JavaScript is disabled in your browser. Please enable JavaScript to view this website.
AB53137

Anti-WNK1 (phospho T58) antibody

5

(1 Review)

|

(3 Publications)

Rabbit Polyclonal WNK1 phospho T58 antibody. Suitable for WB, IHC-P and reacts with Human samples. Cited in 3 publications. Immunogen corresponding to Synthetic Peptide within Human WNK1 phospho T58 aa 1-100.

View Alternative Names

HSN2, KDP, KIAA0344, PRKWNK1, WNK1, Serine/threonine-protein kinase WNK1, Erythrocyte 65 kDa protein, Kinase deficient protein, Protein kinase lysine-deficient 1, Protein kinase with no lysine 1, p65, hWNK1

2 Images
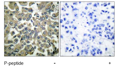
Immunohistochemistry (Formalin/PFA-fixed paraffin-embedded sections) - Anti-WNK1 (phospho T58) antibody (AB53137)
  • IHC-P

Unknown

Immunohistochemistry (Formalin/PFA-fixed paraffin-embedded sections) - Anti-WNK1 (phospho T58) antibody (AB53137)

ab53137 at 1/50 dilution staining WNK1 in human breast carcinoma by Immunohistochemistry, Paraffin embedded tissue, in the absence or presence of the immunising peptide.

Western blot - Anti-WNK1 (phospho T58) antibody (AB53137)
  • WB

Unknown

Western blot - Anti-WNK1 (phospho T58) antibody (AB53137)

All lanes:

Western blot - Anti-WNK1 (phospho T58) antibody (ab53137) at 1/300 dilution

Lane 1:

293 cell extract treated with EGF (200ng/ml, 30mins)

Lane 2:

293 cell extract treated with EGF (200ng/ml, 30mins) with immunising peptide

Predicted band size: 250 kDa

false

Key facts

Host species

Rabbit

Clonality

Polyclonal

Isotype

IgG

Carrier free

No

Reacts with

Human

Applications

WB, IHC-P

applications

Immunogen

Synthetic Peptide within Human WNK1 phospho T58 aa 1-100. The exact immunogen used to generate this antibody is proprietary information.

Q9H4A3

Reactivity data

{ "title": "Reactivity Data", "filters": { "stats": ["", "Species", "Dilution Info", "Notes"], "tabs": { "all-applications": {"fullname" : "All Applications", "shortname": "All Applications"}, "WB" : {"fullname" : "Western blot", "shortname":"WB"}, "IHCP" : {"fullname" : "Immunohistochemistry (Formalin/PFA-fixed paraffin-embedded sections)", "shortname":"IHC-P"} }, "product-promise": { "all": "all", "testedAndGuaranteed": "tested", "guaranteed": "expected", "predicted": "predicted", "notRecommended": "not-recommended" } }, "values": { "Human": { "WB-species-checked": "testedAndGuaranteed", "WB-species-dilution-info": "1/300 - 1/1000", "WB-species-notes": "<p></p>", "IHCP-species-checked": "testedAndGuaranteed", "IHCP-species-dilution-info": "", "IHCP-species-notes": "<p></p>" } } }

Properties and storage information

Form
Liquid
Purification technique
Affinity purification Immunogen
Purification notes
ab53137 was affinity-purified from rabbit antiserum by affinity-chromatography using epitope-specific phosphopeptide. The antibody against non-phosphopeptide was removed by chromatography using non-phosphopeptide corresponding to the phosphorylation site.
Storage buffer
pH: 7.4 Preservative: 0.02% Sodium azide Constituents: PBS, 50% Glycerol (glycerin, glycerine), 0.87% Sodium chloride
Shipped at conditions
Blue Ice
Appropriate short-term storage conditions
+4°C
Appropriate long-term storage conditions
-20°C
Storage information
Stable for 12 months at -20°C

Supplementary information

This supplementary information is collated from multiple sources and compiled automatically.

WNK1 also known as With No Lysine 1 is a protein kinase with a molecular mass of approximately 251 kDa. Mechanically WNK1 functions as a serine/threonine kinase influencing the phosphorylation status of various substrates involved in ionic balance and cell volume regulation. It plays an important role in controlling ion transport channels. The protein is expressed in multiple tissues with high levels in the kidney and lower levels in the brain heart and other regions of the body. Its activity is especially important in the distal nephrons of the kidney.
Biological function summary

WNK1 affects sodium and potassium ion transport which is essential for maintaining homeostasis. It is a part of a larger signaling complex where it modulates the activity of SPAK and OSR1 kinases which directly affect ion transporters like NKCCs and NCC. By regulating these kinases WNK1 contributes to maintaining the balance of electrolytes influencing blood pressure and general cellular osmoregulation.

Pathways

WNK1 significantly impacts the WNK-SPAK/OSR1 signaling pathway which has direct roles in sodium and potassium ion transport. The pathway associates closely with proteins like SPAK and OSR1 which WNK1 activates affecting the function of ion transporters and channels. This signaling mechanism plays an integral role in renal salt reabsorption and is important for controlling systemic blood pressure.

Mutations and dysregulation of WNK1 link to hereditary hypertension and pseudohypoaldosteronism type II (PHAII) also known as Gordon's syndrome. These conditions involve elevated blood pressure and electrolyte imbalance due to altered transport activity. A change in WNK1 function can disrupt normal interaction with other proteins in its pathway such as NCC leading to these disorders. Understanding WNK1's role offers potential therapeutic targets for managing conditions related to electrolyte imbalance and blood pressure regulation.

