JavaScript is disabled in your browser. Please enable JavaScript to view this website.
AB189010

Anti-Wnt9a antibody - N-terminal

Be the first to review this product! Submit a review

|

(2 Publications)

Rabbit Polyclonal WNT9A antibody. N-terminal. Suitable for IHC-P and reacts with Human samples. Cited in 2 publications. Immunogen corresponding to Synthetic Peptide within Human WNT9A.

View Alternative Names

WNT14, WNT9A, Protein Wnt-9a, Protein Wnt-14

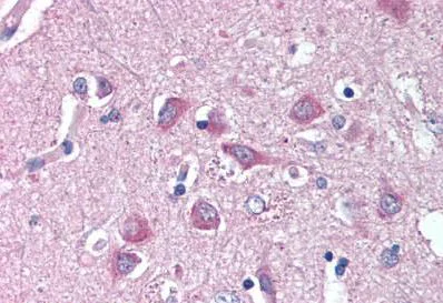
1 Images
Immunohistochemistry (Formalin/PFA-fixed paraffin-embedded sections) - Anti-Wnt9a antibody - N-terminal (AB189010)
  • IHC-P

Supplier Data

Immunohistochemistry (Formalin/PFA-fixed paraffin-embedded sections) - Anti-Wnt9a antibody - N-terminal (AB189010)

Immunohistochemical analysis of formalin-fixed, paraffin-embedded Human brain cortex tissue labeling Wnt9a with ab189010 at 10 μg/ml.

Key facts

Host species

Rabbit

Clonality

Polyclonal

Isotype

IgG

Carrier free

No

Reacts with

Human

Applications

IHC-P

applications

Immunogen

Synthetic Peptide within Human WNT9A. The exact immunogen used to generate this antibody is proprietary information.

O14904

Specificity

BLAST analysis of the peptide immunogen showed no homology with other Human proteins.

Reactivity data

{ "title": "Reactivity Data", "filters": { "stats": ["", "Species", "Dilution Info", "Notes"], "tabs": { "all-applications": {"fullname" : "All Applications", "shortname": "All Applications"}, "IHCP" : {"fullname" : "Immunohistochemistry (Formalin/PFA-fixed paraffin-embedded sections)", "shortname":"IHC-P"} }, "product-promise": { "all": "all", "testedAndGuaranteed": "tested", "guaranteed": "expected", "predicted": "predicted", "notRecommended": "not-recommended" } }, "values": { "Human": { "IHCP-species-checked": "testedAndGuaranteed", "IHCP-species-dilution-info": "10 µg/mL", "IHCP-species-notes": "<p></p>" }, "Mouse": { "IHCP-species-checked": "predicted", "IHCP-species-dilution-info": "", "IHCP-species-notes": "" }, "Rat": { "IHCP-species-checked": "predicted", "IHCP-species-dilution-info": "", "IHCP-species-notes": "" }, "Cow": { "IHCP-species-checked": "predicted", "IHCP-species-dilution-info": "", "IHCP-species-notes": "" }, "Gorilla": { "IHCP-species-checked": "predicted", "IHCP-species-dilution-info": "", "IHCP-species-notes": "" }, "Monkey": { "IHCP-species-checked": "predicted", "IHCP-species-dilution-info": "", "IHCP-species-notes": "" }, "Rabbit": { "IHCP-species-checked": "predicted", "IHCP-species-dilution-info": "", "IHCP-species-notes": "" } } }

You may be interested in:

AB314821

Human Wnt9a ELISA Kit

0

0 Reviews

View product

We recommend this product because it’s often used in the same experiment or related research.

We advise that you always check the datasheet to ensure it fits your experiments, or contact ourtechnical teamfor help.

Properties and storage information

Form
Liquid
Purification technique
Affinity purification Immunogen
Storage buffer
pH: 7.4 Preservative: 0.1% Sodium azide Constituents: 99% PBS
Shipped at conditions
Blue Ice
Appropriate short-term storage duration
1-2 weeks
Appropriate short-term storage conditions
+4°C
Appropriate long-term storage conditions
-20°C
Aliquoting information
Upon delivery aliquot
Storage information
Avoid freeze / thaw cycle

Supplementary information

This supplementary information is collated from multiple sources and compiled automatically.

