JavaScript is disabled in your browser. Please enable JavaScript to view this website.
AB195380

Anti-WTAP antibody [EPR18744]

5

(6 Reviews)

|

(47 Publications)

Anti-WTAP antibody [EPR18744] (ab195380) is a rabbit monoclonal antibody detecting WTAP in Western Blot, Flow Cytometry (Intra), Flow Cytometry, IP, IHC-P, ICC/IF. Suitable for Human.

- KO validated for confirmed specificity
- Biophysical QC for unrivalled batch-batch consistency
- Over 40 publications

View Alternative Names

KIAA0105, WTAP, Pre-mRNA-splicing regulator WTAP, Female-lethal(2)D homolog, WT1-associated protein, Wilms tumor 1-associating protein, hFL(2)D

13 Images
Western blot - Anti-WTAP antibody [EPR18744] (AB195380)
  • WB

Supplier Data

Western blot - Anti-WTAP antibody [EPR18744] (AB195380)

Blocking and diluting buffer and concentration : 5% NFDM/TBST.

This blot was developed using a high sensitivity ECL substrate. The high-sensitivity ECL substrate used allows for the detection of proteins in the mid-femtogram range.

In Western blot, anti-WTAP antibody (ab195380) as pan control staining at 1/1000 dilution.

In Western blot, anti-GAPDH antibody (ab181602) loading control staining at 1/200000 dilution.

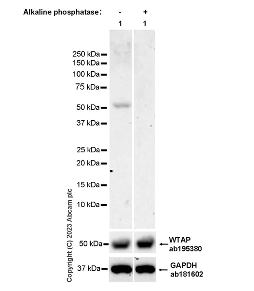
All lanes:

Western blot - Anti-WTAP (phospho S341) antibody [EPR27039-57] (<a href='/en-us/products/primary-antibodies/wtap-phospho-s341-antibody-epr27039-57-ab309350'>ab309350</a>) at 1/1000 dilution

Lane 1:

Wild-type HAP1(human chronic myelogenous leukemia near-haploid cell line) whole cell lysate (untreated membrane) at 20 µg

Lane 2:

Wild-type HAP1 whole cell lysate (Alkaline phosphatase treated membrane) at 20 µg

Secondary

All lanes:

Western blot - Goat Anti-Rabbit IgG H&L (HRP) (<a href='/en-us/products/secondary-antibodies/goat-rabbit-igg-h-l-hrp-ab97051'>ab97051</a>) at 1/100000 dilution

Observed band size: 55 kDa

true

Exposure time: 180s

Western blot - Anti-WTAP antibody [EPR18744] (AB195380)
  • WB

Supplier Data

Western blot - Anti-WTAP antibody [EPR18744] (AB195380)

Blocking/Dilution buffer : 5% NFDM/TBST.

The observed molecular weight is consistent with what has been described in the literature (PMID : 17088532).

All lanes:

Western blot - Anti-WTAP antibody [EPR18744] (ab195380) at 1/1000 dilution

Lane 1:

Human kidney lysate at 10 µg

Lane 2:

Human thymus lysate at 10 µg

Lane 3:

Human lung lysate at 10 µg

Secondary

All lanes:

Goat Anti-Rabbit IgG Peroxidase Conjugate, specific to the non-reduced form of IgG at 1/100000 dilution

Predicted band size: 44 kDa

Observed band size: 50 kDa

true

Exposure time: 3min

Western blot - Anti-WTAP antibody [EPR18744] (AB195380)
  • WB

Supplier Data

Western blot - Anti-WTAP antibody [EPR18744] (AB195380)

Blocking/Dilution buffer : 5% NFDM/TBST.

The observed molecular weight is consistent with what has been described in the literature (PMID : 17088532).

