JavaScript is disabled in your browser. Please enable JavaScript to view this website.
AB109235

Anti-Xanthine Oxidase antibody [EPR4605]

4

(3 Reviews)

|

(41 Publications)

Anti-Xanthine Oxidase antibody [EPR4605] (ab109235) is a rabbit monoclonal antibody detecting Xanthine Oxidase in Western Blot, IHC-P. Suitable for Human, Mouse, Rat.

- Biophysical QC for unrivalled batch-batch consistency
- Over 20 publications

View Alternative Names

XDHA, XDH, Xanthine dehydrogenase/oxidase

5 Images
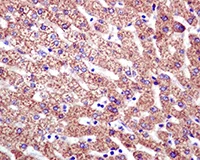
Immunohistochemistry (Formalin/PFA-fixed paraffin-embedded sections) - Anti-Xanthine Oxidase antibody [EPR4605] (AB109235)
  • IHC-P

Lab

Immunohistochemistry (Formalin/PFA-fixed paraffin-embedded sections) - Anti-Xanthine Oxidase antibody [EPR4605] (AB109235)

Immunohistochemistry (Formalin/PFA-fixed paraffin-embedded sections) analysis of human liver tissue sections labeling Xanthine Oxidase with purified ab109235 at 1/100 dilution (2.3 µg/mL). Heat mediated antigen retrieval was performed using ab93684 (Tris/EDTA buffer, pH 9.0). ImmunoHistoProbe one step HRP Polymer (ready to use) was used as the secondary antibody. Negative control : PBS instead of the primary antibody. Hematoxylin was used as a counterstain.

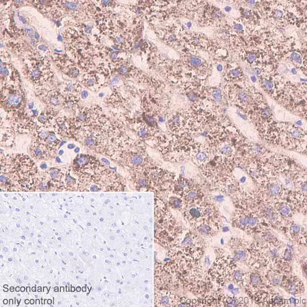
Immunohistochemistry (Formalin/PFA-fixed paraffin-embedded sections) - Anti-Xanthine Oxidase antibody [EPR4605] (AB109235)
  • IHC-P

Unknown

Immunohistochemistry (Formalin/PFA-fixed paraffin-embedded sections) - Anti-Xanthine Oxidase antibody [EPR4605] (AB109235)

Immunohistochemical analysis of Xanthine Oxidase expression in paraffin-embedded Human liver tissue using ab109235 (unpurified) at 1/100 dilution. Heat mediated antigen retrieval was performed with citrate buffer pH 6 before commencing with IHC staining protocol.

Western blot - Anti-Xanthine Oxidase antibody [EPR4605] (AB109235)
  • WB

Unknown

Western blot - Anti-Xanthine Oxidase antibody [EPR4605] (AB109235)

Secondary antibody - anti-rabbit HRP (ab6721)

All lanes:

Western blot - Anti-Xanthine Oxidase antibody [EPR4605] (ab109235) at 1/1000 dilution

Lane 1:

Human fetal liver lysate at 10 µg

Lane 2:

293T lysate at 10 µg

Lane 3:

Human milk lysate at 10 µg

Predicted band size: 146 kDa

false

Western blot - Anti-Xanthine Oxidase antibody [EPR4605] (AB109235)
  • WB

Lab

Western blot - Anti-Xanthine Oxidase antibody [EPR4605] (AB109235)

Blocking/Diluting Buffer and concentration : 5% NFDM/TBST

All lanes:

Western blot - Anti-Xanthine Oxidase antibody [EPR4605] (ab109235) at 1/5000 dilution

All lanes:

Human milk lysates at 15 µg

Secondary

All lanes:

Western blot - Goat Anti-Rabbit IgG H&L (HRP) (<a href='/en-us/products/secondary-antibodies/goat-rabbit-igg-h-l-hrp-ab97051'>ab97051</a>) at 1/20000 dilution

