JavaScript is disabled in your browser. Please enable JavaScript to view this website.
AB213157

Anti-XAGE2 antibody

Be the first to review this product! Submit a review

|

(1 Publication)

Rabbit Polyclonal XAGE2 antibody. Suitable for IHC-P and reacts with Rat, Human samples. Cited in 1 publication. Immunogen corresponding to Synthetic Peptide within Human XAGE2 aa 1-100 conjugated to Keyhole Limpet Haemocyanin.

View Alternative Names

GAGED3, XAGE2B, XAGE2, X antigen family member 2, XAGE-2, Cancer/testis antigen 12.2, G antigen family D member 3, CT12.2

3 Images
Immunohistochemistry (Formalin/PFA-fixed paraffin-embedded sections) - Anti-XAGE2 antibody (AB213157)
  • IHC-P

Supplier Data

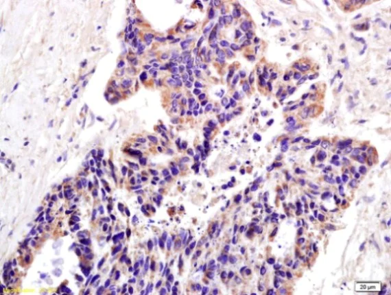
Immunohistochemistry (Formalin/PFA-fixed paraffin-embedded sections) - Anti-XAGE2 antibody (AB213157)

Immunohistochemical analysis of formalin-fixed, paraffin-embedded Human colon carcinoma tissue labeling XAGE2 with ab213157 at 1/200 dilution followed by conjugation to the secondary antibody and DAB staining.

Immunohistochemistry (Formalin/PFA-fixed paraffin-embedded sections) - Anti-XAGE2 antibody (AB213157)
  • IHC-P

Supplier Data

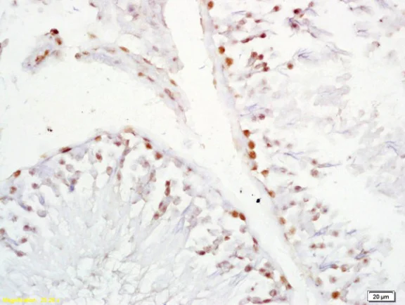
Immunohistochemistry (Formalin/PFA-fixed paraffin-embedded sections) - Anti-XAGE2 antibody (AB213157)

Immunohistochemical analysis of formalin-fixed, paraffin-embedded Rat testis tissue labeling XAGE2 with ab213157 at 1/200 dilution followed by conjugation to the secondary antibody and DAB staining.

Immunohistochemistry (Formalin/PFA-fixed paraffin-embedded sections) - Anti-XAGE2 antibody (AB213157)
  • IHC-P

Supplier Data

Immunohistochemistry (Formalin/PFA-fixed paraffin-embedded sections) - Anti-XAGE2 antibody (AB213157)

Immunohistochemical analysis of formalin-fixed, paraffin-embedded Human lung carcinoma tissue labeling XAGE2 with ab213157 at 1/200 dilution followed by conjugation to the secondary antibody and DAB staining.

Key facts

Host species

Rabbit

Clonality

Polyclonal

Isotype

IgG

Carrier free

No

Reacts with

Rat, Human

Applications

IHC-P

applications

Immunogen

Synthetic Peptide within Human XAGE2 aa 1-100 conjugated to Keyhole Limpet Haemocyanin. The exact immunogen used to generate this antibody is proprietary information.

