JavaScript is disabled in your browser. Please enable JavaScript to view this website.
AB100792

Anti-Wnt7a antibody

2

(2 Reviews)

|

(27 Publications)

Rabbit Polyclonal WNT7A antibody. Suitable for WB, ICC/IF and reacts with Human, Mouse samples. Cited in 27 publications.

View Alternative Names

Protein Wnt-7a, WNT7A

4 Images
Immunocytochemistry/ Immunofluorescence - Anti-Wnt7a antibody (AB100792)
  • ICC/IF

Lab

Immunocytochemistry/ Immunofluorescence - Anti-Wnt7a antibody (AB100792)

ab100792 staining Wnt7a in HepG2 cells. The cells were fixed with 100% methanol (5 min), permeabilized with 0.1% PBS-Tween for 5 minutes and then blocked with 1% BSA/10% normal goat serum/0.3M glycine in 0.1%PBS-Tween for 1h. The cells were then incubated overnight at 4°C with ab100792 at 1µg/ml and ab7291, Mouse monoclonal [DM1A] to alpha Tubulin - Loading Control. Cells were then incubated with ab150081, Goat polyclonal Secondary Antibody to Rabbit IgG - H&L (Alexa Fluor® 488), pre-adsorbed at 1/1000 dilution (shown in green) and ab150120, Goat polyclonal Secondary Antibody to Mouse IgG - H&L (Alexa Fluor® 594), pre-adsorbed at 1/1000 dilution (shown in pseudocolour red). Nuclear DNA was labelled with DAPI (shown in blue). Also suitable in cells fixed with 4% paraformaldehyde (10 min). Image was acquired with a high-content analyser (Operetta CLS, Perkin Elmer) and a maximum intensity projection of confocal sections is shown.

Western blot - Anti-Wnt7a antibody (AB100792)
  • WB

Unknown

Western blot - Anti-Wnt7a antibody (AB100792)

Exposure : 4 minutes

Blocking buffer : 2% BSA

Gel type : MOPS

Observed band size : 41 kDa

Additional bands : 50 kDa, 27kDa

All lanes:

Western blot - Anti-Wnt7a antibody (ab100792) at 1 µg/mL

Lane 1:

Human Kidney lysate at 10 µg

Lane 2:

Mouse Kidney lysate at 10 µg

Lane 3:

HepG2 whole cell lysate at 10 µg

Lane 4:

COLO 205 whole cell lysate at 10 µg

Lane 5:

Human Colon tumour tissue lysate at 10 µg

Secondary

All lanes:

Goat Anti-Rabbit IgG H&L (HRP) at 1/50000 dilution

Predicted band size: 39 kDa

false

Western blot - Anti-Wnt7a antibody (AB100792)
  • WB

Unknown

Western blot - Anti-Wnt7a antibody (AB100792)

All lanes:

Western blot - Anti-Wnt7a antibody (ab100792) at 1 µg/mL

All lanes:

Human kidney tissue lysate - total protein (<a href='/en-us/products/unavailable/human-kidney-tissue-lysate-total-protein-ab30203'>ab30203</a>) at 10 µg

Secondary

All lanes:

Western blot - Goat Anti-Rabbit IgG H&L (HRP) preadsorbed (<a href='/en-us/products/secondary-antibodies/goat-rabbit-igg-h-l-hrp-preadsorbed-ab97080'>ab97080</a>) at 1/5000 dilution

Predicted band size: 39 kDa

Observed band size: 15 kDa,28 kDa,41 kDa

true

Exposure time: 16min

Western blot - Anti-Wnt7a antibody (AB100792)
  • WB

CiteAb

Western blot - Anti-Wnt7a antibody (AB100792)

