JavaScript is disabled in your browser. Please enable JavaScript to view this website.
AB309350

Anti-WTAP (phospho S341) antibody [EPR27039-57]

  • BOND RX™ Validated
  • 20ul selling size
  • RabMAb
  • Recombinant
  • KO Validated
  • What is this?

Be the first to review this product! Submit a review

|

(0 Publication)

Knockout Tested Rabbit Recombinant Monoclonal WTAP phospho S341 antibody. Suitable for WB, IHC-P, IP, Dot and reacts with Human, Synthetic peptide samples.

View Alternative Names

KIAA0105, WTAP, Pre-mRNA-splicing regulator WTAP, Female-lethal(2)D homolog, WT1-associated protein, Wilms tumor 1-associating protein, hFL(2)D

7 Images
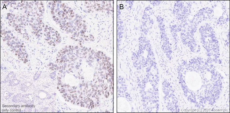
Immunohistochemistry (Formalin/PFA-fixed paraffin-embedded sections) - Anti-WTAP (phospho S341) antibody [EPR27039-57] (AB309350)
  • IHC-P

Supplier Data

Immunohistochemistry (Formalin/PFA-fixed paraffin-embedded sections) - Anti-WTAP (phospho S341) antibody [EPR27039-57] (AB309350)

Immunohistochemical analysis of paraffin-embedded Human endometrium tissue labeling WTAP (phospho S341) with ab309350 at 1/500 (1.044 ug/ml) followed by a ready to use LeicaDS9800 (Bond™ Polymer Refine Detection). Positive staining on human endometrium without alkaline phosphatase treatment (image A). No signal was detected when tissues were treated with alkaline phosphatase (image B). The section was incubated with ab309350 for 30 mins at room temperature.The immunostaining was performed on a Leica Biosystems BOND® RX instrumentIncubate slides with 3% Hydrogen Peroxide for 10 mins at room temperature after secondary antibody incubation to reduce the background Counterstained with Hematoxylin. Secondary antibody only control : Secondary antibody is a ready to use LeicaDS9800 (Bond™ Polymer Refine Detection). Heat mediated antigen retrieval was performed with Tris-EDTA buffer (pH 9.0, Epitope Retrieval Solution2) for 20 mins

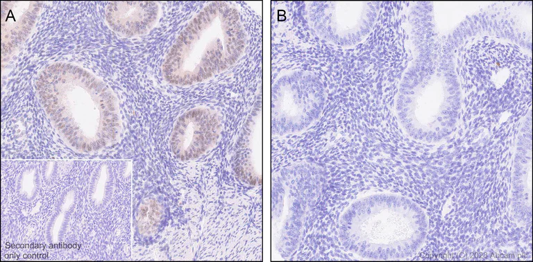
Immunohistochemistry (Formalin/PFA-fixed paraffin-embedded sections) - Anti-WTAP (phospho S341) antibody [EPR27039-57] (AB309350)
  • IHC-P

Supplier Data

Immunohistochemistry (Formalin/PFA-fixed paraffin-embedded sections) - Anti-WTAP (phospho S341) antibody [EPR27039-57] (AB309350)

Immunohistochemical analysis of paraffin-embedded Human endometrial ca tissue labeling WTAP (phospho S341) with ab309350 at 1/500 (1.044 ug/ml) followed by a ready to use LeicaDS9800 (Bond™ Polymer Refine Detection). Positive staining on human endometrial carcinoma without alkaline phosphatase treatment (image A). No signal was detected when tissues were treated with alkaline phosphatase (image B).The section was incubated with ab309350 for 30 mins at room temperature. The immunostaining was performed on a Leica Biosystems BOND® RX instrument. Incubate slides with 3% Hydrogen Peroxide for 10 mins at room temperature after secondary antibody incubation to reduce the background Counterstained with Hematoxylin. Secondary antibody only control : Secondary antibody is a ready to use LeicaDS9800 (Bond™ Polymer Refine Detection). Heat mediated antigen retrieval was performed with Tris-EDTA buffer (pH 9.0, Epitope Retrieval Solution2) for 20 mins

