JavaScript is disabled in your browser. Please enable JavaScript to view this website.
AB316738

Anti-Wnt11 antibody [EPR25633-141]

Be the first to review this product! Submit a review

|

(0 Publication)

Rabbit Recombinant Monoclonal WNT11 antibody. Suitable for WB, ICC/IF, IP and reacts with Human, Rat, Mouse samples.

View Alternative Names

Protein Wnt-11, WNT11

5 Images
Immunocytochemistry/ Immunofluorescence - Anti-Wnt11 antibody [EPR25633-141] (AB316738)
  • ICC/IF

Supplier Data

Immunocytochemistry/ Immunofluorescence - Anti-Wnt11 antibody [EPR25633-141] (AB316738)

Immunofluorescent analysis of 4% Paraformaldehyde-fixed, 0.1% TritonX-100 permeabilized TF-1 (human erythroleukemia erythroblast) cells labelling Wnt11 with ab316738 at 1/50 (9.78 ug/ml) dilution, followed by ab150081 Goat Anti-Rabbit IgG H&L (Alexa Fluor® 488) preadsorbed antibody at 1/1000 (2ug/ml) dilution (Green).

Confocal image showing cytoplamic staining in TF-1 cell line. Negative control : A549.
Nuclear DNA was labeled with DAPI. Image was taken with a confocal microscope(Leica-Microsystems, TCS SP8).

ab195889 Anti-alpha Tubulin mouse monoclonal antibody - Microtubule Marker (Alexa Fluor® 594) was used to counterstain tubulin at 1/200 (2.5ug/ml) dilution (Magenta). The Nuclear counterstain was DAPI (Blue).

Secondary antibody only control : Secondary antibody is ab150081 Goat Anti-Rabbit IgG H&L (Alexa Fluor® 488) preadsorbed at 1/1000 (2ug/ml) dilution.

Immunoprecipitation - Anti-Wnt11 antibody [EPR25633-141] (AB316738)
  • IP

Supplier Data

Immunoprecipitation - Anti-Wnt11 antibody [EPR25633-141] (AB316738)

Wnt11 was immunoprecipitated from 0.35 mg TF-1 (human Erythroleukemia erythroblast) whole cell lysate with ab316738 at 1/30 dilution (2ug in 0.35mg lysates). Western blot was performed on the immunoprecipitate using ab316738 at 1/1000 dilution. VeriBlot for IP secondary antibody(HRP)(ab131366) was used at 1/5000 dilution.

Lane 1 : TF-1 (human Erythroleukemia erythroblast) whole cell lysate
Lane 2 : ab316738 IP in TF-1 (human Erythroleukemia erythroblast) whole cell lysate
Lane 3 : Rabbit monoclonal IgG (ab172730) instead of ab316738 in TF-1 whole cell lysate

All lanes:

Immunoprecipitation - Anti-Wnt11 antibody [EPR25633-141] (ab316738) at 1/30 dilution

All lanes:

TF-1 (human Erythroleukemia erythroblast) whole cell lysate

Secondary

All lanes:

Immunoprecipitation - VeriBlot for IP Detection Reagent (HRP) (<a href='/en-us/products/reagents/veriblot-for-ip-detection-reagent-hrp-ab131366'>ab131366</a>) at 1/5000 dilution

false

Exposure time: 8s

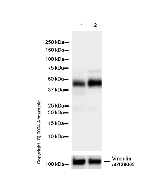
Western blot - Anti-Wnt11 antibody [EPR25633-141] (AB316738)
  • WB

Supplier Data

Western blot - Anti-Wnt11 antibody [EPR25633-141] (AB316738)

In Western blot, Anti-Vinculin antibody [EPR8185] (ab129002) staining at 1/10000 dilution.

