JavaScript is disabled in your browser. Please enable JavaScript to view this website.
AB70263

Anti-WSTF antibody

Be the first to review this product! Submit a review

|

(1 Publication)

Rabbit Polyclonal WSTF antibody. Suitable for IP, WB, IHC-P and reacts with Human samples. Cited in 1 publication. Immunogen corresponding to Synthetic Peptide within Human BAZ1B.

View Alternative Names

WBSC10, WBSCR10, WBSCR9, WSTF, BAZ1B, Tyrosine-protein kinase BAZ1B, Bromodomain adjacent to zinc finger domain protein 1B, Williams syndrome transcription factor, Williams-Beuren syndrome chromosomal region 10 protein, Williams-Beuren syndrome chromosomal region 9 protein, hWALp2

3 Images
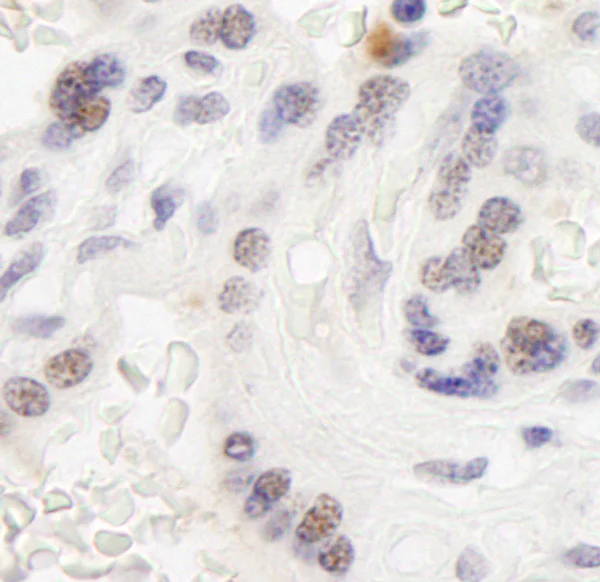
Immunohistochemistry (Formalin/PFA-fixed paraffin-embedded sections) - Anti-WSTF antibody (AB70263)
  • IHC-P

Unknown

Immunohistochemistry (Formalin/PFA-fixed paraffin-embedded sections) - Anti-WSTF antibody (AB70263)

Immunohistochemistry (Formalin/PFA-fixed paraffin-embedded sections) analysis of human placenta tissue labelling WSTF with ab70263 at 1/200 (1µg/ml). Detection : DAB.

Immunoprecipitation - Anti-WSTF antibody (AB70263)
  • IP

Unknown

Immunoprecipitation - Anti-WSTF antibody (AB70263)

1 mg of whole cell lysate from HeLa cells was immunoprecipitated using ab70263 at 3ug/mg lysate (lane 1) or a control rabbit Ig (lane 2). The subsequent blot was carried with ab70263 at 0.05ug/ml.

All lanes:

Immunoprecipitation - Anti-WSTF antibody (ab70263)

Predicted band size: 171 kDa

false

Western blot - Anti-WSTF antibody (AB70263)
  • WB

Unknown

Western blot - Anti-WSTF antibody (AB70263)

All lanes:

Western blot - Anti-WSTF antibody (ab70263) at 0.05 µg/mL

Lane 1:

Whole cell lysate from HeLa cells at 5 µg

Lane 2:

Whole cell lysate from HeLa cells at 15 µg

Lane 3:

Whole cell lysate from HeLa cells at 50 µg

Predicted band size: 171 kDa

Observed band size: 140 kDa,190 kDa,200 kDa,300 kDa

false

Key facts

Host species

Rabbit

Clonality

Polyclonal

Isotype

IgG

Carrier free

No

Reacts with

Human

Applications

IP, IHC-P, WB

applications

Immunogen

Synthetic Peptide within Human BAZ1B. The exact immunogen used to generate this antibody is proprietary information.

