JavaScript is disabled in your browser. Please enable JavaScript to view this website.
AB316275

Anti-WTAP (phospho S306) antibody [EPR27038-188]

Be the first to review this product! Submit a review

|

(0 Publication)

Knockout Tested Rabbit Recombinant Monoclonal WTAP phospho S306 antibody. Suitable for WB, IP, Dot and reacts with Human, Synthetic peptide - Human samples.

View Alternative Names

KIAA0105, WTAP, Pre-mRNA-splicing regulator WTAP, Female-lethal(2)D homolog, WT1-associated protein, Wilms tumor 1-associating protein, hFL(2)D

5 Images
Immunoprecipitation - Anti-WTAP (phospho S306) antibody [EPR27038-188] (AB316275)
  • IP

Supplier Data

Immunoprecipitation - Anti-WTAP (phospho S306) antibody [EPR27038-188] (AB316275)

WTAP (phospho S306) was immunoprecipitated from 0.35 mg HAP1(human chronic myelogenous leukemia near-haploid cell) treated with 200 ng/ml PMA for 30 minutes whole cell lysate with ab316275 at 1/30 dilution (2ug in 0.35mg lysates). Western blot was performed on the immunoprecipitate using ab316275 at 1/1000 dilution. VeriBlot for IP secondary antibody(HRP)(ab131366) was used at 1/5000 dilution.

Lane 1 : HAP1(human chronic myelogenous leukemia near-haploid cell) treated with 200 ng/ml PMA for 30 minutes whole cell lysate
Lane 2 : ab316275 IP in HAP1(human chronic myelogenous leukemia near-haploid cell) treated with 200 ng/ml PMA for 30 minutes whole cell lysate
Lane 3 : Rabbit monoclonal IgG (ab172730) instead of ab316275 in HAP1 treated with 200 ng/ml PMA for 30 minutes whole cell lysate

All lanes:

Immunoprecipitation - Anti-WTAP (phospho S306) antibody [EPR27038-188] (ab316275) at 1/30 dilution

All lanes:

HAP1(human chronic myelogenous leukemia near-haploid cell) treated with 200 ng/ml PMA for 30 minutes whole cell lysate with 5% NFDM/TBST

Secondary

All lanes:

Immunoprecipitation - VeriBlot for IP Detection Reagent (HRP) (<a href='/en-us/products/reagents/veriblot-for-ip-detection-reagent-hrp-ab131366'>ab131366</a>)

false

Exposure time: 180s

Western blot - Anti-WTAP (phospho S306) antibody [EPR27038-188] (AB316275)
  • WB

Supplier Data

Western blot - Anti-WTAP (phospho S306) antibody [EPR27038-188] (AB316275)

In Western blot, Anti-WTAP antibody [EPR18744] - Loading Control (ab195380) staining at 1/1000 dilution.

All lanes:

Western blot - Anti-WTAP (phospho S306) antibody [EPR27038-188] (ab316275) at 1/1000 dilution

Lane 1:

Jurkat (human t cell leukemia t lymphocyte from peripheral blood) whole cell lysate (untreated membrane) at 20 µg with 5% NFDM/TBST

Lane 2:

Jurkat whole cell lysate (alkaline phosphatase treated membrane) at 20 µg with 5% NFDM/TBST

Secondary

All lanes:

Western blot - Goat Anti-Rabbit IgG H&L (HRP) (<a href='/en-us/products/secondary-antibodies/goat-rabbit-igg-h-l-hrp-ab97051'>ab97051</a>) at 1/20000 dilution

Observed band size: 55 kDa

false

Exposure time: 26s

Western blot - Anti-WTAP (phospho S306) antibody [EPR27038-188] (AB316275)
  • WB

Supplier Data

Western blot - Anti-WTAP (phospho S306) antibody [EPR27038-188] (AB316275)

In Western blot, Anti-WTAP antibody [EPR18744] - Loading Control (ab195380) staining at 1/1000 dilution.