Product protocols

For this product, it's our understanding that no specific protocols are required. You can visit:

Target data

Serine/threonine-protein kinase component of the WNK1-SPAK/OSR1 kinase cascade, which acts as a key regulator of blood pressure and regulatory volume increase by promoting ion influx (PubMed : 15883153, PubMed : 17190791, PubMed : 31656913, PubMed : 34289367, PubMed : 36318922). WNK1 mediates regulatory volume increase in response to hyperosmotic stress by acting as a molecular crowding sensor, which senses cell shrinkage and mediates formation of a membraneless compartment by undergoing liquid-liquid phase separation (PubMed : 36318922). The membraneless compartment concentrates WNK1 with its substrates, OXSR1/OSR1 and STK39/SPAK, promoting WNK1-dependent phosphorylation and activation of downstream kinases OXSR1/OSR1 and STK39/SPAK (PubMed : 15883153, PubMed : 16263722, PubMed : 17190791, PubMed : 19739668, PubMed : 21321328, PubMed : 22989884, PubMed : 25477473, PubMed : 34289367, PubMed : 36318922). Following activation, OXSR1/OSR1 and STK39/SPAK catalyze phosphorylation of ion cotransporters SLC12A1/NKCC2, SLC12A2/NKCC1, SLC12A5/KCC2 and SLC12A6/KCC3, regulating their activity (PubMed : 16263722, PubMed : 21321328). Phosphorylation of Na-K-Cl cotransporters SLC12A2/NKCC1 and SLC12A2/NKCC1 promote their activation and ion influx; simultaneously, phosphorylation of K-Cl cotransporters SLC12A5/KCC2 and SLC12A6/KCC3 inhibit their activity, blocking ion efflux (PubMed : 19665974, PubMed : 21321328). Also acts as a regulator of angiogenesis in endothelial cells via activation of OXSR1/OSR1 and STK39/SPAK : activation of OXSR1/OSR1 regulates chemotaxis and invasion, while STK39/SPAK regulates endothelial cell proliferation (PubMed : 25362046). Also acts independently of the WNK1-SPAK/OSR1 kinase cascade by catalyzing phosphorylation of other substrates, such as SYT2, PCF11 and NEDD4L (PubMed : 29196535). Mediates phosphorylation of SYT2, regulating SYT2 association with phospholipids and membrane-binding (By similarity). Regulates mRNA export in the nucleus by mediating phosphorylation of PCF11, thereby decreasing the association between PCF11 and POLR2A/RNA polymerase II and promoting mRNA export to the cytoplasm (PubMed : 29196535). Acts as a negative regulator of autophagy (PubMed : 27911840). Required for the abscission step during mitosis, independently of the WNK1-SPAK/OSR1 kinase cascade (PubMed : 21220314). May also play a role in actin cytoskeletal reorganization (PubMed : 10660600). Also acts as a scaffold protein independently of its protein kinase activity : negatively regulates cell membrane localization of various transporters and channels, such as SLC4A4, SLC26A6, SLC26A9, TRPV4 and CFTR (By similarity). Involved in the regulation of epithelial Na(+) channel (ENaC) by promoting activation of SGK1 in a kinase-independent manner : probably acts as a scaffold protein that promotes the recruitment of SGK1 to the mTORC2 complex in response to chloride, leading to mTORC2-dependent phosphorylation and activation of SGK1 (PubMed : 36373794). Acts as an assembly factor for the ER membrane protein complex independently of its protein kinase activity : associates with EMC2 in the cytoplasm via its amphipathic alpha-helix, and prevents EMC2 ubiquitination and subsequent degradation, thereby promoting EMC2 stabilization (PubMed : 33964204).. Isoform 3. Kinase-defective isoform specifically expressed in kidney, which acts as a dominant-negative regulator of the longer isoform 1 (PubMed : 14645531). Does not directly inhibit WNK4 and has no direct effect on sodium and chloride ion transport (By similarity). Down-regulates sodium-chloride cotransporter activity indirectly by inhibiting isoform 1, it associates with isoform 1 and attenuates its kinase activity (By similarity). In kidney, may play an important role regulating sodium and potassium balance (By similarity).
See full target information WNK1 phospho T58

Publications (3)

Recent publications for all applications. Explore the full list and refine your search

Journal of cellular physiology 235:6548-6562 PubMed32068261

2020

Silencing of long noncoding RNA LEF1-AS1 prevents the progression of hepatocellular carcinoma via the crosstalk with microRNA-136-5p/WNK1.

Applications

Unspecified application

Species

Unspecified reactive species

Hui Dong,Peng Jian,Mengchu Yu,Lixin Wang

Biology open 6:956-966 PubMed28522431

2017

WNK1 and p38-MAPK distribution in ionocytes and accessory cells of euryhaline teleost fish implies ionoregulatory function.

Applications

Unspecified application

Species

Unspecified reactive species

W S Marshall,R R F Cozzi,M Spieker

Journal of the American Society of Nephrology : JASN 22:460-71 PubMed21355052

2011

Activation of PI3-kinase stimulates endocytosis of ROMK via Akt1/SGK1-dependent phosphorylation of WNK1.

Applications

WB

Species

Human

Chih-Jen Cheng,Chou-Long Huang
View all publications

Product promise

We are committed to supporting your work with high-quality reagents, and we're here for you every step of the way. In the unlikely event that one of our products does not perform as expected, you're protected by our Product Promise.
For full details, please see our Terms & Conditions

Please note: All products are 'FOR RESEARCH USE ONLY. NOT FOR USE IN DIAGNOSTIC OR THERAPEUTIC PROCEDURES'.

For licensing inquiries, please contact partnerships@abcam.com