Predicted band size: 146 kDa

Observed band size: 146 kDa

false

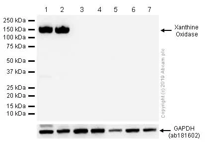
Western blot - Anti-Xanthine Oxidase antibody [EPR4605] (AB109235)
  • WB

Lab

Western blot - Anti-Xanthine Oxidase antibody [EPR4605] (AB109235)

Blocking/Diluting Buffer and concentration : 5% NFDM/TBST

Xanthine Oxidase is abundantly expressed in liver and low in heart, brain and lung as what is described in PMID : 10462034

All lanes:

Western blot - Anti-Xanthine Oxidase antibody [EPR4605] (ab109235) at 1/10000 dilution

Lane 1:

Mouse liver lysates at 20 µg

Lane 2:

Rat liver lysates at 20 µg

Lane 3:

Mouse heart lysates at 20 µg

Lane 4:

Mouse brain lysates at 20 µg

Lane 5:

Mouse lung lysates at 20 µg

Lane 6:

Mouse kidney lysates at 20 µg

Lane 7:

Mouse spleen lysates at 20 µg

Secondary

All lanes:

Western blot - Goat Anti-Rabbit IgG H&L (HRP) (<a href='/en-us/products/secondary-antibodies/goat-rabbit-igg-h-l-hrp-ab97051'>ab97051</a>) at 1/20000 dilution

Predicted band size: 146 kDa

Observed band size: 146 kDa

false

  • Carrier free

    Anti-Xanthine Oxidase antibody [EPR4605] - BSA and Azide free

  • 660 APC

    APC Anti-Xanthine Oxidase antibody [EPR4605]

  • 565 Alexa Fluor® 555

    Alexa Fluor® 555 Anti-Xanthine Oxidase antibody [EPR4605]

  • 617 Alexa Fluor® 594

    Alexa Fluor® 594 Anti-Xanthine Oxidase antibody [EPR4605]

  • 519 Alexa Fluor® 488

    Alexa Fluor® 488 Anti-Xanthine Oxidase antibody [EPR4605]

  • 665 Alexa Fluor® 647

    Alexa Fluor® 647 Anti-Xanthine Oxidase antibody [EPR4605]

  • 578 PE

    PE Anti-Xanthine Oxidase antibody [EPR4605]

  • 775 Alexa Fluor® 750

    Alexa Fluor® 750 Anti-Xanthine Oxidase antibody [EPR4605]

Key facts

Host species

Rabbit

Clonality

Monoclonal

Clone number

EPR4605

Isotype

IgG

Carrier free

No

Reacts with

Mouse, Rat, Human

Applications

IHC-P, WB

applications

Immunogen

The exact immunogen used to generate this antibody is proprietary information.

Specificity

The mouse and rat recommendation is based on the WB results. We do not guarantee IHC-P for mouse and rat.

Reactivity data

{ "title": "Reactivity Data", "filters": { "stats": ["", "Species", "Dilution Info", "Notes"], "tabs": { "all-applications": {"fullname" : "All Applications", "shortname": "All Applications"}, "IHCP" : {"fullname" : "Immunohistochemistry (Formalin/PFA-fixed paraffin-embedded sections)", "shortname":"IHC-P"}, "WB" : {"fullname" : "Western blot", "shortname":"WB"} }, "product-promise": { "all": "all", "testedAndGuaranteed": "tested", "guaranteed": "expected", "predicted": "predicted", "notRecommended": "not-recommended" } }, "values": { "Human": { "IHCP-species-checked": "testedAndGuaranteed", "IHCP-species-dilution-info": "1/100 - 1/250", "IHCP-species-notes": "<p>The mouse and rat recommendation is based on the WB results. We do not guarantee IHC-P for mouse and rat.</p> Perform heat-mediated antigen retrieval with citrate buffer pH 6 before commencing with IHC staining protocol.", "WB-species-checked": "testedAndGuaranteed", "WB-species-dilution-info": "1/1000 - 1/10000", "WB-species-notes": "<p></p>" }, "Mouse": { "IHCP-species-checked": "guaranteed", "IHCP-species-dilution-info": "", "IHCP-species-notes": "", "WB-species-checked": "testedAndGuaranteed", "WB-species-dilution-info": "1/1000 - 1/10000", "WB-species-notes": "<p></p>" }, "Rat": { "IHCP-species-checked": "guaranteed", "IHCP-species-dilution-info": "", "IHCP-species-notes": "", "WB-species-checked": "testedAndGuaranteed", "WB-species-dilution-info": "1/1000 - 1/10000", "WB-species-notes": "<p></p>" } } }