All lanes:

Western blot - Anti-WTAP (phospho S306) antibody [EPR27038-188] (ab316275) at 1/1000 dilution

Lane 1:

A375 (human malignant melanoma epithelial cell) whole cell lysate (untreated membrane) at 20 µg with 5% NFDM/TBST

Lane 2:

A375 whole cell lysate (alkaline phosphatase treated membrane) at 20 µg with 5% NFDM/TBST

Secondary

All lanes:

Western blot - Goat Anti-Rabbit IgG H&L (HRP) (<a href='/en-us/products/secondary-antibodies/goat-rabbit-igg-h-l-hrp-ab97051'>ab97051</a>) at 1/20000 dilution

Observed band size: 55 kDa

false

Exposure time: 26s

Western blot - Anti-WTAP (phospho S306) antibody [EPR27038-188] (AB316275)
  • WB

Supplier Data

Western blot - Anti-WTAP (phospho S306) antibody [EPR27038-188] (AB316275)

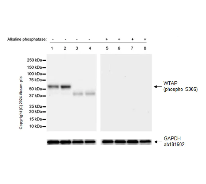
In Western blot, ab316275 was shown to bind specifically to WTAP. Target of interest was observed at 55 kDa in wild-type HAP1 cell lysates (lanes 1-2 ) with no signal observed at this size in WTAP knockout cell line lysates (lanes 3-4 ).

In Western blot, Anti-GAPDH antibody [EPR16891] - Loading Control (ab181602) staining at 1/200000 dilution.

All lanes:

Western blot - Anti-WTAP (phospho S306) antibody [EPR27038-188] (ab316275) at 1/1000 dilution

Lane 1:

Untreated Wild-type HAP1 (human chronic myelogenous leukemia near-haploid cell) whole cell lysate (untreated membrane) at 20 µg with 5% NFDM/TBST

Lane 2:

Wild-type HAP1 treated with 200 ng/ml PMA for 30 minutes whole cell lysate (untreated membrane) at 20 µg with 5% NFDM/TBST

Lane 3:

Untreated WTAP knockout HAP1 whole cell lysate (untreated membrane) at 20 µg with 5% NFDM/TBST

Lane 4:

WTAP knockout HAP1 treated with 200 ng/ml PMA for 30 minutes whole cell lysate (untreated membrane) at 20 µg with 5% NFDM/TBST

Lane 5:

Untreated Wild-type HAP1 (human chronic myelogenous leukemia near-haploid cell) whole cell lysate (alkaline phosphatase treated membrane) at 20 µg with 5% NFDM/TBST

Lane 6:

Wild-type HAP1 treated with 200 ng/ml PMA for 30 minutes whole cell lysate (alkaline phosphatase treated membrane) at 20 µg with 5% NFDM/TBST

Lane 7:

Untreated WTAP knockout HAP1 whole cell lysate (alkaline phosphatase treated membrane) at 20 µg with 5% NFDM/TBST

Lane 8:

WTAP knockout HAP1 treated with 200 ng/ml PMA for 30 minutes whole cell lysate (alkaline phosphatase treated membrane) at 20 µg with 5% NFDM/TBST

Secondary

All lanes:

Western blot - Goat Anti-Rabbit IgG H&L (HRP) (<a href='/en-us/products/secondary-antibodies/goat-rabbit-igg-h-l-hrp-ab97051'>ab97051</a>) at 1/20000 dilution

Observed band size: 55 kDa,36 kDa

false

Exposure time: 10s

Dot Blot - Anti-WTAP (phospho S306) antibody [EPR27038-188] (AB316275)
  • Dot

Supplier Data

Dot Blot - Anti-WTAP (phospho S306) antibody [EPR27038-188] (AB316275)

Dot blot analysis of WTAP (phospho S306) using ab316275 at 1 : 1000 (0.525 ug/ml) followed by a Goat Anti-Rabbit IgG, (H+L), Peroxidase conjugated (ab97051) at 1 : 1000 dilution. This blot was developed using a high sensitivity ECL substrate. The high-sensitivity ECL substrate used allows for the

detection of proteins in the mid-femtogram range.

All lanes:

Dot Blot - Anti-WTAP (phospho S306) antibody [EPR27038-188] (ab316275) at 1/1000 dilution

Lane 1:

WTAP (phospho S306) peptide a

Lane 2:

WTAP (phospho S306) peptide b

Lane 3:

WTAP (phospho S305) peptide

Lane 4:

WTAP non-phospho peptide

Secondary

All lanes:

Dot Blot - Goat Anti-Rabbit IgG H&L (HRP) (<a href='/en-us/products/secondary-antibodies/goat-rabbit-igg-h-l-hrp-ab97051'>ab97051</a>) at 1/1000 dilution

true

Exposure time: 180s

Key facts

Host species

Rabbit

Clonality

Monoclonal

Clone number

EPR27038-188

Isotype

IgG

Carrier free

No

Reacts with

Human

Applications

IP, WB, Dot

applications

Immunogen

The exact immunogen used to generate this antibody is proprietary information.