All lanes:

Western blot - Anti-WTAP antibody [EPR18744] (ab195380) at 1/1000 dilution

Lane 1:

Jurkat (Human T cell leukemia cell line from peripheral blood) whole cell lysate at 20 µg

Lane 2:

K562 (Human chronic myelogenous leukemia cell line from bone marrow ) whole cell lysate at 20 µg

Lane 3:

HeLa (Human epithelial cell line from cervix adenocarcinoma) whole cell lysate at 20 µg

Lane 4:

HepG2 (Human liver hepatocellular carcinoma cell line) whole cell lysate at 20 µg

Secondary

All lanes:

Western blot - Goat Anti-Rabbit IgG H&L (HRP) (<a href='/en-us/products/secondary-antibodies/goat-rabbit-igg-h-l-hrp-ab97051'>ab97051</a>) at 1/100000 dilution

Predicted band size: 44 kDa

Observed band size: 50 kDa

true

Exposure time: 3min

Western blot - Anti-WTAP antibody [EPR18744] (AB195380)
  • WB

Supplier Data

Western blot - Anti-WTAP antibody [EPR18744] (AB195380)

In Western blot, Anti-WTAP antibody [EPR18744] - Loading Control (ab195380) staining at 1/1000 dilution.

All lanes:

Western blot - Anti-WTAP (phospho S306) antibody [EPR27038-188] (<a href='/en-us/products/primary-antibodies/wtap-phospho-s306-antibody-epr27038-188-ab316275'>ab316275</a>) at 1/1000 dilution

Lane 1:

Jurkat (human t cell leukemia t lymphocyte from peripheral blood) whole cell lysate (untreated membrane) at 20 µg with 5% NFDM/TBST

Lane 2:

Jurkat whole cell lysate (alkaline phosphatase treated membrane) at 20 µg with 5% NFDM/TBST

Secondary

All lanes:

Western blot - Goat Anti-Rabbit IgG H&L (HRP) (<a href='/en-us/products/secondary-antibodies/goat-rabbit-igg-h-l-hrp-ab97051'>ab97051</a>) at 1/20000 dilution

Observed band size: 55 kDa

false

Exposure time: 26s

Western blot - Anti-WTAP antibody [EPR18744] (AB195380)
  • WB

Supplier Data

Western blot - Anti-WTAP antibody [EPR18744] (AB195380)

In Western blot, Anti-WTAP antibody [EPR18744] - Loading Control (ab195380) staining at 1/1000 dilution.

All lanes:

Western blot - Anti-WTAP (phospho S306) antibody [EPR27038-188] (<a href='/en-us/products/primary-antibodies/wtap-phospho-s306-antibody-epr27038-188-ab316275'>ab316275</a>) at 1/1000 dilution

Lane 1:

A375 (human malignant melanoma epithelial cell) whole cell lysate (untreated membrane) at 20 µg with 5% NFDM/TBST

Lane 2:

A375 whole cell lysate (alkaline phosphatase treated membrane) at 20 µg with 5% NFDM/TBST

Secondary

All lanes:

Western blot - Goat Anti-Rabbit IgG H&L (HRP) (<a href='/en-us/products/secondary-antibodies/goat-rabbit-igg-h-l-hrp-ab97051'>ab97051</a>) at 1/20000 dilution

Observed band size: 55 kDa

false

Exposure time: 26s

Western blot - Anti-WTAP antibody [EPR18744] (AB195380)
  • WB

Supplier Data

Western blot - Anti-WTAP antibody [EPR18744] (AB195380)

Blocking and diluting buffer and concentration : 5% NFDM/TBST The expression of WTAP (phospho S341) is upregulated in response to PMA treatment (PMID : 33217317). In Western blot, anti-WTAP antibody (ab195380) as pan control staining at 1/1000 dilution. In Western blot, anti-GAPDH antibody (ab181602) loading control staining at 1/200000 dilution. Exposure time : 180 seconds

All lanes:

Western blot - Anti-WTAP (phospho S341) antibody [EPR27039-57] (<a href='/en-us/products/primary-antibodies/wtap-phospho-s341-antibody-epr27039-57-ab309350'>ab309350</a>) at 1/1000 dilution

Lane 1:

Untreated Wild-type HAP1(human chronic myelogenous leukemia near-haploid cell line) whole cell lysate at 20 µg

Lane 2:

HAP1 treated with /ml PMA for 30 minutes whole cell lysate at 20 µg

Lane 3:

Untreated WTAP knockout HAP1 whole cell lysate at 20 µg

Lane 4:

