JavaScript is disabled in your browser. Please enable JavaScript to view this website.
AB180181

Anti-XAB2 antibody [EPR8971]

Be the first to review this product! Submit a review

|

(0 Publication)

Rabbit Recombinant Monoclonal XAB2 antibody. Suitable for IHC-P, WB, ICC/IF and reacts with Human samples.

View Alternative Names

HCNP, KIAA1177, SYF1, PP3898, XAB2, Pre-mRNA-splicing factor SYF1, Protein HCNP, XPA-binding protein 2

4 Images
Western blot - Anti-XAB2 antibody [EPR8971] (AB180181)
  • WB

Supplier Data

Western blot - Anti-XAB2 antibody [EPR8971] (AB180181)

All lanes:

Western blot - Anti-XAB2 antibody [EPR8971] (ab180181) at 1/1000 dilution

Lane 1:

HeLa cell lysate at 10 µg

Lane 2:

K562 cell lysate at 10 µg

Lane 3:

HepG2 cell lysate at 10 µg

Secondary

All lanes:

HRP labelled goat anti-rabbit at 1/2000 dilution

Predicted band size: 100 kDa

false

Immunocytochemistry/ Immunofluorescence - Anti-XAB2 antibody [EPR8971] (AB180181)
  • ICC/IF

Supplier Data

Immunocytochemistry/ Immunofluorescence - Anti-XAB2 antibody [EPR8971] (AB180181)

Immunofluorescent analysis of HepG2 cells labeling XAB2 with ab180181 at 1/50.

Western blot - Anti-XAB2 antibody [EPR8971] (AB180181)
  • WB

Supplier Data

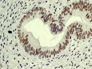
Western blot - Anti-XAB2 antibody [EPR8971] (AB180181)

Immunohistochemical analysis of paraffin embedded Human uterus tissue labeling XAB2 with ab180181 at 1/50.

All lanes:

Western blot - Anti-XAB2 antibody [EPR8971] (ab180181)

Predicted band size: 100 kDa

false

Immunohistochemistry (Formalin/PFA-fixed paraffin-embedded sections) - Anti-XAB2 antibody [EPR8971] (AB180181)
  • IHC-P

Supplier Data

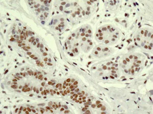
Immunohistochemistry (Formalin/PFA-fixed paraffin-embedded sections) - Anti-XAB2 antibody [EPR8971] (AB180181)

Immunohistochemical analysis of paraffin embedded Human breast tissue labeling XAB2 with ab180181 at 1/50.

Perform heat mediated antigen retrieval with citrate buffer pH 6 before commencing with IHC staining protocol.

  • Carrier free

    Anti-XAB2 antibody [EPR8971] - BSA and Azide free

Key facts

Host species

Rabbit

Clonality

Monoclonal

Clone number

EPR8971

Isotype

IgG

Carrier free

No

Reacts with

Human

Applications

ICC/IF, IHC-P, WB

applications

Immunogen

The exact immunogen used to generate this antibody is proprietary information.

Reactivity data

{ "title": "Reactivity Data", "filters": { "stats": ["", "Species", "Dilution Info", "Notes"], "tabs": { "all-applications": {"fullname" : "All Applications", "shortname": "All Applications"}, "IHCP" : {"fullname" : "Immunohistochemistry (Formalin/PFA-fixed paraffin-embedded sections)", "shortname":"IHC-P"}, "IP" : {"fullname" : "Immunoprecipitation", "shortname":"IP"}, "FlowCyt" : {"fullname" : "Flow Cytometry", "shortname":"Flow Cyt"}, "WB" : {"fullname" : "Western blot", "shortname":"WB"}, "ICCIF" : {"fullname" : "Immunocytochemistry/ Immunofluorescence", "shortname":"ICC/IF"} }, "product-promise": { "all": "all", "testedAndGuaranteed": "tested", "guaranteed": "expected", "predicted": "predicted", "notRecommended": "not-recommended" } }, "values": { "Human": { "IHCP-species-checked": "testedAndGuaranteed", "IHCP-species-dilution-info": "1/50 - 1/100", "IHCP-species-notes": "<p>Antigen retrieval is recommended.</p> Perform heat-mediated antigen retrieval with citrate buffer pH 6 before commencing with IHC staining protocol.", "IP-species-checked": "notRecommended", "IP-species-dilution-info": "", "IP-species-notes": "<p></p>", "FlowCyt-species-checked": "notRecommended", "FlowCyt-species-dilution-info": "", "FlowCyt-species-notes": "<p></p>", "WB-species-checked": "testedAndGuaranteed", "WB-species-dilution-info": "1/1000 - 1/10000", "WB-species-notes": "<p></p>", "ICCIF-species-checked": "testedAndGuaranteed", "ICCIF-species-dilution-info": "1/50 - 1/100", "ICCIF-species-notes": "<p></p>" } } }

Product details

Species reactivity
Mouse, Rat: We have preliminary internal testing data to indicate this antibody may not react with these species.
Please contact us for more information.