Immunoprecipitation - Anti-WTAP (phospho S341) antibody [EPR27039-57] (AB309350)
  • IP

Supplier Data

Immunoprecipitation - Anti-WTAP (phospho S341) antibody [EPR27039-57] (AB309350)

WTAP (phospho S341) was immunoprecipitated from 0.35 mg Parental HAP1 (wildtype control human chronic myelogenous leukemia near-haploid cell line) whole cell lysate with ab309350 at 1/30 dilution (2ug in 0.35mg lysates). Western blot was performed on the immunoprecipitate using ab309350 at 1/1000 dilution. VeriBlot for IP secondary antibody (HRP) (ab131366) was used at 1/5000 dilution.

Lane 1 : Parental HAP1 (wildtype control human chronic myelogenous leukemia near-haploid cell line) whole cell lysate 4 ug
Lane 2 : ab309350 IP in Parental HAP1 (wildtype control human chronic myelogenous leukemia near-haploid cell line) whole cell lysate
Lane 3 : Rabbit monoclonal IgG (ab172730) instead of ab309350 in parental HAP1whole cell lysate

Blocking and dilution buffer and concentration : 5% NFDM/TBST.

Exposure time : 180 seconds

All lanes:

Immunoprecipitation - Anti-WTAP (phospho S341) antibody [EPR27039-57] (ab309350) at 1/1000 dilution

All lanes:

Parental HAP1 whole cell lysate at 4 µg

Secondary

All lanes:

Immunoprecipitation - VeriBlot for IP Detection Reagent (HRP) (<a href='/en-us/products/reagents/veriblot-for-ip-detection-reagent-hrp-ab131366'>ab131366</a>) at 1/5000 dilution

Observed band size: 55 kDa

false

Exposure time: 180s

Western blot - Anti-WTAP (phospho S341) antibody [EPR27039-57] (AB309350)
  • WB

Supplier Data

Western blot - Anti-WTAP (phospho S341) antibody [EPR27039-57] (AB309350)

Blocking and diluting buffer and concentration : 5% NFDM/TBST The samples were run on a Bis-Tris gel under reducing conditions. Western blot : Anti-WTAP (phospho S341)antibody (ab309350) staining at 1/1000 dilution, shown in green; Mouse anti-GAPDH antibody 6C5 (ab8245) loading control staining at 1/20000 dilution, shown in red. The identity of the lower MW at approximately 35KD is unknown. To generate this image, samples were first run on an SDS-PAGE gel then transferred onto an immobilon-FL PVDF membrane. Membranes were blocked in a fluorescentwestern blot (TBS-based) blocking solution before incubation with primaryantibodies overnight at 4 °C. Blots were washed four times in TBS-T, incubated with secondary antibodies Goat anti-Rabbit IgG H&L 800CW and Goat anti-Mouse IgG H&L 680RD at 1/20000 dilution for 1 h at room temperature, washed again then imaged.

All lanes:

Western blot - Anti-WTAP (phospho S341) antibody [EPR27039-57] (ab309350) at 1/1000 dilution

All lanes:

Jurkat (human T cell leukemia T lymphocyte) whole cell lysate at 20 µg

Secondary

All lanes:

Western blot - Goat Anti-Rat IgG H&L (<a href='/en-us/products/secondary-antibodies/goat-rat-igg-h-l-ab97053'>ab97053</a>) at 1/100000 dilution

Observed band size: 55 kDa

false

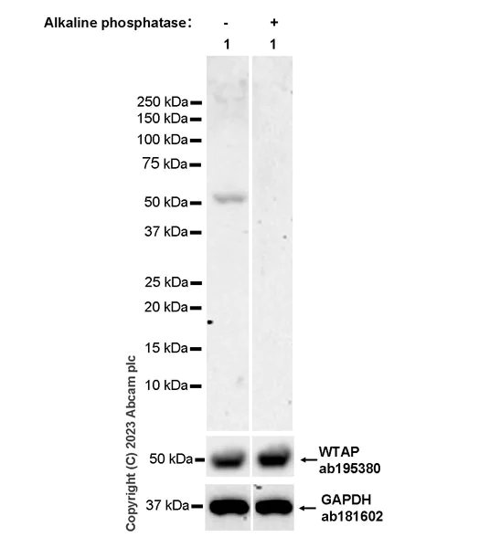
Western blot - Anti-WTAP (phospho S341) antibody [EPR27039-57] (AB309350)
  • WB

Supplier Data

Western blot - Anti-WTAP (phospho S341) antibody [EPR27039-57] (AB309350)

Blocking and diluting buffer and concentration : 5% NFDM/TBST.