All lanes:

Western blot - Anti-Wnt11 antibody [EPR25633-141] (ab316738) at 1/1000 dilution

Lane 1:

Untreated JEG-3 (human placenta epithelial cell) whole cell lysate at 60 µg

Lane 2:

JEG-3 treated with 300 ng/ml Brefeldin A for 24h whole cell lysate at 60 µg

Secondary

All lanes:

Goat Anti-Rabbit IgG (HRP) with minimal cross-reactivity with human IgG at 1/2000 dilution

Observed band size: 39 kDa,124 kDa

false

Exposure time: 8s

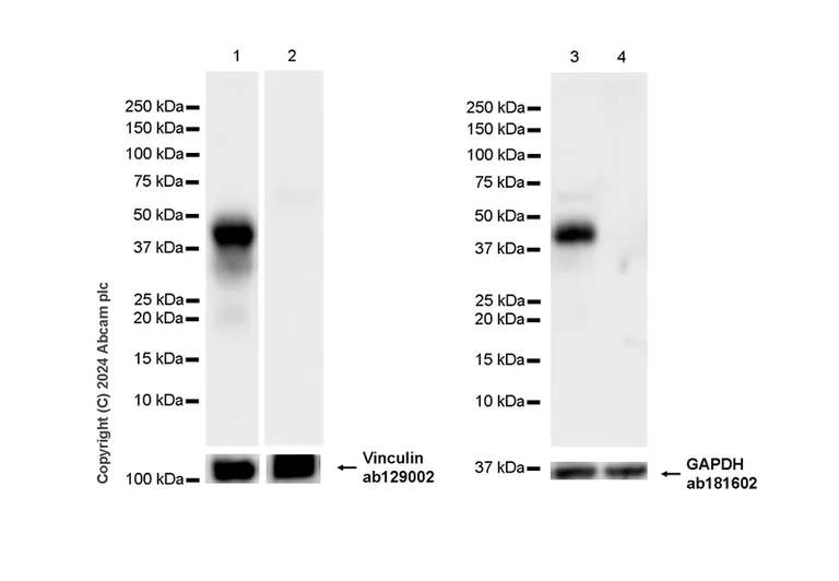
Western blot - Anti-Wnt11 antibody [EPR25633-141] (AB316738)
  • WB

Supplier Data

Western blot - Anti-Wnt11 antibody [EPR25633-141] (AB316738)

Negative control : NCI-H1975 (PMID : 31231131), A549 (PMID : 31231131).

In Western blot, Anti-GAPDH antibody [EPR16891] - Loading Control (ab181602) staining at 1/200000 dilution.

In Western blot, Anti-Vinculin antibody [EPR8185] (ab129002) staining at 1/10000 dilution.

Exposure time : Lane 1-2 : 3 seconds, Lane 3-4 : 26 seconds

All lanes:

Western blot - Anti-Wnt11 antibody [EPR25633-141] (ab316738) at 1/1000 dilution

Lane 1:

TF-1 (human Erythroleukemia erythroblast) whole cell lysate at 60 µg

Lane 2:

NCI-H1975 (human adenocarcinoma lung epithelial cell) whole cell lysate at 60 µg

Lane 3:

Saos-2 (human osteosarcoma epithelial cell) whole cell lysate at 60 µg

Lane 4:

A549 (human lung carcinoma epithelial cell) whole cell lysate at 60 µg

Secondary

All lanes:

Goat Anti-Rabbit IgG (HRP) with minimal cross-reactivity with human IgG at 1/2000 dilution

Observed band size: 39 kDa,36 kDa,124 kDa

false

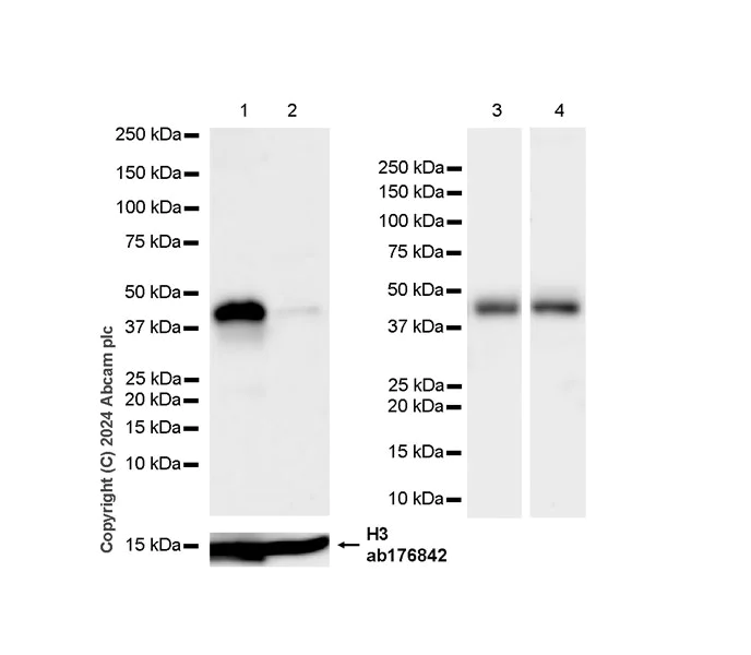
Western blot - Anti-Wnt11 antibody [EPR25633-141] (AB316738)
  • WB

Supplier Data

Western blot - Anti-Wnt11 antibody [EPR25633-141] (AB316738)

Low expression : lung (PMID : 15084607).