WTAP knockout HAP1 treated with /ml PMA for 30 minutes whole cell lysate at 20 µg

Secondary

All lanes:

Western blot - Goat Anti-Rabbit IgG H&L (HRP) (<a href='/en-us/products/secondary-antibodies/goat-rabbit-igg-h-l-hrp-ab97051'>ab97051</a>) at 1/100000 dilution

Observed band size: 55 kDa

false

Exposure time: 180s

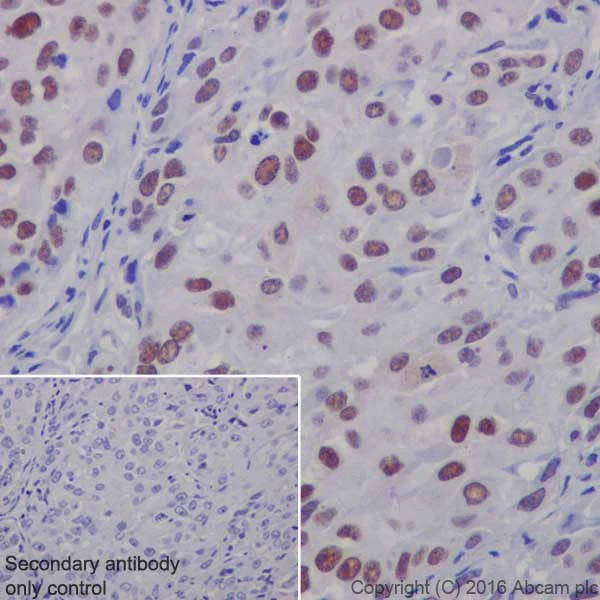
Immunohistochemistry (Formalin/PFA-fixed paraffin-embedded sections) - Anti-WTAP antibody [EPR18744] (AB195380)
  • IHC-P

Supplier Data

Immunohistochemistry (Formalin/PFA-fixed paraffin-embedded sections) - Anti-WTAP antibody [EPR18744] (AB195380)

Immunohistochemical analysis of paraffin-embedded human liver cancer tissue labeling WTAP with ab195380 at 1/100 dilution, followed by Goat Anti-Rabbit IgG H&L (HRP) (ab97051) at 1/500 dilution. Nuclear staining on human liver cancer is observed. Counter stained with Hematoxylin.

Secondary antibody only control : Used PBS instead of primary antibody, secondary antibody is Goat Anti-Rabbit IgG H&L (HRP) (ab97051) at 1/500 dilution.

Perform heat mediated antigen retrieval with Tris/EDTA buffer pH 9.0 before commencing with IHC staining protocol.

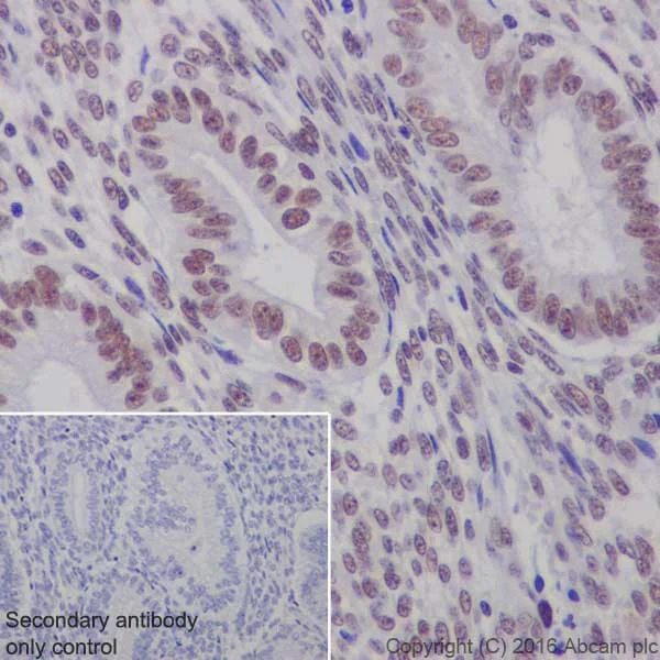
Immunohistochemistry (Formalin/PFA-fixed paraffin-embedded sections) - Anti-WTAP antibody [EPR18744] (AB195380)
  • IHC-P

Supplier Data

Immunohistochemistry (Formalin/PFA-fixed paraffin-embedded sections) - Anti-WTAP antibody [EPR18744] (AB195380)

Immunohistochemical analysis of paraffin-embedded human endometrium tissue labeling WTAP with ab195380 at 1/100 dilution, followed by Goat Anti-Rabbit IgG H&L (HRP) (ab97051) at 1/500 dilution. Nuclear staining on human endometrium is observed. Counter stained with Hematoxylin.

