JavaScript is disabled in your browser. Please enable JavaScript to view this website.
AB267348

Anti-WWOX antibody [EPR23109-138] - BSA and Azide free

Be the first to review this product! Submit a review

|

(0 Publication)

Rabbit Recombinant Monoclonal WWOX antibody. Carrier free. Suitable for IP, WB, Flow Cyt (Intra), IHC-P and reacts with Mouse, Human samples.

View Alternative Names

FOR, SDR41C1, WOX1, WWOX, WW domain-containing oxidoreductase, Fragile site FRA16D oxidoreductase, Short chain dehydrogenase/reductase family 41C member 1

8 Images
Immunohistochemistry (Formalin/PFA-fixed paraffin-embedded sections) - Anti-WWOX antibody [EPR23109-138] - BSA and Azide free (AB267348)
  • IHC-P

Unknown

Immunohistochemistry (Formalin/PFA-fixed paraffin-embedded sections) - Anti-WWOX antibody [EPR23109-138] - BSA and Azide free (AB267348)

Immunohistochemical analysis of paraffin-embedded Human pancreas tissue labeling HNF1A with ab242140 at 36526 followed by a ready to use Rabbit specific IHC polymer detection kit HRP/DAB (ab209101). Positive staining on human pancreas (PMID : 25793983). The section was incubated with ab242140 for 15 mins at RT. The immunostaining staining was performed on a Leica Biosystems BOND® RX instrument Counterstained with Hematoxylin.

Secondary antibody only control : Secondary antibody is a ready to use Rabbit specific IHC polymer detection kit HRP/DAB (ab209101).

Heat mediated antigen retrieval with Tris-EDTA buffer (pH 9.0, epitope retrieval solution 2) for 20 mins.

This data was developed using the same antibody clone in a different buffer formulation containing PBS, BSA, glycerol, and sodium azide (ab242140).

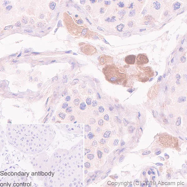
Immunohistochemistry (Formalin/PFA-fixed paraffin-embedded sections) - Anti-WWOX antibody [EPR23109-138] - BSA and Azide free (AB267348)
  • IHC-P

Unknown

Immunohistochemistry (Formalin/PFA-fixed paraffin-embedded sections) - Anti-WWOX antibody [EPR23109-138] - BSA and Azide free (AB267348)

Immunohistochemical analysis of paraffin-embedded Human breast carcinoma tissue labeling WWOX with ab238144 at 1/1000 dilution (0.48 ug/ml) followed by a ready to use Goat Anti-Rabbit IgG H&L (HRP Polymer). Positive staining on human breast carcinoma (PMID : 15692750) is observed. The section was incubated with ab238144 for 10 mins at room temperature. The immunostaining staining was performed on a Leica Biosystems BOND® RX instrument. Counterstained with Hematoxylin.

Secondary antibody only control : Secondary antibody is a ready to use Goat Anti-Rabbit IgG H&L (HRP Polymer).

Heat mediated antigen retrieval with Tris-EDTA buffer (pH 9.0, epitope retrieval solution 2) for 20 mins.

This data was developed using the same antibody clone in a different buffer formulation containing PBS, BSA, glycerol, and sodium azide (ab238144).

Immunohistochemistry (Formalin/PFA-fixed paraffin-embedded sections) - Anti-WWOX antibody [EPR23109-138] - BSA and Azide free (AB267348)
  • IHC-P

Unknown

Immunohistochemistry (Formalin/PFA-fixed paraffin-embedded sections) - Anti-WWOX antibody [EPR23109-138] - BSA and Azide free (AB267348)

Immunohistochemical analysis of paraffin-embedded Human cerebrum tissue labeling WWOX with ab238144 at 1/1000 dilution (0.48 ug/ml) followed by a ready to use Goat Anti-Rabbit IgG H&L (HRP Polymer). Positive staining on human cerebrum (PMID : 15692750) is observed. The section was incubated with ab238144 for 10 mins at room temperature. The immunostaining staining was performed on a Leica Biosystems BOND® RX instrument. Counterstained with Hematoxylin.

Secondary antibody only control : Secondary antibody is a ready to use Goat Anti-Rabbit IgG H&L (HRP Polymer).

Heat mediated antigen retrieval with Tris-EDTA buffer (pH 9.0, epitope retrieval solution 2) for 20 mins.

This data was developed using the same antibody clone in a different buffer formulation containing PBS, BSA, glycerol, and sodium azide (ab238144).