Reactivity data

{ "title": "Reactivity Data", "filters": { "stats": ["", "Species", "Dilution Info", "Notes"], "tabs": { "all-applications": {"fullname" : "All Applications", "shortname": "All Applications"}, "WB" : {"fullname" : "Western blot", "shortname":"WB"}, "IP" : {"fullname" : "Immunoprecipitation", "shortname":"IP"}, "Dot" : {"fullname" : "Dot Blot", "shortname":"Dot"}, "FlowCytIntra" : {"fullname" : "Flow Cytometry (Intracellular)", "shortname":"Flow Cyt (Intra)"}, "ICCIF" : {"fullname" : "Immunocytochemistry/ Immunofluorescence", "shortname":"ICC/IF"}, "IHCP" : {"fullname" : "Immunohistochemistry (Formalin/PFA-fixed paraffin-embedded sections)", "shortname":"IHC-P"} }, "product-promise": { "all": "all", "testedAndGuaranteed": "tested", "guaranteed": "expected", "predicted": "predicted", "notRecommended": "not-recommended" } }, "values": { "Human": { "WB-species-checked": "testedAndGuaranteed", "WB-species-dilution-info": "1/1000", "WB-species-notes": "<p></p>", "IP-species-checked": "testedAndGuaranteed", "IP-species-dilution-info": "1/30", "IP-species-notes": "<p></p>", "Dot-species-checked": "guaranteed", "Dot-species-dilution-info": "", "Dot-species-notes": "", "FlowCytIntra-species-checked": "notRecommended", "FlowCytIntra-species-dilution-info": "", "FlowCytIntra-species-notes": "<p></p>", "ICCIF-species-checked": "notRecommended", "ICCIF-species-dilution-info": "", "ICCIF-species-notes": "<p></p>", "IHCP-species-checked": "notRecommended", "IHCP-species-dilution-info": "", "IHCP-species-notes": "<p></p>" }, "Mouse": { "WB-species-checked": "notRecommended", "WB-species-dilution-info": "", "WB-species-notes": "", "IP-species-checked": "notRecommended", "IP-species-dilution-info": "", "IP-species-notes": "", "Dot-species-checked": "notRecommended", "Dot-species-dilution-info": "", "Dot-species-notes": "", "FlowCytIntra-species-checked": "notRecommended", "FlowCytIntra-species-dilution-info": "", "FlowCytIntra-species-notes": "", "ICCIF-species-checked": "notRecommended", "ICCIF-species-dilution-info": "", "ICCIF-species-notes": "", "IHCP-species-checked": "notRecommended", "IHCP-species-dilution-info": "", "IHCP-species-notes": "<p></p>" }, "Rat": { "WB-species-checked": "notRecommended", "WB-species-dilution-info": "", "WB-species-notes": "", "IP-species-checked": "notRecommended", "IP-species-dilution-info": "", "IP-species-notes": "", "Dot-species-checked": "notRecommended", "Dot-species-dilution-info": "", "Dot-species-notes": "", "FlowCytIntra-species-checked": "notRecommended", "FlowCytIntra-species-dilution-info": "", "FlowCytIntra-species-notes": "", "ICCIF-species-checked": "notRecommended", "ICCIF-species-dilution-info": "", "ICCIF-species-notes": "", "IHCP-species-checked": "notRecommended", "IHCP-species-dilution-info": "", "IHCP-species-notes": "<p></p>" }, "Synthetic peptide - Human": { "WB-species-checked": "notRecommended", "WB-species-dilution-info": "", "WB-species-notes": "", "IP-species-checked": "notRecommended", "IP-species-dilution-info": "", "IP-species-notes": "", "Dot-species-checked": "testedAndGuaranteed", "Dot-species-dilution-info": "1/1000", "Dot-species-notes": "<p></p>", "FlowCytIntra-species-checked": "notRecommended", "FlowCytIntra-species-dilution-info": "", "FlowCytIntra-species-notes": "", "ICCIF-species-checked": "notRecommended", "ICCIF-species-dilution-info": "", "ICCIF-species-notes": "", "IHCP-species-checked": "notRecommended", "IHCP-species-dilution-info": "", "IHCP-species-notes": "" } } }

Product details

Patented technology
Our RabMAb® technology is a patented hybridoma-based technology for making rabbit monoclonal antibodies. For details on our patents, please refer to RabMAb® patents.