Secondary antibody only control : Used PBS instead of primary antibody, secondary antibody is Goat Anti-Rabbit IgG H&L (HRP) (ab97051) at 1/500 dilution.

Perform heat mediated antigen retrieval with Tris/EDTA buffer pH 9.0 before commencing with IHC staining protocol.

Immunocytochemistry/ Immunofluorescence - Anti-WTAP antibody [EPR18744] (AB195380)
  • ICC/IF

Supplier Data

Immunocytochemistry/ Immunofluorescence - Anti-WTAP antibody [EPR18744] (AB195380)

Immunofluorescent analysis of 4% paraformaldehyde-fixed, 0.1% Triton X-100 permeabilized HeLa (Human epithelial cell line from cervix adenocarcinoma) cells labeling WTAP with ab195380 at 1/500 dilution, followed by Goat Anti-Rabbit IgG (Alexa Fluor® 488) (ab150077) secondary antibody at 1/1000 dilution (green). Confocal image showing nuclear staining on HeLa cell line. The nuclear counter stain is DAPI (blue).

Tubulin is detected with Anti-alpha Tubulin mouse MAb (ab7291) at 1/1000 dilution, followed by Goat Anti-Mouse IgG H&L (Alexa Fluor® 594) (ab150120) secondary antibody at 1/1000 dilution (red).

The negative controls are as follows :
-ve control 1 : ab195380 at 1/500 dilution, followed by Goat Anti-Mouse IgG H&L (Alexa Fluor® 594) (ab150120) secondary antibody at 1/1000 dilution.
-ve control 2 : Anti-alpha Tubulin mouse MAb (ab7291) at 1/1000 dilution, followed by Goat Anti-Rabbit IgG (Alexa Fluor® 488) (ab150077) secondary antibody at 1/1000 dilution.

Flow Cytometry (Intracellular) - Anti-WTAP antibody [EPR18744] (AB195380)
  • Flow Cyt (Intra)

Supplier Data

Flow Cytometry (Intracellular) - Anti-WTAP antibody [EPR18744] (AB195380)

Intracellular flow cytometric analysis of 4% paraformaldehyde-fixed Jurkat (Human T cell leukemia cell line from peripheral blood) cells labeling WTAP with ab195380 at 1/600 dilution (red) compared with a rabbit monoclonal IgG isotype control (ab172730; black) and an unlabelled control (cells without incubation with primary antibody and secondary antibody; blue). Goat Anti-Rabbit IgG (Alexa Fluorr® 488) at 1/2000 dilution was used as the secondary antibody.

Immunocytochemistry/ Immunofluorescence - Anti-WTAP antibody [EPR18744] (AB195380)
  • ICC/IF

Supplier Data

Immunocytochemistry/ Immunofluorescence - Anti-WTAP antibody [EPR18744] (AB195380)

Immunofluorescent analysis of 4% paraformaldehyde-fixed, 0.1% Triton X-100 permeabilized Jurkat (Human T cell leukemia cell line from peripheral blood) cells labeling WTAP with ab195380 at 1/500 dilution, followed by Goat Anti-Rabbit IgG (Alexa Fluor® 488) (ab150077) secondary antibody at 1/1000 dilution (green). Confocal image showing nuclear staining on Jurkat cell line. The nuclear counter stain is DAPI (blue).

Tubulin is detected with Anti-alpha Tubulin mouse MAb (ab7291) at 1/1000 dilution, followed by Goat Anti-Mouse IgG H&L (Alexa Fluor® 594) (ab150120) secondary antibody at 1/1000 dilution (red).

