JavaScript is disabled in your browser. Please enable JavaScript to view this website.
AB316279

Anti-WNK1 antibody [EPR28125-60]

  • 20ul selling size
  • Recombinant
  • RabMAb
  • KO Validated
  • What is this?

Be the first to review this product! Submit a review

|

(0 Publication)

Knockout Tested Rabbit Recombinant Monoclonal WNK1 antibody. Suitable for WB and reacts with Human, Mouse, Rat samples.

View Alternative Names

Hsn2, Prkwnk1, Sncg, Serine/threonine-protein kinase WNK1, Protein kinase lysine-deficient 1, Protein kinase with no lysine 1

2 Images
Western blot - Anti-WNK1 antibody [EPR28125-60] (AB316279)
  • WB

Supplier Data

Western blot - Anti-WNK1 antibody [EPR28125-60] (AB316279)

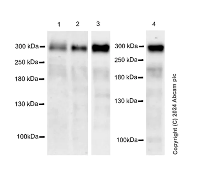
In Western blot, ab316279 was shown to bind specifically to WNK1. Target of interest was observed at 251 kDa in wild-type HAP1 cell lysates (lane 1) with no signal observed at this size in WNK1 knockout cell line (lane 2).

The blot of Lanes 1-3 was developed using a high sensitivity ECL substrate.

In Western blot, Anti-Vinculin antibody [EPR8185] (ab129002) staining at 1/10000 dilution.

Exposure time : Lanes 1-3 : 125 seconds; Lane 4 : 26 seconds.

All lanes:

Western blot - Anti-WNK1 antibody [EPR28125-60] (ab316279) at 1/1000 dilution

Lane 1:

Wild-type HAP1 (human chronic myelogenous leukemia near-haploid cell) whole cell lysate at 20 µg with 5% NFDM/TBST

Lane 2:

WNK1 knockout HAP1 whole cell lysate at 20 µg with 5% NFDM/TBST

Lane 3:

293T (human embryonic kidney epithelial cell) whole cell lysate at 20 µg with 5% NFDM/TBST

Lane 4:

HeLa (human cervical adenocarcinoma epithelial cell) whole cell lysate at 20 µg with 5% NFDM/TBST

Secondary

All lanes:

Western blot - Goat Anti-Rabbit IgG H&L (HRP) (<a href='/en-us/products/secondary-antibodies/goat-rabbit-igg-h-l-hrp-ab97051'>ab97051</a>) at 1/20000 dilution

Observed band size: 251 kDa,124 kDa

false

Western blot - Anti-WNK1 antibody [EPR28125-60] (AB316279)
  • WB

Supplier Data

Western blot - Anti-WNK1 antibody [EPR28125-60] (AB316279)

Lysates were freshly made and used for Western blotting immediately to minimize protein degradation.

Exposure time : Lanes 1-2 : 180 seconds; Lane 3 : 37 seconds; Lane 4 : 70 seconds.

All lanes:

Western blot - Anti-WNK1 antibody [EPR28125-60] (ab316279) at 1/1000 dilution

Lane 1:

Mouse brain tissue lysate at 20 µg with 5% NFDM/TBST

Lane 2:

Mouse liver tissue lysate at 20 µg with 5% NFDM/TBST

Lane 3:

Mouse testis tissue lysate at 20 µg with 5% NFDM/TBST

Lane 4:

Rat testis tissue lysate at 20 µg with 5% NFDM/TBST

Secondary

All lanes:

Western blot - Goat Anti-Rabbit IgG H&L (HRP) (<a href='/en-us/products/secondary-antibodies/goat-rabbit-igg-h-l-hrp-ab97051'>ab97051</a>) at 1/20000 dilution

Observed band size: 251 kDa

false

Key facts

Host species

Rabbit

Clonality

Monoclonal

Clone number

EPR28125-60

Isotype

IgG

Carrier free

No

Reacts with

Human, Mouse, Rat

Applications

WB

applications

Immunogen

The exact immunogen used to generate this antibody is proprietary information.

