JavaScript is disabled in your browser. Please enable JavaScript to view this website.
AB50341

Anti-Wnt3 antibody

Be the first to review this product! Submit a review

|

(5 Publications)

Goat Polyclonal WNT3 antibody. Suitable for WB, IHC-P and reacts with Human samples. Cited in 5 publications. Immunogen corresponding to Synthetic Peptide within Human WNT3 aa 300-350.

View Alternative Names

INT4, WNT3, Proto-oncogene Wnt-3, Proto-oncogene Int-4 homolog

3 Images
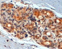
Immunohistochemistry (Formalin/PFA-fixed paraffin-embedded sections) - Anti-Wnt3 antibody (AB50341)
  • IHC-P

Supplier Data

Immunohistochemistry (Formalin/PFA-fixed paraffin-embedded sections) - Anti-Wnt3 antibody (AB50341)

ab50341 (2μg/ml) staining of paraffin embedded Human Breast shows cytoplasm staining in some luminal epithelial cells following steamed antigen retrieval with citrate buffer pH 6 and HRP-staining.

Western blot - Anti-Wnt3 antibody (AB50341)
  • WB

Unknown

Western blot - Anti-Wnt3 antibody (AB50341)

Primary incubation was 1 hour. Detected by chemiluminescence.

All lanes:

Western blot - Anti-Wnt3 antibody (ab50341) at 1 µg/mL

All lanes:

Human Brain lysate (35µg protein in RIPA buffer).

Predicted band size: 40 kDa

Observed band size: 17 kDa,38 kDa

false

Western blot - Anti-Wnt3 antibody (AB50341)
  • WB

CiteAb

Western blot - Anti-Wnt3 antibody (AB50341)

Wnt3 western blot using anti-Wnt3 antibody ab50341. Publication image and figure legend from Tripathy, A., Thakurela, S., et al., 2018, PLoS One, PubMed 30513115.

ab50341 was used in this publication in western blot. This may not be the same as the application(s) guaranteed by Abcam. For a full list of applications guaranteed by Abcam for ab50341 please see the product overview.

The higher activity of Wnt and Hh pathway in promotion-group correlates with moderately-differentiated/grade-II HCC.Enhanced Wnt and Hh signaling correlates with moderately differentiated HCC. (A) H and E stained liver sections of control and promotion group (group2) animals showing moderately differentiated, thick trabecular pattern, followed by photomicraphs showing IHC staining of Wnt and Hh pathway molecules at TE and TL phases of promotion stage. The corresponding IHC staining intensity graph is shown in the side panel of figures.Y-axis represents labeling index (%) visual score in each intensity graph. (B) Increasing mRNA expression level of Wnt and Hh pathway molecules of control and group2 animals at TE and TL phases of promotion stage. (C) The figure represents fold increase in relative mRNA expression, calculated with respect to GAPDH for Shh, Ptch1, Gli1, Wnt3 β-catenin in control and group2 animals at TE and TL phases of promotion stage (D) Analysis of Wnt and Hh pathway molecules in rat tissue lysates at TE and TL phases of promotion stage by ELISA. Data presented are representative of three independent experiments performed in triplicates and expressed as Mean±S.D. ** and *** differs significantly at p < 0.005 and <0.0005.

false

Key facts

Host species

Goat

Clonality

Polyclonal

Isotype

IgG

Carrier free

No

Reacts with

Human

Applications

IHC-P, WB

applications

Immunogen

Synthetic Peptide within Human WNT3 aa 300-350. The exact immunogen used to generate this antibody is proprietary information.

P56703

Reactivity data

{ "title": "Reactivity Data", "filters": { "stats": ["", "Species", "Dilution Info", "Notes"], "tabs": { "all-applications": {"fullname" : "All Applications", "shortname": "All Applications"}, "WB" : {"fullname" : "Western blot", "shortname":"WB"}, "IHCP" : {"fullname" : "Immunohistochemistry (Formalin/PFA-fixed paraffin-embedded sections)", "shortname":"IHC-P"} }, "product-promise": { "all": "all", "testedAndGuaranteed": "tested", "guaranteed": "expected", "predicted": "predicted", "notRecommended": "not-recommended" } }, "values": { "Human": { "WB-species-checked": "testedAndGuaranteed", "WB-species-dilution-info": "1-3 µg/mL", "WB-species-notes": "<p>1 hour primary incubation is recommended for this product.</p>", "IHCP-species-checked": "testedAndGuaranteed", "IHCP-species-dilution-info": "2-4 µg/mL", "IHCP-species-notes": "<p></p>" }, "Rat": { "WB-species-checked": "predicted", "WB-species-dilution-info": "", "WB-species-notes": "", "IHCP-species-checked": "predicted", "IHCP-species-dilution-info": "", "IHCP-species-notes": "" }, "Chicken": { "WB-species-checked": "predicted", "WB-species-dilution-info": "", "WB-species-notes": "", "IHCP-species-checked": "predicted", "IHCP-species-dilution-info": "", "IHCP-species-notes": "" }, "Dog": { "WB-species-checked": "predicted", "WB-species-dilution-info": "", "WB-species-notes": "", "IHCP-species-checked": "predicted", "IHCP-species-dilution-info": "", "IHCP-species-notes": "" } } }

Properties and storage information

Form
Liquid
Purification technique
Affinity purification Immunogen
Purification notes
This antibody was purified from goat serum by ammonium sulphate precipitation followed by antigen affinity chromatography using the immunizing peptide.
Storage buffer
pH: 7.3 Preservative: 0.02% Sodium azide Constituents: 0.5% BSA, 0.5% Tris buffered saline
Shipped at conditions
Blue Ice
Appropriate short-term storage conditions
+4°C
Appropriate long-term storage conditions
-20°C
Aliquoting information
Upon delivery aliquot
Storage information
Avoid freeze / thaw cycle

Supplementary information

This supplementary information is collated from multiple sources and compiled automatically.