The negative controls are as follows :
-ve control 1 : ab195380 at 1/500 dilution, followed by Goat Anti-Mouse IgG H&L (Alexa Fluor® 594) (ab150120) secondary antibody at 1/1000 dilution.
-ve control 2 : Anti-alpha Tubulin mouse MAb (ab7291) at 1/1000 dilution, followed by Goat Anti-Rabbit IgG H&L (Alexa Fluor® 488) (ab150077) secondary antibody at 1/1000 dilution.

Immunoprecipitation - Anti-WTAP antibody [EPR18744] (AB195380)
  • IP

Supplier Data

Immunoprecipitation - Anti-WTAP antibody [EPR18744] (AB195380)

WTAP was immunoprecipitated from 0.35 mg of Jurkat (Human T cell leukemia cell line from peripheral blood) whole cell lysate with ab195380 at 1/40 dilution. Western blot was performed from the immunoprecipitate using ab195380 at 1/1000 dilution. VeriBlot for IP Detection Reagent (HRP) (ab131366), was used for detection at 1/10000 dilution.

Lane 1 : Jurkat whole cell lysate 10μg (Input).

Lane 2 : ab195380 IP in Jurkat whole cell lysate.

Lane 3 : Rabbit monoclonal IgG (ab172730) instead of ab195380 in Jurkat whole cell lysate.

Blocking and dilution buffer and concentration : 5% NFDM/TBST.

Exposure time : 30 seconds.

All lanes:

Immunoprecipitation - Anti-WTAP antibody [EPR18744] (ab195380)

Predicted band size: 44 kDa

false

Western blot - Anti-WTAP antibody [EPR18744] (AB195380)
  • WB

Supplier Data

Western blot - Anti-WTAP antibody [EPR18744] (AB195380)

Lane 1 : Wild-type HAP1 whole cell lysate (20 μg)
Lane 2 : WTAP knockout HAP1 whole cell lysate (20 μg)
Lane 3 : MOLT-4 whole cell lysate (20 μg)
Lane 4 : K562 whole cell lysate (20 μg)

Lanes 1 - 4 : Merged signal (red and green). Green - ab195380 observed at 50 kDa. Red - loading control, ab18058, observed at 130 kDa.

ab195380 was shown to specifically react with WTAP in wild-type HAP1 cells as signal was lost in WTAP knockout cells. Wild-type and WTAP knockout samples were subjected to SDS-PAGE. ab195380 and ab18058 (Mouse anti-Vinculin loading control) were incubated overnight at 4°C at 1/1000 dilution and 1/20000 dilution respectively. Blots were developed with Goat anti-Rabbit IgG H&L (IRDye® 800CW) preabsorbed ab216773 and Goat anti-Mouse IgG H&L (IRDye® 680RD) preabsorbed ab216776 secondary antibodies at 1/10000 dilution for 1 hour at room temperature before imaging.

All lanes:

Western blot - Anti-WTAP antibody [EPR18744] (ab195380)

Predicted band size: 44 kDa

false

Key facts

Host species

Rabbit

Clonality

Monoclonal

Clone number

EPR18744

Isotype

IgG

Carrier free

No

Reacts with

Human

Applications

WB, IHC-P, ICC/IF, Flow Cyt (Intra), IP

applications

Immunogen

The exact immunogen used to generate this antibody is proprietary information.