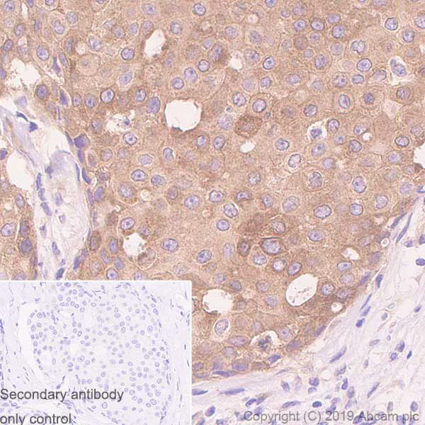
Immunohistochemistry (Formalin/PFA-fixed paraffin-embedded sections) - Anti-WWOX antibody [EPR23109-138] - BSA and Azide free (AB267348)
  • IHC-P

Unknown

Immunohistochemistry (Formalin/PFA-fixed paraffin-embedded sections) - Anti-WWOX antibody [EPR23109-138] - BSA and Azide free (AB267348)

Immunohistochemical analysis of paraffin-embedded Human testis tissue labeling WWOX with ab238144 at 1/1000 dilution (0.48 ug/ml) followed by a ready to use Goat Anti-Rabbit IgG H&L (HRP Polymer). Positive staining on Leydig cells in human testis (PMID : 16941225) is observed. The section was incubated with ab238144 for 10 mins at room temperature. The immunostaining staining was performed on a Leica Biosystems BOND® RX instrument. Counterstained with Hematoxylin.

Secondary antibody only control : Secondary antibody is a ready to use Goat Anti-Rabbit IgG H&L (HRP Polymer).

Heat mediated antigen retrieval with Tris-EDTA buffer (pH 9.0, epitope retrieval solution 2) for 20 mins.

This data was developed using the same antibody clone in a different buffer formulation containing PBS, BSA, glycerol, and sodium azide (ab238144).

Flow Cytometry (Intracellular) - Anti-WWOX antibody [EPR23109-138] - BSA and Azide free (AB267348)
  • Flow Cyt (Intra)

Unknown

Flow Cytometry (Intracellular) - Anti-WWOX antibody [EPR23109-138] - BSA and Azide free (AB267348)

Intracellular flow cytometric analysis of 4% paraformaldehyde fixed, 90% methanol permeabilized MDA-MB-231 (human breast adenocarcinoma epithelial cell, Left) / MCF7 (human breast adenocarcinoma epithelial cell, Right) cells labelling WWOX with ab238144 at 1/500 dilution (Red) compared with a Rabbit monoclonal IgG (ab172730/ Black) isotype control and an unlabelled control (cells without incubation with primary antibody and secondary antibody) (Blue). A Goat anti rabbit IgG (Alexa Fluor®488, ab150077) at 1/2000 dilution was used as the secondary antibody.

Negative control : MDA-MB-231 (PMID : 19188760).

This data was developed using the same antibody clone in a different buffer formulation containing PBS, BSA, glycerol, and sodium azide (ab238144).

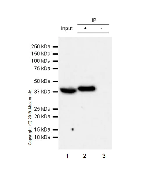
Immunoprecipitation - Anti-WWOX antibody [EPR23109-138] - BSA and Azide free (AB267348)
  • IP

Unknown

Immunoprecipitation - Anti-WWOX antibody [EPR23109-138] - BSA and Azide free (AB267348)

WWOX was immunoprecipitated from 0.35 mg MCF7 (human breast adenocarcinoma epithelial cell) whole cell lysate with ab238144 at 1/30 dilution (2ug in 0.35mg lysates). Western blot was performed on the immunoprecipitate using ab238144 at 1/1000 dilution. VeriBlot for IP Detection Reagent (HRP) (ab131366) was used at 1/5000 dilution.

Lane 1 : MCF7 (human breast adenocarcinoma epithelial cell) whole cell lysate 10μg

Lane 2 : ab238144 IP in MCF7 whole cell lysate

Lane 3 : Rabbit monoclonal IgG (ab172730) instead of ab238144 in MCF7 whole cell lysate

Blocking and dilution buffer and concentration : 5% NFDM/TBST.

Exposure time : 30 seconds.

This data was developed using the same antibody clone in a different buffer formulation containing PBS, BSA, glycerol, and sodium azide (ab238144).

All lanes:

Immunoprecipitation - Anti-WWOX antibody [EPR23109-138] (<a href='/en-us/products/primary-antibodies/wwox-antibody-epr23109-138-ab238144'>ab238144</a>)

Predicted band size: 47 kDa

Observed band size: 46 kDa

false

Immunohistochemistry (Formalin/PFA-fixed paraffin-embedded sections) - Anti-WWOX antibody [EPR23109-138] - BSA and Azide free (AB267348)
  • IHC-P

Unknown

Immunohistochemistry (Formalin/PFA-fixed paraffin-embedded sections) - Anti-WWOX antibody [EPR23109-138] - BSA and Azide free (AB267348)

Immunohistochemical analysis of paraffin-embedded Mouse cerebrum tissue labeling WWOX with ab238144 at 1/5000 dilution (0.10 ug/ml) followed by a ready to use Goat Anti-Rabbit IgG H&L (HRP Polymer). Positive staining on mouse cerebrum (PMID : 17360458) is observed. The section was incubated with ab238144 for 10 mins at room temperature. The immunostaining staining was performed on a Leica Biosystems BOND® RX instrument. Counterstained with Hematoxylin.