This blot was developed using a high sensitivity ECL substrate. The high-sensitivity ECL substrate used allows for the detection of proteins in the mid-femtogram range.

In Western blot, anti-WTAP antibody (ab195380) as pan control staining at 1/1000 dilution.

In Western blot, anti-GAPDH antibody (ab181602) loading control staining at 1/200000 dilution.

All lanes:

Western blot - Anti-WTAP (phospho S341) antibody [EPR27039-57] (ab309350) at 1/1000 dilution

Lane 1:

Wild-type HAP1(human chronic myelogenous leukemia near-haploid cell line) whole cell lysate (untreated membrane) at 20 µg

Lane 2:

Wild-type HAP1 whole cell lysate (Alkaline phosphatase treated membrane) at 20 µg

Secondary

All lanes:

Western blot - Goat Anti-Rabbit IgG H&L (HRP) (<a href='/en-us/products/secondary-antibodies/goat-rabbit-igg-h-l-hrp-ab97051'>ab97051</a>) at 1/100000 dilution

Observed band size: 55 kDa

true

Exposure time: 180s

Western blot - Anti-WTAP (phospho S341) antibody [EPR27039-57] (AB309350)
  • WB

Supplier Data

Western blot - Anti-WTAP (phospho S341) antibody [EPR27039-57] (AB309350)

Blocking and diluting buffer and concentration : 5% NFDM/TBST The expression of WTAP (phospho S341) is upregulated in response to PMA treatment (PMID : 33217317). In Western blot, anti-WTAP antibody (ab195380) as pan control staining at 1/1000 dilution. In Western blot, anti-GAPDH antibody (ab181602) loading control staining at 1/200000 dilution. Exposure time : 180 seconds

All lanes:

Western blot - Anti-WTAP (phospho S341) antibody [EPR27039-57] (ab309350) at 1/1000 dilution

Lane 1:

Untreated Wild-type HAP1(human chronic myelogenous leukemia near-haploid cell line) whole cell lysate at 20 µg

Lane 2:

HAP1 treated with /ml PMA for 30 minutes whole cell lysate at 20 µg

Lane 3:

Untreated WTAP knockout HAP1 whole cell lysate at 20 µg

Lane 4:

WTAP knockout HAP1 treated with /ml PMA for 30 minutes whole cell lysate at 20 µg

Secondary

All lanes:

Western blot - Goat Anti-Rabbit IgG H&L (HRP) (<a href='/en-us/products/secondary-antibodies/goat-rabbit-igg-h-l-hrp-ab97051'>ab97051</a>) at 1/100000 dilution

Observed band size: 55 kDa

false

Exposure time: 180s

Dot Blot - Anti-WTAP (phospho S341) antibody [EPR27039-57] (AB309350)
  • Dot

Supplier Data

Dot Blot - Anti-WTAP (phospho S341) antibody [EPR27039-57] (AB309350)

Dot blot analysis of WTAP (phospho S341) using ab309350 at 1 : 1000 (0.522 ug/ml) followed by a Goat Anti-Rabbit IgG, (H+L), Peroxidase conjugated (ab97051) at 1 : 100,000 dilution. Exposure time : 180 seconds Blocking and diluting buffer and concentration : 5% NFDM/TBST

Key facts

Host species

Rabbit

Clonality

Monoclonal

Clone number

EPR27039-57

Isotype

IgG

Carrier free

No

Reacts with

Human

Applications

IHC-P, IP, WB, Dot

applications

Immunogen

The exact immunogen used to generate this antibody is proprietary information.

