JavaScript is disabled in your browser. Please enable JavaScript to view this website.
AB193624

Anti-WWOX (phospho Y33) antibody

Be the first to review this product! Submit a review

|

(2 Publications)

Rabbit Polyclonal WWOX phospho Y33 antibody. Suitable for WB, IHC-P and reacts with Human samples. Cited in 2 publications. Immunogen corresponding to Synthetic Peptide within Human WWOX phospho Y33 conjugated to Keyhole Limpet Haemocyanin.

View Alternative Names

FOR, SDR41C1, WOX1, WWOX, WW domain-containing oxidoreductase, Fragile site FRA16D oxidoreductase, Short chain dehydrogenase/reductase family 41C member 1

2 Images
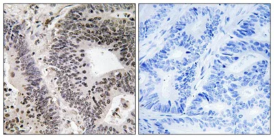
Immunohistochemistry (Formalin/PFA-fixed paraffin-embedded sections) - Anti-WWOX (phospho Y33) antibody (AB193624)
  • IHC-P

Supplier Data

Immunohistochemistry (Formalin/PFA-fixed paraffin-embedded sections) - Anti-WWOX (phospho Y33) antibody (AB193624)

Immunohistochemical analysis of paraffin-embedded Human colon carcinoma tissue sections labeling WWOX (phospho Y33) with ab193624 at a 1/50 dilution. Right image preincubated with blocking peptide.

Western blot - Anti-WWOX (phospho Y33) antibody (AB193624)
  • WB

Supplier Data

Western blot - Anti-WWOX (phospho Y33) antibody (AB193624)

All lanes:

Western blot - Anti-WWOX (phospho Y33) antibody (ab193624) at 1/500 dilution

Lane 1:

Extracts from HepG2 cells treated with PMA

Lane 2:

Extracts from HepG2 cells treated with PMA with antigen specific peptide

Predicted band size: 47 kDa

Observed band size: 55 kDa

false

Key facts

Host species

Rabbit

Clonality

Polyclonal

Isotype

IgG

Carrier free

No

Reacts with

Human

Applications

WB, IHC-P

applications

Immunogen

Synthetic Peptide within Human WWOX phospho Y33 conjugated to Keyhole Limpet Haemocyanin. The exact immunogen used to generate this antibody is proprietary information.

Q9NZC7

Reactivity data

{ "title": "Reactivity Data", "filters": { "stats": ["", "Species", "Dilution Info", "Notes"], "tabs": { "all-applications": {"fullname" : "All Applications", "shortname": "All Applications"}, "WB" : {"fullname" : "Western blot", "shortname":"WB"}, "IHCP" : {"fullname" : "Immunohistochemistry (Formalin/PFA-fixed paraffin-embedded sections)", "shortname":"IHC-P"} }, "product-promise": { "all": "all", "testedAndGuaranteed": "tested", "guaranteed": "expected", "predicted": "predicted", "notRecommended": "not-recommended" } }, "values": { "Human": { "WB-species-checked": "testedAndGuaranteed", "WB-species-dilution-info": "1/500 - 1/1000", "WB-species-notes": "<p></p>", "IHCP-species-checked": "testedAndGuaranteed", "IHCP-species-dilution-info": "1/50 - 1/100", "IHCP-species-notes": "<p></p>" }, "Mouse": { "WB-species-checked": "predicted", "WB-species-dilution-info": "", "WB-species-notes": "", "IHCP-species-checked": "predicted", "IHCP-species-dilution-info": "", "IHCP-species-notes": "" } } }

Properties and storage information

Form
Liquid
Purification technique
Affinity purification Immunogen
Purification notes
ab193624 was purified by affinity-chromatography using an-epitope specific phosphopeptide. Non-phosphopeptide specific antibodies were removed by chromatography using non-phosphopeptide.
Storage buffer
pH: 7.4 Preservative: 0.02% Sodium azide Constituents: 50% Glycerol (glycerin, glycerine), 49% PBS, 0.87% Sodium chloride
Shipped at conditions
Blue Ice
Appropriate short-term storage duration
1-2 weeks
Appropriate short-term storage conditions
+4°C
Appropriate long-term storage conditions
-20°C
Aliquoting information
Upon delivery aliquot
Storage information
Avoid freeze / thaw cycle

Supplementary information

This supplementary information is collated from multiple sources and compiled automatically.