Secondary antibody only control : Secondary antibody is a ready to use Goat Anti-Rabbit IgG H&L (HRP Polymer).

Heat mediated antigen retrieval with Tris-EDTA buffer (pH 9.0, epitope retrieval solution 2) for 20 mins.

This data was developed using the same antibody clone in a different buffer formulation containing PBS, BSA, glycerol, and sodium azide (ab238144).

Immunoprecipitation - Anti-WWOX antibody [EPR23109-138] - BSA and Azide free (AB267348)
  • IP

Unknown

Immunoprecipitation - Anti-WWOX antibody [EPR23109-138] - BSA and Azide free (AB267348)

WWOX was immunoprecipitated from 0.35 mg Mouse testis lysate with ab238144 at 1/30 dilution (2ug in 0.35mg lysates). Western blot was performed on the immunoprecipitate using ab238144 at 1/1000 dilution. VeriBlot for IP Detection Reagent (HRP) (ab131366) was used at 1/5000 dilution.

Lane 1 : Mouse testis lysate 10ug

Lane 2 : ab238144 IP in Mouse testis lysate

Lane 3 : Rabbit monoclonal IgG (ab172730) instead of ab238144 in Mouse testis lysate

Blocking and dilution buffer and concentration : 5% NFDM/TBST.

Exposure time : 30 seconds.

This data was developed using the same antibody clone in a different buffer formulation containing PBS, BSA, glycerol, and sodium azide (ab238144).

All lanes:

Immunoprecipitation - Anti-WWOX antibody [EPR23109-138] (<a href='/en-us/products/primary-antibodies/wwox-antibody-epr23109-138-ab238144'>ab238144</a>)

Predicted band size: 47 kDa

Observed band size: 46 kDa

false

Key facts

Host species

Rabbit

Clonality

Monoclonal

Clone number

EPR23109-138

Isotype

IgG

Carrier free

Yes

Reacts with

Mouse, Human

Applications

Flow Cyt (Intra), IP, WB, IHC-P

applications

Immunogen

The exact immunogen used to generate this antibody is proprietary information.

Reactivity data

{ "title": "Reactivity Data", "filters": { "stats": ["", "Species", "Dilution Info", "Notes"], "tabs": { "all-applications": {"fullname" : "All Applications", "shortname": "All Applications"}, "IP" : {"fullname" : "Immunoprecipitation", "shortname":"IP"}, "WB" : {"fullname" : "Western blot", "shortname":"WB"}, "ICCIF" : {"fullname" : "Immunocytochemistry/ Immunofluorescence", "shortname":"ICC/IF"}, "FlowCytIntra" : {"fullname" : "Flow Cytometry (Intracellular)", "shortname":"Flow Cyt (Intra)"}, "IHCP" : {"fullname" : "Immunohistochemistry (Formalin/PFA-fixed paraffin-embedded sections)", "shortname":"IHC-P"} }, "product-promise": { "all": "all", "testedAndGuaranteed": "tested", "guaranteed": "expected", "predicted": "predicted", "notRecommended": "not-recommended" } }, "values": { "Human": { "IP-species-checked": "testedAndGuaranteed", "IP-species-dilution-info": "", "IP-species-notes": "<p></p>", "WB-species-checked": "testedAndGuaranteed", "WB-species-dilution-info": "", "WB-species-notes": "<p></p>", "ICCIF-species-checked": "notRecommended", "ICCIF-species-dilution-info": "", "ICCIF-species-notes": "<p></p>", "FlowCytIntra-species-checked": "testedAndGuaranteed", "FlowCytIntra-species-dilution-info": "", "FlowCytIntra-species-notes": "<p></p>", "IHCP-species-checked": "testedAndGuaranteed", "IHCP-species-dilution-info": "", "IHCP-species-notes": "<p></p>" }, "Mouse": { "IP-species-checked": "testedAndGuaranteed", "IP-species-dilution-info": "", "IP-species-notes": "<p></p>", "WB-species-checked": "testedAndGuaranteed", "WB-species-dilution-info": "", "WB-species-notes": "<p></p>", "ICCIF-species-checked": "notRecommended", "ICCIF-species-dilution-info": "", "ICCIF-species-notes": "<p></p>", "FlowCytIntra-species-checked": "guaranteed", "FlowCytIntra-species-dilution-info": "", "FlowCytIntra-species-notes": "", "IHCP-species-checked": "testedAndGuaranteed", "IHCP-species-dilution-info": "", "IHCP-species-notes": "<p></p>" } } }

Product details

ab267348 is the carrier-free version of ab238144.