Reactivity data

{ "title": "Reactivity Data", "filters": { "stats": ["", "Species", "Dilution Info", "Notes"], "tabs": { "all-applications": {"fullname" : "All Applications", "shortname": "All Applications"}, "WB" : {"fullname" : "Western blot", "shortname":"WB"}, "IHCP" : {"fullname" : "Immunohistochemistry (Formalin/PFA-fixed paraffin-embedded sections)", "shortname":"IHC-P"}, "IP" : {"fullname" : "Immunoprecipitation", "shortname":"IP"}, "Dot" : {"fullname" : "Dot Blot", "shortname":"Dot"}, "ICCIF" : {"fullname" : "Immunocytochemistry/ Immunofluorescence", "shortname":"ICC/IF"}, "FlowCytIntra" : {"fullname" : "Flow Cytometry (Intracellular)", "shortname":"Flow Cyt (Intra)"} }, "product-promise": { "all": "all", "testedAndGuaranteed": "tested", "guaranteed": "expected", "predicted": "predicted", "notRecommended": "not-recommended" } }, "values": { "Human": { "WB-species-checked": "testedAndGuaranteed", "WB-species-dilution-info": "1/1000", "WB-species-notes": "<p></p>", "IHCP-species-checked": "testedAndGuaranteed", "IHCP-species-dilution-info": "1/500", "IHCP-species-notes": "<p></p> Perform heat-mediated antigen retrieval with Tris/EDTA buffer pH 9.0 before commencing with IHC staining protocol.", "IP-species-checked": "testedAndGuaranteed", "IP-species-dilution-info": "1/30", "IP-species-notes": "<p></p>", "Dot-species-checked": "guaranteed", "Dot-species-dilution-info": "", "Dot-species-notes": "", "ICCIF-species-checked": "notRecommended", "ICCIF-species-dilution-info": "", "ICCIF-species-notes": "<p></p>", "FlowCytIntra-species-checked": "notRecommended", "FlowCytIntra-species-dilution-info": "", "FlowCytIntra-species-notes": "<p></p>" }, "Mouse": { "WB-species-checked": "notRecommended", "WB-species-dilution-info": "", "WB-species-notes": "<p></p>", "IHCP-species-checked": "notRecommended", "IHCP-species-dilution-info": "", "IHCP-species-notes": "<p></p> Perform heat-mediated antigen retrieval with Tris/EDTA buffer pH 9.0 before commencing with IHC staining protocol.", "IP-species-checked": "notRecommended", "IP-species-dilution-info": "", "IP-species-notes": "", "Dot-species-checked": "notRecommended", "Dot-species-dilution-info": "", "Dot-species-notes": "", "ICCIF-species-checked": "notRecommended", "ICCIF-species-dilution-info": "", "ICCIF-species-notes": "", "FlowCytIntra-species-checked": "notRecommended", "FlowCytIntra-species-dilution-info": "", "FlowCytIntra-species-notes": "" }, "Rat": { "WB-species-checked": "notRecommended", "WB-species-dilution-info": "", "WB-species-notes": "<p></p>", "IHCP-species-checked": "notRecommended", "IHCP-species-dilution-info": "", "IHCP-species-notes": "<p></p> Perform heat-mediated antigen retrieval with Tris/EDTA buffer pH 9.0 before commencing with IHC staining protocol.", "IP-species-checked": "notRecommended", "IP-species-dilution-info": "", "IP-species-notes": "", "Dot-species-checked": "notRecommended", "Dot-species-dilution-info": "", "Dot-species-notes": "", "ICCIF-species-checked": "notRecommended", "ICCIF-species-dilution-info": "", "ICCIF-species-notes": "", "FlowCytIntra-species-checked": "notRecommended", "FlowCytIntra-species-dilution-info": "", "FlowCytIntra-species-notes": "" }, "Synthetic peptide": { "WB-species-checked": "notRecommended", "WB-species-dilution-info": "", "WB-species-notes": "", "IHCP-species-checked": "notRecommended", "IHCP-species-dilution-info": "", "IHCP-species-notes": "", "IP-species-checked": "notRecommended", "IP-species-dilution-info": "", "IP-species-notes": "", "Dot-species-checked": "testedAndGuaranteed", "Dot-species-dilution-info": "1/1000", "Dot-species-notes": "<p></p>", "ICCIF-species-checked": "notRecommended", "ICCIF-species-dilution-info": "", "ICCIF-species-notes": "", "FlowCytIntra-species-checked": "notRecommended", "FlowCytIntra-species-dilution-info": "", "FlowCytIntra-species-notes": "" } } }

Product details

Patented technology
Our RabMAb® technology is a patented hybridoma-based technology for making rabbit monoclonal antibodies. For details on our patents, please refer to RabMAb® patents.