Q96GT9

Reactivity data

{ "title": "Reactivity Data", "filters": { "stats": ["", "Species", "Dilution Info", "Notes"], "tabs": { "all-applications": {"fullname" : "All Applications", "shortname": "All Applications"}, "IHCP" : {"fullname" : "Immunohistochemistry (Formalin/PFA-fixed paraffin-embedded sections)", "shortname":"IHC-P"} }, "product-promise": { "all": "all", "testedAndGuaranteed": "tested", "guaranteed": "expected", "predicted": "predicted", "notRecommended": "not-recommended" } }, "values": { "Human": { "IHCP-species-checked": "testedAndGuaranteed", "IHCP-species-dilution-info": "1/100 - 1/500", "IHCP-species-notes": "<p></p>" }, "Rat": { "IHCP-species-checked": "testedAndGuaranteed", "IHCP-species-dilution-info": "1/100 - 1/500", "IHCP-species-notes": "<p></p>" } } }

Properties and storage information

Form
Liquid
Purification technique
Affinity purification Protein A
Storage buffer
pH: 7.4 Preservative: 0.02% Proclin 300 Constituents: 50% Glycerol (glycerin, glycerine), 48.98% TBS, 1X, 1% BSA
Shipped at conditions
Blue Ice
Appropriate short-term storage duration
1-2 weeks
Appropriate short-term storage conditions
+4°C
Appropriate long-term storage conditions
-20°C
Aliquoting information
Upon delivery aliquot
Storage information
Avoid freeze / thaw cycle

Supplementary information

This supplementary information is collated from multiple sources and compiled automatically.

XAGE2 also known as GAGED2b is a protein with a molecular mass of approximately 13.7 kDa. It belongs to the X antigen family of proteins. XAGE2 expresses in a variety of tissues with higher levels observed in testis and some cancerous tissues. It shows cytoplasmic localization and is detectable in both primary and metastatic lesions highlighting its potential role in oncogenesis. The exact mechanism by which XAGE2 functions at the molecular level remains an active area of research.
Biological function summary

The role of XAGE2 involves modulating processes that are linked to cellular proliferation and survival. While it does not form a complex with other proteins efficiently it impacts the cellular environment significantly. XAGE2 has been associated with immune responses particularly in how cancer cells evade detection by the immune system. Investigations also show its potential role in affecting apoptotic pathways making it a subject of interest in tumor biology studies.

Pathways

XAGE2 influences multiple signaling cascades that relate to cell growth and apoptosis. It frequently intersects with the PI3K/AKT pathway a critical axis for controlling cell life cycle and survival. XAGE2 may connect with proteins like AKT1 and mTOR facilitating its effects in these pathways. Additionally it has links to the MAPK signaling pathway further contributing to its role in cell cycle regulation and survival signaling.

XAGE2 shows a strong connection with several cancers particularly lung and prostate cancer. In these malignancies XAGE2's expression levels correlate with tumor progression and metastasis implicating it in disease aggressiveness. The protein relates to other cancer-associated proteins like MAGE-A3 and SSX forming a network that promotes tumor cell survival and immune evasion. As research continues insights into XAGE2's role could open new therapeutic avenues for these cancers.

Product protocols

For this product, it's our understanding that no specific protocols are required. You can visit:

Publications (1)

Recent publications for all applications. Explore the full list and refine your search

Nature communications 16:5728 PubMed40593621

2025

HDL-bound S1P affects the subventricular niche and early neuropathological features of Alzheimer's disease.

Applications

Unspecified application

Species

Unspecified reactive species

Byung Jo Choi,Ju Yeon Hong,Min Hee Park,Kang Ho Park,Wan Hui Han,Hee Ji Yoon,Hye Yoon Jung,Kyung Yeol Kim,Sun Ae Lee,Eun Young Lim,Jung Woo Hur,Im-Sook Song,So Yeon Jeon,Min-Koo Choi,Christina Christoffersen,Hee-Jin Kim,Seung Hyun Kim,Edward H Schuchman,Jae-Sung Bae,Hee Kyung Jin
View all publications

Product promise

We are committed to supporting your work with high-quality reagents, and we're here for you every step of the way. In the unlikely event that one of our products does not perform as expected, you're protected by our Product Promise.
For full details, please see our Terms & Conditions

Please note: All products are 'FOR RESEARCH USE ONLY. NOT FOR USE IN DIAGNOSTIC OR THERAPEUTIC PROCEDURES'.

For licensing inquiries, please contact partnerships@abcam.com