti-WISP1 antibody [EPR22852-267] (ab260036)

Predicted band size: 40 kDa

false

Immunoprecipitation - Anti-WISP1 antibody [EPR22852-267] (AB260036)
  • IP

Unknown

Immunoprecipitation - Anti-WISP1 antibody [EPR22852-267] (AB260036)

WISP1 was immunoprecipitated from 0.35 mg L6 (rat skeletal muscle myoblast) whole cell lysate with ab260036 at 1/30 dilution (2ug in 0.35mg lysates). Western blot was performed on the immunoprecipitate using ab260036 at 1/500 dilution. VeriBlot for IP Detection Reagent (HRP) (ab131366) was used at 1/1000 dilution.

Lane 1 : L6 (rat skeletal muscle myoblast) whole cell lysate 10ug

Lane 2 : ab260036 IP in L6 whole cell lysate

Lane 3 : Rabbit monoclonal IgG (ab172730) instead of ab260036 in L6 whole cell lysate

Blocking and dilution buffer and concentration : 5% NFDM/TBST.

Exposure time : 1 min

All lanes:

Immunoprecipitation - Anti-WISP1 antibody [EPR22852-267] (ab260036)

Predicted band size: 40 kDa

false

  • Carrier free

    Anti-WISP1 antibody [EPR22852-267] - BSA and Azide free

Key facts

Host species

Rabbit

Clonality

Monoclonal

Clone number

EPR22852-267

Isotype

IgG

Carrier free

No

Reacts with

Mouse, Rat

Applications

IP, WB

applications

Immunogen

The exact immunogen used to generate this antibody is proprietary information.

Reactivity data

{ "title": "Reactivity Data", "filters": { "stats": ["", "Species", "Dilution Info", "Notes"], "tabs": { "all-applications": {"fullname" : "All Applications", "shortname": "All Applications"}, "IP" : {"fullname" : "Immunoprecipitation", "shortname":"IP"}, "FlowCyt" : {"fullname" : "Flow Cytometry", "shortname":"Flow Cyt"}, "WB" : {"fullname" : "Western blot", "shortname":"WB"}, "IHCP" : {"fullname" : "Immunohistochemistry (Formalin/PFA-fixed paraffin-embedded sections)", "shortname":"IHC-P"}, "ICCIF" : {"fullname" : "Immunocytochemistry/ Immunofluorescence", "shortname":"ICC/IF"} }, "product-promise": { "all": "all", "testedAndGuaranteed": "tested", "guaranteed": "expected", "predicted": "predicted", "notRecommended": "not-recommended" } }, "values": { "Mouse": { "IP-species-checked": "testedAndGuaranteed", "IP-species-dilution-info": "1/30", "IP-species-notes": "<p></p>", "FlowCyt-species-checked": "notRecommended", "FlowCyt-species-dilution-info": "", "FlowCyt-species-notes": "<p></p>", "WB-species-checked": "testedAndGuaranteed", "WB-species-dilution-info": "1/1000", "WB-species-notes": "<p></p>", "IHCP-species-checked": "notRecommended", "IHCP-species-dilution-info": "", "IHCP-species-notes": "<p></p>", "ICCIF-species-checked": "notRecommended", "ICCIF-species-dilution-info": "", "ICCIF-species-notes": "<p></p>" }, "Rat": { "IP-species-checked": "testedAndGuaranteed", "IP-species-dilution-info": "1/30", "IP-species-notes": "<p></p>", "FlowCyt-species-checked": "notRecommended", "FlowCyt-species-dilution-info": "", "FlowCyt-species-notes": "<p></p>", "WB-species-checked": "testedAndGuaranteed", "WB-species-dilution-info": "1/1000", "WB-species-notes": "<p></p>", "IHCP-species-checked": "notRecommended", "IHCP-species-dilution-info": "", "IHCP-species-notes": "<p></p>", "ICCIF-species-checked": "notRecommended", "ICCIF-species-dilution-info": "", "ICCIF-species-notes": "<p></p>" } } }

You may be interested in:

AB290978

Mouse WISP1 ELISA Kit - Extracellular

0

0 Reviews

View product

We recommend this product because it’s often used in the same experiment or related research.

