JavaScript is disabled in your browser. Please enable JavaScript to view this website.
AB18729

Anti-WRNIP1/WHIP antibody

Be the first to review this product! Submit a review

|

(1 Publication)

Goat Polyclonal WRNIP1/WHIP antibody. Suitable for WB, IHC-P and reacts with Human samples. Cited in 1 publication. Immunogen corresponding to Synthetic Peptide within Human WRNIP1 aa 650 to C-terminus.

View Alternative Names

WHIP, WRNIP1, ATPase WRNIP1, Werner helicase-interacting protein 1

2 Images
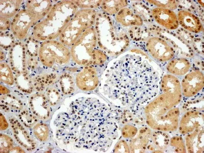
Immunohistochemistry (Formalin/PFA-fixed paraffin-embedded sections) - Anti-WRNIP1/WHIP antibody (AB18729)
  • IHC-P

Supplier Data

Immunohistochemistry (Formalin/PFA-fixed paraffin-embedded sections) - Anti-WRNIP1/WHIP antibody (AB18729)

ab18729 (4μg/ml) staining of paraffin embedded Human Kidney following steamed antigen retrieval with Tris/EDTA buffer pH 9 and HRP-staining shows nuclear staining, stronger in DCT compared to PCT.

Western blot - Anti-WRNIP1/WHIP antibody (AB18729)
  • WB

Supplier Data

Western blot - Anti-WRNIP1/WHIP antibody (AB18729)

All lanes:

Western blot - Anti-WRNIP1/WHIP antibody (ab18729) at 1 µg/mL

All lanes:

Jurkat Cell Lysate in RIPA Buffer at 35 µg

Predicted band size: 72 kDa

true

Key facts

Host species

Goat

Clonality

Polyclonal

Isotype

IgG

Carrier free

No

Reacts with

Human

Applications

WB, IHC-P

applications

Immunogen

Synthetic Peptide within Human WRNIP1 aa 650 to C-terminus. The exact immunogen used to generate this antibody is proprietary information.

Q96S55

Reactivity data

{ "title": "Reactivity Data", "filters": { "stats": ["", "Species", "Dilution Info", "Notes"], "tabs": { "all-applications": {"fullname" : "All Applications", "shortname": "All Applications"}, "WB" : {"fullname" : "Western blot", "shortname":"WB"}, "IHCP" : {"fullname" : "Immunohistochemistry (Formalin/PFA-fixed paraffin-embedded sections)", "shortname":"IHC-P"} }, "product-promise": { "all": "all", "testedAndGuaranteed": "tested", "guaranteed": "expected", "predicted": "predicted", "notRecommended": "not-recommended" } }, "values": { "Human": { "WB-species-checked": "testedAndGuaranteed", "WB-species-dilution-info": "1-3 µg/mL", "WB-species-notes": "<p>1 hour primary incubation is recommended for this product.</p>", "IHCP-species-checked": "testedAndGuaranteed", "IHCP-species-dilution-info": "4-6 µg/mL", "IHCP-species-notes": "<p></p>" }, "Mouse": { "WB-species-checked": "predicted", "WB-species-dilution-info": "", "WB-species-notes": "", "IHCP-species-checked": "predicted", "IHCP-species-dilution-info": "", "IHCP-species-notes": "" }, "Rat": { "WB-species-checked": "predicted", "WB-species-dilution-info": "", "WB-species-notes": "", "IHCP-species-checked": "predicted", "IHCP-species-dilution-info": "", "IHCP-species-notes": "" }, "Cow": { "WB-species-checked": "predicted", "WB-species-dilution-info": "", "WB-species-notes": "", "IHCP-species-checked": "predicted", "IHCP-species-dilution-info": "", "IHCP-species-notes": "" }, "Dog": { "WB-species-checked": "predicted", "WB-species-dilution-info": "", "WB-species-notes": "", "IHCP-species-checked": "predicted", "IHCP-species-dilution-info": "", "IHCP-species-notes": "" } } }