Reactivity data

{ "title": "Reactivity Data", "filters": { "stats": ["", "Species", "Dilution Info", "Notes"], "tabs": { "all-applications": {"fullname" : "All Applications", "shortname": "All Applications"}, "IP" : {"fullname" : "Immunoprecipitation", "shortname":"IP"}, "WB" : {"fullname" : "Western blot", "shortname":"WB"}, "IHCP" : {"fullname" : "Immunohistochemistry (Formalin/PFA-fixed paraffin-embedded sections)", "shortname":"IHC-P"}, "ICCIF" : {"fullname" : "Immunocytochemistry/ Immunofluorescence", "shortname":"ICC/IF"}, "FlowCytIntra" : {"fullname" : "Flow Cytometry (Intracellular)", "shortname":"Flow Cyt (Intra)"} }, "product-promise": { "all": "all", "testedAndGuaranteed": "tested", "guaranteed": "expected", "predicted": "predicted", "notRecommended": "not-recommended" } }, "values": { "Human": { "IP-species-checked": "testedAndGuaranteed", "IP-species-dilution-info": "1/40", "IP-species-notes": "<p></p>", "WB-species-checked": "testedAndGuaranteed", "WB-species-dilution-info": "1/1000", "WB-species-notes": "<p>Milk recommended as blocking agent.</p>", "IHCP-species-checked": "testedAndGuaranteed", "IHCP-species-dilution-info": "1/100", "IHCP-species-notes": "<p></p>", "ICCIF-species-checked": "testedAndGuaranteed", "ICCIF-species-dilution-info": "1/500", "ICCIF-species-notes": "<p></p>", "FlowCytIntra-species-checked": "testedAndGuaranteed", "FlowCytIntra-species-dilution-info": "1/600", "FlowCytIntra-species-notes": "<p></p>" }, "Mouse": { "IP-species-checked": "notRecommended", "IP-species-dilution-info": "1/40", "IP-species-notes": "<p></p>", "WB-species-checked": "notRecommended", "WB-species-dilution-info": "1/1000", "WB-species-notes": "<p>Milk recommended as blocking agent.</p>", "IHCP-species-checked": "notRecommended", "IHCP-species-dilution-info": "1/100", "IHCP-species-notes": "<p></p>", "ICCIF-species-checked": "notRecommended", "ICCIF-species-dilution-info": "1/500", "ICCIF-species-notes": "<p></p>", "FlowCytIntra-species-checked": "notRecommended", "FlowCytIntra-species-dilution-info": "1/600", "FlowCytIntra-species-notes": "<p></p>" }, "Primates": { "IP-species-checked": "notRecommended", "IP-species-dilution-info": "", "IP-species-notes": "", "WB-species-checked": "notRecommended", "WB-species-dilution-info": "", "WB-species-notes": "", "IHCP-species-checked": "notRecommended", "IHCP-species-dilution-info": "", "IHCP-species-notes": "", "ICCIF-species-checked": "notRecommended", "ICCIF-species-dilution-info": "", "ICCIF-species-notes": "", "FlowCytIntra-species-checked": "notRecommended", "FlowCytIntra-species-dilution-info": "", "FlowCytIntra-species-notes": "" } } }

Product details

What is this antibody validated in?
Anti-WTAP antibody [EPR18744] (ab195380) is a rabbit recombinant monoclonal antibody and is validated for use in Western Blot (WB), Flow Cytometry (Intra), Flow Cytometry (Flow Cyt), Immunoprecipitation (IP), Immunohistochemistry (IHC-P), Immunocytochemistry/immunofluorescence (ICC/IF) in Human samples.

What is the molecular weight of WTAP?
Anti-WTAP [EPR18744] (ab195380) specifically detects a band for WTAP (UniProt: Q15007) at a molecular weight of 44kDa.

Trusted by the scientific community
Anti-WTAP [EPR18744] (ab195380) was first used in a scientific publication in 2016 and has been cited over 40 times in peer-reviewed journals.

Reviewed by scientists
Anti-WTAP [EPR18744] (ab195380) has over 5 independent reviews from customers.

Trial sizes available!
Test your antibody or perform pre-screening before committing to a larger quantity. Sold in 10µl. Discover our selection of trial-size antibodies.

Specificity confirmed
The specificity of Anti-WTAP antibody [EPR18744] (ab195380) has been confirmed by Western blot testing in WTAP Knockout HAP1 cells.

Other related products
We have a range of other formats of antibody clone [EPR18744] also available for your convenience: ab195380, Alexa Fluor® 488 - ab225404, Carrier free - ab232392

Patented technology
Our RabMAb® technology is a patented hybridoma-based technology for making rabbit monoclonal antibodies. For details on our patents, please refer to RabMAb® patents.

What are the advantages of a recombinant monoclonal antibody?
This product is a recombinant monoclonal antibody, which offers several advantages including:

  • - High batch-to-batch consistency and reproducibility
  • - Improved sensitivity and specificity
  • - Long-term security of supply
  • - Animal-free batch production

For more information, read more on recombinant antibodies.