In Western blot, Anti-Histone H3 antibody [EPR16987] - Nuclear Marker and ChIP Grade (ab176842) staining at 1/100000 dilution.

Exposure time : Lane 1-2 : 37 seconds, Lane 3-4 : 26 seconds

All lanes:

Western blot - Anti-Wnt11 antibody [EPR25633-141] (ab316738) at 1/1000 dilution

Lane 1:

Rat fetal lung tissue lysate at 60 µg

Lane 2:

Rat lung tissue lysate at 60 µg

Lane 3:

Rat embryo tissue lysate at 60 µg

Lane 4:

Mouse embryo tissue lysate at 60 µg

Secondary

All lanes:

Goat Anti-Rabbit IgG (HRP) with minimal cross-reactivity with human IgG at 1/2000 dilution

Observed band size: 39 kDa,15 kDa

false

  • Carrier free

    Anti-Wnt11 antibody [EPR25633-141] - BSA and Azide free

  • Carrier free

    Anti-Wnt11 antibody [EPR25633-141] - BSA and Azide free (Detector)

Key facts

Host species

Rabbit

Clonality

Monoclonal

Clone number

EPR25633-141

Isotype

IgG

Carrier free

No

Reacts with

Human, Rat, Mouse

Applications

WB, ICC/IF, IP

applications

Immunogen

The exact immunogen used to generate this antibody is proprietary information.

Reactivity data

{ "title": "Reactivity Data", "filters": { "stats": ["", "Species", "Dilution Info", "Notes"], "tabs": { "all-applications": {"fullname" : "All Applications", "shortname": "All Applications"}, "WB" : {"fullname" : "Western blot", "shortname":"WB"}, "ICCIF" : {"fullname" : "Immunocytochemistry/ Immunofluorescence", "shortname":"ICC/IF"}, "IP" : {"fullname" : "Immunoprecipitation", "shortname":"IP"}, "IHCP" : {"fullname" : "Immunohistochemistry (Formalin/PFA-fixed paraffin-embedded sections)", "shortname":"IHC-P"}, "FlowCytIntra" : {"fullname" : "Flow Cytometry (Intracellular)", "shortname":"Flow Cyt (Intra)"} }, "product-promise": { "all": "all", "testedAndGuaranteed": "tested", "guaranteed": "expected", "predicted": "predicted", "notRecommended": "not-recommended" } }, "values": { "Human": { "WB-species-checked": "testedAndGuaranteed", "WB-species-dilution-info": "1/1000", "WB-species-notes": "<p></p>", "ICCIF-species-checked": "testedAndGuaranteed", "ICCIF-species-dilution-info": "1/50", "ICCIF-species-notes": "<p></p>", "IP-species-checked": "testedAndGuaranteed", "IP-species-dilution-info": "1/30", "IP-species-notes": "<p></p>", "IHCP-species-checked": "notRecommended", "IHCP-species-dilution-info": "", "IHCP-species-notes": "<p></p>", "FlowCytIntra-species-checked": "notRecommended", "FlowCytIntra-species-dilution-info": "", "FlowCytIntra-species-notes": "<p></p>" }, "Mouse": { "WB-species-checked": "testedAndGuaranteed", "WB-species-dilution-info": "1/1000", "WB-species-notes": "<p></p>", "ICCIF-species-checked": "guaranteed", "ICCIF-species-dilution-info": "", "ICCIF-species-notes": "", "IP-species-checked": "guaranteed", "IP-species-dilution-info": "", "IP-species-notes": "", "IHCP-species-checked": "notRecommended", "IHCP-species-dilution-info": "", "IHCP-species-notes": "<p></p>", "FlowCytIntra-species-checked": "notRecommended", "FlowCytIntra-species-dilution-info": "", "FlowCytIntra-species-notes": "" }, "Rat": { "WB-species-checked": "testedAndGuaranteed", "WB-species-dilution-info": "1/1000", "WB-species-notes": "<p></p>", "ICCIF-species-checked": "guaranteed", "ICCIF-species-dilution-info": "", "ICCIF-species-notes": "", "IP-species-checked": "guaranteed", "IP-species-dilution-info": "", "IP-species-notes": "", "IHCP-species-checked": "notRecommended", "IHCP-species-dilution-info": "", "IHCP-species-notes": "<p></p>", "FlowCytIntra-species-checked": "notRecommended", "FlowCytIntra-species-dilution-info": "", "FlowCytIntra-species-notes": "" } } }