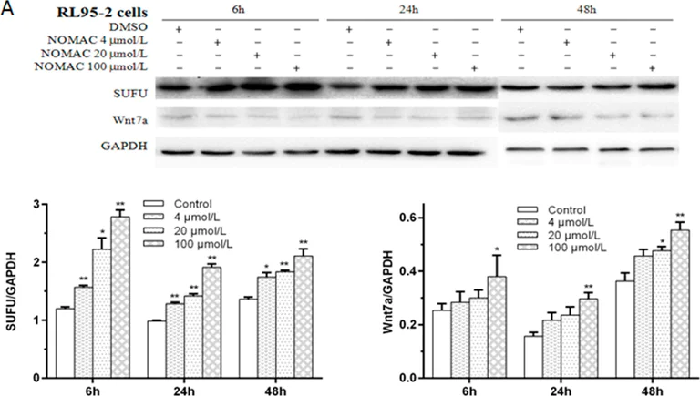
Wnt7a western blot using anti-Wnt7a antibody ab100792. Publication image and figure legend from Ma, A. Y., Xie, S. W., et al., 2017, Int J Mol Sci, PubMed 28640224.

ab100792 was used in this publication in western blot. This may not be the same as the application(s) guaranteed by Abcam. For a full list of applications guaranteed by Abcam for ab100792 please see the product overview.

The effects of NOMAC on the protein levels of SUFU and Wnt7a in cultured cells (RL95-2 and KLE), as assessed by Western blot. The relative amounts of SUFU and Wnt7a, collected from NOMAC-treated RL95-2 and KLE cells, were determined by Western blot for the indicated times. GAPDH was used as a loading control. Cells were cultured with DMSO (control) or graded concentrations of NOMAC (4, 20, and 100 μmol/L) for 6, 24, and 48 h. All of the results came from three independent experiments. The data were expressed as mean ± SD. (A) The protein expression of SUFU and Wnt7a in response to NOMAC treatment in RL95-2 cells; (B) NOMAC did not alter the expression levels of SUFU and Wnt7a as assessed by Western blot analysis in KLE Cells. * p < 0.05, ** p < 0.01 relative to the control group.

false

Key facts

Host species

Rabbit

Clonality

Polyclonal

Isotype

IgG

Carrier free

No

Reacts with

Mouse, Human

Applications

ICC/IF, WB

applications

Immunogen

The exact immunogen used to generate this antibody is proprietary information.

Specificity

From Mar 2024, QC testing of replenishment batches of this polyclonal changed. All tested and expected application and reactive species combinations are still covered by our Abcam product promise. However, we no longer test all applications. For more information on a specific batch, please contact our Scientific Support who will be happy to help.

Reactivity data

{ "title": "Reactivity Data", "filters": { "stats": ["", "Species", "Dilution Info", "Notes"], "tabs": { "all-applications": {"fullname" : "All Applications", "shortname": "All Applications"}, "WB" : {"fullname" : "Western blot", "shortname":"WB"}, "ICCIF" : {"fullname" : "Immunocytochemistry/ Immunofluorescence", "shortname":"ICC/IF"} }, "product-promise": { "all": "all", "testedAndGuaranteed": "tested", "guaranteed": "expected", "predicted": "predicted", "notRecommended": "not-recommended" } }, "values": { "Human": { "WB-species-checked": "testedAndGuaranteed", "WB-species-dilution-info": "1 µg/mL", "WB-species-notes": "<p>Abcam recommends using 5% BSA as the blocking agent.</p>", "ICCIF-species-checked": "guaranteed", "ICCIF-species-dilution-info": "5 µg/mL", "ICCIF-species-notes": "<p></p>" }, "Mouse": { "WB-species-checked": "testedAndGuaranteed", "WB-species-dilution-info": "1 µg/mL", "WB-species-notes": "<p>Abcam recommends using 5% BSA as the blocking agent.</p>", "ICCIF-species-checked": "guaranteed", "ICCIF-species-dilution-info": "5 µg/mL", "ICCIF-species-notes": "<p></p>" }, "Chicken": { "WB-species-checked": "predicted", "WB-species-dilution-info": "", "WB-species-notes": "", "ICCIF-species-checked": "predicted", "ICCIF-species-dilution-info": "", "ICCIF-species-notes": "" }, "Chimpanzee": { "WB-species-checked": "predicted", "WB-species-dilution-info": "", "WB-species-notes": "", "ICCIF-species-checked": "predicted", "ICCIF-species-dilution-info": "", "ICCIF-species-notes": "" }, "Gorilla": { "WB-species-checked": "predicted", "WB-species-dilution-info": "", "WB-species-notes": "", "ICCIF-species-checked": "predicted", "ICCIF-species-dilution-info": "", "ICCIF-species-notes": "" }, "Orangutan": { "WB-species-checked": "predicted", "WB-species-dilution-info": "", "WB-species-notes": "", "ICCIF-species-checked": "predicted", "ICCIF-species-dilution-info": "", "ICCIF-species-notes": "" } } }