The protein WWOX also known as WW domain-containing oxidoreductase or FOR has a molecular mass of approximately 46 kDa. Mechanically WWOX functions by interacting with several other proteins through its WW domains impacting various cellular processes. It exhibits a wide expression pattern found in numerous tissues including the brain lung and testis. Additionally WWOX localizes mainly in the cytoplasm but also migrates to the nucleus under certain conditions indicating its diverse roles in cellular regulation.
Biological function summary

The protein plays a significant role in cellular processes like apoptosis tumor suppression and steroidogenesis. WWOX participates in various cellular complexes including ones that regulate transcription and signal transduction. Its interaction with the tumor suppressor p53 and other signaling molecules supports its influence on cell cycle regulation and apoptotic pathways. This interaction aids the cell in sensing stress and damage modulating responses to these conditions.

Pathways

WWOX is intimately linked with the Wnt signaling and apoptotic pathways. In the Wnt pathway WWOX regulates cell proliferation and differentiation by interacting with proteins such as Dvl-2 and beta-catenin. In apoptotic pathways WWOX serves a regulatory role by modulating the activity of proteins like JNK and p73 which are important for inducing programmed cell death. These pathways highlight the importance of WWOX in maintaining cellular homeostasis and responding to abnormal cellular activities.

Alterations in WWOX expression have strong ties to cancer and neurodegenerative diseases. Loss or mutation of WWOX associates with breast prostate and lung cancers due to its role in tumor suppression. The protein also connects to neurodegenerative disorders such as Alzheimer's disease with misregulation affecting neuronal survival. In cancer interactions with proteins like ERBB4 further influence tumorigenic progression while in neurodegeneration WWOX interaction with Tau protein highlights its role in neuron integrity.

Product protocols

For this product, it's our understanding that no specific protocols are required. You can visit:

Target data

Putative oxidoreductase. Acts as a tumor suppressor and plays a role in apoptosis. Required for normal bone development (By similarity). May function synergistically with p53/TP53 to control genotoxic stress-induced cell death. Plays a role in TGFB1 signaling and TGFB1-mediated cell death. May also play a role in tumor necrosis factor (TNF)-mediated cell death. Inhibits Wnt signaling, probably by sequestering DVL2 in the cytoplasm.
See full target information WWOX phospho Y33

Publications (2)

Recent publications for all applications. Explore the full list and refine your search

Autophagy 18:2615-2635 PubMed35253629

2022

Therapeutic targeting of the USP2-E2F4 axis inhibits autophagic machinery essential for zinc homeostasis in cancer progression.

Applications

Unspecified application

Species

Unspecified reactive species

Wenjing Xiao,Jianqun Wang,Xiaojing Wang,Shuang Cai,Yanhua Guo,Lin Ye,Dan Li,Anpei Hu,Shikai Jin,Boling Yuan,Yi Zhou,Qilan Li,Qiangsong Tong,Liduan Zheng

Molecular medicine reports 23: PubMed33300063

2020

WWOX promotes apoptosis and inhibits autophagy in paclitaxel‑treated ovarian carcinoma cells.

Applications

Unspecified application

Species

Unspecified reactive species

Yan Zhao,Wen Wang,Wenying Pan,Yunhai Yu,Wenqian Huang,Jiangang Gao,Ying Zhang,Shiqian Zhang
View all publications

Product promise

We are committed to supporting your work with high-quality reagents, and we're here for you every step of the way. In the unlikely event that one of our products does not perform as expected, you're protected by our Product Promise.
For full details, please see our Terms & Conditions

Please note: All products are 'FOR RESEARCH USE ONLY. NOT FOR USE IN DIAGNOSTIC OR THERAPEUTIC PROCEDURES'.

For licensing inquiries, please contact partnerships@abcam.com