Properties and storage information

Form
Liquid
Purification technique
Affinity purification Immunogen
Purification notes
Purified from goat serum by ammonium sulphate precipitation followed by antigen affinity chromatography using the immunizing peptide.
Storage buffer
pH: 7.3 Preservative: 0.02% Sodium azide Constituents: 0.5% BSA
Shipped at conditions
Blue Ice
Appropriate short-term storage duration
1-2 weeks
Appropriate short-term storage conditions
+4°C
Appropriate long-term storage conditions
-20°C
Aliquoting information
Upon delivery aliquot
Storage information
Avoid freeze / thaw cycle

Supplementary information

This supplementary information is collated from multiple sources and compiled automatically.

The WRNIP1/WHIP protein also known as Werner helicase interacting protein 1 (WRNIP1) plays a role in DNA repair processes. It has a molecular mass of approximately 72 kDa. WRNIP1 is expressed in multiple tissues with notable expression in the nucleus of proliferating cells. Mechanically the protein interacts with the Werner syndrome ATP-dependent helicase (WRN) and modulates its activity during the processing of stalled replication forks. Its interaction with DNA binding proteins is important to maintaining genomic stability.
Biological function summary

This protein aids cellular processes involved in DNA replication and repair. WRNIP1 forms part of a complex that includes proteins involved in the stabilization and restart of collapsed replication forks. The protein facilitates the stabilization and elongation of DNA strands playing a role in homologous recombination repair. The action of WRNIP1 extends to cell cycle regulation by ensuring repair precision before mitosis proceeds.

Pathways

WRNIP1 integrates into processes linked with the replication stress response and homologous recombination repair pathways. In these pathways it collaborates with proteins such as RAD51 an essential player in homologous recombination. Additionally WRNIP1 acts in cohesion with WRN influencing pathways that mitigate the risk of cancer by preventing excessive genomic alterations. These pathways are essential for the proper resolution of replication fork stalling situations.

WRNIP1 is closely associated with Werner syndrome and cancer predisposition. Its dysfunction can lead to defects in DNA repair mechanisms increasing susceptibility to such disorders. Along with WRN any alterations could potentially lead to faulty repair of DNA damage paving a way for oncogenesis. Researchers investigate WRNIP1 concerning its protective role against replication stress-induced genomic instability and its potential implications in drug resistance within cancer treatment strategies.

Product protocols

For this product, it's our understanding that no specific protocols are required. You can visit:

Target data

Functions as a modulator of initiation or reinitiation events during DNA polymerase delta-mediated DNA synthesis. In the presence of ATP, stimulation of DNA polymerase delta-mediated DNA synthesis is decreased. Also plays a role in the innate immune defense against viruses. Stabilizes the RIGI dsRNA interaction and promotes RIGI 'Lys-63'-linked polyubiquitination. In turn, RIGI transmits the signal through mitochondrial MAVS.
See full target information WRNIP1

Publications (1)

Recent publications for all applications. Explore the full list and refine your search

International journal of molecular sciences 26: PubMed41009388

2025

Neuroprotective Effects of Low-Dose Graphenic Materials on SN4741 Embryonic Stem Cells Against ER Stress and MPTP-Induced Oxidative Stress.

Applications

Unspecified application

Species

Unspecified reactive species

David Vallejo Perez,Monica Navarro,Beatriz Segura-Segura,Rune Wendelbo,Sara Bandrés-Ciga,Miguel A Arraez,Cinta Arraez,Noela Rodriguez-Losada
View all publications

Product promise

We are committed to supporting your work with high-quality reagents, and we're here for you every step of the way. In the unlikely event that one of our products does not perform as expected, you're protected by our Product Promise.
For full details, please see our Terms & Conditions

Please note: All products are 'FOR RESEARCH USE ONLY. NOT FOR USE IN DIAGNOSTIC OR THERAPEUTIC PROCEDURES'.

For licensing inquiries, please contact partnerships@abcam.com