What are the advantages of a recombinant monoclonal antibody?
This product is a recombinant monoclonal antibody, which offers several advantages including:

  • - High batch-to-batch consistency and reproducibility
  • - Improved sensitivity and specificity
  • - Long-term security of supply
  • - Animal-free batch production

For more information, read more on recombinant antibodies.

Properties and storage information

Form
Liquid
Purification technique
Affinity purification Protein A
Storage buffer
pH: 7.2 - 7.4 Preservative: 0.01% Sodium azide Constituents: PBS, 40% Glycerol (glycerin, glycerine), 0.05% BSA
Shipped at conditions
Blue Ice
Appropriate short-term storage duration
1-2 weeks
Appropriate short-term storage conditions
+4°C
Appropriate long-term storage conditions
-20°C
Aliquoting information
Upon delivery aliquot
Storage information
Avoid freeze / thaw cycle

Supplementary information

This supplementary information is collated from multiple sources and compiled automatically.

WTAP also known as Wilms tumor 1-associated protein is a core component of the writer complex that catalyzes N6-methyladenosine (m6A) methylation on mRNA. With a molecular mass of approximately 39 kDa WTAP localizes almost ubiquitously in human tissues but shows higher expression in liver and kidney cells. This protein assists in the regulation of mRNA splicing and stability functioning as an adapter for RNA binding proteins.
Biological function summary

This protein plays a critical role in post-transcriptional gene regulation by being part of the m6A methyltransferase complex which includes other important proteins like METTL3 and METTL14. WTAP does not bind RNA directly but helps its partners achieve target specificity during gene expression processes. The presence of WTAP within the complex stabilizes and coordinates the activity of the entire methyltransferase assembly.

Pathways

The m6A methylation WTAP facilitates affects various pathways including mRNA splicing and degradation. This process intricately connects WTAP to the regulation of the JAK-STAT signaling pathway where its activity influences inflammatory responses and cell proliferation. Additionally WTAP has ties to the Wnt/β-catenin pathway collaborating with proteins like METTL3 to regulate gene expression involved in cell fate determination and embryogenesis.

Research shows WTAP has connections to various cancers such as hepatocellular carcinoma due to its role in mRNA processing and stability. This association often involves its interaction with other oncogenic proteins like METTL3 leading to aberrant gene expression patterns. WTAP also has relevance in acute myeloid leukemia where it influences mRNA maturation and impacts cell differentiation and proliferation.

Product protocols

For this product, it's our understanding that no specific protocols are required. You can visit:

Target data

Associated component of the WMM complex, a complex that mediates N6-methyladenosine (m6A) methylation of RNAs, a modification that plays a role in the efficiency of mRNA splicing and RNA processing (PubMed : 29507755). Required for accumulation of METTL3 and METTL14 to nuclear speckle (PubMed : 24316715, PubMed : 24407421, PubMed : 24981863). Acts as a mRNA splicing regulator (PubMed : 12444081). Regulates G2/M cell-cycle transition by binding to the 3' UTR of CCNA2, which enhances its stability (PubMed : 17088532). Impairs WT1 DNA-binding ability and inhibits expression of WT1 target genes (PubMed : 17095724).
See full target information WTAP phospho S341

Product promise

We are committed to supporting your work with high-quality reagents, and we're here for you every step of the way. In the unlikely event that one of our products does not perform as expected, you're protected by our Product Promise.
For full details, please see our Terms & Conditions

Please note: All products are 'FOR RESEARCH USE ONLY. NOT FOR USE IN DIAGNOSTIC OR THERAPEUTIC PROCEDURES'.

For licensing inquiries, please contact partnerships@abcam.com