We advise that you always check the datasheet to ensure it fits your experiments, or contact ourtechnical teamfor help.

Product details

Patented technology
Our RabMAb® technology is a patented hybridoma-based technology for making rabbit monoclonal antibodies. For details on our patents, please refer to RabMAb® patents.

What are the advantages of a recombinant monoclonal antibody?
This product is a recombinant monoclonal antibody, which offers several advantages including:

  • - High batch-to-batch consistency and reproducibility
  • - Improved sensitivity and specificity
  • - Long-term security of supply
  • - Animal-free batch production

For more information, read more on recombinant antibodies.

Properties and storage information

Form
Liquid
Purification technique
Affinity purification Protein A
Storage buffer
pH: 7.2 - 7.4 Preservative: 0.01% Sodium azide Constituents: PBS, 40% Glycerol (glycerin, glycerine), 0.05% BSA
Shipped at conditions
Blue Ice
Appropriate short-term storage duration
1-2 weeks
Appropriate short-term storage conditions
+4°C
Appropriate long-term storage conditions
-20°C
Aliquoting information
Upon delivery aliquot
Storage information
Avoid freeze / thaw cycle

Supplementary information

This supplementary information is collated from multiple sources and compiled automatically.

WISP1 also known as Wnt1 Inducible Signaling Pathway Protein 1 or CCN4 is a protein with significant roles in cellular processes. This protein has an approximate mass of 41 kDa. You can find its expression in various tissues including bone cartilage and vascular tissues. WISP1 belongs to the CCN family of proteins which are matricellular proteins that interact with different cell surface molecules and receptor systems to modulate cellular functions.
Biological function summary

WISP1 plays an important role in cellular proliferation differentiation and survival. It functions as a matricellular protein that can form complexes with integrins and other cell surface receptors. This interaction influences cellular responses to environmental signals. WISP1 contributes to extracellular matrix interaction and cellular adhesion. By regulating these processes WISP1 supports tissue development repair and regeneration.

Pathways

The network of interactions influenced by WISP1 impacts several key signaling pathways including the Wnt signaling pathway and the TGF-beta pathway. These pathways are important for regulating cell growth and differentiation. In connection with the Wnt pathway WISP1 interacts with proteins like beta-catenin which plays an important role in signal transduction and gene expression. These interactions help maintain proper cellular function and structural integrity.

WISP1 shows links to cancer and fibrosis. Dysregulation of WISP1 expression and its related pathways can contribute to the development and progression of these conditions. In cancers WISP1 interacts with proteins like beta-catenin and contributes to the regulation of oncogenic processes such as tumor growth and metastasis. In fibrosis WISP1 influences the deposition of extracellular matrix proteins affecting tissue scarring and organ function.

Product protocols

For this product, it's our understanding that no specific protocols are required. You can visit:

Target data

Downstream regulator in the Wnt/Frizzled-signaling pathway (By similarity). Associated with cell survival. Adheres to skin and melanoma fibroblasts (By similarity). In vitro binding to skin fibroblasts occurs through the proteoglycans, decorin and biglycan (By similarity).
See full target information Ccn4

Publications (1)

Recent publications for all applications. Explore the full list and refine your search

Journal of biochemical and molecular toxicology 35:e22848 PubMed34328678

2021

LINC00511 facilitates Temozolomide resistance of glioblastoma cells via sponging miR-126-5p and activating Wnt/β-catenin signaling.

Applications

Unspecified application

Species

Unspecified reactive species

Yan Lu,Meng Tian,Jiongbo Liu,Kuanhong Wang
View all publications

Product promise

We are committed to supporting your work with high-quality reagents, and we're here for you every step of the way. In the unlikely event that one of our products does not perform as expected, you're protected by our Product Promise.
For full details, please see our Terms & Conditions

Associated Products

Select an associated product type
Alternative Product
Primary Antibodies

AB178547

Anti-WISP1 antibody - C-terminal

primary-antibodies

wisp1-antibody-c-terminal-ab178547

4

(2 reviews)

Please note: All products are 'FOR RESEARCH USE ONLY. NOT FOR USE IN DIAGNOSTIC OR THERAPEUTIC PROCEDURES'.

For licensing inquiries, please contact partnerships@abcam.com