What are the advantages of a recombinant monoclonal antibody?
This product is a recombinant monoclonal antibody, which offers several advantages including:

  • - High batch-to-batch consistency and reproducibility
  • - Improved sensitivity and specificity
  • - Long-term security of supply
  • - Animal-free batch production

For more information, read more on recombinant antibodies.

Properties and storage information

Form
Liquid
Purification technique
Affinity purification Protein A
Storage buffer
pH: 7.2 - 7.4 Preservative: 0.01% Sodium azide Constituents: PBS, 40% Glycerol (glycerin, glycerine), 0.05% BSA
Shipped at conditions
Blue Ice
Appropriate short-term storage duration
1-2 weeks
Appropriate short-term storage conditions
+4°C
Appropriate long-term storage conditions
-20°C
Aliquoting information
Upon delivery aliquot
Storage information
Avoid freeze / thaw cycle

Supplementary information

This supplementary information is collated from multiple sources and compiled automatically.

WTAP also known as Wilms tumor 1-associated protein is a core component of the writer complex that catalyzes N6-methyladenosine (m6A) methylation on mRNA. With a molecular mass of approximately 39 kDa WTAP localizes almost ubiquitously in human tissues but shows higher expression in liver and kidney cells. This protein assists in the regulation of mRNA splicing and stability functioning as an adapter for RNA binding proteins.
Biological function summary

This protein plays a critical role in post-transcriptional gene regulation by being part of the m6A methyltransferase complex which includes other important proteins like METTL3 and METTL14. WTAP does not bind RNA directly but helps its partners achieve target specificity during gene expression processes. The presence of WTAP within the complex stabilizes and coordinates the activity of the entire methyltransferase assembly.

Pathways

The m6A methylation WTAP facilitates affects various pathways including mRNA splicing and degradation. This process intricately connects WTAP to the regulation of the JAK-STAT signaling pathway where its activity influences inflammatory responses and cell proliferation. Additionally WTAP has ties to the Wnt/β-catenin pathway collaborating with proteins like METTL3 to regulate gene expression involved in cell fate determination and embryogenesis.

Research shows WTAP has connections to various cancers such as hepatocellular carcinoma due to its role in mRNA processing and stability. This association often involves its interaction with other oncogenic proteins like METTL3 leading to aberrant gene expression patterns. WTAP also has relevance in acute myeloid leukemia where it influences mRNA maturation and impacts cell differentiation and proliferation.

Product protocols

For this product, it's our understanding that no specific protocols are required. You can visit:

Target data

Associated component of the WMM complex, a complex that mediates N6-methyladenosine (m6A) methylation of RNAs, a modification that plays a role in the efficiency of mRNA splicing and RNA processing (PubMed : 29507755). Required for accumulation of METTL3 and METTL14 to nuclear speckle (PubMed : 24316715, PubMed : 24407421, PubMed : 24981863). Acts as a mRNA splicing regulator (PubMed : 12444081). Regulates G2/M cell-cycle transition by binding to the 3' UTR of CCNA2, which enhances its stability (PubMed : 17088532). Impairs WT1 DNA-binding ability and inhibits expression of WT1 target genes (PubMed : 17095724).
See full target information WTAP phospho S306

Product promise

We are committed to supporting your work with high-quality reagents, and we're here for you every step of the way. In the unlikely event that one of our products does not perform as expected, you're protected by our Product Promise.
For full details, please see our Terms & Conditions

Associated Products

Select an associated product type
Alternative Version
Primary Antibodies

AB316276

Anti-WTAP (phospho S306) antibody [EPR27038-188] - BSA and Azide free

primary-antibodies

wtap-phospho-s306-antibody-epr27038-188-bsa-and-azide-free-ab316276

0

(0 reviews)

Please note: All products are 'FOR RESEARCH USE ONLY. NOT FOR USE IN DIAGNOSTIC OR THERAPEUTIC PROCEDURES'.

For licensing inquiries, please contact partnerships@abcam.com