Product details

What is this antibody validated in?
Anti-Xanthine Oxidase antibody [EPR4605] (ab109235) is a rabbit recombinant monoclonal antibody and is validated for use in Western Blot (WB), Immunohistochemistry (IHC-P) in Human, Mouse, Rat samples.

What is the molecular weight of Xanthine Oxidase?
Anti-Xanthine Oxidase [EPR4605] (ab109235) specifically detects a band for Xanthine Oxidase (UniProt: P47989) at a molecular weight of 146kDa.

Trusted by the scientific community
Anti-Xanthine Oxidase [EPR4605] (ab109235) was first used in a scientific publication in 2011 and has been cited over 20 times in peer-reviewed journals.

Trial sizes available!
Test your antibody or perform pre-screening before committing to a larger quantity. Sold in 10µl. Discover our selection of trial-size antibodies.

Other related products
We have a range of other formats of antibody clone [EPR4605] also available for your convenience: ab109235, Carrier free - ab246338, PE - ab317895, APC - ab317933, Alexa Fluor® 488 - ab317973, Alexa Fluor® 594 - ab318014, Alexa Fluor® 555 - ab318056, Alexa Fluor® 647 - ab318098, Alexa Fluor® 750 - ab320939

Patented technology
Our RabMAb® technology is a patented hybridoma-based technology for making rabbit monoclonal antibodies. For details on our patents, please refer to RabMAb® patents.

What are the advantages of a recombinant monoclonal antibody?
This product is a recombinant monoclonal antibody, which offers several advantages including:

  • - High batch-to-batch consistency and reproducibility
  • - Improved sensitivity and specificity
  • - Long-term security of supply
  • - Animal-free batch production

For more information, read more on recombinant antibodies.

Properties and storage information

Form
Liquid
Purification technique
Affinity purification Protein A
Storage buffer
pH: 7.2 - 7.4 Preservative: 0.01% Sodium azide Constituents: 59% PBS, 40% Glycerol (glycerin, glycerine), 0.05% BSA
Shipped at conditions
Blue Ice
Appropriate short-term storage duration
1-2 weeks
Appropriate short-term storage conditions
+4°C
Appropriate long-term storage conditions
-20°C
Aliquoting information
Upon delivery aliquot
Storage information
Avoid freeze / thaw cycle

Supplementary information

This supplementary information is collated from multiple sources and compiled automatically.

Xanthine oxidase also known as XO is an enzyme often referred to as xanthine dehydrogenase/oxidase. It has an important role in purine metabolism converting hypoxanthine to xanthine and then xanthine to uric acid. This enzyme is an aldehyde oxidase and belongs to the family of molybdenum-containing enzymes. Xanthine oxidase has a molecular weight of approximately 290 kDa. It is expressed in various tissues predominantly in the liver and small intestine with lower levels in kidney and lung tissues.
Biological function summary

Xanthine oxidase has a significant role in the production of reactive oxygen species such as superoxide during the process of purine catabolism. In its dehydrogenase form XO can interconvert into an oxidase form engaging more readily in the electron transfer that leads to reactive oxygen species generation. Xanthine oxidase is not a part of any larger complex but functions as a dimer with two identical subunits that facilitate its metabolic roles.