Product details

Patented technology
Our RabMAb® technology is a patented hybridoma-based technology for making rabbit monoclonal antibodies. For details on our patents, please refer to RabMAb® patents.

What are the advantages of a recombinant monoclonal antibody?
This product is a recombinant monoclonal antibody, which offers several advantages including:

  • - High batch-to-batch consistency and reproducibility
  • - Improved sensitivity and specificity
  • - Long-term security of supply
  • - Animal-free batch production

For more information, read more on recombinant antibodies.

Properties and storage information

Form
Liquid
Purification technique
Affinity purification Protein A
Storage buffer
pH: 7.2 - 7.4 Preservative: 0.01% Sodium azide Constituents: PBS, 40% Glycerol (glycerin, glycerine), 0.05% BSA
Shipped at conditions
Blue Ice
Appropriate short-term storage duration
1-2 weeks
Appropriate short-term storage conditions
+4°C
Appropriate long-term storage conditions
-20°C
Aliquoting information
Upon delivery aliquot
Storage information
Avoid freeze / thaw cycle

Supplementary information

This supplementary information is collated from multiple sources and compiled automatically.

Wnt11 also known as Wingless-type MMTV integration site family member 11 is a signaling protein weighing approximately 40 kDa. It is a member of the Wnt family which consists of secreted glycoproteins characterized by their cysteine-rich structure. Wnt11 regulates cellular processes and is expressed in various tissues including heart and developing limbs. This protein plays a role in cellular communication and influences cell fate determinations during early development.
Biological function summary

The signaling protein Wnt11 modulates diverse cellular processes including cell polarity and migration. Wnt11 is part of a group of proteins that orchestrate cellular signaling without forming a stable complex. It influences the planar cell polarity (PCP) pathway which affects how cells align themselves in the tissue plane. Wnt11's interaction with other Wnt proteins further diversifies its role in developmental signaling impacting processes such as gastrulation and organ development.

Pathways

Wnt11 influences key biological pathways vital for embryogenesis and tissue homeostasis. Wnt11 participates in the non-canonical Wnt signaling pathway like the PCP pathway facilitating cytoskeletal rearrangements and cell adhesion. Wnt11 often interacts with related proteins such as Dishevelled and Frizzled receptors. Additionally Wnt11 influences cardiac morphogenesis and is distinct from the canonical Wnt/beta-catenin pathway emphasizing its role in developmental processes independent of gene transcription activation.

Wnt11 impacts cardiac development and skeletal abnormalities. Defective Wnt11 signaling associates with congenital heart defects as its disruption alters heart tube formation. Associations also exist with craniofacial anomalies. Relevant proteins intersecting with these disorders include Vangl2 in PCP signaling indicating Wnt11's role in ensuring normal organ architecture. By influencing cellular migration and alignment Wnt11 contributes to understanding developmental disorders and potential therapeutic targets.

Product protocols

For this product, it's our understanding that no specific protocols are required. You can visit:

Target data

Ligand for members of the frizzled family of seven transmembrane receptors. Probable developmental protein. May be a signaling molecule which affects the development of discrete regions of tissues. Is likely to signal over only few cell diameters.
See full target information WNT11

Product promise

We are committed to supporting your work with high-quality reagents, and we're here for you every step of the way. In the unlikely event that one of our products does not perform as expected, you're protected by our Product Promise.
For full details, please see our Terms & Conditions

Please note: All products are 'FOR RESEARCH USE ONLY. NOT FOR USE IN DIAGNOSTIC OR THERAPEUTIC PROCEDURES'.

For licensing inquiries, please contact partnerships@abcam.com