JavaScript is disabled in your browser. Please enable JavaScript to view this website.
AB99316

Anti-WRNIP1/WHIP antibody

5

(1 Review)

|

(2 Publications)

Rabbit Polyclonal WRNIP1/WHIP antibody. Suitable for IHC-P, IP, WB and reacts with Human samples. Cited in 2 publications. Immunogen corresponding to Synthetic Peptide within Human WRNIP1 aa 400-450.

View Alternative Names

WHIP, WRNIP1, ATPase WRNIP1, Werner helicase-interacting protein 1

4 Images
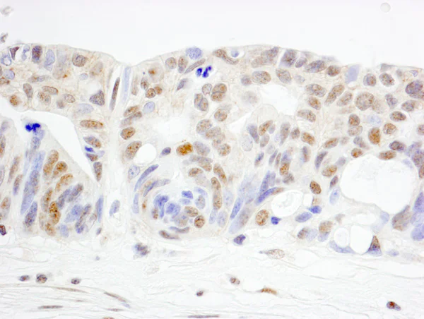
Immunohistochemistry (Formalin/PFA-fixed paraffin-embedded sections) - Anti-WRNIP1/WHIP antibody (AB99316)
  • IHC-P

Unknown

Immunohistochemistry (Formalin/PFA-fixed paraffin-embedded sections) - Anti-WRNIP1/WHIP antibody (AB99316)

Immunohistochemistry (Formalin/PFA-fixed paraffin-embedded sections) analysis of human ovarian carcinoma tissue labelling WHIP with ab99316 at 1/1000 (1µg/ml). Detection : DAB.

Immunoprecipitation - Anti-WRNIP1/WHIP antibody (AB99316)
  • IP

Unknown

Immunoprecipitation - Anti-WRNIP1/WHIP antibody (AB99316)

Detection of WRNIP1/WHIP by Western Blot of Immunprecipitate.
ab99316, at 1 μg/ml, staining WRNIP1/WHIP in HeLa whole cell lysate immunoprecipitated using ab99316 at 3μg/mg lysate (1 mg/IP; 20% of IP loaded/lane).
Detection : Chemiluminescence with exposure time of 30 seconds.

All lanes:

Immunoprecipitation - Anti-WRNIP1/WHIP antibody (ab99316)

Predicted band size: 72 kDa

false

Western blot - Anti-WRNIP1/WHIP antibody (AB99316)
  • WB

Unknown

Western blot - Anti-WRNIP1/WHIP antibody (AB99316)

All lanes:

Western blot - Anti-WRNIP1/WHIP antibody (ab99316) at 0.4 µg/mL

Lane 1:

HeLa whole cell lysate at 50 µg

Lane 2:

HeLa whole cell lysate at 15 µg

Lane 3:

HeLa whole cell lysate at 5 µg

Predicted band size: 72 kDa

true

Exposure time: 30s

Western blot - Anti-WRNIP1/WHIP antibody (AB99316)
  • WB

AbReview37483****

Western blot - Anti-WRNIP1/WHIP antibody (AB99316)

All lanes:

Western blot - Anti-WRNIP1/WHIP antibody (ab99316) at 1/1000 dilution

All lanes:

Mouse T cell lysate at 80 µg

Secondary

All lanes:

IRDye® 680-conjugated Goat anti-rabbit IgG polyclonal at 1/4000 dilution

Predicted band size: 72 kDa

Observed band size: 75 kDa

false

Exposure time: 5min

This image is courtesy of an anonymous Abreview

Key facts

Host species

Rabbit

Clonality

Polyclonal

Isotype

IgG

Carrier free

No

Reacts with

Human

Applications

IP, WB, IHC-P

applications

Immunogen

Synthetic Peptide within Human WRNIP1 aa 400-450. The exact immunogen used to generate this antibody is proprietary information.