Properties and storage information

Form
Liquid
Purification technique
Affinity purification Immunogen
Storage buffer
pH: 7.4 Preservative: 0.02% Sodium azide Constituents: PBS, 1% BSA
Shipped at conditions
Blue Ice
Appropriate short-term storage duration
1-2 weeks
Appropriate short-term storage conditions
+4°C
Appropriate long-term storage conditions
-20°C
Aliquoting information
Upon delivery aliquot
Storage information
Avoid freeze / thaw cycle

Supplementary information

This supplementary information is collated from multiple sources and compiled automatically.

Wnt7a also known as Wingless-type MMTV integration site family member 7A is a protein involved in various cellular processes. It has a molecular mass of approximately 39 kDa and is expressed in several tissues including the brain lungs and kidneys. Mechanically Wnt7a acts as a signaling molecule that binds to frizzled receptors on cell surfaces initiating downstream signaling cascades that result in the transcriptional regulation of target genes.
Biological function summary

This protein plays a critical role in the regulation of developmental processes including cell proliferation differentiation and migration. Wnt7a is part of the Wnt signaling pathway which is a complex network of proteins known for its involvement in embryonic development and regulation of cell fate decisions. The pathway contributes to the proper formation of tissues and organs and maintains cellular homeostasis.

Pathways

Wnt7a is significantly involved in the canonical Wnt/β-catenin signaling pathway as well as the planar cell polarity pathway. In the canonical pathway Wnt7a influences the stabilization and translocation of β-catenin to the nucleus promoting transcription of target genes. It also interacts with other Wnt proteins like Wnt3a and different frizzled receptors playing roles in various cell signaling events and modulating cellular communication.

Wnt7a is linked to limb malformation disorders such as Fuhrmann syndrome and Al-Awadi/Raas-Rothschild/Schinzel phocomelia syndrome. These conditions arise from mutations that affect the function of Wnt7a disrupting normal limb development. Additionally aberrant Wnt7a signaling has implications in cancer particularly in the modulation of tumor microenvironment and metastasis where altered interactions with proteins like β-catenin can contribute to oncogenic processes.

Product protocols

For this product, it's our understanding that no specific protocols are required. You can visit:

Target data

Ligand for members of the frizzled family of seven transmembrane receptors that functions in the canonical Wnt/beta-catenin signaling pathway (By similarity). Plays an important role in embryonic development, including dorsal versus ventral patterning during limb development, skeleton development and urogenital tract development (PubMed : 16826533). Required for central nervous system (CNS) angiogenesis and blood-brain barrier regulation (PubMed : 30026314). Required for normal, sexually dimorphic development of the Mullerian ducts, and for normal fertility in both sexes (By similarity). Required for normal neural stem cell proliferation in the hippocampus dentate gyrus (By similarity). Required for normal progress through the cell cycle in neural progenitor cells, for self-renewal of neural stem cells, and for normal neuronal differentiation and maturation (By similarity). Promotes formation of synapses via its interaction with FZD5 (By similarity).
See full target information WNT7A

Publications (27)

Recent publications for all applications. Explore the full list and refine your search

Frontiers in physiology 16:1547661 PubMed40110183

2025

Cardiac implications of chicken wooden breast myopathy.

Applications

Unspecified application

Species

Unspecified reactive species

Thea Parsberg Støle,Andreas Romaine,Thea Kleiberg,Vibeke Høst,Marianne Lunde,Almira Hasic,Tiril Aurora Lintvedt,Karen Wahlstrøm Sanden,Svein O Kolset,Jens Petter Wold,Addolorata Pisconti,Sissel Beate Rønning,Cathrine Rein Carlson,Mona Elisabeth Pedersen

Heliyon 11:e42794 PubMed40084019

2025

Overexpressed Wnt-7a acts as a potential antitumor immune modulator and predicts poor prognosis in HNSCC.

