JavaScript is disabled in your browser. Please enable JavaScript to view this website.
AB245628

Anti-WTAP antibody

Be the first to review this product! Submit a review

|

(2 Publications)

Rabbit Polyclonal WTAP antibody. Suitable for IHC-P, IP, WB and reacts with Human samples. Cited in 2 publications. Immunogen corresponding to Synthetic Peptide within Human WTAP aa 300 to C-terminus.

View Alternative Names

KIAA0105, WTAP, Pre-mRNA-splicing regulator WTAP, Female-lethal(2)D homolog, WT1-associated protein, Wilms tumor 1-associating protein, hFL(2)D

3 Images
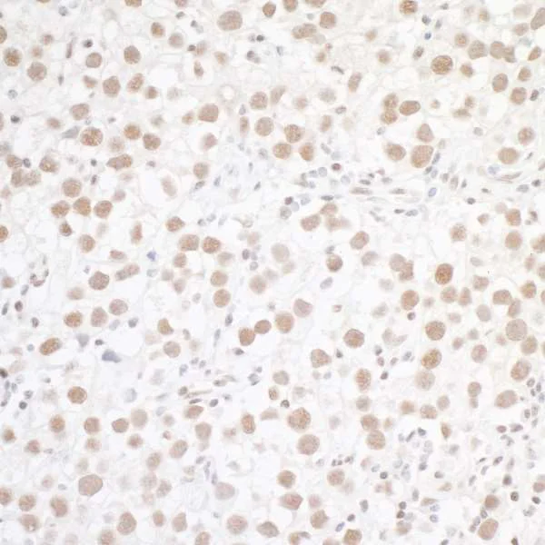
Immunohistochemistry (Formalin/PFA-fixed paraffin-embedded sections) - Anti-WTAP antibody (AB245628)
  • IHC-P

Supplier Data

Immunohistochemistry (Formalin/PFA-fixed paraffin-embedded sections) - Anti-WTAP antibody (AB245628)

Formalin-fixed, paraffin-embedded human testicular seminoma tissue stained for WTAP using ab245628 at 1/5000 dilution in immunohistochemical analysis. Detection : DAB staining.

Immunoprecipitation - Anti-WTAP antibody (AB245628)
  • IP

Supplier Data

Immunoprecipitation - Anti-WTAP antibody (AB245628)

WTAP was immunoprecipitated from HeLa (human epithelial cell line from cervix adenocarcinoma) whole cell lysate (1 mg for IP, 20% of IP loaded) with ab245628 at 3 μg per reaction. Western blot was performed from the immunoprecipitate using ab245628 at 1 μg/ml.

Lane 1 : ab245628 IP in HeLa whole cell lysate.
Lane 2 : Control IgG IP in HeLa whole cell lysate.

Detection : Chemiluminescence with exposure time of 10 seconds.

Lysates prepared in NETN buffer.

All lanes:

Immunoprecipitation - Anti-WTAP antibody (ab245628)

Predicted band size: 44 kDa

false

Western blot - Anti-WTAP antibody (AB245628)
  • WB

Supplier Data

Western blot - Anti-WTAP antibody (AB245628)

Lysates prepared in NETN buffer.

All lanes:

Western blot - Anti-WTAP antibody (ab245628) at 0.1 µg/mL

Lane 1:

HeLa (human epithelial cell line from cervix adenocarcinoma) whole cell lysate at 15 µg

Lane 2:

HEK-293T (human epithelial cell line from embryonic kidney transformed with large T antigen) whole cell lysate at 15 µg

Lane 3:

Jurkat (human T cell leukemia cell line from peripheral blood) whole cell lysate at 15 µg

Predicted band size: 44 kDa

true

Exposure time: 30s

Key facts

Host species

Rabbit

Clonality

Polyclonal

Isotype

IgG

Carrier free

No

Reacts with

Human

Applications

WB, IHC-P, IP

applications

Immunogen

Synthetic Peptide within Human WTAP aa 300 to C-terminus. The exact immunogen used to generate this antibody is proprietary information.

Q15007

Reactivity data

{ "title": "Reactivity Data", "filters": { "stats": ["", "Species", "Dilution Info", "Notes"], "tabs": { "all-applications": {"fullname" : "All Applications", "shortname": "All Applications"}, "IHCP" : {"fullname" : "Immunohistochemistry (Formalin/PFA-fixed paraffin-embedded sections)", "shortname":"IHC-P"}, "IP" : {"fullname" : "Immunoprecipitation", "shortname":"IP"}, "WB" : {"fullname" : "Western blot", "shortname":"WB"} }, "product-promise": { "all": "all", "testedAndGuaranteed": "tested", "guaranteed": "expected", "predicted": "predicted", "notRecommended": "not-recommended" } }, "values": { "Human": { "IHCP-species-checked": "testedAndGuaranteed", "IHCP-species-dilution-info": "1/1000 - 1/5000", "IHCP-species-notes": "<p></p> Perform heat-mediated antigen retrieval with citrate buffer pH 6 before commencing with IHC staining protocol.", "IP-species-checked": "testedAndGuaranteed", "IP-species-dilution-info": "2-5 µg/mg of lysate", "IP-species-notes": "<p></p>", "WB-species-checked": "testedAndGuaranteed", "WB-species-dilution-info": "1/2000 - 1/10000", "WB-species-notes": "<p></p>" }, "Xenopus laevis": { "IHCP-species-checked": "predicted", "IHCP-species-dilution-info": "", "IHCP-species-notes": "", "IP-species-checked": "predicted", "IP-species-dilution-info": "", "IP-species-notes": "", "WB-species-checked": "predicted", "WB-species-dilution-info": "", "WB-species-notes": "" }, "Xenopus tropicalis": { "IHCP-species-checked": "predicted", "IHCP-species-dilution-info": "", "IHCP-species-notes": "", "IP-species-checked": "predicted", "IP-species-dilution-info": "", "IP-species-notes": "", "WB-species-checked": "predicted", "WB-species-dilution-info": "", "WB-species-notes": "" } } }