Pathways

The enzyme is pivotal in the purine degradation pathway which is essential for the breakdown and eventual excretion of purine compounds as uric acid. This pathway connects it to enzymes like hypoxanthine-guanine phosphoribosyltransferase (HGPRT) which performs salvage reactions to recycle purines. Additionally xanthine oxidase's role in reactive oxygen species production links it to oxidative stress pathways impacting proteins such as superoxide dismutase which works to detoxify reactive intermediates.

Xanthine oxidase is closely implicated in conditions like gout and hyperuricemia due to its role in uric acid production. Elevated activity of XO can lead to excessive uric acid accumulation contributing to these disorders. Furthermore XO is associated with cardiovascular diseases as the generated reactive oxygen species can foster endothelial dysfunction. The enzyme's activity is intertwined with systems involving proteins like endothelial nitric oxide synthase where oxidative stress affects nitric oxide availability and vascular health.

Product protocols

For this product, it's our understanding that no specific protocols are required. You can visit:

Target data

Key enzyme in purine degradation. Catalyzes the oxidation of hypoxanthine to xanthine. Catalyzes the oxidation of xanthine to uric acid. Contributes to the generation of reactive oxygen species. Has also low oxidase activity towards aldehydes (in vitro).
See full target information XDH

Publications (41)

Recent publications for all applications. Explore the full list and refine your search

PloS one 20:e0328794 PubMed40768486

2025

Hyperuricemia in ob/ob mice relates to hepatocellular pyruvate metabolism/ xanthine oxidase axis.

Applications

Unspecified application

Species

Unspecified reactive species

Shan Zhang,Shasha Hu,Haibo Tan,Ertao Jia

The journal of physiological sciences : JPS 75:100029 PubMed40617095

2025

Xanthine oxidase inhibitor allopurinol preserves cardiac function after experimental malocclusion induced by occlusal disharmony in mice.

Applications

Unspecified application

Species

Unspecified reactive species

Takao Mitsubayashi,Kenji Suita,Yoshiki Ohnuki,Misao Ishikawa,Aiko Ito,Ichiro Matsuo,Go Miyamoto,Mariko Abe,Akinaka Morii,Yasumasa Mototani,Megumi Nariyama,Ren Matsubara,Yoshio Hayakawa,Satoshi Okumura

PloS one 20:e0318008 PubMed40179080

2025

Allopurinol attenuates development of Porphyromonas gingivalis LPS-induced cardiomyopathy in mice.

Applications

Unspecified application

Species

Unspecified reactive species

Akinaka Morii,Ichiro Matsuo,Kenji Suita,Yoshiki Ohnuki,Misao Ishikawa,Aiko Ito,Go Miyamoto,Mariko Abe,Takao Mitsubayashi,Yasumasa Mototani,Megumi Nariyama,Ren Matsubara,Yoshio Hayakawa,Yasuharu Amitani,Kazuhiro Gomi,Takatoshi Nagano,Satoshi Okumura

Arthritis research & therapy 26:214 PubMed39696446

2024

Proteoglycan 4 (Lubricin) and regulation of xanthine oxidase in synovial macrophage as a mechanism of controlling synovitis.

Applications

Unspecified application

Species

Unspecified reactive species

Khaled A Elsaid,Ling X Zhang,Thomas Zhao,Ava Marks,Derek Jenkins,Tannin A Schmidt,Gregory D Jay

eLife 13: PubMed39508089

2024

Host-derived alleviates hyperuricemia by improving gut microbial community and hydrolase-mediated degradation of purine nucleosides.