Patented technology
Our RabMAb® technology is a patented hybridoma-based technology for making rabbit monoclonal antibodies. For details on our patents, please refer to RabMAb® patents.

What are the advantages of a recombinant monoclonal antibody?
This product is a recombinant monoclonal antibody, which offers several advantages including:

  • - High batch-to-batch consistency and reproducibility
  • - Improved sensitivity and specificity
  • - Long-term security of supply
  • - Animal-free batch production

For more information, read more on recombinant antibodies.

Properties and storage information

Form
Liquid
Purity
Tissue culture supernatant
Storage buffer
pH: 7.2 - 7.4 Preservative: 0.01% Sodium azide Constituents: 50% Tissue culture supernatant, 40% Glycerol (glycerin, glycerine), 9% PBS, 0.05% BSA
Shipped at conditions
Blue Ice
Appropriate short-term storage duration
1-2 weeks
Appropriate short-term storage conditions
+4°C
Appropriate long-term storage conditions
-20°C
Aliquoting information
Upon delivery aliquot
Storage information
Avoid freeze / thaw cycle

Supplementary information

This supplementary information is collated from multiple sources and compiled automatically.

The XAB2 protein also known as XPA-binding protein 2 is a multi-functional protein involved in several cellular processes. It has a molecular mass of approximately 98 kDa. XAB2 locates in both the nucleus and the cytoplasm of cells indicating its involvement in processes across different cellular compartments. The expression of XAB2 is observed in various tissues suggesting its role in several biological functions.
Biological function summary

XAB2 participates in several critical processes including transcription splicing and DNA repair. It is a component of the transcription-coupled repair (TCR) machinery and plays a role in the pre-mRNA splicing process. XAB2 is part of a multiprotein complex that includes other important proteins such as the transcription factor IIH (TFIIH) and the excision repair cross-complementation group 2 (ERCC2). This complex ensures accuracy and efficiency in both gene expression and DNA repair processes.

Pathways

XAB2 plays a significant role in the nucleotide excision repair (NER) and RNA splicing pathways. It interacts with proteins like ERCC3 and ERCC2 which are also important for NER. These pathways are essential for maintaining genomic stability by repairing DNA lesions and ensuring proper mRNA processing. XAB2's involvement in these pathways highlights its importance in safeguarding genomic integrity and accurate gene expression.

Alterations in XAB2 function relate to conditions such as cancer and Cockayne syndrome. Dysfunction in NER pathways where XAB2 plays a role can lead to genomic instability contributing to the development of various cancers. In Cockayne syndrome mutations in proteins related to the NER pathway like ERCC6 highlight the connection between DNA repair deficiencies and neurodegenerative disorders. Understanding XAB2's role offers insights into these complex diseases and could help in developing therapeutic strategies.

Product protocols

For this product, it's our understanding that no specific protocols are required. You can visit:

Target data

Involved in pre-mRNA splicing as component of the spliceosome (PubMed : 11991638, PubMed : 28076346, PubMed : 28502770). Involved in transcription-coupled repair (TCR), transcription and pre-mRNA splicing (PubMed : 10944529, PubMed : 17981804).
See full target information XAB2

Product promise

We are committed to supporting your work with high-quality reagents, and we're here for you every step of the way. In the unlikely event that one of our products does not perform as expected, you're protected by our Product Promise.
For full details, please see our Terms & Conditions

Associated Products

Select an associated product type
Alternative Product
Primary Antibodies

AB228006

Anti-XAB2 antibody - N-terminal

primary-antibodies

xab2-antibody-n-terminal-ab228006

0

(0 reviews)

Alternative Product
Primary Antibodies

AB7289

Anti-XAB2 antibody

primary-antibodies

xab2-antibody-ab7289

0

(0 reviews)

Alternative Product
Primary Antibodies

AB129487

Anti-XAB2 antibody

primary-antibodies

xab2-antibody-ab129487

4

(1 reviews)

Alternative Product
Primary Antibodies

AB133663

Anti-XAB2 antibody [EPR8970(B)]

primary-antibodies

xab2-antibody-epr8970b-ab133663

0

(0 reviews)

Please note: All products are 'FOR RESEARCH USE ONLY. NOT FOR USE IN DIAGNOSTIC OR THERAPEUTIC PROCEDURES'.

For licensing inquiries, please contact partnerships@abcam.com