Wnt3 also known as Wingless-related integration site 3 or Proto-oncogene Wnt-3 plays an important mechanical role in cellular signaling. It is a protein with a mass of approximately 38 kDa. Wnt3 is expressed richly across various tissues including brain heart and skeletal muscle. This protein is instrumental in initiating signaling cascades that influence cell behavior during development.
Biological function summary

Wnt3 functions in the Wnt signaling pathway to regulate gene transcription cellular polarity and cell fate determinations. As a member of the Wnt protein family Wnt3 contributes to a protein complex on the cell surface interacting with cell surface receptors such as frizzled receptors. These interactions trigger intracellular signaling pathways that promote developmental processes and maintain cellular communication networks.

Pathways

Wnt3 is integral to the canonical Wnt/β-catenin signaling pathway and the non-canonical Wnt signaling pathway. In the canonical pathway interactions with β-catenin lead to gene expression changes critical for cell differentiation and proliferation. In the non-canonical pathway Wnt3 associates with proteins like Dishevelled and phosphoproteins to influence cytoskeletal dynamics and cellular movement. These pathways highlight Wnt3's involvement in critical cellular functions and developmental processes.

Aberrant Wnt3 signaling is linked to various conditions including cancer and osteoporosis. The protein's role in cancer often together with the β-catenin protein reveals connections in tumor growth and metastasis. In osteoporosis dysregulation of Wnt3 impacts bone density and strength as it affects osteoblast function in bone formation. These associations highlight Wnt3's significant involvement in pathological states when its signaling is disrupted.

Product protocols

For this product, it's our understanding that no specific protocols are required. You can visit:

Target data

Ligand for members of the frizzled family of seven transmembrane receptors (Probable). Functions in the canonical Wnt signaling pathway that results in activation of transcription factors of the TCF/LEF family (PubMed : 26902720). Required for normal gastrulation, formation of the primitive streak, and for the formation of the mesoderm during early embryogenesis. Required for normal formation of the apical ectodermal ridge (By similarity). Required for normal embryonic development, and especially for limb development (PubMed : 14872406).
See full target information WNT3

Publications (5)

Recent publications for all applications. Explore the full list and refine your search

Gut microbes 16:2347722 PubMed38706205

2024

Microbiota-derived I3A protects the intestine against radiation injury by activating AhR/IL-10/Wnt signaling and enhancing the abundance of probiotics.

Applications

Unspecified application

Species

Unspecified reactive species

Li-Wei Xie,Shang Cai,Hai-Yan Lu,Feng-Ling Tang,Rui-Qiu Zhu,Ye Tian,Ming Li

Cell host & microbe 24:833-846.e6 PubMed30543778

2018

Microbiota-Derived Lactate Accelerates Intestinal Stem-Cell-Mediated Epithelial Development.

Applications

Unspecified application

Species

Unspecified reactive species

Yong-Soo Lee,Tae-Young Kim,Yeji Kim,Su-Hyun Lee,Seungil Kim,Sung Wan Kang,Jin-Young Yang,In-Jeoung Baek,Young Hoon Sung,Yun-Yong Park,Sung Wook Hwang,Eunju O,Kwang Soon Kim,Siqing Liu,Nobuhiko Kamada,Nan Gao,Mi-Na Kweon

PloS one 13:e0208194 PubMed30513115

2018

The molecular connection of histopathological heterogeneity in hepatocellular carcinoma: A role of Wnt and Hedgehog signaling pathways.

Applications

Unspecified application

Species

Unspecified reactive species

Anindita Tripathy,Sudhir Thakurela,Manoj Kumar Sahu,Kanishka Uthanasingh,Manas Behera,Amrendra Kumar Ajay,Ratna Kumari

Journal of cellular biochemistry 119:9316-9326 PubMed30074264

2018

MicroRNA-136 promotes lipopolysaccharide-induced ATDC5 cell injury and inflammatory cytokine expression by targeting myeloid cell leukemia 1.

Applications

Unspecified application

Species

Unspecified reactive species

Yang Wang,Daliang Kong

Cell death and differentiation 26:426-442 PubMed29786076

2018

c-Myc inhibits myoblast differentiation and promotes myoblast proliferation and muscle fibre hypertrophy by regulating the expression of its target genes, miRNAs and lincRNAs.

Applications

Unspecified application

Species

Unspecified reactive species

Wen Luo,Jiahui Chen,Limin Li,Xueyi Ren,Tian Cheng,Shiyi Lu,Raman Akinyanju Lawal,Qinghua Nie,Xiquan Zhang,Olivier Hanotte
View all publications

Product promise

We are committed to supporting your work with high-quality reagents, and we're here for you every step of the way. In the unlikely event that one of our products does not perform as expected, you're protected by our Product Promise.
For full details, please see our Terms & Conditions

Please note: All products are 'FOR RESEARCH USE ONLY. NOT FOR USE IN DIAGNOSTIC OR THERAPEUTIC PROCEDURES'.

For licensing inquiries, please contact partnerships@abcam.com