Q96S55

Reactivity data

{ "title": "Reactivity Data", "filters": { "stats": ["", "Species", "Dilution Info", "Notes"], "tabs": { "all-applications": {"fullname" : "All Applications", "shortname": "All Applications"}, "IHCP" : {"fullname" : "Immunohistochemistry (Formalin/PFA-fixed paraffin-embedded sections)", "shortname":"IHC-P"}, "IP" : {"fullname" : "Immunoprecipitation", "shortname":"IP"}, "WB" : {"fullname" : "Western blot", "shortname":"WB"} }, "product-promise": { "all": "all", "testedAndGuaranteed": "tested", "guaranteed": "expected", "predicted": "predicted", "notRecommended": "not-recommended" } }, "values": { "Human": { "IHCP-species-checked": "testedAndGuaranteed", "IHCP-species-dilution-info": "1/500 - 1/2000", "IHCP-species-notes": "<p></p> Perform heat-mediated antigen retrieval with citrate buffer pH 6 before commencing with IHC staining protocol.", "IP-species-checked": "testedAndGuaranteed", "IP-species-dilution-info": "2-5 µg/mg of lysate", "IP-species-notes": "<p></p>", "WB-species-checked": "testedAndGuaranteed", "WB-species-dilution-info": "1/2000 - 1/10000", "WB-species-notes": "<p></p>" }, "Rat": { "IHCP-species-checked": "predicted", "IHCP-species-dilution-info": "", "IHCP-species-notes": "", "IP-species-checked": "predicted", "IP-species-dilution-info": "", "IP-species-notes": "", "WB-species-checked": "predicted", "WB-species-dilution-info": "", "WB-species-notes": "" }, "Chimpanzee": { "IHCP-species-checked": "predicted", "IHCP-species-dilution-info": "", "IHCP-species-notes": "", "IP-species-checked": "predicted", "IP-species-dilution-info": "", "IP-species-notes": "", "WB-species-checked": "predicted", "WB-species-dilution-info": "", "WB-species-notes": "" }, "Chinese hamster": { "IHCP-species-checked": "predicted", "IHCP-species-dilution-info": "", "IHCP-species-notes": "", "IP-species-checked": "predicted", "IP-species-dilution-info": "", "IP-species-notes": "", "WB-species-checked": "predicted", "WB-species-dilution-info": "", "WB-species-notes": "" }, "Dog": { "IHCP-species-checked": "predicted", "IHCP-species-dilution-info": "", "IHCP-species-notes": "", "IP-species-checked": "predicted", "IP-species-dilution-info": "", "IP-species-notes": "", "WB-species-checked": "predicted", "WB-species-dilution-info": "", "WB-species-notes": "" }, "Ferret": { "IHCP-species-checked": "predicted", "IHCP-species-dilution-info": "", "IHCP-species-notes": "", "IP-species-checked": "predicted", "IP-species-dilution-info": "", "IP-species-notes": "", "WB-species-checked": "predicted", "WB-species-dilution-info": "", "WB-species-notes": "" }, "Gorilla": { "IHCP-species-checked": "predicted", "IHCP-species-dilution-info": "", "IHCP-species-notes": "", "IP-species-checked": "predicted", "IP-species-dilution-info": "", "IP-species-notes": "", "WB-species-checked": "predicted", "WB-species-dilution-info": "", "WB-species-notes": "" }, "Horse": { "IHCP-species-checked": "predicted", "IHCP-species-dilution-info": "", "IHCP-species-notes": "", "IP-species-checked": "predicted", "IP-species-dilution-info": "", "IP-species-notes": "", "WB-species-checked": "predicted", "WB-species-dilution-info": "", "WB-species-notes": "" }, "Orangutan": { "IHCP-species-checked": "predicted", "IHCP-species-dilution-info": "", "IHCP-species-notes": "", "IP-species-checked": "predicted", "IP-species-dilution-info": "", "IP-species-notes": "", "WB-species-checked": "predicted", "WB-species-dilution-info": "", "WB-species-notes": "" }, "Rhesus monkey": { "IHCP-species-checked": "predicted", "IHCP-species-dilution-info": "", "IHCP-species-notes": "", "IP-species-checked": "predicted", "IP-species-dilution-info": "", "IP-species-notes": "", "WB-species-checked": "predicted", "WB-species-dilution-info": "", "WB-species-notes": "" } } }