Q9UIG0

Reactivity data

{ "title": "Reactivity Data", "filters": { "stats": ["", "Species", "Dilution Info", "Notes"], "tabs": { "all-applications": {"fullname" : "All Applications", "shortname": "All Applications"}, "IP" : {"fullname" : "Immunoprecipitation", "shortname":"IP"}, "WB" : {"fullname" : "Western blot", "shortname":"WB"}, "IHCP" : {"fullname" : "Immunohistochemistry (Formalin/PFA-fixed paraffin-embedded sections)", "shortname":"IHC-P"} }, "product-promise": { "all": "all", "testedAndGuaranteed": "tested", "guaranteed": "expected", "predicted": "predicted", "notRecommended": "not-recommended" } }, "values": { "Human": { "IP-species-checked": "testedAndGuaranteed", "IP-species-dilution-info": "2-5 µg/mg of lysate", "IP-species-notes": "<p></p>", "WB-species-checked": "testedAndGuaranteed", "WB-species-dilution-info": "1/1000 - 1/10000", "WB-species-notes": "<p></p>", "IHCP-species-checked": "testedAndGuaranteed", "IHCP-species-dilution-info": "1/100 - 1/500", "IHCP-species-notes": "<p></p>" }, "Rat": { "IP-species-checked": "predicted", "IP-species-dilution-info": "", "IP-species-notes": "", "WB-species-checked": "predicted", "WB-species-dilution-info": "", "WB-species-notes": "", "IHCP-species-checked": "predicted", "IHCP-species-dilution-info": "", "IHCP-species-notes": "" }, "Chimpanzee": { "IP-species-checked": "predicted", "IP-species-dilution-info": "", "IP-species-notes": "", "WB-species-checked": "predicted", "WB-species-dilution-info": "", "WB-species-notes": "", "IHCP-species-checked": "predicted", "IHCP-species-dilution-info": "", "IHCP-species-notes": "" }, "Cow": { "IP-species-checked": "predicted", "IP-species-dilution-info": "", "IP-species-notes": "", "WB-species-checked": "predicted", "WB-species-dilution-info": "", "WB-species-notes": "", "IHCP-species-checked": "predicted", "IHCP-species-dilution-info": "", "IHCP-species-notes": "" }, "Dog": { "IP-species-checked": "predicted", "IP-species-dilution-info": "", "IP-species-notes": "", "WB-species-checked": "predicted", "WB-species-dilution-info": "", "WB-species-notes": "", "IHCP-species-checked": "predicted", "IHCP-species-dilution-info": "", "IHCP-species-notes": "" }, "Opossum": { "IP-species-checked": "predicted", "IP-species-dilution-info": "", "IP-species-notes": "", "WB-species-checked": "predicted", "WB-species-dilution-info": "", "WB-species-notes": "", "IHCP-species-checked": "predicted", "IHCP-species-dilution-info": "", "IHCP-species-notes": "" }, "Orangutan": { "IP-species-checked": "predicted", "IP-species-dilution-info": "", "IP-species-notes": "", "WB-species-checked": "predicted", "WB-species-dilution-info": "", "WB-species-notes": "", "IHCP-species-checked": "predicted", "IHCP-species-dilution-info": "", "IHCP-species-notes": "" }, "Pig": { "IP-species-checked": "predicted", "IP-species-dilution-info": "", "IP-species-notes": "", "WB-species-checked": "predicted", "WB-species-dilution-info": "", "WB-species-notes": "", "IHCP-species-checked": "predicted", "IHCP-species-dilution-info": "", "IHCP-species-notes": "" }, "Rhesus monkey": { "IP-species-checked": "predicted", "IP-species-dilution-info": "", "IP-species-notes": "", "WB-species-checked": "predicted", "WB-species-dilution-info": "", "WB-species-notes": "", "IHCP-species-checked": "predicted", "IHCP-species-dilution-info": "", "IHCP-species-notes": "" } } }

Properties and storage information

Form
Liquid
Purification technique
Affinity purification Immunogen
Storage buffer
pH: 6.8 - 7.4 Preservative: 0.09% Sodium azide Constituents: 1.815% Tris, 1.764% Sodium citrate, 0.021% PBS
Shipped at conditions
Blue Ice
Appropriate short-term storage conditions
+4°C
Appropriate long-term storage conditions
-20°C
Aliquoting information
Upon delivery aliquot
Storage information
Avoid freeze / thaw cycle

Supplementary information

This supplementary information is collated from multiple sources and compiled automatically.