Applications

Unspecified application

Species

Unspecified reactive species

Hui-Chao Jiang,Ya Gao,Shu-Yan Wang,Yong-Lan Zhao,Hai-Peng Sun

Cancer immunology research 13:400-416 PubMed39602462

2024

Blocking WNT7A Enhances MHC-I Antigen Presentation and Enhances the Effectiveness of Immune Checkpoint Blockade Therapy.

Applications

Unspecified application

Species

Unspecified reactive species

Jiazheng Sun,Pin Wang,Ziying Yi,Yushen Wu,Yuxian Wei,Huiying Fang,Daqiang Song,Yuru Chen,Huimin Du,Jing Huang,Qin Li,Dejuan Yang,Guosheng Ren,Hongzhong Li

Development (Cambridge, England) 151: PubMed39576204

2024

WNT7A-positive dendritic cytonemes control synaptogenesis in cortical neurons.

Applications

Unspecified application

Species

Unspecified reactive species

Thomas M Piers,Kevin Fang,Seema C Namboori,Corin Liddle,Sally Rogers,Akshay Bhinge,Richard Killick,Steffen Scholpp

Neurochemical research 49:3094-3104 PubMed39167347

2024

Age- and Sex-Associated Wnt Signaling Dysregulation is Exacerbated from the Early Stages of Neuropathology in an Alzheimer's Disease Model.

Applications

Unspecified application

Species

Unspecified reactive species

Elizabeth Colín-Martínez,César Espino-de-la-Fuente,Clorinda Arias

The Journal of reproduction and development 68:21-29 PubMed34690214

2021

Exosomes derived from placental trophoblast cells regulate endometrial epithelial receptivity in dairy cows during pregnancy.

Applications

Unspecified application

Species

Unspecified reactive species

Yue Su,Qianru Li,Qiaochu Zhang,Zhiming Li,Xinxin Yao,Yong Guo,Longfei Xiao,Xiangguo Wang,Hemin Ni

Advanced science (Weinheim, Baden-Wurttemberg, Germany) 8:e2101181 PubMed34155833

2021

Reduced Oligodendrocyte Precursor Cell Impairs Astrocytic Development in Early Life Stress.

Applications

Unspecified application

Species

Unspecified reactive species

Yuxin Wang,Yixun Su,Guangdan Yu,Xiaorui Wang,Xiaoying Chen,Bin Yu,Yijun Cheng,Rui Li,Juan C Sáez,Chenju Yi,Lan Xiao,Jianqin Niu

International journal of molecular medicine 47: PubMed33846764

2021

Wnt7a promotes the osteogenic differentiation of human mesenchymal stem cells.

Applications

Unspecified application

Species

Unspecified reactive species

Leiluo Yang,Qing Li,Junhong Zhang,Pengcheng Li,Pingjiang An,Chunqing Wang,Pingsheng Hu,Xue Zou,Xiaowei Dou,Lixin Zhu

American journal of physiology. Cell physiology 319:C579-C588 PubMed32608990

2020

Upregulating microRNA-874-3p inhibits CXCL12 expression to promote angiogenesis and suppress inflammatory response in ischemic stroke.

Applications

Unspecified application

Species

Unspecified reactive species

Kangling Xie,Ying Cai,Pu Yang,Feng Du,Kai Wu

International journal of molecular medicine 45:578-588 PubMed31894304

2020

lncRNA BCAR4 sponges miR‑370‑3p to promote bladder cancer progression via Wnt signaling.

Applications

Unspecified application

Species

Unspecified reactive species

Rongkui Zhang,Jiping Wang,Er'na Jia,Jialiang Zhang,Nan Liu,Changliang Chi
View all publications

Product promise

We are committed to supporting your work with high-quality reagents, and we're here for you every step of the way. In the unlikely event that one of our products does not perform as expected, you're protected by our Product Promise.
For full details, please see our Terms & Conditions

Please note: All products are 'FOR RESEARCH USE ONLY. NOT FOR USE IN DIAGNOSTIC OR THERAPEUTIC PROCEDURES'.

For licensing inquiries, please contact partnerships@abcam.com