JavaScript is disabled in your browser. Please enable JavaScript to view this website.
AB150588

Anti-Wnt6 antibody

Be the first to review this product! Submit a review

|

(4 Publications)

Rabbit Polyclonal WNT6 antibody. Suitable for IHC-P and reacts with Human samples. Cited in 4 publications. Immunogen corresponding to Synthetic Peptide within Human WNT6.

View Alternative Names

Protein Wnt-6, WNT6

1 Images
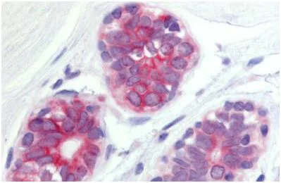
Immunohistochemistry (Formalin/PFA-fixed paraffin-embedded sections) - Anti-Wnt6 antibody (AB150588)
  • IHC-P

Unknown

Immunohistochemistry (Formalin/PFA-fixed paraffin-embedded sections) - Anti-Wnt6 antibody (AB150588)

Immunohistochemical analysis of formalin-fixed, paraffin-embedded Human breast (epithelial cell) tissue labeling Wnt6 with ab150588 at 20 μg/ml.

Key facts

Host species

Rabbit

Clonality

Polyclonal

Isotype

IgG

Carrier free

No

Reacts with

Human

Applications

IHC-P

applications

Immunogen

Synthetic Peptide within Human WNT6. The exact immunogen used to generate this antibody is proprietary information.

Q9Y6F9

Specificity

BLAST analysis of the peptide immunogen showed no homology with other Human proteins.

Reactivity data

{ "title": "Reactivity Data", "filters": { "stats": ["", "Species", "Dilution Info", "Notes"], "tabs": { "all-applications": {"fullname" : "All Applications", "shortname": "All Applications"}, "IHCP" : {"fullname" : "Immunohistochemistry (Formalin/PFA-fixed paraffin-embedded sections)", "shortname":"IHC-P"} }, "product-promise": { "all": "all", "testedAndGuaranteed": "tested", "guaranteed": "expected", "predicted": "predicted", "notRecommended": "not-recommended" } }, "values": { "Human": { "IHCP-species-checked": "testedAndGuaranteed", "IHCP-species-dilution-info": "20 µg/mL", "IHCP-species-notes": "<p></p> Perform heat-mediated antigen retrieval before commencing with IHC staining protocol." }, "Mouse": { "IHCP-species-checked": "predicted", "IHCP-species-dilution-info": "", "IHCP-species-notes": "" }, "Rat": { "IHCP-species-checked": "predicted", "IHCP-species-dilution-info": "", "IHCP-species-notes": "" }, "Common marmoset": { "IHCP-species-checked": "predicted", "IHCP-species-dilution-info": "", "IHCP-species-notes": "" }, "Cow": { "IHCP-species-checked": "predicted", "IHCP-species-dilution-info": "", "IHCP-species-notes": "" }, "Dog": { "IHCP-species-checked": "predicted", "IHCP-species-dilution-info": "", "IHCP-species-notes": "" }, "Gorilla": { "IHCP-species-checked": "predicted", "IHCP-species-dilution-info": "", "IHCP-species-notes": "" }, "Hamster": { "IHCP-species-checked": "predicted", "IHCP-species-dilution-info": "", "IHCP-species-notes": "" }, "Horse": { "IHCP-species-checked": "predicted", "IHCP-species-dilution-info": "", "IHCP-species-notes": "" }, "Monkey": { "IHCP-species-checked": "predicted", "IHCP-species-dilution-info": "", "IHCP-species-notes": "" }, "Opossum": { "IHCP-species-checked": "predicted", "IHCP-species-dilution-info": "", "IHCP-species-notes": "" }, "Rabbit": { "IHCP-species-checked": "predicted", "IHCP-species-dilution-info": "", "IHCP-species-notes": "" } } }

Properties and storage information

Form
Liquid
Purification technique
Affinity purification Immunogen
Storage buffer
pH: 7.4 Preservative: 0.1% Sodium azide Constituents: PBS
Shipped at conditions
Blue Ice
Appropriate short-term storage conditions
+4°C
Appropriate long-term storage conditions
-20°C
Storage information
Avoid freeze / thaw cycle|Stable for 12 months at -20°C

Supplementary information

This supplementary information is collated from multiple sources and compiled automatically.