WSTF also known as Williams Syndrome Transcription Factor or BAZ1B is a versatile protein with an estimated mass around 175 kDa. It is a component of the nucleosome remodeling factor (NURF) and the Williams-Beuren syndrome chromosome region 17 (WBSCR17) complex. WSTF has widespread expression in various tissues including the brain and heart which highlights its involvement in diverse cellular processes. Functionally it facilitates chromatin remodeling by altering the structure of nucleosomes which is vital for DNA accessibility in transcription DNA repair and replication.
Biological function summary

Since WSTF participates in chromatin structure modulation it plays a considerable role in transcriptional regulation. It is a part of the NURF complex which makes it essential for DNA accessibility and gene expression. The complex interacts with other proteins to allow chromatin to accommodate active transcription by repositioning nucleosomes. WSTF also has a kinase domain that phosphorylates histone H2A. This phosphorylation integrates signals that coordinate transcription and DNA damage repair mechanisms highlighting its multifunctional nature in maintaining genomic stability.

Pathways

WSTF has pivotal roles in the chromatin remodeling and DNA repair pathways. The chromatin remodeling pathway involves WSTF's interaction with the transcription factor complex influencing gene accessibility and expression. WSTF in the DNA repair pathway ensures proper genomic integrity through its association with proteins like BRCA1 highlighting its participation in the cellular response to DNA damage. By engaging with these pathways WSTF contributes to the cell's ability to regulate the genome and respond to damage efficiently.

WSTF is significantly connected to Williams-Beuren syndrome and certain cancers. Williams-Beuren syndrome a developmental disorder arises from the deletion of the region on chromosome 7 involving the WSTF gene affecting brain and heart function. In certain cancers aberrant expression or mutations within the WSTF gene are associated with uncontrolled chromatin remodeling contributing to tumorigenesis. Through these disorders WSTF shows its interaction with proteins like SMARCA1 in chromatin remodeling anomalies emphasizing its importance in disease progression and cellular dysfunction.

Product protocols

For this product, it's our understanding that no specific protocols are required. You can visit:

Target data

Atypical tyrosine-protein kinase that plays a central role in chromatin remodeling and acts as a transcription regulator (PubMed : 19092802). Involved in DNA damage response by phosphorylating 'Tyr-142' of histone H2AX (H2AXY142ph) (PubMed : 19092802, PubMed : 19234442). H2AXY142ph plays a central role in DNA repair and acts as a mark that distinguishes between apoptotic and repair responses to genotoxic stress (PubMed : 19092802, PubMed : 19234442). Regulatory subunit of the ATP-dependent WICH-1 and WICH-5 ISWI chromatin remodeling complexes, which form ordered nucleosome arrays on chromatin and facilitate access to DNA during DNA-templated processes such as DNA replication, transcription, and repair (PubMed : 11980720, PubMed : 28801535). Both complexes regulate the spacing of nucleosomes along the chromatin and have the ability to slide mononucleosomes to the center of a DNA template (PubMed : 28801535). The WICH-1 ISWI chromatin remodeling complex has a lower ATP hydrolysis rate than the WICH-5 ISWI chromatin remodeling complex (PubMed : 28801535). The WICH-5 ISWI chromatin-remodeling complex regulates the transcription of various genes, has a role in RNA polymerase I transcription (By similarity). Within the B-WICH complex has a role in RNA polymerase III transcription (PubMed : 16603771). Mediates the recruitment of the WICH-5 ISWI chromatin remodeling complex to replication foci during DNA replication (PubMed : 15543136).
See full target information BAZ1B

Publications (1)

Recent publications for all applications. Explore the full list and refine your search

The journal of obstetrics and gynaecology research 47:2433-2441 PubMed34028125

2021

Williams syndrome transcription factor promotes proliferation and invasion of cervical cancer cells by regulating PI3K/Akt signaling pathway.

Applications

Unspecified application

Species

Unspecified reactive species

Dongyuan Jiang,Chenchen Ren,Li Yang,Feiyan Li,Xin Yang,Yating Zheng,Xiaoying Ji,Yue Tian
View all publications

Product promise

We are committed to supporting your work with high-quality reagents, and we're here for you every step of the way. In the unlikely event that one of our products does not perform as expected, you're protected by our Product Promise.
For full details, please see our Terms & Conditions

Please note: All products are 'FOR RESEARCH USE ONLY. NOT FOR USE IN DIAGNOSTIC OR THERAPEUTIC PROCEDURES'.

For licensing inquiries, please contact partnerships@abcam.com