Reactivity data

{ "title": "Reactivity Data", "filters": { "stats": ["", "Species", "Dilution Info", "Notes"], "tabs": { "all-applications": {"fullname" : "All Applications", "shortname": "All Applications"}, "WB" : {"fullname" : "Western blot", "shortname":"WB"}, "FlowCytIntra" : {"fullname" : "Flow Cytometry (Intracellular)", "shortname":"Flow Cyt (Intra)"}, "ICCIF" : {"fullname" : "Immunocytochemistry/ Immunofluorescence", "shortname":"ICC/IF"}, "IHCP" : {"fullname" : "Immunohistochemistry (Formalin/PFA-fixed paraffin-embedded sections)", "shortname":"IHC-P"}, "IP" : {"fullname" : "Immunoprecipitation", "shortname":"IP"} }, "product-promise": { "all": "all", "testedAndGuaranteed": "tested", "guaranteed": "expected", "predicted": "predicted", "notRecommended": "not-recommended" } }, "values": { "Human": { "WB-species-checked": "testedAndGuaranteed", "WB-species-dilution-info": "1/1000", "WB-species-notes": "<p></p>", "FlowCytIntra-species-checked": "notRecommended", "FlowCytIntra-species-dilution-info": "", "FlowCytIntra-species-notes": "<p></p>", "ICCIF-species-checked": "notRecommended", "ICCIF-species-dilution-info": "", "ICCIF-species-notes": "<p></p>", "IHCP-species-checked": "notRecommended", "IHCP-species-dilution-info": "", "IHCP-species-notes": "<p></p>", "IP-species-checked": "notRecommended", "IP-species-dilution-info": "", "IP-species-notes": "" }, "Mouse": { "WB-species-checked": "testedAndGuaranteed", "WB-species-dilution-info": "1/1000", "WB-species-notes": "<p></p>", "FlowCytIntra-species-checked": "notRecommended", "FlowCytIntra-species-dilution-info": "", "FlowCytIntra-species-notes": "<p></p>", "ICCIF-species-checked": "notRecommended", "ICCIF-species-dilution-info": "", "ICCIF-species-notes": "<p></p>", "IHCP-species-checked": "notRecommended", "IHCP-species-dilution-info": "", "IHCP-species-notes": "<p></p>", "IP-species-checked": "notRecommended", "IP-species-dilution-info": "", "IP-species-notes": "<p></p>" }, "Rat": { "WB-species-checked": "testedAndGuaranteed", "WB-species-dilution-info": "1/1000", "WB-species-notes": "<p></p>", "FlowCytIntra-species-checked": "notRecommended", "FlowCytIntra-species-dilution-info": "", "FlowCytIntra-species-notes": "", "ICCIF-species-checked": "notRecommended", "ICCIF-species-dilution-info": "", "ICCIF-species-notes": "", "IHCP-species-checked": "notRecommended", "IHCP-species-dilution-info": "", "IHCP-species-notes": "<p></p>", "IP-species-checked": "notRecommended", "IP-species-dilution-info": "", "IP-species-notes": "" } } }

Product details

Patented technology
Our RabMAb® technology is a patented hybridoma-based technology for making rabbit monoclonal antibodies. For details on our patents, please refer to RabMAb® patents.

What are the advantages of a recombinant monoclonal antibody?
This product is a recombinant monoclonal antibody, which offers several advantages including:

  • - High batch-to-batch consistency and reproducibility
  • - Improved sensitivity and specificity
  • - Long-term security of supply
  • - Animal-free batch production

For more information, read more on recombinant antibodies.

Properties and storage information

Form
Liquid
Purification technique
Affinity purification Protein A
Storage buffer
pH: 7.2 - 7.4 Preservative: 0.01% Sodium azide Constituents: PBS, 40% Glycerol (glycerin, glycerine), 0.05% BSA
Shipped at conditions
Blue Ice
Appropriate short-term storage duration
1-2 weeks
Appropriate short-term storage conditions
+4°C
Appropriate long-term storage conditions
-20°C
Aliquoting information
Upon delivery aliquot
Storage information
Avoid freeze / thaw cycle

Supplementary information

This supplementary information is collated from multiple sources and compiled automatically.

WNK1 also known as With No Lysine 1 is a protein kinase with a molecular mass of approximately 251 kDa. Mechanically WNK1 functions as a serine/threonine kinase influencing the phosphorylation status of various substrates involved in ionic balance and cell volume regulation. It plays an important role in controlling ion transport channels. The protein is expressed in multiple tissues with high levels in the kidney and lower levels in the brain heart and other regions of the body. Its activity is especially important in the distal nephrons of the kidney.
Biological function summary

WNK1 affects sodium and potassium ion transport which is essential for maintaining homeostasis. It is a part of a larger signaling complex where it modulates the activity of SPAK and OSR1 kinases which directly affect ion transporters like NKCCs and NCC. By regulating these kinases WNK1 contributes to maintaining the balance of electrolytes influencing blood pressure and general cellular osmoregulation.

Pathways

WNK1 significantly impacts the WNK-SPAK/OSR1 signaling pathway which has direct roles in sodium and potassium ion transport. The pathway associates closely with proteins like SPAK and OSR1 which WNK1 activates affecting the function of ion transporters and channels. This signaling mechanism plays an integral role in renal salt reabsorption and is important for controlling systemic blood pressure.