Applications

Unspecified application

Species

Unspecified reactive species

Yang Fu,Xiao-Dan Luo,Jin-Ze Li,Qian-Yuan Mo,Xue Wang,Yue Zhao,You-Ming Zhang,Hao-Tong Luo,Dai-Yang Xia,Wei-Qing Ma,Jian-Ying Chen,Li-Hau Wang,Qiu-Yi Deng,Lukuyu Ben,Muhammad Kashif Saleemi,Xian-Zhi Jiang,Juan Chen,Kai Miao,Zhen-Ping Lin,Peng Zhang,Hui Ye,Qing-Yun Cao,Yong-Wen Zhu,Lin Yang,Qiang Tu,Wence Wang

Journal of molecular histology 55:803-823 PubMed39190032

2024

SGLT2 inhibitor downregulated oxidative stress via activating AMPK pathway for cardiorenal (CR) protection in CR syndrome rodent fed with high protein diet.

Applications

Unspecified application

Species

Unspecified reactive species

Chih-Chao Yang,Kuan-Hung Chen,Ya Yue,Ben-Chung Cheng,Tsuen-Wei Hsu,John Y Chiang,Chih-Hung Chen,Fanna Liu,Jie Xiao,Hon-Kan Yip

NPJ biofilms and microbiomes 10:25 PubMed38509085

2024

Lactobacillus rhamnosus GG ameliorates hyperuricemia in a novel model.

Applications

Unspecified application

Species

Unspecified reactive species

Yang Fu,Yong-Song Chen,Dai-Yang Xia,Xiao-Dan Luo,Hao-Tong Luo,Jie Pan,Wei-Qing Ma,Jin-Ze Li,Qian-Yuan Mo,Qiang Tu,Meng-Meng Li,Yue Zhao,Yu Li,Yi-Teng Huang,Zhi-Xian Chen,Zhen-Jun Li,Lukuyu Bernard,Michel Dione,You-Ming Zhang,Kai Miao,Jian-Ying Chen,Shan-Shan Zhu,Jie Ren,Ling-Juan Zhou,Xian-Zhi Jiang,Juan Chen,Zhen-Ping Lin,Jun-Peng Chen,Hui Ye,Qing-Yun Cao,Yong-Wen Zhu,Lin Yang,Xue Wang,Wen-Ce Wang

JCI insight 9: PubMed38032735

2024

Uric acid formation is driven by crosstalk between skeletal muscle and other cell types.

Applications

Unspecified application

Species

Unspecified reactive species

Spencer G Miller,Catalina Matias,Paul S Hafen,Andrew S Law,Carol A Witczak,Jeffrey J Brault

PloS one 18:e0292624 PubMed37983238

2023

Oral angiotensin-converting enzyme inhibitor captopril protects the heart from Porphyromonas gingivalis LPS-induced cardiac dysfunction in mice.

Applications

Unspecified application

Species

Unspecified reactive species

Kenichi Kiyomoto,Ichiro Matsuo,Kenji Suita,Yoshiki Ohnuki,Misao Ishikawa,Aiko Ito,Yasumasa Mototani,Michinori Tsunoda,Akinaka Morii,Megumi Nariyama,Yoshio Hayakawa,Yasuharu Amitani,Kazuhiro Gomi,Satoshi Okumura

Scientific reports 13:19927 PubMed37968296

2023

Effects of the angiotensin-converting enzyme inhibitor captopril on occlusal-disharmony-induced cardiac dysfunction in mice.

Applications

Unspecified application

Species

Unspecified reactive species

Aiko Ito,Yoshiki Ohnuki,Kenji Suita,Ichiro Matsuo,Misao Ishikawa,Takao Mitsubayashi,Yasumasa Mototani,Kenichi Kiyomoto,Michinori Tsunoda,Akinaka Morii,Megumi Nariyama,Yoshio Hayakawa,Hiroshi Tomonari,Satoshi Okumura
View all publications

Product promise

We are committed to supporting your work with high-quality reagents, and we're here for you every step of the way. In the unlikely event that one of our products does not perform as expected, you're protected by our Product Promise.
For full details, please see our Terms & Conditions

Please note: All products are 'FOR RESEARCH USE ONLY. NOT FOR USE IN DIAGNOSTIC OR THERAPEUTIC PROCEDURES'.

For licensing inquiries, please contact partnerships@abcam.com