Properties and storage information

Form
Liquid
Purification technique
Affinity purification Protein A
Storage buffer
pH: 7.2 - 7.4 Preservative: 0.01% Sodium azide Constituents: PBS, 40% Glycerol (glycerin, glycerine), 0.05% BSA
Shipped at conditions
Blue Ice
Appropriate short-term storage duration
1-2 weeks
Appropriate short-term storage conditions
+4°C
Appropriate long-term storage conditions
-20°C
Aliquoting information
Upon delivery aliquot
Storage information
Avoid freeze / thaw cycle

Supplementary information

This supplementary information is collated from multiple sources and compiled automatically.

WTAP also known as Wilms tumor 1-associated protein is a core component of the writer complex that catalyzes N6-methyladenosine (m6A) methylation on mRNA. With a molecular mass of approximately 39 kDa WTAP localizes almost ubiquitously in human tissues but shows higher expression in liver and kidney cells. This protein assists in the regulation of mRNA splicing and stability functioning as an adapter for RNA binding proteins.
Biological function summary

This protein plays a critical role in post-transcriptional gene regulation by being part of the m6A methyltransferase complex which includes other important proteins like METTL3 and METTL14. WTAP does not bind RNA directly but helps its partners achieve target specificity during gene expression processes. The presence of WTAP within the complex stabilizes and coordinates the activity of the entire methyltransferase assembly.

Pathways

The m6A methylation WTAP facilitates affects various pathways including mRNA splicing and degradation. This process intricately connects WTAP to the regulation of the JAK-STAT signaling pathway where its activity influences inflammatory responses and cell proliferation. Additionally WTAP has ties to the Wnt/Β-catenin pathway collaborating with proteins like METTL3 to regulate gene expression involved in cell fate determination and embryogenesis.

Research shows WTAP has connections to various cancers such as hepatocellular carcinoma due to its role in mRNA processing and stability. This association often involves its interaction with other oncogenic proteins like METTL3 leading to aberrant gene expression patterns. WTAP also has relevance in acute myeloid leukemia where it influences mRNA maturation and impacts cell differentiation and proliferation.

Product protocols

For this product, it's our understanding that no specific protocols are required. You can visit:

Target data

Associated component of the WMM complex, a complex that mediates N6-methyladenosine (m6A) methylation of RNAs, a modification that plays a role in the efficiency of mRNA splicing and RNA processing (PubMed : 29507755). Required for accumulation of METTL3 and METTL14 to nuclear speckle (PubMed : 24316715, PubMed : 24407421, PubMed : 24981863). Acts as a mRNA splicing regulator (PubMed : 12444081). Regulates G2/M cell-cycle transition by binding to the 3' UTR of CCNA2, which enhances its stability (PubMed : 17088532). Impairs WT1 DNA-binding ability and inhibits expression of WT1 target genes (PubMed : 17095724).
See full target information WTAP

Publications (47)

Recent publications for all applications. Explore the full list and refine your search

Histology and histopathology 39:633-646 PubMed37933909

2023

WTAP enhances the instability of SYTL1 mRNA caused by YTHDF2 in bladder cancer.

Applications

Unspecified application

Species

Unspecified reactive species

Jiansong Wang,Jianjun Luo,Xuecheng Wu,Zhuo Li

Nature communications 14:6334 PubMed37816727

2023

CSTF2 mediated mRNA N-methyladenosine modification drives pancreatic ductal adenocarcinoma mA subtypes.

Applications

WB

Species

Human

Yanfen Zheng,Xingyang Li,Shuang Deng,Hongzhe Zhao,Ying Ye,Shaoping Zhang,Xudong Huang,Ruihong Bai,Lisha Zhuang,Quanbo Zhou,Mei Li,Jiachun Su,Rui Li,Xiaoqiong Bao,Lingxing Zeng,Rufu Chen,Jian Zheng,Dongxin Lin,Chuan He,Jialiang Zhang,Zhixiang Zuo

Molecular cancer research : MCR 21:1342-1355 PubMed37647111

2023

m6A-Mediated Biogenesis of circDDIT4 Inhibits Prostate Cancer Progression by Sequestrating ELAVL1/HuR.