Properties and storage information

Form
Liquid
Purification technique
Affinity purification Immunogen
Purification notes
ab245628 was affinity purified using an epitope specific to WTAP immobilized on solid support.
Storage buffer
pH: 7 - 8 Preservative: 0.09% Sodium azide Constituents: Tris citrate/phosphate
Shipped at conditions
Blue Ice
Appropriate short-term storage duration
1-2 weeks
Appropriate short-term storage conditions
+4°C
Appropriate long-term storage conditions
+4°C
Aliquoting information
Upon delivery aliquot
Storage information
Avoid freeze / thaw cycle

Supplementary information

This supplementary information is collated from multiple sources and compiled automatically.

WTAP also known as Wilms tumor 1-associated protein is a core component of the writer complex that catalyzes N6-methyladenosine (m6A) methylation on mRNA. With a molecular mass of approximately 39 kDa WTAP localizes almost ubiquitously in human tissues but shows higher expression in liver and kidney cells. This protein assists in the regulation of mRNA splicing and stability functioning as an adapter for RNA binding proteins.
Biological function summary

This protein plays a critical role in post-transcriptional gene regulation by being part of the m6A methyltransferase complex which includes other important proteins like METTL3 and METTL14. WTAP does not bind RNA directly but helps its partners achieve target specificity during gene expression processes. The presence of WTAP within the complex stabilizes and coordinates the activity of the entire methyltransferase assembly.

Pathways

The m6A methylation WTAP facilitates affects various pathways including mRNA splicing and degradation. This process intricately connects WTAP to the regulation of the JAK-STAT signaling pathway where its activity influences inflammatory responses and cell proliferation. Additionally WTAP has ties to the Wnt/β-catenin pathway collaborating with proteins like METTL3 to regulate gene expression involved in cell fate determination and embryogenesis.

Research shows WTAP has connections to various cancers such as hepatocellular carcinoma due to its role in mRNA processing and stability. This association often involves its interaction with other oncogenic proteins like METTL3 leading to aberrant gene expression patterns. WTAP also has relevance in acute myeloid leukemia where it influences mRNA maturation and impacts cell differentiation and proliferation.

Product protocols

For this product, it's our understanding that no specific protocols are required. You can visit:

Target data

Associated component of the WMM complex, a complex that mediates N6-methyladenosine (m6A) methylation of RNAs, a modification that plays a role in the efficiency of mRNA splicing and RNA processing (PubMed : 29507755). Required for accumulation of METTL3 and METTL14 to nuclear speckle (PubMed : 24316715, PubMed : 24407421, PubMed : 24981863). Acts as a mRNA splicing regulator (PubMed : 12444081). Regulates G2/M cell-cycle transition by binding to the 3' UTR of CCNA2, which enhances its stability (PubMed : 17088532). Impairs WT1 DNA-binding ability and inhibits expression of WT1 target genes (PubMed : 17095724).
See full target information WTAP

Publications (2)

Recent publications for all applications. Explore the full list and refine your search

Cell death discovery 11:397 PubMed40846737

2025

WTAP participates in the DNA damage response via an mA-FOXM1-dependent manner in hepatocellular carcinoma.

Applications

Unspecified application

Species

Unspecified reactive species

Nan Huang,Zhixuan Bian,Chang Xu,Yue Zhang,Li Liu,Zhongqi Cui,Shasha Zhao,Qiangyuan Fan,Shaobo Xue,Yan Chen,Qiuhui Pan,Fenyong Sun

Molecular medicine reports 19:3519-3526 PubMed30896869

2019

Overexpression of ribonuclease inhibitor induces autophagy in human colorectal cancer cells via the Akt/mTOR/ULK1 pathway.

Applications

Unspecified application

Species

Unspecified reactive species

Ying Tang,Feng Ren,Xi Cong,Ying Kong,Yuxiang Tian,Yuefei Xu,Jianhui Fan
View all publications

Product promise

We are committed to supporting your work with high-quality reagents, and we're here for you every step of the way. In the unlikely event that one of our products does not perform as expected, you're protected by our Product Promise.
For full details, please see our Terms & Conditions

Please note: All products are 'FOR RESEARCH USE ONLY. NOT FOR USE IN DIAGNOSTIC OR THERAPEUTIC PROCEDURES'.

For licensing inquiries, please contact partnerships@abcam.com