Wnt9a also known as Wingless-related integration site 9A is a secreted glycoprotein with a molecular mass of approximately 39 kDa. This protein forms part of the Wnt family which comprises signaling molecules involved in various developmental processes. Wnt9a is expressed in several tissues including the brain kidneys and skeletal tissues during embryonic development but it can also be found in adult tissues. Its expression pattern indicates a role in spatial and temporal regulation during cell growth and differentiation.
Biological function summary

Wnt9a functions in the regulation of cell proliferation migration and fate determination. It operates as part of larger protein complexes that include other Wnt family members and co-receptors such as Frizzled receptors. Wnt9a plays a significant role in osteoblast differentiation and skeletal development. It also contributes to the patterning of mesenchymal cells into chondrocytes during skeletal morphogenesis. These biological activities highlight its essential function in both developmental stages and tissue maintenance.

Pathways

Wnt9a acts through the canonical Wnt/β-catenin signaling pathway and is also involved in the non-canonical Wnt signaling pathway. Within these pathways it interacts with LRP5/6 receptors and related proteins like Dishevelled (Dvl) and Axin. The canonical pathway promotes gene transcription activation whereas the non-canonical pathway influences cell movements and organization. These interactions highlight Wnt9a’s role in the broader signaling cascades important for embryogenesis and homeostasis.

Wnt9a is associated with skeletal malformations such as Robinow syndrome and bone density disorders. Wnt9a mutations can disrupt normal skeletal development leading to abnormal growth and bone formation. In this context interactions with other proteins like BMP4 and Sox9 become disrupted contributing to the pathogenesis of these conditions. Studies continue to explore the therapeutic potential of targeting Wnt9a pathways for treating these skeletal disorders.

Product protocols

For this product, it's our understanding that no specific protocols are required. You can visit:

Target data

Ligand for members of the frizzled family of seven transmembrane receptors. Functions in the canonical Wnt/beta-catenin signaling pathway. Required for normal timing of IHH expression during embryonic bone development, normal chondrocyte maturation and for normal bone mineralization during embryonic bone development. Plays a redundant role in maintaining joint integrity.
See full target information WNT9A

Publications (2)

Recent publications for all applications. Explore the full list and refine your search

Physiological reports 9:e14696 PubMed33463897

2021

Klotho retards renal fibrosis through targeting mitochondrial dysfunction and cellular senescence in renal tubular cells.

Applications

Unspecified application

Species

Unspecified reactive species

Jinhua Miao,Jiewu Huang,Congwei Luo,Huiyun Ye,Xian Ling,Qinyu Wu,Weiwei Shen,Lili Zhou

Journal of the American Society of Nephrology : JA 29:1238-1256 PubMed29440280

2018

Wnt9a Promotes Renal Fibrosis by Accelerating Cellular Senescence in Tubular Epithelial Cells.

Applications

Unspecified application

Species

Unspecified reactive species

Congwei Luo,Shan Zhou,Zhanmei Zhou,Yahong Liu,Li Yang,Jiafeng Liu,Yunfang Zhang,Hongyan Li,Youhua Liu,Fan Fan Hou,Lili Zhou
View all publications

Product promise

We are committed to supporting your work with high-quality reagents, and we're here for you every step of the way. In the unlikely event that one of our products does not perform as expected, you're protected by our Product Promise.
For full details, please see our Terms & Conditions

Associated Products

Select an associated product type
Alternative Product
Primary Antibodies

AB176973

Anti-Wnt9a antibody

primary-antibodies

wnt9a-antibody-ab176973

0

(0 reviews)

Please note: All products are 'FOR RESEARCH USE ONLY. NOT FOR USE IN DIAGNOSTIC OR THERAPEUTIC PROCEDURES'.

For licensing inquiries, please contact partnerships@abcam.com