Applications

RIP

Species

Human

Zhe Kong,Yali Lu,Yue Yang,Kun Chang,Yan Lin,Yan Huang,Chenji Wang,Lu Zhang,Wei Xu,Shimin Zhao,Yao Li

The Journal of biological chemistry 299:105175 PubMed37599001

2023

MAPK13 stabilization via mA mRNA modification limits anticancer efficacy of rapamycin.

Applications

WB

Species

Human

Joohwan Kim,Yujin Chun,Cuauhtemoc B Ramirez,Lauren A Hoffner,Sunhee Jung,Ki-Hong Jang,Varvara I Rubtsova,Cholsoon Jang,Gina Lee

Cell communication and signaling : CCS 21:199 PubMed37563688

2023

N6-methyladenosine (m6A) methyltransferase WTAP-mediated miR-92b-5p accelerates osteoarthritis progression.

Applications

WB

Species

Human

Zhaowei Lin,Tao Jiang,Wei Zheng,Jiayuan Zhang,Anan Li,Chao Lu,Wengang Liu

Cell adhesion & migration 17:1-13 PubMed36849408

2023

WTAP regulates autophagy in colon cancer cells by inhibiting FLNA through N6-methyladenosine.

Applications

WB

Species

Human

Liang Huang,Jinfan Shao,Xijuan Xu,Weiwen Hong,Wenfeng Yu,Shuang Zheng,Xiaogang Ge

Genomics 115:110687 PubMed37454940

2023

Comprehensive analysis of transcriptome-wide N6-methyladenosine methylomes in the Barrett's esophagus in rats.

Applications

WB

Species

Rat

Ke Zou,Hui Dong,Mengmeng Li,Ying Zhang,Kai Zhang,Danlin Song,Chuanlian Chu

Journal of ethnopharmacology 317:116809 PubMed37336334

2023

Qinzhu Liangxue inhibits IL-6-induced hyperproliferation and inflammation in HaCaT cells by regulating METTL14/SOCS3/STAT3 axis.

Applications

WB

Species

Human

Yiran Chen,Xiao Miao,Yanwei Xiang,Le Kuai,Xiaojie Ding,Tian Ma,Bin Li,Bin Fan

Viruses 15: PubMed37376680

2023

mA Regulates the Stability of Cellular Transcripts Required for Efficient KSHV Lytic Replication.

Applications

Unspecified application

Species

Unspecified reactive species

Oliver Manners,Belinda Baquero-Perez,Timothy J Mottram,Ivaylo D Yonchev,Christopher J Trevelyan,Katherine L Harper,Sarah Menezes,Molly R Patterson,Andrew Macdonald,Stuart A Wilson,Julie L Aspden,Adrian Whitehouse

Journal of neurochemistry 166:328-345 PubMed37300304

2023

Astragaloside IV alleviates neuronal ferroptosis in ischemic stroke by regulating fat mass and obesity-associated-N6-methyladenosine-acyl-CoA synthetase long-chain family member 4 axis.

Applications

Unspecified application

Species

Unspecified reactive species

Zhenglong Jin,Wenying Gao,Fu Guo,Shaojun Liao,Mingzhe Hu,Tao Yu,Shangzhen Yu,Qing Shi
View all publications

Product promise

We are committed to supporting your work with high-quality reagents, and we're here for you every step of the way. In the unlikely event that one of our products does not perform as expected, you're protected by our Product Promise.
For full details, please see our Terms & Conditions

Associated Products

Select an associated product type
Alternative Product
Primary Antibodies

AB155655

Anti-WTAP antibody

primary-antibodies

wtap-antibody-ab155655

3

(1 reviews)

Alternative Product
Primary Antibodies

AB245628

Anti-WTAP antibody

primary-antibodies

wtap-antibody-ab245628

0

(0 reviews)

Please note: All products are 'FOR RESEARCH USE ONLY. NOT FOR USE IN DIAGNOSTIC OR THERAPEUTIC PROCEDURES'.

For licensing inquiries, please contact partnerships@abcam.com