Patented technology
Our RabMAb® technology is a patented hybridoma-based technology for making rabbit monoclonal antibodies. For details on our patents, please refer to RabMAb® patents.

What are the advantages of a recombinant monoclonal antibody?
This product is a recombinant monoclonal antibody, which offers several advantages including:

  • - High batch-to-batch consistency and reproducibility
  • - Improved sensitivity and specificity
  • - Long-term security of supply
  • - Animal-free batch production

For more information, read more on recombinant antibodies.

Conjugation ready
Our carrier-free antibodies are typically supplied in a PBS-only formulation, purified and free of BSA, sodium azide and glycerol. This conjugation-ready format is designed for use with fluorochromes, metal isotopes, oligonucleotides, and enzymes, which makes them ideal for antibody labelling, functional and cell-based assays, flow-based assays (e.g. mass cytometry) and Multiplex Imaging applications.

Use our conjugation kits for antibody conjugates that are ready-to-use in as little as 20 minutes with 1 minute hands-on-time and 100% antibody recovery: available for fluorescent dyes, HRP, biotin and gold.

Compatibility
This product is compatible with the Maxpar® Antibody Labeling Kit from Fluidigm, without the need for antibody preparation. Maxpar® is a trademark of Fluidigm Canada Inc.

Properties and storage information

Form
Liquid
Purification technique
Affinity purification Protein A
Storage buffer
pH: 7.2 - 7.4 Constituents: PBS
Shipped at conditions
Blue Ice
Appropriate short-term storage conditions
+4°C
Appropriate long-term storage conditions
+4°C
Storage information
Do Not Freeze

Supplementary information

This supplementary information is collated from multiple sources and compiled automatically.

The protein WWOX also known as WW domain-containing oxidoreductase or FOR has a molecular mass of approximately 46 kDa. Mechanically WWOX functions by interacting with several other proteins through its WW domains impacting various cellular processes. It exhibits a wide expression pattern found in numerous tissues including the brain lung and testis. Additionally WWOX localizes mainly in the cytoplasm but also migrates to the nucleus under certain conditions indicating its diverse roles in cellular regulation.
Biological function summary

The protein plays a significant role in cellular processes like apoptosis tumor suppression and steroidogenesis. WWOX participates in various cellular complexes including ones that regulate transcription and signal transduction. Its interaction with the tumor suppressor p53 and other signaling molecules supports its influence on cell cycle regulation and apoptotic pathways. This interaction aids the cell in sensing stress and damage modulating responses to these conditions.

Pathways

WWOX is intimately linked with the Wnt signaling and apoptotic pathways. In the Wnt pathway WWOX regulates cell proliferation and differentiation by interacting with proteins such as Dvl-2 and beta-catenin. In apoptotic pathways WWOX serves a regulatory role by modulating the activity of proteins like JNK and p73 which are important for inducing programmed cell death. These pathways highlight the importance of WWOX in maintaining cellular homeostasis and responding to abnormal cellular activities.

Alterations in WWOX expression have strong ties to cancer and neurodegenerative diseases. Loss or mutation of WWOX associates with breast prostate and lung cancers due to its role in tumor suppression. The protein also connects to neurodegenerative disorders such as Alzheimer's disease with misregulation affecting neuronal survival. In cancer interactions with proteins like ERBB4 further influence tumorigenic progression while in neurodegeneration WWOX interaction with Tau protein highlights its role in neuron integrity.

Product protocols

For this product, it's our understanding that no specific protocols are required. You can visit:

Target data

Putative oxidoreductase. Acts as a tumor suppressor and plays a role in apoptosis. Required for normal bone development (By similarity). May function synergistically with p53/TP53 to control genotoxic stress-induced cell death. Plays a role in TGFB1 signaling and TGFB1-mediated cell death. May also play a role in tumor necrosis factor (TNF)-mediated cell death. Inhibits Wnt signaling, probably by sequestering DVL2 in the cytoplasm.
See full target information WWOX

Product promise

We are committed to supporting your work with high-quality reagents, and we're here for you every step of the way. In the unlikely event that one of our products does not perform as expected, you're protected by our Product Promise.
For full details, please see our Terms & Conditions

Please note: All products are 'FOR RESEARCH USE ONLY. NOT FOR USE IN DIAGNOSTIC OR THERAPEUTIC PROCEDURES'.

For licensing inquiries, please contact partnerships@abcam.com