Wnt6 also known simply as Wnt-6 is a member of the Wnt protein family characterized by its role in signaling pathways that regulate cell fate and patterning. It weighs approximately 50 kDa and is often found expressed in various tissues including the epidermis central nervous system and developing limbs. Wnt6 interacts with frizzled receptors on the cell surface to transmit signals that influence key cellular processes. Though the precise expression can vary it is generally consistent in tissues involved in development and repair.
Biological function summary

Wnt6 plays a significant role in embryonic development and tissue regeneration. By participating in the Wnt signaling pathways it helps in the control of cell division migration and differentiation. Wnt6 does not function alone but is part of a larger complex that includes other Wnt family members and receptors which collaborate to ensure proper signaling and cellular responses. Its activity is important during critical periods of development influencing the formation of various organs and tissues.

Pathways

Wnt6 is an important player in the canonical Wnt/β-catenin signaling pathway. This pathway is instrumental in regulating gene expression that determines cell behavior. Additionally Wnt6 is part of the planar cell polarity pathway interacting with other Wnt proteins like Wnt3a and signaling molecules such as Dishevelled and β-catenin. These pathways collectively regulate important cellular processes and maintain proper tissue architecture and functionality through coordinated signaling.

Wnt6 has been linked to various cancer types and developmental abnormalities. Its dysregulation can contribute to carcinogenesis particularly in breast cancer where altered Wnt6 expression impacts cellular proliferation and survival. Additionally its role in limb development suggests that mutations or misregulation might lead to limb deformities or skeletal disorders. Aberrant Wnt6 activity often correlates with changes in associated proteins such as β-catenin and frizzled receptors which together can offer potential targets for therapeutic intervention.

Product protocols

For this product, it's our understanding that no specific protocols are required. You can visit:

Target data

Ligand for members of the frizzled family of seven transmembrane receptors. Probable developmental protein. May be a signaling molecule which affects the development of discrete regions of tissues. Is likely to signal over only few cell diameters. Together with CAV1 may promote chemoresistance of gastric cancer cells to DNA-damaging anthracycline drugs through the activation of the canonical Wnt receptor signaling pathway.
See full target information WNT6

Publications (4)

Recent publications for all applications. Explore the full list and refine your search

FASEB journal : official publication of the Federation of American Societies for Experimental Biology 37:e22776 PubMed36688817

2023

Loss of aquaporin 5 contributes to the corneal epithelial pathogenesis via Wnt/β-catenin pathway.

Applications

Unspecified application

Species

Unspecified reactive species

Yihui Wang,Guohu Di,Kaier Zhang,Ying Bai,Xin Cao,Hui Zhao,Dianqiang Wang,Peng Chen

BMC oral health 22:117 PubMed35397562

2022

Assessment of risk factors and molecular biomarkers in children with supernumerary teeth: a single-center study.

Applications

Unspecified application

Species

Unspecified reactive species

Dalia M Talaat,Ibrahim Y Hachim,Marwa M Afifi,Iman M Talaat,Mona A ElKateb

Journal of thoracic disease 12:5906-5915 PubMed33209423

2020

WNT/β-catenin pathway activation via Wnt1 overexpression and Axin1 downregulation correlates with cadherin-catenin complex disruption and increased lymph node involvement in micropapillary-predominant lung adenocarcinoma.

Applications

Unspecified application

Species

Unspecified reactive species

Liang Zhu,Shifeng Yang,Linfeng Zheng,Gu Zhang,Guoping Cheng

Oncology letters 14:271-275 PubMed28693164

2017

Correlation study of DNA methylation of WNT6 gene with osteosarcoma in children.

Applications

Unspecified application

Species

Unspecified reactive species

Li Li,Chi Xu,Pingtao Liu,Jia Huang
View all publications

Product promise

We are committed to supporting your work with high-quality reagents, and we're here for you every step of the way. In the unlikely event that one of our products does not perform as expected, you're protected by our Product Promise.
For full details, please see our Terms & Conditions

Please note: All products are 'FOR RESEARCH USE ONLY. NOT FOR USE IN DIAGNOSTIC OR THERAPEUTIC PROCEDURES'.

For licensing inquiries, please contact partnerships@abcam.com