Properties and storage information

Form
Liquid
Purification technique
Affinity purification Immunogen
Purification notes
ab99316 was affinity purified using an epitope specific to WRNIP1/WHIP immobilized on solid support
Storage buffer
pH: 7 - 8 Preservative: 0.09% Sodium azide Constituents: Tris citrate/phosphate
Shipped at conditions
Blue Ice
Appropriate short-term storage conditions
+4°C
Appropriate long-term storage conditions
+4°C
Aliquoting information
Upon delivery aliquot
Storage information
Avoid freeze / thaw cycle

Supplementary information

This supplementary information is collated from multiple sources and compiled automatically.

The WRNIP1/WHIP protein also known as Werner helicase interacting protein 1 (WRNIP1) plays a role in DNA repair processes. It has a molecular mass of approximately 72 kDa. WRNIP1 is expressed in multiple tissues with notable expression in the nucleus of proliferating cells. Mechanically the protein interacts with the Werner syndrome ATP-dependent helicase (WRN) and modulates its activity during the processing of stalled replication forks. Its interaction with DNA binding proteins is important to maintaining genomic stability.
Biological function summary

This protein aids cellular processes involved in DNA replication and repair. WRNIP1 forms part of a complex that includes proteins involved in the stabilization and restart of collapsed replication forks. The protein facilitates the stabilization and elongation of DNA strands playing a role in homologous recombination repair. The action of WRNIP1 extends to cell cycle regulation by ensuring repair precision before mitosis proceeds.

Pathways

WRNIP1 integrates into processes linked with the replication stress response and homologous recombination repair pathways. In these pathways it collaborates with proteins such as RAD51 an essential player in homologous recombination. Additionally WRNIP1 acts in cohesion with WRN influencing pathways that mitigate the risk of cancer by preventing excessive genomic alterations. These pathways are essential for the proper resolution of replication fork stalling situations.

WRNIP1 is closely associated with Werner syndrome and cancer predisposition. Its dysfunction can lead to defects in DNA repair mechanisms increasing susceptibility to such disorders. Along with WRN any alterations could potentially lead to faulty repair of DNA damage paving a way for oncogenesis. Researchers investigate WRNIP1 concerning its protective role against replication stress-induced genomic instability and its potential implications in drug resistance within cancer treatment strategies.

Product protocols

For this product, it's our understanding that no specific protocols are required. You can visit:

Target data

Functions as a modulator of initiation or reinitiation events during DNA polymerase delta-mediated DNA synthesis. In the presence of ATP, stimulation of DNA polymerase delta-mediated DNA synthesis is decreased. Also plays a role in the innate immune defense against viruses. Stabilizes the RIGI dsRNA interaction and promotes RIGI 'Lys-63'-linked polyubiquitination. In turn, RIGI transmits the signal through mitochondrial MAVS.
See full target information WRNIP1

Publications (2)

Recent publications for all applications. Explore the full list and refine your search

NPJ precision oncology 9:213 PubMed40595024

2025

Deciphering the YY1/ lncRNA BLACAT1/miR-605-3p axis in glioblastoma: implications for therapy.

Applications

Unspecified application

Species

Unspecified reactive species

Liang Han,Han Wang,Hong Xie,Xiuming Yu,Haixia Zhou,Zhigang Guo

Nature communications 12:3497 PubMed34108453

2021

Site-specific ubiquitylation acts as a regulator of linker histone H1.

Applications

Unspecified application

Species

Unspecified reactive species

Eva Höllmüller,Simon Geigges,Marie L Niedermeier,Kai-Michael Kammer,Simon M Kienle,Daniel Rösner,Martin Scheffner,Andreas Marx,Florian Stengel
View all publications

Product promise

We are committed to supporting your work with high-quality reagents, and we're here for you every step of the way. In the unlikely event that one of our products does not perform as expected, you're protected by our Product Promise.
For full details, please see our Terms & Conditions

Please note: All products are 'FOR RESEARCH USE ONLY. NOT FOR USE IN DIAGNOSTIC OR THERAPEUTIC PROCEDURES'.

For licensing inquiries, please contact partnerships@abcam.com