Mutations and dysregulation of WNK1 link to hereditary hypertension and pseudohypoaldosteronism type II (PHAII) also known as Gordon's syndrome. These conditions involve elevated blood pressure and electrolyte imbalance due to altered transport activity. A change in WNK1 function can disrupt normal interaction with other proteins in its pathway such as NCC leading to these disorders. Understanding WNK1's role offers potential therapeutic targets for managing conditions related to electrolyte imbalance and blood pressure regulation.

Product protocols

For this product, it's our understanding that no specific protocols are required. You can visit:

Target data

Serine/threonine-protein kinase component of the WNK1-SPAK/OSR1 kinase cascade, which acts as a key regulator of blood pressure and regulatory volume increase by promoting ion influx (PubMed : 12671053, PubMed : 14610273). WNK1 mediates regulatory volume increase in response to hyperosmotic stress by acting as a molecular crowding sensor, which senses cell shrinkage and mediates formation of a membraneless compartment by undergoing liquid-liquid phase separation (By similarity). The membraneless compartment concentrates WNK1 with its substrates, OXSR1/OSR1 and STK39/SPAK, promoting WNK1-dependent phosphorylation and activation of downstream kinases OXSR1/OSR1 and STK39/SPAK (By similarity). Following activation, OXSR1/OSR1 and STK39/SPAK catalyze phosphorylation of ion cotransporters SLC12A1/NKCC2, SLC12A2/NKCC1, SLC12A5/KCC2 and SLC12A6/KCC3, regulating their activity (By similarity). Phosphorylation of Na-K-Cl cotransporters SLC12A2/NKCC1 and SLC12A2/NKCC1 promote their activation and ion influx; simultaneously, phosphorylation of K-Cl cotransporters SLC12A5/KCC2 and SLC12A6/KCC3 inhibit their activity, blocking ion efflux (By similarity). Also acts as a regulator of angiogenesis in endothelial cells (PubMed : 19644017). Also acts independently of the WNK1-SPAK/OSR1 kinase cascade by catalyzing phosphorylation of other substrates, such as SYT2, PCF11 and NEDD4L (By similarity). Mediates phosphorylation of SYT2, regulating SYT2 association with phospholipids and membrane-binding (By similarity). Regulates mRNA export in the nucleus by mediating phosphorylation of PCF11, thereby decreasing the association between PCF11 and POLR2A/RNA polymerase II and promoting mRNA export to the cytoplasm (By similarity). Acts as a negative regulator of autophagy (By similarity). Required for the abscission step during mitosis, independently of the WNK1-SPAK/OSR1 kinase cascade (By similarity). WNK1 may also play a role in actin cytoskeletal reorganization (By similarity). Also acts as a scaffold protein independently of its protein kinase activity : negatively regulates cell membrane localization of various transporters and channels, such as SLC4A4, SLC26A6, SLC26A9, TRPV4 and CFTR (PubMed : 21317537, PubMed : 23542070). Involved in the regulation of epithelial Na(+) channel (ENaC) by promoting activation of SGK1 in a kinase-independent manner : probably acts as a scaffold protein that promotes the recruitment of SGK1 to the mTORC2 complex in response to chloride, leading to mTORC2-dependent phosphorylation and activation of SGK1 (By similarity). Acts as an assembly factor for the ER membrane protein complex independently of its protein kinase activity : associates with EMC2 in the cytoplasm via its amphipathic alpha-helix, and prevents EMC2 ubiquitination and subsequent degradation, thereby promoting EMC2 stabilization (By similarity).. Isoform 7. Kinase-defective isoform specifically expressed in kidney, which acts as a dominant-negative regulator of the longer isoform 1 (PubMed : 21131289). Does not directly inhibit WNK4 and has no direct effect on sodium and chloride ion transport (By similarity). Down-regulates sodium-chloride cotransporter activity indirectly by inhibiting isoform 1, it associates with isoform 1 and attenuates its kinase activity (By similarity). In kidney, may play an important role regulating sodium and potassium balance (By similarity).
See full target information Wnk1

Product promise

We are committed to supporting your work with high-quality reagents, and we're here for you every step of the way. In the unlikely event that one of our products does not perform as expected, you're protected by our Product Promise.
For full details, please see our Terms & Conditions

Please note: All products are 'FOR RESEARCH USE ONLY. NOT FOR USE IN DIAGNOSTIC OR THERAPEUTIC PROCEDURES'.

For licensing inquiries, please contact partnerships@abcam.com